Skip to main content

Leiomyosarcoma: A Rare Tumor of the Thyroid

Abstract

Primary leiomyosarcoma of the thyroid gland is uncommon. To date, 20 cases have been reported in English in the literature. The tumors usually present in elderly patients with female predilection and are associated with poor clinical outcome. Herein, we report an additional case of primary thyroid leiomyosarcoma in a 64-year-old woman. She underwent total thyroidectomy and later was discovered to have multiple lung and liver metastases. The patient died 3 months after surgery. The major differential diagnoses including undifferentiated (anaplastic) carcinoma of the thyroid, spindle cell variant of medullary thyroid carcinoma, spindle cell tumor with thymus-like differentiation, uncommon primary tumor of the thyroid and metastatic tumors with predominant spindle cells are discussed.

This is a preview of subscription content, access via your institution.

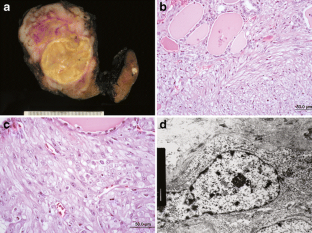
Fig. 1
Fig. 2

References

  1. Weiss SW, Goldblum JR, Enzinger FM (2008) Enzinger and Weiss's soft tissue tumors. Mosby Elsevier, Philadelphia

    Google Scholar 

  2. Adachi M, Wellmann KF, Garcia R (1969) Metastatic leiomyosarcoma in brain and heart. J Pathol 98: 294–296.

    PubMed  Article  CAS  Google Scholar 

  3. Kawahara E, Nakanishi I, Terahata S, Ikegaki S (1988) Leiomyosarcoma of the thyroid gland. A case report with a comparative study of five cases of anaplastic carcinoma. Cancer 62: 2558–2563

    CAS  Google Scholar 

  4. Kaur A, Jayaram G (1990) Thyroid tumors: cytomorphology of medullary, clinically anaplastic, and miscellaneous thyroid neoplasms. Diagn Cytopathol 6:383–389

    PubMed  Article  CAS  Google Scholar 

  5. Iida Y, Katoh R, Yoshioka M, Oyama T, Kawaoi A (1993) Primary leiomyosarcoma of the thyroid gland. Acta Pathol Jpn 43:71–75

    PubMed  CAS  Google Scholar 

  6. Chetty R., Clark SP, Dowling JP (1993) Leiomyosarcoma of the thyroid: immunohistochemical and ultrastructural study. Pathology 25:203–205

    PubMed  Article  CAS  Google Scholar 

  7. Ozaki O, Sugino K, Mimura T, Ito K, Tamai S, Hosoda Y (1997) Primary leiomyosarcoma of the thyroid gland. Surg Today 27:177–180

    PubMed  Article  CAS  Google Scholar 

  8. Thompson LDR, Wenig BM, Adair CF, Shmookler BM, Heffess CS (1997) Primary smooth muscle tumors of the thyroid gland. Cancer 79:579–587

    PubMed  Article  CAS  Google Scholar 

  9. Tulbah A, Al-Dayel F, Fawaz I, Rosai J (1999) Epstein–Barr virus-associated leiomyosarcoma of the thyroid in a child with congenital immunodeficiency: a case report. Am J Surg Pathol 23: 473–476

    PubMed  Article  CAS  Google Scholar 

  10. Tsugawa K, Koyanagi N, Nakanishi K, Wada H, Tanoue K, Hashizume M, Sugimachi K (1999) Leiomyosarcoma of the thyroid gland with rapid growth and tracheal obstruction: a partial thyroidectomy and tracheostomy using an ultrasonically activated scalpel can be safely performed with less bleeding. Eur J Med Res 4: 483–487

    PubMed  CAS  Google Scholar 

  11. Takayama F, Takashima S, Matsuba H, Kobayashi S, Ito N, Sone S (2001) MR imaging of primary leiomyosarcoma of the thyroid gland. Eur J Radiol 37: 36–41

    PubMed  Article  CAS  Google Scholar 

  12. Day AS, Lou PJ, Lin WC, Chou CC (2007) Over-expression of c-kit in a primary leiomyosarcoma of the thyroid gland. Eur Arch Otorhinolaryngol 264:705–708

    PubMed  Article  Google Scholar 

  13. Just PA, Guillevin R, Capron F, Le Charpentier M, Le Naour G, Menegaux F, Leenhardt L, Simon JM, Hoang C (2008) An unusual clinical presentation of a rare tumor of the thyroid gland: report on one case of leiomyosarcoma and review of literature. Ann Diagn Pathol 12:50–56

    PubMed  Article  Google Scholar 

  14. Mansouri H, Gaye M, Errihani H, Kettani F, El Gueddari B (2008) Leiomyosarcoma of the thyroid gland. Acta Otolaryngol 128:335–336

    PubMed  Article  Google Scholar 

  15. Wang TS, Ocal IT, Oxley K, Sosa JA (2008) Primary leiomyosarcoma of the thyroid gland. Thyroid 18: 425–428

    PubMed  Article  Google Scholar 

  16. Bertelli AA, Massarollo LCB, Volpi EM, Ueda RYK, Barreto E (2010) Thyroid gland primary leiomyosarcoma. Arq Bras Endocrinol Metabol 54:326–330.

    PubMed  Article  Google Scholar 

  17. Mouaqit O, Belkacem, Ifrine L, Mohsine R, Belkouchi A (2013) A rare tumor of the thyroid gland: report on one case of leiomyosarcoma and review of literature. Updates Surg [Epub ahead of print]

  18. Amal B, El Fatemi H, Souaf I, Moumna K, Affaf A (2013) A rare primary tumor of the thyroid gland: report a new case of leiomyosarcoma and literature review. Diagn Pathol. doi: 10.1186/1746-1596-8-36.

    PubMed  Google Scholar 

  19. Dabbs DJ (2010) Diagnostic immunohistochemistry : theranostic and genomic applications. Saunders Elsevier, Philadelphia

    Google Scholar 

  20. Folp AL, Inwards CY (2010) Bone and soft tissue pathology. Saunders Elsevier, Philadelphia

    Google Scholar 

  21. Lee CH, Turbin DA, Sung YC, Espinosa I, Montgomery K, van de Rijn M, Gilks CB (2009) A panel of antibodies to determine site of origin and malignancy in smooth muscle tumors. Mod Pathol 22: 1519–1531

    PubMed  Article  CAS  Google Scholar 

  22. Papi G, Corrado S, LiVolsi VA (2006) Primary spindle cell lesions of the thyroid gland; an overview. Am J Clin Pathol 125 : S95-123

    PubMed  Google Scholar 

  23. Rosai J, Tallini G (2011) Thyroid gland. In: Rosai J (ed) Rosai and Ackerman's surgical pathology, 10th edn. Mosby Elsevier, Edinburgh, pp 488–564

    Google Scholar 

  24. Thompson LD R (2013) Malignant neoplasms of the thyroid gland. In: Thompson LDR (ed) Head and neck pathology, 2nd edn. Elsevier Saunders, Philadelphia, pp 565–632

  25. DeLellis RA, Lloyd RV, Heitz PU, Eng C (2004) World Health Organization classification of tumours. Pathology and genetics of tumours of endocrine organs. IARC, Lyon

    Google Scholar 

  26. Folpe AL, Lloyd RV, Bacchi CE, Rosai J. (2009) Spindle epithelial tumor with thymus-like differentiation: a morphologic, immunohistochemical, and molecular genetic study of 11 cases. Am J Surg Pathol 33:1179–1186

    PubMed  Article  Google Scholar 

  27. Chetty R, Goetsch S, Nayler S, Cooper K (1998) Spindle epithelial tumour with thymus-like element (SETTLE): the predominantly monophasic variant. Histopathology 33: 71–74

    PubMed  Article  CAS  Google Scholar 

  28. Abrosimov AY, LiVolsi VA (2005) Spindle epithelial tumor with thymus-like differentiation (SETTLE) of the thyroid with neck lymph node metastasis: a case report. Endocr Pathol 16: 139–143

    PubMed  Article  Google Scholar 

  29. Tong GX, Hamele-Bena D, Wei XJ, O'Toole K (2007) Fine-needle aspiration biopsy of monophasic variant of spindle epithelial tumor with thymus-like differentiation of the thyroid: report of one case and review of the literature. Diagn Cytopathol 35:113–119.

    PubMed  Article  Google Scholar 

  30. Lee FY, Wen MC, Jan YJ, Wang J (2010) The predominant monophasic variant of spindle epithelial tumour with thymus-like differentiation (SETTLE) of neck soft tissue with late pulmonary metastasis. Pathology 42: 188–190.

    PubMed  Article  Google Scholar 

  31. Papi G, Corrado S, Uberti ED, Roti E (2007) Solitary fibrous tumor of the thyroid gland. Thyroid 17: 119–126.

    PubMed  Article  Google Scholar 

  32. Kikuchi I, Anbo J, Nakamura S, Sugai T, Sasou S, Yamamoto M, Oda Y, Shiratsuchi H, Tsuneyoshi M. (2003) Synovial sarcoma of the thyroid. Report of a case with aspiration cytology findings and gene analysis. Acta Cytol 47: 495–500

    PubMed  Article  Google Scholar 

  33. Pallares J, Perez-Ruiz L, Ros S, Panades MJ, Pardo-Mindan J, Lloreta J, Matias-Guiu X (2004) Malignant peripheral nerve sheath tumor of the thyroid: a clinicopathological and ultrastructural study of one case. Endocr Pathol 15: 167–174

    PubMed  Article  Google Scholar 

  34. Yildirim G, Gillenwater AM, Ordonez NG, Garden AS, El-Naggar AK (2008) Concurrent epithelioid malignant peripheral nerve sheath tumor and papillary thyroid carcinoma in the treated field of Hodgkin's disease. Head Neck 30: 675–679

    PubMed  Article  Google Scholar 

  35. Galati LT, Barnes EL, Myers EN (1999) Dendritic cell sarcoma of the thyroid. Head Neck 21: 273–275.

    PubMed  Article  CAS  Google Scholar 

  36. Yu L, Yang SJ (2011) Primary follicular dendritic cell sarcoma of the thyroid gland coexisting with Hashimoto's thyroiditis. Int J Surg Pathol 19: 502–505

    PubMed  Article  Google Scholar 

  37. De Vos FY, Gerding MN, Arends JW, Wegman JJ (2008) Histiocytic sarcoma localised in the thyroid: a case report. Ann Hematol 87:681–682

    PubMed  Article  Google Scholar 

  38. Yu L, Yang SJ (2010) A case of primary histiocytic sarcoma arising from thyroid gland. Pathol Oncol Res, 16:127–132

    PubMed  Article  Google Scholar 

  39. Munoz J, Sanchez BE, Wang D (2012) Histiocytic sarcoma of the thyroid. Am J Hematol 87: 531

    PubMed  Article  Google Scholar 

  40. Swerdlow SH, Campo E, Harris NL, Jaffe ES, Pileri SA, Stein H, Thiele J, Vardiman JW (2008) WHO classification of tumours of haematopoietic and lymphoid tissues. 4th edn. IARC, Lyon

    Google Scholar 

  41. Chang KL, Weiss LM (2011) Other histiocytic and dendritic neoplasms. In: Jaffe ES, Harris NL, Vardiman JW, Campo E, Arber DA (ed) Hematopathology. 1st edn. Saunders Elsevier, Philadelphia. online resource

    Google Scholar 

  42. Arnold MA, Arnold CA, Li G, Chae U, El-Etriby R, Lee CC, Tsokos M (2012) A unique pattern of INI1 immunohistochemistry distinguishes synovial sarcoma from its histologic mimics. Hum Pathol. doi:10.1016/j.humpath.2012.08.014

    PubMed  Google Scholar 

  43. Karamchandani JR, Nielsen TO, van de Rijn M, West RB (2012) Sox10 and S100 in the diagnosis of soft-tissue neoplasms. Appl Immunohistochem Mol Morphol 20:445–450

    PubMed  Article  CAS  Google Scholar 

  44. Youens KE, Waugh MS (2008) Extranodal follicular dendritic cell sarcoma. Arch Pathol Lab Med 132: 1683–1687

    PubMed  Google Scholar 

  45. Chung AY, Tran TB, Brumund KT, Weisman RA, Bouvet M. (2012) Metastases to the thyroid: a review of the literature from the last decade. Thyroid 22:258–268

    PubMed  Article  Google Scholar 

  46. Michelow PM, Leiman G (1995) Metastases to the thyroid gland: diagnosis by aspiration cytology. Diagn Cytopathol 13:209–213

    PubMed  Article  CAS  Google Scholar 

  47. Nakhjavani MK, Gharib H, Goellner JR, van Heerden JA (1997) Metastasis to the thyroid gland. A report of 43 cases. Cancer 79:574–578.

    PubMed  Article  CAS  Google Scholar 

  48. Chung SY, Kim EK, Kim JH, Oh KK, Kim DJ, Lee YH, An HJ, Kim JS (2001) Sonographic findings of metastatic disease to the thyroid. Yonsei Med J 42:411–417

    PubMed  CAS  Google Scholar 

  49. Leath CA 3rd, Huh WK, Straughn JM Jr, Conner MG (2002) Uterine leiomyosarcoma metastatic to the thyroid. Obstet Gynecol 100: 1122–1124.

    PubMed  Article  Google Scholar 

  50. Giannikaki E, Mantadakis E, Mamalaki E, Delides G, Samonis G (2006) Metastatic uterine leiomyosarcoma coexisting with papillary carcinoma of the thyroid gland. Int J Gynecol Cancer 16: 442–445

    PubMed  Article  CAS  Google Scholar 

  51. Eloy JA, Mortensen M, Gupta S, Lewis MS, Brett EM, Genden EM (2007) Metastasis of uterine leiomyosarcoma to the thyroid gland: case report and review of the literature. Thyroid 17:1295–1297

    PubMed  Article  Google Scholar 

  52. Simon C, Grunenwald S, Soule-Tholy M, Escourrou G, Vezzosi D, Deslandres M, Vidal F, Bennet A, Caron PJ (2013) Synchronous intrathyroid metastasis from undifferentiated endometrial sarcoma. Thyroid [Epub ahead of print]

Download references

Acknowledgments

The authors appreciate Mr. Vicha Sukphatdee, Ms. Naree Choosrichom and Ms. Nusara Chomanee, Department of Pathology, Siriraj Hospital, Mahidol University for ultrastructural study in this case.

Conflicts of Interest and Source of Funding

None declared

Author information

Affiliations

Authors

Corresponding author

Correspondence to Jantima Tanboon.

Rights and permissions

Reprints and Permissions

About this article

Cite this article

Tanboon, J., Keskool, P. Leiomyosarcoma: A Rare Tumor of the Thyroid. Endocr Pathol 24, 136–143 (2013). https://doi.org/10.1007/s12022-013-9251-1

Download citation

  • Published:

  • Issue Date:

  • DOI: https://doi.org/10.1007/s12022-013-9251-1

Keywords

  • Thyroid
  • Spindle cell tumor
  • Smooth muscle tumor
  • Leiomyosarcoma