Abstract
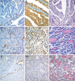
Thyroid cancer is the most frequent endocrine neoplasia worldwide. The route for metastasis and loco-regional invasion preferentially occurs by lymphatic vessels. For this reason, the assessment of lymphatic vessel density (LVD) is supposed to represent both a prognostic parameter and also a potential therapeutic target. In order to evaluate the value of LVD in benign and malignant thyroid lesions, we analyzed 110 thyroidectomy specimens using D2-40, a specific marker for lymphatic vessels and vascular endothelial growth factor C (VEGF-C), the most potent molecule of lymphatic proliferation. LVD was significantly different between papillary and follicular carcinomas in total (p = 0.045) and peritumoral area (p = 0.042). Follicular adenoma and follicular carcinoma showed an important difference of intra- (p = 0.019) and peritumoral (p = 0.033) LVD. VEGF-C was more markedly expressed in malignancies than in benignant lesions (p = 0.0001). Almost all cancers with high positive VEGF-C expression also exhibited increased peritumoral LVD (p = 0.049) when compared with the benignant lesions. Indeed, the high peritumoral LVD of malignant thyroid lesions is an important finding for surgery planning and supports the practice of total thyroidectomy in malignant thyroid neoplasm’s since the lymphatic peritumoral vessels definitely are an escape path for tumor cells.

Similar content being viewed by others
Explore related subjects
Discover the latest articles and news from researchers in related subjects, suggested using machine learning.References
Stacker SA, Achen MG, Jussila L, Baldwin ME, Alitalo K. Lymphangiogenesis and cancer metastasis. Nat Rev Cancer 2:573–83, 2002.
Reis-Fillho JS, Schmitt FC. Lymphangiogenesis in tumors: what do we know? Microsc Res Techn 60:171–80, 2003.
Schacht V, Dadras SS, Johnson LA, Jackson DG, Hong YK, Detmar M. Up-regulation of the lymphatic marker podoplanin, a mucin-type transmembrane glycoprotein, in human squamous cell carcinomas and germ cell tumors. Am J Pathol 166:913–21, 2005.
Gombos Z, Xiamowei X, Chu CS, Zhang PJ, Acs G. Peritumoral lymphatic vessel density and vascular endothelial growth factor C expression in early-stage squamous cell carcinoma of the uterine cervix. Clin Cancer Res 11:8364–71, 2005.
Kahn HJ, Marks A. A new monoclonal antibody, D2- 40, for detection of lymphatic invasion in primary tumors. Lab Invest 82:1255–7, 2002.
Van der Auwera I, Cao Y, Tille JC, et al. First international consensus on the methodology of lymphangiogenesis quantification in solid human tumours. Br J Cancer 95:1611–25, 2006.
Afonso J, Santos LL, Amaro T, Lobo F, Longatto-Filho A. The aggressiveness of urothelial carcinoma depends to a large extent on lymphovascular invasion. Histopathology 55:514–24, 2009
Beasley NJ, Prevo R, Banerji S, et al. Intratumoral lymphangiogenesis and lymph node metastasis in head and neck cancer. Cancer Res 62:1315–20, 2002.
Alitalo K, Carmeliet P. Molecular mechanisms of lymphangiogenesis in health and disease. Cancer Cell 1:219–27, 2002.
Byrne AM, Bouchier-Hayes DJ, Harmey JH. Angiogenic and cell survival functions of vascular endothelial growth factor (VEGF). J Cell Mol Med 9(4): 777–94, 2005.
Yamazaki Y, Morita T. Molecular and functional diversity of vascular endothelial growth factors. Mol Divers. 10(4):515–27, 2006.
Karkkainen MJ, Haiko P, Sainio K, et al. Vascular endothelial growth factor C is required for sprouting of the first lymphatic vessels from embryonic veins. Nat Immunol 5:74–80, 2004.
Roskoski, R.J. Vascular endothelial growth factor (VEGF) signaling in tumor progression. Critical Reviews in Oncology Hematology 62:179–213, 2007.
Duff SE, Li C, Jeziorska M, Kumar S, Saunders MP, Sherlock D, O'Dwyer ST, Jayson GC. Vascular endothelial growth factors C and D and lymphangiogenesis in gastrointestinal tract malignancy. Br J Cancer 89:426–30, 2003.
Jussila L, Alitalo K. Vascular growth factors and lymphangiogenesis. Physiol Rev 82:673–700, 2002.
(http://www.cancer.gov/cancertopics/types/thyroid assessed 12 September, 2009).
Camargo RS, Maeda MYS, DI Loreto C, Shirata NK, Garcia EA, Longatto Filho A. Is AgNOR and DNA ploidy analysis useful for evaluating thyroid neoplasms? Analytical and Quantitative Cytology and Histology 27, 2005.
Kondo T, Ezzat S, Asa SL. Pathogenetic mechanisms in thyroid follicular-cell neoplasias. Nature Reviews Cancer 6:292–306, 2006.
Lang BHH, Lo CY, Chan WF, Lam KY, Wan KY. prognostic factors in papillary and follicular thyroid carcinoma: their implications for cancer staging. Annals of Surgical Oncology 14:730–38, 2007.
Camargo RS, Scafuri AG, de Tolosa EM, Ferreira EA. DNA image cytometric analysis of differentiated thyroid adenocarcinoma specimens. Am J Surg 164(6): 640–5, 1992.
Giorgadze TA, Baloch ZW, Pasha T, Zhang PJ, LiVolsi VA: Lymphatic and blood vessel density in the follicular patterned lesions of thyroid. Modern Pathology 18:1424–31, 2005.
Longatto-Filho A, Pinheiro C, Ferreira L, Scapulatempo C, Alves VA, Baltazar F, Schmitt F. Peritumoural, but not intratumoural, lymphatic vessel density and invasion correlate with colorectal carcinoma poor-outcome markers. Virchows Arch 452(2):133–8, 2008.
Torre GNL, Buley I, Wass JAH, Turner HE. Angiogenesis and lymphangiogenesis in thyroid proliferative lesions: relationship to type and tumor behavior. Endocrine-Related Cancer 13:931–44, 2006.
IARC WHO Classification of Tumours. Pathology and Genetics of Tumours of Endocrine Organs 3ed 8:8, 2004.
Longatto-Filho A, Pinheiro C, Pereira SM, Etlinger D, Moreira MA, Jubé LF, Queiroz GS, Baltazar F, Schmitt FC. Lymphatic vessel density and epithelial D2-40 immunoreactivity in pre-invasive and invasive lesions of the uterine cervix. Gynecol Oncol 107(1):45–51, 2007.
Weidner N, Semple JP, Welch WR, Folkman J. Tumor angiogenesis and metastasis—correlation in invasive breast carcinoma. N Engl J Med 324:1–8, 1991.
Fassnacht M, Kreissl MC, Weismann D, Allolio B. New targets and therapeutic approaches for endocrine malignancies. Pharmacol Ther 123:117–41, 2009
Camargo RS Cirurgia da glândula tireóide. In: Goffi. Técnica Cirúrgica—bases anatômicas, fisiopatológicas e técnica cirúrgica. 4ed. São Paulo Atheneu, pp 297–305, 1996.
Schlumberger MJ. Papillary and follicular thyroid carcinoma. New England Journal of Medicine 29:297–306, 1998.
Padera TP, Kadambi A, di Tomaso E, Carreira CM, Brown EB, Boucher Y, Choi NC, Mathisen D, Wain J, Mark EJ, Munn LL, Jain RK. Lymphatic metastasis in the absence of functional intratumor lymphatics. Science 7:296:1883–6, 2002.
Kurahara H,Takao S,Maemura K,Shinchi H,Natsugoe S, Aikou T. Impact of vascular endothelial growth factor-C and -D expression in human pancreatic cancer: its relationship to lymph node metastasis. Clin Cancer Res 10:8413–20, 2004.
Bono P, Wasenius VM, Heikkila P, Lundin J, Jackson DG, Joensuu H. High LYVE-1-positive lymphatic vessel numbers are associated with poor outcome in breast cancer. Clin Cancer Res 10:7144–9, 2004.
Acknowledgments
We thank the supply of the histological samples by the histopathology laboratories of Sírio Libanês Hospital, Oswaldo Cruz Hospital CICAP, and Diagnóstika Laboratory and the technical support of the Medical Research Laboratories 14 (LIM-14) and 26 (LIM-26) of Faculty of Medicine of São Paulo University.
Conflict of interest
The authors declare that there is no conflict of interest that would prejudice the impartiality of this scientific work.
Author information
Authors and Affiliations
Corresponding author
Rights and permissions
About this article
Cite this article
Garcia, E.A., Simões, K., Wakamatsu, A. et al. Lymphatic Vessel Density and VEGF-C Expression are Significantly Different Among Benign and Malignant Thyroid Lesions. Endocr Pathol 21, 101–107 (2010). https://doi.org/10.1007/s12022-010-9116-9
Published:
Issue Date:
DOI: https://doi.org/10.1007/s12022-010-9116-9

