Skip to main content

Raf-1 Kinase Inhibitory Protein Expression in Thyroid Carcinomas

Abstract

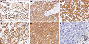
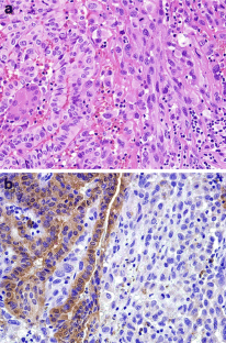
Raf-1 kinase inhibitory protein (RKIP) has been implicated in several fundamental signal transduction pathways that control cellular growth, differentiation, apoptosis and migration. RKIP is reduced in a variety of human carcinomas, but RKIP expression in thyroid carcinomas has not been analyzed at the protein level. In this study, we examined the immunohistochemical expression of RKIP in various subtypes of thyroid carcinoma. Immunostaining for RKIP was performed on 104 cases of primary thyroid carcinoma (40 papillary, 29 follicular, 11 medullary, 11 poorly differentiated, and 13 anaplastic carcinomas) and 26 cases of nodal metastatic tumor (17 papillary, 4 medullary, and 5 anaplastic carcinomas). Normal thyroid tissue and all cases of follicular, papillary, and medullary carcinomas showed uniform, strong cytoplasmic immunoreactivity for RKIP. With the exception of one case, poorly differentiated carcinomas also revealed strong RKIP expression. In contrast, RKIP expression was completely absent in all anaplastic carcinomas. The transition zone from the differentiated carcinoma component (strong RKIP expression) to the anaplastic carcinoma component (no RKIP expression) demonstrated a completely opposite pattern of RKIP immunoreactivity. This reduction of RKIP expression in anaplastic carcinoma was statistically significant (P < 0.0001). Additionally, RKIP expression of nodal metastatic tumors corresponded with that of primary tumors: metastatic papillary and medullary carcinomas showed uniform, strong cytoplasmic RKIP immunoreactivity, in contrast, in metastatic anaplastic carcinomas, RKIP expression was completely absent. RKIP expression is significantly reduced in anaplastic thyroid carcinoma as compared to other subtypes of thyroid carcinoma. Further studies are necessary to elucidate the precise mechanism of RKIP action in anaplastic thyroid carcinoma.

This is a preview of subscription content, access via your institution.

Fig. 1
Fig. 2
Fig. 3

References

  1. Perry AC, Hall L, Bell AE, Jones R. Sequence analysis of a mammalian phospholipid-binding protein from testis and epididymis and its distribution between spermatozoa and extracellular secretions. Biochem J 301(Pt 1):235–242, 1994.

    CAS  PubMed  Google Scholar 

  2. Serre L, Pereira de Jesus K, Zelwer C, Bureaud N, Schoentgen F, Benedetti H. Crystal structures of YBHB and YBCL from Escherichia coli, two bacterial homologues to a Raf kinase inhibitor protein. J Mol Biol 310:617–634, 2001.

    CAS  Article  PubMed  Google Scholar 

  3. Kroslak T, Koch T, Kahl E, Hollt V. Human phosphatidylethanolamine-binding protein facilitates heterotrimeric G protein-dependent signaling. J Biol Chem 276:39772–39778, 2001.

    CAS  Article  PubMed  Google Scholar 

  4. Yeung KC, Rose DW, Dhillon AS, et al. Raf kinase inhibitor protein interacts with NF-kappaB-inducing kinase and TAK1 and inhibits NF-kappaB activation. Mol Cell Biol 21:7207–7217, 2001.

    CAS  Article  PubMed  Google Scholar 

  5. Yeung K, Seitz T, Li S, et al. Suppression of Raf-1 kinase activity and MAP kinase signalling by RKIP. Nature 401:173–177, 1999.

    CAS  Article  PubMed  Google Scholar 

  6. Lorenz K, Lohse MJ, Quitterer U. Protein kinase C switches the Raf kinase inhibitor from Raf-1 to GRK-2. Nature 426:574–579, 2003.

    CAS  Article  PubMed  Google Scholar 

  7. Fu Z, Kitagawa Y, Shen R, et al. Metastasis suppressor gene Raf kinase inhibitor protein (RKIP) is a novel prognostic marker in prostate cancer. Prostate 66:248–256, 2006.

    CAS  Article  PubMed  Google Scholar 

  8. Al-Mulla F, Hagan S, Behbehani AI, et al. Raf kinase inhibitor protein expression in a survival analysis of colorectal cancer patients. J Clin Oncol 24:5672–5679, 2006.

    CAS  Article  PubMed  Google Scholar 

  9. Minoo P, Zlobec I, Baker K, Tornillo L, Terracciano L, Jass JR, Lugli A. Loss of Raf-1 kinase inhibitor protein expression is associated with tumor progression and metastasis in colorectal cancer. Am J Clin Pathol 127:820–827, 2007.

    Article  PubMed  Google Scholar 

  10. Wang J, Yang YH, Wang AQ, et al. Immunohistochemical detection of the Raf kinase inhibitor protein in nonneoplastic gastric tissue and gastric cancer tissue. Med Oncol 27:219–223, 2010.

    Google Scholar 

  11. Li HZ, Gao Y, Zhao XL, Liu YX, Sun BC, Yang J, Yao Z. Effects of raf kinase inhibitor protein expression on metastasis and progression of human breast cancer. Mol Cancer Res 7:832–840, 2009.

    CAS  Article  PubMed  Google Scholar 

  12. Hagan S, Al-Mulla F, Mallon E, et al. Reduction of Raf-1 kinase inhibitor protein expression correlates with breast cancer metastasis. Clin Cancer Res 11:7392–7397, 2005.

    CAS  Article  PubMed  Google Scholar 

  13. Chen Y, Ouyang GL, Yi H, et al. Identification of RKIP as an invasion suppressor protein in nasopharyngeal carcinoma by proteomic analysis. J Proteome Res 7:5254–5262, 2008.

    CAS  Article  PubMed  Google Scholar 

  14. Akaishi J, Onda M, Asaka S, et al. Growth-suppressive function of phosphatidylethanolamine-binding protein in anaplastic thyroid cancer. Anticancer Res 26:4437–4442, 2006.

    CAS  PubMed  Google Scholar 

  15. DeLellis RA, Lloyd RV, Heitz PU, Eng C. Pathology and genetics: tumours of endocrine organs. Lyon: IARC Press, 2004.

    Google Scholar 

  16. Al-Mulla F, Hagan S, Al-Ali W, et al. Raf kinase inhibitor protein: mechanism of loss of expression and association with genomic instability. J Clin Pathol 61:524–529, 2008.

    CAS  Article  PubMed  Google Scholar 

  17. Kim HS, Kim GY, Lim SJ, Kim YW. Expression of Raf-1 kinase inhibitory protein in extrahepatic bile duct carcinoma. Korean J Pathol 44:234–242, 2010.

    Article  Google Scholar 

  18. Kim HS, Kim GY, Lim SJ, Park YK, Kim YW. Reduced expression of Raf-1 kinase inhibitory protein is a significant prognostic marker in patients with gallbladder carcinoma. Hum Pathol 2010 (in press).

  19. Venkatesh YS, Ordonez NG, Schultz PN, Hickey RC, Goepfert H, Samaan NA. Anaplastic carcinoma of the thyroid. A clinicopathologic study of 121 cases. Cancer 66:321–330, 1990.

    CAS  Article  PubMed  Google Scholar 

  20. Chiacchio S, Lorenzoni A, Boni G, Rubello D, Elisei R, Mariani G. Anaplastic thyroid cancer: prevalence, diagnosis and treatment. Minerva Endocrinol 33:341–357, 2008.

    CAS  PubMed  Google Scholar 

  21. Pacifico F, Mauro C, Barone C, et al. Oncogenic and anti-apoptotic activity of NF-kappa B in human thyroid carcinomas. J Biol Chem 279:54610–54619, 2004.

    CAS  Article  PubMed  Google Scholar 

  22. Are C, Shaha AR. Anaplastic thyroid carcinoma: biology, pathogenesis, prognostic factors, and treatment approaches. Ann Surg Oncol 13:453–464, 2006.

    Article  PubMed  Google Scholar 

  23. Chatterjee D, Sabo E, Tavares R, Resnick MB. Inverse association between Raf kinase inhibitory protein and signal transducers and activators of transcription 3 expression in gastric adenocarcinoma patients: implications for clinical outcome. Clin Cancer Res 14:2994–3001, 2008.

    CAS  Article  PubMed  Google Scholar 

  24. Melillo RM, Castellone MD, Guarino V, et al. The RET/PTC-RAS-BRAF linear signaling cascade mediates the motile and mitogenic phenotype of thyroid cancer cells. J Clin Invest 115:1068–1081, 2005.

    CAS  PubMed  Google Scholar 

  25. Cerrato A, De Falco V, Santoro M. Molecular genetics of medullary thyroid carcinoma: the quest for novel therapeutic targets. J Mol Endocrinol 43:143–155, 2009.

    CAS  Article  PubMed  Google Scholar 

  26. Peraldi P, Frodin M, Barnier JV, et al. Regulation of the MAP kinase cascade in PC12 cells: B-Raf activates MEK-1 (MAP kinase or ERK kinase) and is inhibited by cAMP. FEBS Lett 357:290–296, 1995.

    CAS  Article  PubMed  Google Scholar 

  27. Trakul N, Menard RE, Schade GR, Qian Z, Rosner MR. Raf kinase inhibitory protein regulates Raf-1 but not B-Raf kinase activation. J Biol Chem 280:24931–24940, 2005.

    CAS  Article  PubMed  Google Scholar 

Download references

Author information

Affiliations

Authors

Corresponding author

Correspondence to Youn Wha Kim.

Rights and permissions

Reprints and Permissions

About this article

Cite this article

Kim, HS., Kim, G.Y., Lim, SJ. et al. Raf-1 Kinase Inhibitory Protein Expression in Thyroid Carcinomas. Endocr Pathol 21, 253–257 (2010). https://doi.org/10.1007/s12022-010-9131-x

Download citation

  • Published:

  • Issue Date:

  • DOI: https://doi.org/10.1007/s12022-010-9131-x

Keywords

  • Raf kinase inhibitor protein
  • Immunohistochemistry
  • Thyroid carcinomas
  • Metastasis