Skip to main content

miR-762 modulates thyroxine-induced cardiomyocyte hypertrophy by inhibiting Beclin-1

A Correction to this article was published on 14 January 2020

This article has been updated

Abstract

Purpose

Whether autophagy plays a key role in thyroxine-induced cardiomyocyte hypertrophy, and whether the role of autophagy in thyroxine-induced cardiomyocyte hypertrophy is related to targeting of Beclin-1 by miR-762 remains unclear. This research focused on testing these two hypotheses. Importantly, the results of this study will help us better understand the molecular mechanisms of thyroxine-induced cardiomyocyte hypertrophy.

Methods

In vivo and in vitro, RT-PCR, western blot, and dual luciferase reporter assay were performed to understand the molecular mechanism of thyroxine-induced cardiomyocyte hypertrophy. HE staining, Masson staining, transmission electron microscopy, and immunofluorescence were used to observe intuitively changes of hearts and cardiomyocytes.

Results

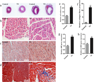
Our results showed that in vivo, serum TT3, TT4, and heart rate were significantly upregulated in the T4 group compared with the control group. Moreover, the surface area of cardiomyocytes was significantly increased in the T4 group, and the structural disorder was accompanied by obvious hyperplasia of collagen fibers. The expression of ANP, and β-MHC was significantly upregulated in the T4 group. In addition, LC3 II/LC3 I, Beclin-1 and the count of autophagic vacuoles were significantly upregulated, but miR-762 was significantly downregulated in the T4 group compared to the control group. Subsequently, a dual luciferase reporter assay suggested that Beclin-1 was the target gene of miR-762. In vitro, the results for the T3 group were consistent with the results for the T4 group. Furthermore, cardiomyocyte hypertrophy and autophagic activity were attenuated in the T3 + miR-762 mimic group compared with the T3 group. In contrast, cardiomyocyte hypertrophy and autophagic activity were aggravated in the T3 + miR-762 inhibitor group compared with the T3 group.

Conclusions

miR-762 modulates thyroxine-induced cardiomyocyte hypertrophy by inhibiting Beclin-1.

This is a preview of subscription content, access via your institution.

Fig. 1
Fig. 2
Fig. 3
Fig. 4
Fig. 5

Change history

  • 14 January 2020

    An amendment to this paper has been published and can be accessed via a link at the top of the paper.

  • 14 January 2020

    An amendment to this paper has been published and can be accessed via a link at the top of the paper.

References

  1. R.S. Bahn, H.B. Burch, D.S. Cooper, J.R. Garber, M.C. Greenlee, I. Klein, P. Laurberg, I.R. McDougall, V.M. Montori, S.A. Rivkees, Hyperthyroidism and other causes of thyrotoxicosis: management guidelines of the American Thyroid Association and American Association of Clinical Endocrinologists. Endocr. Pract. 17(3), 456–520 (2011). https://doi.org/10.14341/ket2011748-18

    Article  PubMed  Google Scholar 

  2. D. Devereaux, S.Z. Tewelde, Hyperthyroidism and thyrotoxicosis. Emerg. Med. Clin. N. Am. 32(2), 277–292 (2014). https://doi.org/10.1016/j.emc.2013.12.001

    Article  Google Scholar 

  3. A.P. Weetman, Graves’ disease. N. Engl. J. Med. 343(17), 1236–1248 (2000). https://doi.org/10.1056/NEJM200010263431707

    CAS  Article  PubMed  Google Scholar 

  4. A. Jabbar, A. Pingitore, S.H. Pearce, A. Zaman, Iervasi G., S. Razvi, Thyroid hormones and cardiovascular disease. Nat. Rev. Cardiol. 14(1), 39–55 (2017). https://doi.org/10.1038/nrcardio.2016.174

    CAS  Article  PubMed  Google Scholar 

  5. J. Yuan, H. Liu, W. Gao, L. Zhang, Y. Ye, L. Yuan, Z. Ding, J. Wu, L. Kang, X. Zhang, MicroRNA-378 suppresses myocardial fibrosis through a paracrine mechanism at the early stage of cardiac hypertrophy following mechanical stress. Theranostics 8(9), 2565–2582 (2018). https://doi.org/10.7150/thno.22878

    CAS  Article  PubMed  PubMed Central  Google Scholar 

  6. J.P. Wang, R.F. Chi, K. Wang, T. Ma, X.F. Guo, X.L. Zhang, B. Li, F.Z. Qin, X.B. Han, B.A. Fan, Oxidative stress impairs myocyte autophagy, resulting in myocyte hypertrophy. Exp. Physiol. 103(4), 461–472 (2018). https://doi.org/10.1113/EP086650

    CAS  Article  PubMed  Google Scholar 

  7. D. Glick, S. Barth, K.F. Macleod, Autophagy: cellular and molecular mechanisms. J. Pathol. 221(1), 3–12 (2010). https://doi.org/10.1002/path.2697

    CAS  Article  PubMed  PubMed Central  Google Scholar 

  8. S. Kaushik, U. Bandyopadhyay, S. Sridhar, R. Kiffin, M. Martinez-Vicente, M. Kon, S.J. Orenstein, E. Wong, A.M. Cuervo, Chaperone-mediated autophagy at a glance. J. Cell Sci. 124(4), 495–499 (2011). https://doi.org/10.1242/jcs.073874

    CAS  Article  PubMed  PubMed Central  Google Scholar 

  9. Shuhei Nakamura, Tamotsu Yoshimori, Autophagy and longevity. Mol. Cells 41(1), 65–72 (2018). https://doi.org/10.14348/molcells.2018.2333

    CAS  Article  PubMed  PubMed Central  Google Scholar 

  10. Y.Y. Sun, S.S. Qin, Y.H. Cheng, C.Y. Wang, X.J. Liu, Y. Liu, X.L. Zhang, W. Zhang, J.X. Zhan, S. Shao, MicroRNA expression profile and functional analysis reveal their roles in contact inhibition and its disruption switch of rat vascular smooth muscle cells. Acta Pharmacol. Sin. 39(5), 885–892 (2018). https://doi.org/10.1038/aps.2018.6

    CAS  Article  PubMed  PubMed Central  Google Scholar 

  11. K. Liu, Q. Hao, J. Wei, G.H. Li, Y. Wu, Y.F. Zhao, MicroRNA-19a/b-3p protect the heart from hypertension-induced pathological cardiac hypertrophy through PDE5A. J. Hypertens. 36(9), 1847–1857 (2018). https://doi.org/10.1097/HJH.0000000000001769

    CAS  Article  PubMed  PubMed Central  Google Scholar 

  12. F. Tang, T.L. Yang, MicroRNA-126 alleviates endothelial cells injury in atherosclerosis by restoring autophagic flux via inhibiting of PI3K/Akt/mTOR pathway. Biochem. Biophys. Res. Commun. 495(1), 1482–1489 (2018). https://doi.org/10.1016/j.bbrc.2017.12.001

    CAS  Article  PubMed  Google Scholar 

  13. H. Liu, P. Liu, X. Shi, D. Yin, J. Zhao, NR4A2 protects cardiomyocytes against myocardial infarction injury by promoting autophagy. Cell Death Discov. 4, 27 (2018). https://doi.org/10.1038/s41420-017-0011-8

    CAS  Article  PubMed  PubMed Central  Google Scholar 

  14. Y. Li, Y. Wang, M. Zou, C. Chen, Y. Chen, R. Xue, Y. Dong, C. Liu, AMPK blunts chronic heart failure by inhibiting autophagy. Biosci. Rep. 38(4), BSR20170982 (2018). https://doi.org/10.1042/BSR20170982

    Article  PubMed  PubMed Central  Google Scholar 

  15. Q. Yao, X. Wang, W. He, Z. Song, B. Wang, J. Zhang, Q. Qin, Circulating microRNA-144-3p and miR-762 are novel biomarkers of Graves’ disease. Endocrine (2019). https://doi.org/10.1007/s12020-019-01884-2.

    CAS  Article  Google Scholar 

  16. H.H. Samuels, J.S. Tsai, J. Casanova, F. Stanley, Thyroid hormone action: in vitro characterization of solubilized nuclear receptors from rat liver and cultured GH1 cells. J. Clin. Investig. 54(4), 853–865 (1974). https://doi.org/10.1172/JCI107825

    CAS  Article  PubMed  Google Scholar 

  17. P.J. Davis, F.B. Davis, S.A. Mousa, M.K. Luidens, H.Y. Lin, Membrane receptor for thyroid hormone: physiologic and pharmacologic implications. Annu. Rev. Pharmacol. Toxicol. 51, 99–115 (2011). https://doi.org/10.1146/annurev-pharmtox-010510-100512

    CAS  Article  PubMed  Google Scholar 

  18. W. Pan, Y. Zhong, C. Cheng, B. Liu, L. Wang, A. Li, L. Xiong, S. Liu, MiR-30-regulated autophagy mediates angiotensin II-induced myocardial hypertrophy. PLoS ONE 8(1), e53950 (2013). 10.1371/journal.pone.0053950

    CAS  Article  Google Scholar 

  19. J. Huang, W. Sun, H. Huang, J. Ye, W. Pan, Y. Zhong, C. Cheng, X. You, B. Liu, L. Xiong, miR-34a modulates angiotensin II-induced myocardial hypertrophy by direct inhibition of ATG9A expression and autophagic activity. PLoS ONE 9(4), e94382 (2014). 10.1371/journal.pone.0094382

    Article  Google Scholar 

  20. A.L. Li, J.B. Lv, L. Gao, MiR-181a mediates Ang II-induced myocardial hypertrophy by mediating autophagy. Eur. Rev. Med. Pharmacol. Sci. 21(23), 5462–5470 (2017). https://doi.org/10.26355/eurrev20171213936

    Article  PubMed  Google Scholar 

  21. Z. Li, Y. Song, L. Liu, N. Hou, X. An, D. Zhan, Y. Li, L. Zhou, P. Li, L. Yu, miR-199a impairs autophagy and induces cardiac hypertrophy through mTOR activation. Cell Death Differ. 24(7), 1205–1213 (2017). https://doi.org/10.1038/cdd.2015.95

    CAS  Article  PubMed  Google Scholar 

  22. M. Su, J. Wang, C. Wang, X. Wang, W. Dong, W. Qiu, Y. Wang, X. Zhao, Y. Zou, L. Song, MicroRNA-221 inhibits autophagy and promotes heart failure by modulating the p27/CDK2/mTOR axis. Cell Death Differ. 22(6), 986–999 (2015). https://doi.org/10.1038/cdd.2014.187

    CAS  Article  PubMed  Google Scholar 

  23. M. Su, Z. Chen, C. Wang, L. Song, Y. Zou, L. Zhang, R. Hui, J. Wang, Cardiac-specific overexpression of miR-222 induces heart failure and inhibits autophagy in mice. Cell Physiol. Biochem. 39(4), 1503–1511 (2016). https://doi.org/10.1159/00044785

    CAS  Article  PubMed  Google Scholar 

  24. M.A. Cortez, C. Bueso-Ramos, J. Ferdin, G. Lopez-Berestein, A.K. Sood, G.A. Calin, MicroRNAs in body fluids-the mix of hormones and biomarkers. Nat. Rev. Clin. Oncol. 8(8), 467–477 (2011). https://doi.org/10.1038/nrclinonc.2011.76

    CAS  Article  PubMed  PubMed Central  Google Scholar 

  25. L. Zheng, C. Zhuang, X. Wang, L. Ming, Serum miR-146a, miR-155, and miR-210 as potential markers of Graves’ disease. J. Clin. Lab. Anal. 32(2) (2018). https://doi.org/10.1002/jcla.22266

    Article  Google Scholar 

  26. J. Wang, Y. Xiao, H. Zhang, Role of miR-146a in the Regulation of Inflammation in an In Vitro Model of Graves’ orbitopathy. Investig. Ophthalmol. Vis. Sci. 57(15), 6795 (2016). https://doi.org/10.1167/iovs.16-20559

    Article  Google Scholar 

Download references

Funding

The work was supported by the National Natural Science Foundation of China (81660046), the Guangxi Scholarship Fund of the Guangxi Education Department, and the Natural Science Foundation of Guangxi Province (2018GXNSFAA050096).

Author information

Affiliations

Authors

Corresponding authors

Correspondence to Zheng Qiang or Fang Liu.

Ethics declarations

Conflict of interest

The authors declare that they have no conflict of interest.

Ethical approval

All animal protocols were approved by the review board of the Animal Care and Ethics Committee of Guilin Medical University.

Additional information

Publisher’s note Springer Nature remains neutral with regard to jurisdictional claims in published maps and institutional affiliations.

Rights and permissions

Reprints and Permissions

About this article

Verify currency and authenticity via CrossMark

Cite this article

Qiang, Z., Jin, B., Peng, Y. et al. miR-762 modulates thyroxine-induced cardiomyocyte hypertrophy by inhibiting Beclin-1. Endocrine 66, 585–595 (2019). https://doi.org/10.1007/s12020-019-02048-y

Download citation

  • Received:

  • Accepted:

  • Published:

  • Issue Date:

  • DOI: https://doi.org/10.1007/s12020-019-02048-y

Keywords

  • miR-762
  • Beclin-1
  • Autophagy
  • Thyroxine
  • Cardiomyocyte hypertrophy