Skip to main content

Immunohistochemical Expression of Neuroendocrine Secretory Protein-55 (NESP-55) in Pituitary Adenomas

Abstract

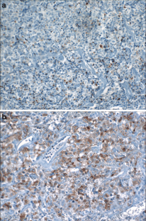
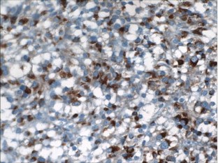
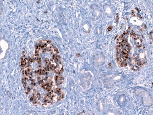
Neuroendocrine secretory protein-55 (NESP-55) is a recently described member of the chromogranin family and appears to be a marker of the constitutive secretory pathway in certain neural, neuroendocrine, and endocrine cell types. It has been shown to be selectively expressed in tumors differentiating towards the adrenal chromaffin and pancreatic islet cell phenotypes. The highest levels of NESP-55 expression, at least in animals, appear to be in the adrenal medulla and the pituitary gland. However, very little is known about the status of NESP-55 expression in pituitary adenomas. We therefore studied the immunohistochemical profile of NESP-55 expression in a series of 30 well-characterized pituitary adenomas (five each of FSH/LH and ACTH, four GH, three TSH, seven prolactin, and six null cells). All tumors were positive for one or more generic marker(s) (chromogranin A, synaptophysin, neuron-specific enolase) of neuroendocrine differentiation. All pituitary adenomas selected for study were stained for NESP-55 with appropriate positive and negative controls. NESP-55 immunoreactivity, seen as brown finely granular cytoplasmic staining of the tumor cells with prominent perinuclear accentuation, was graded as focal (<10% tumor cells staining), moderate (10–50% tumor cells staining), and diffuse (>50% tumor cell staining). Four of seven prolactinomas were positive for NESP-55 (one focal, two moderate, and one diffuse). Two of four GH adenomas were also positive (one focal and one diffuse) while only 1/5 FSH tumors showed a moderately intense immunoreactivity. All other pituitary adenomas were completely negative for NESP-55. Our results indicate that, in human pituitary adenomas, NESP-55 has a more restricted pattern of expression than that of chromogranins A and B. Since immunohistochemical expression of NESP-55 is largely confined to prolactinomas and GH adenomas, it raises the possibility that NESP-55 may somehow be involved in the secretory pathways of these specific cell types.

This is a preview of subscription content, access via your institution.

Fig. 1
Fig. 2
Fig. 3

References

  1. Lovisetti-Scamihorn P, Fischer-Colbrie R, Leitner B, Scherzer G, Winkler H. Relative amounts and molecular forms of NESP-55 in various bovine tissues. Brain Res 1999; 829:2478–85.

    Article  Google Scholar 

  2. Taupenot L, Harper KL, and O’Connor DT. The chromogranin–secretogranin family. N Engl J Med 2003; 348:1134–49.

    PubMed  Article  CAS  Google Scholar 

  3. Ischia R, Lovisetti-Scamihorn P, Hogue-Angeletti R, Wolkersdorfer M, Winkler H, Fischer-Colbrie R. Molecular cloning and characterization of NESP-55, a novel chromogranin like precursor of peptide with 5-HT1B receptor antagonist activity. J Biol Chem 1997; 272:11657–11662.

    PubMed  Article  CAS  Google Scholar 

  4. Fischer-Colbrie R, Laslop A, Kirchmair R. Secretrogranin II: Molecular properties, regulation of biosynthesis and processing to the neuropeptide secretoneurin. Prog Neurobiol.1995; 46:49–70.

    PubMed  Article  CAS  Google Scholar 

  5. Winkler H, Fischer-Colbrie R. The chromogranin A and B: The first 25 years and future perspectives. Neuroscience 1992; 49:497–528.

    PubMed  Article  CAS  Google Scholar 

  6. Winkler H. The functional role of Chromogranins (Chromogranin A and B, Secretogranin II and 7B2). Pergamon, Oxford. (Ed) 1996.

  7. Tatemoto K, Efendic S, Mutt V, Makk G, Feistner GJ, Barchas JD. Pancreastatin: A novel pancreatic peptide that inhibits insulin secretion. Nature. 1986; 324:476–78.

    PubMed  Article  CAS  Google Scholar 

  8. Aardal S, Helle KB. The vasoinhibitory activity of bovine chromogranin A fragment (vasostatin) and its independence of extra cellular calcium in isolated segments of human blood vessels. Reg Pep 1992; 41:9–18.

    Article  CAS  Google Scholar 

  9. Mahata SK, O’Connor DT, Mahata M, Yoo SH, Taupenot L, Wu H, Gill BM, Palmer RJ. Novel autocrine feedback control of catecholamine release. A discrete chromogranin A fragment is a noncompetitive nicotinic cholinergic antagonist. J Clin Invest 1997; 100:1623–1633.

    PubMed  Article  CAS  Google Scholar 

  10. Strub JM, Garcia-Sablone P, Lonning K, Taupenot P, Hubert A, Van Dorsselaer A, Aunis D, Metz-Boutigue M.H. Processing of chromogranin B in bovine adrenal medulla: Identification of secretolytin, the endogenous C-terminal fragment of residues 614–626 with antibacterial activity. Eur J Biochem 1995; 229:356–368

    PubMed  Article  CAS  Google Scholar 

  11. Agneter E, Sitte HH, Stöckl-Hiesleitner S, Fischer-Colbrie R, Winkler H, Singer EA. Sustained dopamine release induced by secretoneurin in the striatum of the rat, a micro dialysis study. J Neurochem 1995; 65:622–625.

    PubMed  Article  CAS  Google Scholar 

  12. Saria A, Troger J, Kirchmair R, Fischer-Colbrie R, Hogue-Angeletti R, Winkler H, Secretoneurin releases dopamine from rat striatal slices: A biological effect of a peptide derived from secretogranin II (chromogranin C) Neuroscience 1993; 54:1–4.

    PubMed  Article  CAS  Google Scholar 

  13. Kirchmair R., Gander R., Egger M., Hanley A., Silver M., Ritsch A., Murayama T., Kaneider N., Sturm W., Kearny M., Fischer-Colbrie R., Kircher B., Gaenzer H., Wiedermann C.J., Ropper A.H., Losordo D.W., Patsch J.R. and Schratzberger P. (2004) The neuropeptide secretoneurin acts as a direct angiogenic cytokine in vitro and in vivo. Circulation 109, 777–783.

    PubMed  Article  CAS  Google Scholar 

  14. Feldman SA, Eiden LE. The chromogranins: Their roles in secretion from neuroendocrine cells and as markers for neuroendocrine neoplasia. Endocr Pathol 2003; 14:3–23.

    PubMed  Article  CAS  Google Scholar 

  15. Fahrenkamp AG, Wibbeke C, Winde G, Ofner D, Böcker W, Fischer-Colbrie R. Secretogranin II in neuroendocrine tumors of the gastrointestinal tract. Virchows Arch 1995; 426:361–715.

    PubMed  Article  CAS  Google Scholar 

  16. Weiler R, Fischer-Colbrie R, Schmid KW, et al. Immunological studies on occurrence and properties of chromogranin A and B and secretogranin II in endocrine tumors. Am J Surg Pathol 1988; 12:877–884.

    PubMed  Article  CAS  Google Scholar 

  17. Vallet Virginie S, Li Jacques Y, Jacques D. Secetogranin II (Sg II) distribution and processing studies in human normal and adenomatous anterior pituitaries using new polyclonal antibodies. Regul Pep 1997; 68:155–63

    Article  Google Scholar 

  18. Srivastava A, Padilla O, Fischer-Colbrie R, Tischler AS, Dayal Y. Neuroendocrine secretary protein-55 (NESP-55) expression discriminates pancreatic endocrine tumors and pheochromocytomas from gastrointestinal and pulmonary carcinoids. Am J Surg Pathol 2004; 28:1371–78.

    PubMed  Article  Google Scholar 

  19. Hayward BE, Moran V, Strain L et al. Bidirectional imprinting of a single gene: GNAS1 encodes maternally, paternally and bidirectionally derived proteins. Proc Natl Acad Sci USA.1998; 95:15475–15480.

    PubMed  Article  CAS  Google Scholar 

  20. Eder S., Leierer J., Klimaschewski L., Wilhelm A., Volknandt W., Laslop A. and Fischer-Colbrie R. (2004) Secretion and molecular forms of NESP55, a novel genomically imprinted neuroendocrine-specific protein from AtT-20 cells. Neurosignals 13, 298–307.

    PubMed  Article  CAS  Google Scholar 

  21. Bastepe M., Frohlich L.F., Linglart A., Abu-Zahra H.S., Tojo K., Ward L.M. and Juppner H. (2005) Deletion of the NESP55 differentially methylated region causes loss of maternal GNAS imprints and pseudohypoparathyroidism type Ib. Nat. Genet. 37, 25–27.

    PubMed  Article  CAS  Google Scholar 

  22. Li JY, Lovesetti-Scamihorn P, Fischer-Colbrie R, Winkler H, Dahlstrom A. Distribution and intramural trafficking of a novel member of the chromogranin family: NESP 55, in the rat peripheral nervous system. Neuroscience 2002; 110: 731–745.

    PubMed  Article  CAS  Google Scholar 

  23. Bauer R, Ischia R, Marksteiner J, Kapeller A, Fischer-Colbrie R. Localization of neuroendocrine protein 55 messenger RNA in the rat brain. Neuroscience 1999; 91:685–694.

    PubMed  Article  CAS  Google Scholar 

  24. Bauer R, Weiss C, Marksteiner J, Doblinger A, Fischer-Colbrie R, Laslop A. The new chromogranin- like protein NESP 55 is preferentially localized in adrenaline-synthesizing cells of the bovine and rat adrenal medulla. Neuroscience Lett 1999; 263:13–16.

    Article  CAS  Google Scholar 

  25. Fischer-Colbrie, R Eder S, Lovisetti-Scamihorn P, Becker A, and Laslop A. Neuroendocrine secretary protein 55: A novel marker of the constitutive secretory pathway. Ann N Y Acad Sci 2002; 971:317–322

    PubMed  Article  CAS  Google Scholar 

  26. Jakobsen A-M, Ahlman H, Kolby L, Abrahamsson J, Fischer-Colbrie R, Nilsson O. NESP55, a novel chromogranin-like peptide, is expressed in endocrine tumors of the pancreas and adrenal medulla but not in ileal carcinoids. Br J Cancer 2003; 88:1746–54.

    PubMed  Article  CAS  Google Scholar 

  27. Schmid KW, Kröll M, Hittmair A, Maier H, Tötsch M, Gasser R, Finkenstett G, Houge-Angeletti R, Fischer-Colbrie R. Chromogranin A and B in adenoma of the pituitary. An immunohistochemical study of 42 cases. Am J Surg Pathol. 1991; 15:1072–1077.

    PubMed  Article  CAS  Google Scholar 

  28. Riva C, Leutner M, Capella C, Usellini L, la Rosa S, Brianza MR, Buffa R. Different expression of chromogranin A and B in various types of pituitary adenomas. Zentralbl Pathol 1993; 139:165–70.

    PubMed  CAS  Google Scholar 

  29. Lloyd RV, Jin L. Analysis of chromogranin/secretogranin messenger RNAs in human pituitary adenomas. Diag Mol Pathol. 1994; 3:38–45.

    Article  CAS  Google Scholar 

  30. Fischer-Colbrie R, Lassman H, Hagn C et al. Immunological studies on distribution of chromogranin A and B in endocrine and nervous tissues. Neuroscience 1985; 16:547–555.

    PubMed  Article  CAS  Google Scholar 

  31. Schmid KW, Fischer-Colbrie R, Hagn C et al. Chromogranin A and B and secretogranin II in medullary carcinoma of thyroid. Am J Surg Pathol.1987; 7:347–353.

    Google Scholar 

  32. Jin L, Chandler WF, Smart JB, England BG, Lloyd RV. Differentiation of human pituitary adenomas determines the pattern of chromogranin/secretogranin messenger ribonucleic acid expression. J Clin Endocrinol Metab 1993; 76:728–35.

    PubMed  Article  CAS  Google Scholar 

  33. Rosa P, Bassetti M, Weiss U, Huttner WB. Widespread occurrence of chromogranins/secretogranins in the matrix of secretory granules of endocrinologically silent pituitary adenomas. J Histochem Cytochem 1992; 40:523–533.

    PubMed  Article  CAS  Google Scholar 

  34. Schmid KW, Kunk B, Kirchmair R, Tötsch M, Böcker W, Fischer-Colbrie R. Immunohistochemical detection of secretogranin, a novel neuropeptide endoproteolytically processed from secretogranin II, in normal human endocrine and neuronal tissues. Histochem J 1995; 27:473–81.

    PubMed  CAS  Google Scholar 

  35. Venetikou MS, Ghatei MA, Burrin JM, Latif S, Bloom SR. 7B2, a new protein secreted by human functionless pituitary tumors in vitro. Acta Endocrinol (Copen). 1988; 118:521–527.

    CAS  Google Scholar 

Download references

Author information

Affiliations

Authors

Corresponding author

Correspondence to Mamta Gupta.

Rights and permissions

Reprints and Permissions

About this article

Cite this article

Gupta, M., Lloyd, R.V., Fischer-Colbrie, R. et al. Immunohistochemical Expression of Neuroendocrine Secretory Protein-55 (NESP-55) in Pituitary Adenomas. Endocr Pathol 22, 150–154 (2011). https://doi.org/10.1007/s12022-011-9162-y

Download citation

  • Published:

  • Issue Date:

  • DOI: https://doi.org/10.1007/s12022-011-9162-y

Keywords

  • Pituitary
  • Adenoma
  • Neuroendocrine secretory protein-55
  • Chromogranin