Abstract
Purpose
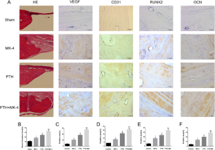
The aim of this study was to evaluate the effect of combining human parathyroid hormone (1–34) (PTH1–34; PTH) and menaquinone-4 (MK-4) on calvarial bone defect repair in osteopenic rats.
Methods
Fourteen week olds were subject to craniotomy for the establishment of osteopenic animal models fed through a chronically low-protein diet. After that, critical calvarial defect model was established and all rats were randomly divided into four groups: sham, MK-4, PTH, and PTH + MK-4. The animals received MK-4 (30 mg/kg/day), PTH1–34 (60 μg/kg, three times a week), or PTH1–34 (60 μg/kg, three times a week) plus MK-4 (30 mg/kg/day) for 8 weeks, respectively. Serum γ-carboxylated osteocalcin (Gla-OC) levels, histological and immunofluorescent labeling were employed to evaluate the bone formation and mineralization in calvarial bone defect. In addition, Microfil perfusion, immunohistochemical, and micro-CT suggested enhanced angiogenesis and bone formation in calvarial bone healing.
Results
In this study, treatment with either PTH1–34 or MK-4 promoted bone formation and vascular formation in calvarial bone defects compared with the sham group. In addition, combined treatment of PTH1–34 plus MK-4 increased serum level of Gla-OC, improved vascular number and vascular density, and enhanced bone formation in calvarial bone defect in osteopenic conditions as compared with monotherapy.
Conclusions
In summary, this study indicated that PTH1–34 plus MK-4 combination therapy accelerated bone formation and angiogenesis in calvarial bone defects in presence of osteopenia.





Similar content being viewed by others
References
R. Dayer, T.C. Brennan, R. Rizzoli, P. Ammann, PTH improves titanium implant fixation more than pamidronate or renutrition in osteopenic rats chronically fed a low protein diet. Osteoporos. Int. 21(6), 957–967 (2010)
Z. Tao, W. Zhou, K. Tu, Z. Huang, Q. Zhou, T. Sun, Y. Lv, W. Cui, L. Yang, Treatment study of distal femur for parathyroid hormone (1-34) and β-tricalcium phosphate on bone formation in critical-sized defects in osteopenic rats. J. Craniomaxillofac. Surg. 43(10), 2136–2143 (2015)
F. Kaleagasioglu, E. Olcay, R. Onur, Statins as potential agents for the prevention and treatment of osteoporosis. Endocrine 62(1), 269–269 (2018)
L.M. Metcalf, T.J. Aspray, E.V. Mccloskey, The effects of parathyroid hormone peptides on the peripheral skeleton of postmenopausal women. A systematic review. Bone 99, 39–46 (2017)
Y. Rhee, R. Namgung, D.H. Park, H.C. Lee, G.B. Huh, S.K. Lim, The effects of recombinant human parathyroid hormone, rhPTH(1-84), on bone mass in undernourished rats. J. Endocrinol. 174(3), 419–425 (2002)
M. Sato, M. Westmore, J. Clendenon, S. Smith, B. Hannum, G.Q. Zeng, R. Brommage, C.H. Turner, Three-dimensional modeling of the effects of parathyroid hormone on bone distribution in lumbar vertebrae of ovariectomized cynomolgus macaques. Osteoporos. Int.11(10), 871–880 (2000)
N. Andersson, M.K. Lindberg, C. Ohlsson, K. Andersson, B. Ryberg, Repeated in vivo determinations of bone mineral density during parathyroid hormone treatment in ovariectomized mice. J. Endocrinol. 170(3), 529 (2001)
Z.S. Tao, W.S. Zhou, K.K. Tu, Z.L. Huang, Q. Zhou, T. Sun, Y.X. Lv, W. Cui, L. Yang, Effect exerted by Teriparatide upon Repair Function of beta-tricalcium phosphate to ovariectomised rat’s femoral metaphysis defect caused by osteoporosis. Injury 46(11), 2134–2141 (2015). https://doi.org/10.1016/j.injury.2015.07.042
Y. Gabet, R. Müller, J. Levy, R. Dimarchi, M. Chorev, I. Bab, D. Kohavi, Parathyroid hormone 1-34 enhances titanium implant anchorage in low-density trabecular bone: a correlative micro-computed tomographic and biomechanical analysis. Bone 39(2), 276–282 (2006)
Z.S. Tao, W.S. Zhou, B.L. Bai, W. Cui, Y.X. Lv, X.B. Yu, Z.L. Huang, K.K. Tu, Q. Zhou, T. Sun, The effects of combined human parathyroid hormone (1-34) and simvastatin treatment on the interface of hydroxyapatite-coated titanium rods implanted into osteopenic rats femurs. J. Mater. Sci. Mater. Med. 27(3), 43 (2016)
P. Esbrit, M.V. Alvarez-Arroyo, M.F. De, O. Martin, M.E. Martinez, C. Caramelo, C-terminal parathyroid hormone-related protein increases vascular endothelial growth factor in human osteoblastic cells. J. Am. Soc. Nephrol. 11(6), 1085–1092 (2000)
S.Y. Kang, S.S. Deshpande, A. Donneys, J.J. Rodriguez, N.S. Nelson, P.A. Felice, D.B. Chepeha, S.R. Buchman, Parathyroid hormone reverses radiation induced hypovascularity in a murine model of distraction osteogenesis. Bone 56(1), 9–15 (2013)
D.D. Bikle, T. Sakata, C. Leary, H. Elalieh, D. Ginzinger, C.J. Rosen, W. Beamer, S. Majumdar, B.P. Halloran, Insulin‐like growth factor I is required for the anabolic actions of parathyroid hormone on mouse bone. J. Bone Mineral. Res. 17(9), 1570–1578 (2002)
G.J. Atkins, K.J. Welldon, A.R. Wijenayaka, L.F. Bonewald, D.M. Findlay, Vitamin K promotes mineralization, osteoblast-to-osteocyte transition, and an anticatabolic phenotype by {gamma}-carboxylation-dependent and -independent mechanisms. Am. J. Physiol. Cell. Physiol. 297(6), C1358 (2009)
D. Mandatori, L. Penolazzi, C. Pipino, T.P. Di, S.S. Di, P.N. Di, S. Trevisani, M. Angelozzi, M. Ucci, R. Piva, Menaquinone-4 enhances osteogenic potential of human amniotic fluid mesenchymal stem cells cultured in a 2D and 3D dynamic culture system. J. Tissue Eng. Regen. Med. 12(6), 447–459 (2017)
N. Sasaki, E. Kusano, H. Takahashi, Y. Ando, K. Yano, E. Tsuda, Y. Asano, Vitamin K2 inhibits glucocorticoid-induced bone loss partly by preventing the reduction of osteoprotegerin (OPG). J. Bone Mineral. Metab. 23(1), 41–47 (2005)
J. Iwamoto, A. Seki, Y. Sato, H. Matsumoto, T. Tadeda, J.K. Yeh, Vitamin K2 promotes bone healing in a rat femoral osteotomy model with or without glucocorticoid treatment. Calcif. Tissue Int. 86(3), 234–241 (2010)
M. Igarashi, Y. Yogiashi, M. Mihara, I. Takada, H. Kitagawa, S. Kato, Retraction for Igarashi et al., Vitamin K induces osteoblast differentiation through pregnane X receptor-mediated transcriptional control of the Msx2 gene. Mol. Cell. Biol. 34(5), 918 (2014)
Y. Zhang, J. Yin, D. Hao, C. Zhang, Y.S. Gao, Vitamin K2 ameliorates damage of blood vessels by glucocorticoid: a potential mechanism for its protective effects in glucocorticoid-induced osteonecrosis of the femoral head in a rat model. Int. J. Biol. Sci. 12(7), 776 (2016)
H. Li, Q. Zhou, B.L. Bai, S.J. Weng, Z.Y. Wu, Z.J. Xie, Z.H. Feng, L. Cheng, V. Boodhun, L. Yang, Effects of combined human parathyroid hormone (1-34) and menaquinone-4 treatment on the interface of hydroxyapatite-coated titanium implants in the femur of osteoporotic rats. J. Bone Mineral Metabolism, 1–9 (2017). https://doi.org/10.1007/s00774-017-0893-9
Q. Xie, W. Zi, Y. Huang, X. Bi, H. Zhou, L. Ming, Y. Zhang, Y. Wang, N. Ni, S. Jing, Characterization of human ethmoid sinus mucosa derived mesenchymal stem cells (hESMSCs) and the application of hESMSCs cell sheets in bone regeneration. Biomaterials 66, 67 (2015)
S. Bourrin, A. Toromanoff, P. Ammann, J.P. Bonjour, R. Rizzoli, Dietary protein deficiency induces osteoporosis in aged male rats. J. Bone Mineral. Res. 15(8), 1555–1563 (2010)
P.P. Spicer, J.D. Kretlow, S. Young, J.A. Jansen, F.K. Kasper, A.G. Mikos, Evaluation of bone regeneration using the rat critical size calvarial defect. Nat. Protoc. 7(10), 1918–1929 (2012)
N. Nagura, J. Komatsu, H. Iwase, H. Hosoda, O. Ohbayashi, I. Nagaoka, K. Kaneko, Effects of the combination of vitamin K and teriparatide on the bone metabolism in ovariectomized rats. Biomed. Rep. 3(3), 295 (2015)
G.L. Barnes, S. Kakar, S. Vora, E.F. Morgan, L.C. Gerstenfeld, T.A. Einhorn, Stimulation of fracture-healing with systemic intermittent parathyroid hormone treatment. J. Bone Jt. Surg. Am. 90(Suppl 1(2)), 120 (2008)
R.L. Jilka, R.S. Weinstein, T. Bellido, P. Roberson, A.M. Parfitt, S.C. Manolagas, Increased bone formation by prevention of osteoblast apoptosis with parathyroid hormone. J. Clin. Investig. 104(4), 439–446 (1999)
A.P. Kusumbe, S.K. Ramasamy, R.H. Adams, Coupling of angiogenesis and osteogenesis by a specific vessel subtype in bone. Nature 507(7492), 323–328 (2014). https://doi.org/10.1038/nature13145
G. Karsenty, E.F. Wagner, Reaching a genetic and molecular understanding of skeletal development. Dev. Cell. 2(4), 389–406 (2002)
M. Wu, J.D. Zhang, R.N. Tang, S.D. Crowley, H. Liu, L.L. Lv, K.L. Ma, B.C. Liu, Elevated PTH induces endothelial to chondrogenic transition in aortic endothelial cells. Am. J. Physiol. Renal Physiol. 312(3), ajprenal.00210.02016 (2016).
J. Iwamoto, Vitamin K2 Therapy for Postmenopausal Osteoporosis. Nutrients 6(5), 1971–1980 (2014)
J. Stenflo, P. Fernlund, W. Egan, P. Roepstorff, Vitamin K dependent modifications of glutamic acid residues in prothrombin. Proc. Natl Acad. Sci. USA 71(7), 2730–2733 (1974)
G.L. Nelsestuen, T.H. Zytkovicz, J.B. Howard, The mode of action of vitamin K identification of γ-carboxyglutamic acid as a component of prothROMBIN. J. Biol. Chem. 249(19), 6347–6350 (1974)
T. Inoue, T. Fujita, H. Kishimoto, T. Makino, T. Nakamura, T. Nakamura, T. Sato, K. Yamazaki, Randomized controlled study on the prevention of osteoporotic fractures (OF study): a phase IV clinical study of 15-mg menatetrenone capsules. J. Bone & Mineral. Metab. 27(1), 66–75 (2009)
T. Shimizu, M. Takahata, Y. Kameda, H. Hamano, T. Ito, H. Kimura-Suda, M. Todoh, S. Tadano, N. Iwasaki, Vitamin K-dependent carboxylation of osteocalcin affects the efficacy of teriparatide (PTH(1-34)) for skeletal repair. Bone 64, 95–101 (2014). https://doi.org/10.1016/j.bone.2014.04.005
H.H. Thijssen, M.J. Drittij-Reijnders, Vitamin K status in human tissues: tissue-specific accumulation of phylloquinone and menaquinone-4. Br. J. Nutr. 75(1), 121–127 (1996)
M. Shiraki, Y. Shiraki, C. Aoki, M. Miura, Vitamin K2 (menatetrenone) effectively prevents fractures and sustains lumbar bone mineral density in osteoporosis. J. Bone Mineral. Res. 15(3), 515–521 (2000)
I. Jun, Vitamin K? Therapy for postmenopausal osteoporosis. Nutrients 6(5), 1971–1980 (2014)
K.P.D. Yasuko, K. Hoshi, Vitamin K2 enhances osteocalcin accumulation in the extracellular matrix of human osteoblasts in vitro. J. Bone Mineral. Res. 12(3), 431 (1997)
H. Yoshiji, R. Noguchi, M. Toyohara, Y. Ikenaka, M. Kitade, K. Kaji, M. Yamazaki, J. Yamao, A. Mitoro, M. Sawai, Combination of vitamin K2 and angiotensin-converting enzyme inhibitor ameliorates cumulative recurrence of hepatocellular carcinoma. J. Hepatol. 51(2), 315–321 (2009)
J.M. Hegarty, H. Yang, N.C. Chi, UBIAD1-mediated vitamin K2 synthesis is required for vascular endothelial cell survival and development. Development 140(8), 1713–1719 (2013)
Y.L. Zhang, J.H. Yin, H. Ding, W. Zhang, C.Q. Zhang, Y.S. Gao, Vitamin K2 prevents glucocorticoid-induced osteonecrosis of the femoral head in rats. Int. J. Biol. Sci. 12(4), 347–358 (2016)
Y. Iwasaki, H. Yamato, H. Murayama, T. Takahashi, I. Ezawa, K. Kurokawa, M. Fukagawa, Menatetrenone prevents osteoblast dysfunction in unilateral sciatic neurectomized rats. J. Pharmacol. Sci. 90(1), 88–93 (2002)
K. Hara, Y. Akiyama, T. Nakamura, S. Murota, I. Morita, The inhibitory effect of vitamin K2 (menatetrenone) on bone resorption may be related to its side chain. Bone 16(2), 179–184 (1995)
Acknowledgements
The study was supported by the Science Technology Department of Zhejiang Province (Grant No.:2016C37122), National Natural Science Foundation of China (Grant No.:81772348).
Author information
Authors and Affiliations
Corresponding author
Ethics declarations
Conflict of interest
The authors declare that they have no conflict of interest.
Ethical approval
Animals were handled with the approval of the Animal Experimentation Ethics Committee of Second Affiliated Hospital of Wenzhou Medical University.
Rights and permissions
About this article
Cite this article
Weng, SJ., Xie, ZJ., Wu, ZY. et al. Effects of combined menaquinone-4 and PTH1–34 treatment on osetogenesis and angiogenesis in calvarial defect in osteopenic rats. Endocrine 63, 376–384 (2019). https://doi.org/10.1007/s12020-018-1761-7
Received:
Accepted:
Published:
Issue Date:
DOI: https://doi.org/10.1007/s12020-018-1761-7


