Skip to main content

Papillary Thyroid Carcinoma with Predominant Spindle Cell Component: Report of Two Rare Cases and Discussion on the Differential Diagnosis with Other Spindled Thyroid Neoplasm

Abstract

Spindle cell transformation or metaplasia has been so far demonstrated in the context of both benign and malignant conditions. Spindle cell lesions of the thyroid gland of either primary or secondary origin to metastatic disease represent rare entities. We describe two patients with papillary thyroid carcinoma (PTC) showing spindle cell metaplasia, submitted to thyroidectomy due to euthyroid bilateral nodular thyroid disease. Cytological examination of fine-needle aspiration biopsy performed in the dominant nodules was consistent with follicular neoplasm in one case and with a hyperplastic/adenomatous nodule in the other patient. Histological examination disclosed unencapsulated follicular variant of PTC with spindle cell metaplasia in either cases. Both patients are doing well without clinical or laboratory evidence of PTC recurrence at 3- and 1-year follow-up, respectively. We present the clinical, pathological, and immunohistochemical aspects of these unusual cases and thoroughly discuss the differential diagnosis with other spindle cell lesions of the thyroid gland.

This is a preview of subscription content, access via your institution.

Fig. 1
Fig. 2
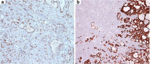
Fig. 3

References

  1. Carling T, Udelsman R. Thyroid tumors. In: DeVita VT Jr, Lawrence TS, Rosenberg SA 2011 Cancer: Principles and practice of oncology. 9th ed. Philadelphia, PA: Lippincott Williams & Wilkins, p. 1457-1472.

    Google Scholar 

  2. Khanafshar E, Lloyd RV 2011 The spectrum of papillary thyroid carcinoma variants. Adv Anat Pathol 18:90-97.

    PubMed  Article  Google Scholar 

  3. Papi G, Corrado S, LiVolsi VA 2005 Primary spindle cell lesions of the thyroid gland. Am J Clin Pathol 124(Suppl 1):S95-S123.

    Google Scholar 

  4. Cibas ES, Ali SZ 2009 The Bethesda system for reporting thyroid cytopathology. Thyroid 19:1159–1165.

    PubMed  Article  Google Scholar 

  5. Edge SB, Byrd DR, Compton CC, Fritz AG, Green FL, Trotti A, editors 2010 AJCC cancer staging manual (7th edition). New York, NY: Springer.

    Google Scholar 

  6. Cooper DS, Doherty GM, Haugen BR, et al. 2009 Revised American Thyroid Association management guidelines for patients with thyroid nodules and differentiated thyroid cancer. Thyroid 19:1167-1214.

    PubMed  Article  Google Scholar 

  7. Aker FV, Bas Y, Ozkara S, et al. 2004 Spindle cell metaplasia in follicular adenoma of the thyroid gland: case report and review of the literature. Endocr J 51:457-461.

    PubMed  Article  Google Scholar 

  8. Shikama Y, Mizukami H, Sakai T, et al. 2006 Spindle cell metaplasia arising in thyroid adenoma: characterization of its pathology and differential diagnosis. J Endocrinol Invest 29:168-171.

    PubMed  Article  CAS  Google Scholar 

  9. Hirokawa M, Haba R, Kushida Y, et al. 2010 Benign nodular goiter with spindle cell component. Pathol Int 60:586-590.

    PubMed  Article  Google Scholar 

  10. Vergilio J, Baloch ZW, LiVolsi VA 2002 Spindle cell metaplasia of the thyroid arising in association with papillary carcinoma and follicular adenoma. Am J Clin Pathol 117:199-204.

    PubMed  Article  Google Scholar 

  11. Hutter RVP, Tollefsen HR, DeCosse JJ, et al. 1965 Spindle and giant cell metaplasia in papillary carcinoma of the thyroid. Am J Surg 110:660-668.

    PubMed  Article  CAS  Google Scholar 

  12. Mizukami Y, Nonomura A, Michigishi T, et al. 1996 Encapsulated follicular thyroid carcinoma exhibiting glandular and spindle cell components: a case report. Pathol Res Pract 192:67-71.

    PubMed  Article  CAS  Google Scholar 

  13. Chan JKC, Carcangiu ML, Rosai J 1991 Papillary carcinoma of thyroid with exuberant nodular fasciitis–like stroma: report of three cases. Am J Clin Pathol 95:309-314.

    PubMed  CAS  Google Scholar 

  14. Rossi ED, Martini M, Cingolani N, Ranaldi R, Fadda G 2012 Images in endocrine pathology: spindle cell lesion of the thyroid gland. Endocr Pathol 23:132-134.

    PubMed  Article  Google Scholar 

  15. Albores-Saavedra J, Wu J 2006 The many faces and mimics of papillary thyroid carcinoma. Endocr Pathol 17:1-18.

    PubMed  Article  Google Scholar 

  16. Baloch Z, LiVolsi VA, Tondon R 2013 Aggressive variants of follicular cell derived thyroid carcinoma; the so called “Real Thyroid Carcinomas”. J Clin Pathol 66:733-743.

    PubMed  Article  Google Scholar 

  17. Papi G, LiVolsi VA 2004 Current concepts on Riedel thyroiditis. Am J Clin Pathol 121:S0-S63.

    Google Scholar 

  18. Cheuk W, Jacobson AA, Chan JK 2000 Spindle epithelial tumor with thymus-like differentiation (SETTLE): A distinctive malignant thyroid neoplasm with significant metastatic potential. Mod Pathol 13:1150-1155.

    PubMed  Article  CAS  Google Scholar 

  19. Dorfman DM, Shahsafaei A, Miyauchi A 1998 Intrathyroidal epithelial thymoma (ITET)/carcinoma showing thymus-like differentiation (CASTLE) exhibits CD5 immunoreactivity: new evidence for thymic differentiation. Histopathology 32:104-109.

    PubMed  Article  CAS  Google Scholar 

  20. Carcangiu ML, Steeper T, Zampi G, et al. 1985 Anaplastic thyroid carcinoma. A study of 70 cases. Am J Clin Pathol 83:135-158.

    PubMed  CAS  Google Scholar 

  21. Us-Krašovec M, Golouh R, Auersperg M, et al. 1996 Anaplastic thyroid carcinoma in fine needle aspirates. Acta Cytol 40:953-958.

    PubMed  Article  Google Scholar 

  22. Eusebi V, Carcangiu ML, Dina R 1990 Keratin-positive epithelioid angiosarcoma of the thyroid: a report of four cases. Am J Surg Pathol 14:737-747.

    PubMed  Article  CAS  Google Scholar 

  23. Brandwein-Gensler MS, Wang BY, Urken ML 2004 Spindle cell transformation of papillary carcinoma. An aggressive entity distinct from anaplastic thyroid carcinoma. Arch Pathol Lab Med 128:87-89.

    PubMed  Google Scholar 

Download references

Author information

Affiliations

Authors

Corresponding author

Correspondence to Giampaolo Papi.

Rights and permissions

Reprints and Permissions

About this article

Cite this article

Corrado, S., Corsello, S.M., Maiorana, A. et al. Papillary Thyroid Carcinoma with Predominant Spindle Cell Component: Report of Two Rare Cases and Discussion on the Differential Diagnosis with Other Spindled Thyroid Neoplasm. Endocr Pathol 25, 307–314 (2014). https://doi.org/10.1007/s12022-013-9290-7

Download citation

  • Published:

  • Issue Date:

  • DOI: https://doi.org/10.1007/s12022-013-9290-7

Keywords

  • Nodular thyroid disease
  • Papillary thyroid carcinoma
  • Spindle cell metaplasia
  • Fine-needle aspiration biopsy
  • Immunohistochemistry