Skip to main content

Expression of MSX1 in Human Normal Pituitaries and Pituitary Adenomas

Abstract

Transcription factors play specific roles in the development and differentiation of normal pituitary tissues and pituitary adenoma. The transcription factor, muscle segment homeobox 1 (MSX1), which belongs to the homeobox gene family, binds the promoter region of the glycoprotein hormone α-subunit (SU) in TSH-producing cells in the mouse pituitary and regulates α-SU expression. The present study investigated MSX1 expression in the normal human pituitary. In addition, 50 pituitary adenomas were examined using immunohistochemistry and reverse transcription polymerase chain reaction (RT-PCR) to clarify the role of MSX1 in the development and functional differentiation of pituitary adenoma cells. In the normal pituitary, MSX1 was predominantly expressed in the cytoplasm of GH-producing cells. Furthermore, MSX1 immunoreactivity was observed in the cytoplasm of some α-SU-producing cells. It is interesting to note that, in the pituitary adenoma, MSX1 was expressed in the nucleus of GH- and TSH-producing adenomas. RT-PCR using RNA extracted and purified from formalin-fixed paraffin-embedded pituitary adenoma specimens revealed MSX1 mRNA expressed in GH- and TSH-producing adenomas. Immunoelectron microscopy demonstrated MSX1 localized at intranuclear heterochromatin and euchromatin, which suggests transcriptional activity. These results suggest that MSX1 plays a specific role in human pituitary adenoma.

This is a preview of subscription content, access via your institution.

Fig. 1
Fig. 2
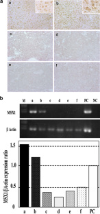
Fig. 3
Fig. 4

References

  1. Heaney AP. Pituitary tumour pathogenesis. Br Med Bull 75–76:81–97, 2006.

    PubMed  Article  CAS  Google Scholar 

  2. Sonabend AM, Musleh W, Lesniak MS. Oncogenesis and mutagenesis of pituitary tumors. Expert Rev Anticancer Ther 6(Suppl 9):S3–S14, 2006.

    PubMed  Article  CAS  Google Scholar 

  3. Asa SL, Ezzat S. Genetics and proteomics of pituitary tumors. Endocrine 28:43–7, 2005.

    PubMed  Article  CAS  Google Scholar 

  4. Lania A, Mantovani G, Spada A. Genetics of pituitary tumors: focus on G-protein mutations. Exp Biol Med (Maywood) 228:1004–17, 2003.

    CAS  Google Scholar 

  5. Asa SL, Ezzat S. The pathogenesis of pituitary tumours. Nat Rev Cancer 2:836–49, 2002.

    PubMed  Article  CAS  Google Scholar 

  6. Scully KM, Rosenfeld MG. Pituitary development: regulatory codes in mammalian organogenesis. Science 295:2231–5, 2002.

    PubMed  Article  CAS  Google Scholar 

  7. Savage JJ, Yaden BC, Kiratipranon P, Rhodes SJ. Transcriptional control during mammalian anterior pituitary development. Gene 319:1–19, 2003.

    PubMed  Article  CAS  Google Scholar 

  8. Tahara S, Kurotani R, Sanno N, Takumi I, Yoshimura S, Osamura RY, et al. Expression of pituitary homeo box 1 (Ptx1) in human non-neoplastic pituitaries and pituitary adenomas. Mod Pathol 13:1097–108, 2000.

    PubMed  Article  CAS  Google Scholar 

  9. Sanno N, Teramoto A, Osamura RY. Clinical and cytofunctional classification of pituitary adenomas: proposal of a new classification. Acta Neurochir (Wien) 138:1186–92, 1996.

    Article  CAS  Google Scholar 

  10. Yu YY, Pan YS, Zhu ZG. Homeobox genes and their functions on development and neoplasm in gastrointestinal tract. Eur J Surg Oncol 33:129–32, 2007.

    PubMed  Article  CAS  Google Scholar 

  11. Suzuki M, Tanaka M, Iwase T, Naito Y, Sugimura H, Kino I. Over-expression of HOX-8, the human homologue of the mouse Hox-8 homeobox gene, in human tumors. Biochem Biophys Res Commun 194:187–93, 1993.

    PubMed  Article  CAS  Google Scholar 

  12. Davidson D. The function and evolution of Msx genes: pointers and paradoxes. Trends Genet 11:405–11, 1995.

    PubMed  Article  CAS  Google Scholar 

  13. Bendall AJ, Abate-Shen C. Roles for Msx and Dlx homeoproteins in vertebrate development. Gene 247:17–31, 2000.

    PubMed  Article  CAS  Google Scholar 

  14. Hill RE, Jones PF, Rees AR, Sime CM, Justice MJ, Copeland NG, et al. A new family of mouse homeo box-containing genes: molecular structure, chromosomal location, and developmental expression of Hox-7.1. Genes Dev 3:26–37, 1989.

    PubMed  Article  CAS  Google Scholar 

  15. Robert B, Sassoon D, Jacq B, Gehring W, Buckingham M. Hox-7, a mouse homeobox gene with a novel pattern of expression during embryogenesis. EMBO J 8:91–100, 1989.

    PubMed  CAS  Google Scholar 

  16. Sarapura VD, Strouth HL, Gordon DF, Wood WM, Ridgway EC. Msx1 is present in thyrotropic cells and binds to a consensus site on the glycoprotein hormone alpha-subunit promoter. Mol Endocrinol 11:1782–94, 1997.

    PubMed  Article  CAS  Google Scholar 

  17. Johnston JD, Klosen P, Barrett P, Hazlerigg DG. Regulation of MT melatonin receptor expression in the foetal rat pituitary. J Neuroendocrinol 18:50–6, 2006.

    PubMed  Article  CAS  Google Scholar 

  18. Kanamori Y, Kigawa J, Itamochi H, Shimada M, Takahashi M, Kamazawa S, et al. Correlation between loss of PTEN expression and Akt phosphorylation in endometrial carcinoma. Clin Cancer Res 7:892–5, 2001.

    PubMed  CAS  Google Scholar 

  19. Sabattini E, Bisgaard K, Ascani S, Poggi S, Piccioli M, Ceccarelli C, et al. The EnVision ++ system: a new immunohistochemical method for diagnostics and research. Critical comparison with the APAAP, ChemMate, CSA, LABC, and SABC techniques. J Clin Pathol 51:506–11, 1998.

    PubMed  CAS  Article  Google Scholar 

  20. Itoh Y, Tanaka S, Takekoshi S, Itoh J, Osamura RY. Prohormone convertases (PC1/3 and PC2) in rat and human pancreas and islet cell tumors: subcellular immunohistochemical analysis. Pathol Int 46:726–37, 1996.

    PubMed  CAS  Google Scholar 

  21. Malide D, Seidah NG, Chretien M, Bendayan M. Electron microscopic immunocytochemical evidence for the involvement of the convertases PC1 and PC2 in the processing of proinsulin in pancreatic beta-cells. J Histochem Cytochem 43:11–9, 1995.

    PubMed  CAS  Google Scholar 

  22. Saito N, Konishi K, Takeda H, Kato M, Sugiyama T, Asaka M. Antigen retrieval trial for post-embedding immunoelectron microscopy by heating with several unmasking solutions. J Histochem Cytochem 51:989–94, 2003.

    PubMed  CAS  Google Scholar 

  23. Tribulo C, Aybar MJ, Nguyen VH, Mullins MC, Mayor R. Regulation of Msx genes by a Bmp gradient is essential for neural crest specification. Development 130:6441–52, 2003.

    PubMed  Article  CAS  Google Scholar 

  24. Tucker AS, Matthews KL, Sharpe PT. Transformation of tooth type induced by inhibition of BMP signaling. Science 282:1136–8, 1998.

    PubMed  Article  CAS  Google Scholar 

  25. Dube ID, Kamel-Reid S, Yuan CC, Lu M, Wu X, Corpus G, et al. A novel human homeobox gene lies at the chromosome 10 breakpoint in lymphoid neoplasias with chromosomal translocation t(10;14). Blood 78(11):2996–3003, 1991.

    PubMed  CAS  Google Scholar 

  26. Aberdam D, Negreanu V, Sachs L, Blatt C. The oncogenic potential of an activated Hox-2.4 homeobox gene in mouse fibroblasts. Mol Cell Biol 11:554–7, 1991.

    PubMed  CAS  Google Scholar 

  27. Cillo C, Faiella A, Cantile M, Boncinelli E. Homeobox genes and cancer. Exp Cell Res 248(1):1–9, 1999.

    PubMed  Article  CAS  Google Scholar 

  28. Cillo C, Barba P, Freschi G, Bucciarelli G, Magli MC, Boncinelli E. HOX gene expression in normal and neoplastic human kidney. Int J Cancer 51(6):892–7, 1992.

    PubMed  Article  CAS  Google Scholar 

  29. Hu G, Lee H, Price SM, Shen MM, Abate-Shen C. Msx homeobox genes inhibit differentiation through upregulation of cyclin D1. Development 128:2373–84, 2001.

    PubMed  CAS  Google Scholar 

  30. Satoh K, Ginsburg E, Vonderhaar BK. Msx-1 and Msx-2 in mammary gland development. J Mammary Gland Biol Neoplasia 9:195–205, 2004.

    PubMed  Article  Google Scholar 

  31. Hibberts NA, Simpson DJ, Bicknell JE, Broome JC, Hoban PR, Clayton RN, et al. Analysis of cyclin D1 (CCND1) allelic imbalance and overexpression in sporadic human pituitary tumors. Clin Cancer Res 5:2133–9, 1999.

    PubMed  CAS  Google Scholar 

  32. Park J, Park K, Kim S, Lee JH. Msx1 gene overexpression induces G1 phase cell arrest in human ovarian cancer cell line OVCAR3. Biochem Biophys Res Commun 281:1234–40, 2001.

    PubMed  Article  CAS  Google Scholar 

  33. Croft JA, Bridger JM, Boyle S, Perry P, Teague P, Bickmore WA. Differences in the localization and morphology of chromosomes in the human nucleus. J Cell Biol 145:1119–31, 1999.

    PubMed  Article  CAS  Google Scholar 

  34. Lamond AI, Earnshaw WC. Structure and function in the nucleus. Science 280:547–53, 1998.

    PubMed  Article  CAS  Google Scholar 

  35. Lyko F, Paro R. Chromosomal elements conferring epigenetic inheritance. BioEssays 21:824–32, 1999.

    PubMed  Article  CAS  Google Scholar 

  36. Weiler KS, Wakimoto BT. Heterochromatin and gene expression in Drosophila. Annu Rev Genet 29:577–605, 1995.

    PubMed  Article  CAS  Google Scholar 

  37. Osamura RY, Watanabe K. Immunohistochemical colocalization of growth hormone (GH) and alpha subunit in human GH secreting pituitary adenomas. Virchows Arch A Pathol Anat Histopathol 411:323–30, 1987.

    PubMed  Article  CAS  Google Scholar 

  38. Horvath E, Kovacs K. Fine structural cytology of the adenohypophysis in rat and man. J Electron Microsc Tech 8:401–32, 1988.

    PubMed  Article  CAS  Google Scholar 

  39. Sanno N, Teramoto A, Matsuno A, Takekoshi S, Itoh J, Osamura RY. Expression of Pit-1 and estrogen receptor messenger RNA in prolactin-producing pituitary adenomas. Mod Pathol 9:526–33, 1996.

    PubMed  CAS  Google Scholar 

  40. Bach I, Carriere C, Ostendorff HP, Andersen B, Rosenfeld MG. A family of LIM domain-associated cofactors confer transcriptional synergism between LIM and Otx homeodomain proteins. Genes Dev 11:1370–80, 1997.

    PubMed  Article  CAS  Google Scholar 

  41. Ellsworth BS, Egashira N, Haller JL, Butts DL, Cocquet J, Clay CM, et al. FOXL2 in the pituitary: molecular, genetic, and developmental analysis. Mol Endocrinol 20:2796–805, 2006.

    PubMed  Article  CAS  Google Scholar 

  42. Sarapura VD, Strouth HL, Wood WM, Gordon DF, Ridgway EC. Activation of the glycoprotein hormone alpha-subunit gene promoter in thyrotropes. Mol Cell Endocrinol 146:77–86, 1998.

    PubMed  Article  CAS  Google Scholar 

Download references

Acknowledgements

The authors thank Prof. Akira Teramoto (Department of Neurosurgery, Nippon Medical School) for kindly supplying the precious specimens of human pituitary TSH-producing adenomas. This work was supported by a grant from the Tokai University School of Medicine Research Aid (2007).

Author information

Affiliations

Authors

Corresponding author

Correspondence to Mitsunori Matsumae.

Rights and permissions

Reprints and Permissions

About this article

Cite this article

Mizokami, Y., Egashira, N., Takekoshi, S. et al. Expression of MSX1 in Human Normal Pituitaries and Pituitary Adenomas. Endocr Pathol 19, 54–61 (2008). https://doi.org/10.1007/s12022-008-9021-7

Download citation

  • Published:

  • Issue Date:

  • DOI: https://doi.org/10.1007/s12022-008-9021-7

Keywords

  • MSX1 (muscle segment homeobox 1)
  • human pituitary adenoma
  • immunohistochemistry
  • immunoelectron microscopy
  • RT-PCR from FFPE samples