Skip to main content

Effects of management in gestational diabetes mellitus with normal prepregnancy body mass index on pregnancy outcomes and placental ultrastructures: a prospective cohort study

Abstract

A great quantity of gestational diabetes mellitus with normal prepregnancy body mass index have emerged with the new criteria of gestational diabetes mellitus in China based on the International Diabetes in Pregnancy Consensus group criteria, and understanding placental changes and how they affect outcomes are necessary in order to develop effective management approach. The aim of this study was to prospectively explore the effect of active management starting from the late second trimester in gestational diabetes mellitus women with normal prepregnancy body mass index on pregnancy outcomes and placental ultrastructures, and to provide scientific evidences for optimizing the management of gestational diabetes mellitus in China. Gestational diabetes mellitus women with normal prepregnancy body mass index in the same period of this prospective cohort study were divided into intervention group (n = 51) and control group (n = 55). The intervention group was managed rigorously, while the control group received conventional prenatal cares. The glucose profile, gestational weight gain and pregnancy outcomes were followed up and placental ultrastructures were observed and recorded by transmission electron microscopy. The blood glucose level and gestational weight gain in intervention group were significantly better controlled than those in control group (P < 0.01). The incidences of fetal distress, cesarean section and large for gestational age were significantly lower in intervention group than in control group (P < 0.05). There was a significant reduction in the incidence of abnormal placental ultrastructure in the intervention group (P < 0.01). After adjustment for confounding factors, the undesirable glycemic control and conventional management were related to abnormal placental ultrastructure (P < 0.05). Meanwhile, the undesirable glycemic control, abnormal placental ultrastructure and conventional management made sense in the incidence of fetal distress (P < 0.05), and the target glycemic control, recommend weight gain and active management were associated with reductions in the prevalence of cesarean delivery and large for gestational age (P < 0.05). The active management of gestational diabetes mellitus women with normal prepregnancy body mass index can improve pregnancy outcomes and placental ultrastructures, and the abnormal placental ultrastructure might be closely associated with the undesirable glycemic control and adverse pregnancy outcomes.

This is a preview of subscription content, access via your institution.

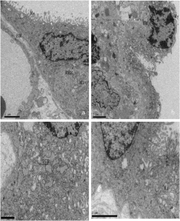
Fig. 1

References

  1. O. Langer, M. Miodovnik, E.A. Reece, B.M. Rosenn, The proceedings of the diabetes in pregnancy study group of North America 2009 conference. J. Matern. Fetal Neonatal Med. 23, 196–198 (2010)

    Article  PubMed  Google Scholar 

  2. T. Gasim, Gestational diabetes mellitus, maternal and perinatal outcomes in 220 Saudi Women. Oman Med. J. 27, 140–144 (2012)

    CAS  Article  PubMed  PubMed Central  Google Scholar 

  3. W.W. Zhu, H.X. Yang, Y.M. Wei, J. Yan, Z.L. Wang, X.L. Li,H.R. Wu, N. Li, M.H. Zhang, X.H. Liu, H. Zhang, Y.H. Wang,J.M. Niu, Y.J. Gan, L.R. Zhong, Y.F. Wang, A. Kapur, Evaluation of the value of fasting plasma glucose in the first prenatal visit to diagnose gestational diabetes mellitus in China. Diabetes Care 36, 586–590 (2013)

    CAS  Article  PubMed  PubMed Central  Google Scholar 

  4. H.X. Yang, Medical Service Specialty Standard Committee of Ministry of Health, Diagnostic criteria for gestational diabetes mellitus (WS 331-2001). Chin. Med. J. (Engl) 125, 1212–1213 (2012)

    Google Scholar 

  5. B.E. Metzger, S.G. Gabbe, B. Persson, T.A. Buchanan, P.A. Catalano, P. Damm, A.R. Dyer, Ad Leiva, M. Hod, J.L. Kitzmiler, L.P. Lowe, H.D. McIntyre, J.J. Oats, Y. Omori, M.I. Schmidt, International association of diabetes and pregnancy study groups recommendations on the diagnosis and classification of hyperglycemia in pregnancy. Diabetes Care 33, 676–82 (2010)

    Article  PubMed  Google Scholar 

  6. H.A. Abenhaim, R.A. Kinch, L. Morin, A. Benjamin, R. Usher, Effect of prepregnancy body mass index categories on obstetrical and neonatal outcomes. Arch. Gynecol. Obstet. 275, 39–43 (2007)

    Article  PubMed  Google Scholar 

  7. M.J. Greuter, N.M. van Emmerik, M.G. Wouters, M.W. van Tulder, Quality of guidelines on the management of diabetes in pregnancy: a systematic review. BMC Pregnancy Childbirth 12, 58 (2012)

    Article  PubMed  PubMed Central  Google Scholar 

  8. R. Gabbay-Benziv, A.A. Baschat, Gestational diabetes as one of the “great obstetrical syndromes”—the maternal, placental, and fetal dialog. Best Pract. Res. Clin. Obstet. Gynaecol. 29, 150–155 (2015)

    Article  PubMed  Google Scholar 

  9. L. Hartling, D.M. Dryden, A. Guthrie, M. Muise, B. Vandermeer, L. Donovan, Diagnostic thresholds for gestational diabetes and their impact on pregnancy outcomes: a systematic review. Diabet Med. 31, 319–331 (2014)

    CAS  Article  PubMed  Google Scholar 

  10. E. Hadar, J. Oats, M. Hod, Towards new diagnostic criteria for diagnosing GDM: the HAPO study. J. Perinat. Med. 37, 447–449 (2009)

    Article  PubMed  Google Scholar 

  11. S. Dzakpasu, J. Fahey, R.S. Kirby, S.C. Tough, B. Chalmers, M.I. Heaman, S. Bartholomew, A. Biringer, E.K. Darling, L.S.Lee, S.D. McDonald, Contribution of prepregnancy body mass index and gestational weight gain to caesarean birth in Canada. BMC Pregnancy Childbirth 14, 106 (2014)

    Article  PubMed  PubMed Central  Google Scholar 

  12. M.H. Black, D.A. Sacks, A.H. Xiang, J.M. Lawrence, The relative contribution of prepregnancy overweight and obesity, gestational weight gain, and IADPSG-defined gestational diabetes mellitus to fetal overgrowth. Diabetes Care 26, 56–62 (2013)

    Article  Google Scholar 

  13. M. Blomberg, Maternal and neonatal outcomes among obese women with weight gain below the new Institute of Medicine recommendations. Obstet. Gynecol. 117, 1065–1070 (2011)

    Article  PubMed  Google Scholar 

  14. A. McGiveron, S. Foster, J. Pearce, M.A. Taylor, S. McMullen, S.C. Langley-Evans, Limiting antenatal weight gain improves maternal health outcomes in severely obese pregnant women: finding of a pragmatic evaluation of a midwife-led intervention. J. Hum. Nutr. Diet. 28(Suppl. 1), 29–37 (2015)

    Article  PubMed  Google Scholar 

  15. Y.D. Yang, H.X. Yang, Investigation into the clinical suitability of Institute of Medicine 2009 guidelines regarding weight gain during pregnancy for women with full term singleton fetus in China. Zhonghua Fu Chan Ke Za Zhi. 47, 646–650 (2012)

    PubMed  Google Scholar 

  16. Institute of Medicine. Weight gain during pregnancy: reexamining the guidelines. (The National Academies Press, Washington), 2009)

    Google Scholar 

  17. E. Derbyshire, J. Davies, V. Costarelli, P. Dettmar, Prepregnancy body mass index and dietary intake in the first trimester of pregnancy. J. Hum. Nutr. Diet. 19, 267–273 (2006)

    CAS  Article  PubMed  Google Scholar 

  18. C.X. Shen, X.N. Liu, Ultrastructural changes and effects of gestational diabetes mellitus on placental tissue. Zhonghua Bing Li Xue Za Zhi. 40, 856–859 (2011)

    PubMed  Google Scholar 

  19. C.J. Jones, H. Fox, Placental changes in gestational diabetes, an ultrastructural study. Obstet. Gynecol. 48, 274–280 (1976)

    CAS  PubMed  Google Scholar 

  20. D.K. Turok, S.D. Ratcliffe, E.G. Baxley, Management of gestational diabetes mellitus. Am. Fam. Physician 68, 1767–1772 (2003)

    PubMed  Google Scholar 

  21. M.B. Landon, C.Y. Spong, E. Thom, M.W. Carpenter, S.M. Ramin, B. Casey, R.J. Wapner, M.W. Varner, D.J. Rouse, J.M. Thorp Jr, A. Sciscione, P. Catalano, M. Harper, G. Saade, K.Y. Lain, Y. Sorokin, A.M. Peaceman, J.E. Tolosa, G.B. Anderson, A multicenter, randomized trial of treatment for mild gestational diabetes. N. Engl. J. Med. 361, 1339–1348 (2009)

    CAS  Article  PubMed  PubMed Central  Google Scholar 

  22. M. Bonomo, D. Corica, E. Mion, D. Goncalves, G. Motta, R. Merati, A. Ragusa, A. Morabito, Evaluating the therapeutic approach in pregnancies complicated by borderline glucose intolerance: a randomized clinical trial. Diabet. Med. 22, 1536–1541 (2005)

    CAS  Article  PubMed  Google Scholar 

  23. O. Langer, Y. Yogev, O. Most, E.M. Xenakis, Gestational diabetes: the consequences of not treating. Am. J. Obstet. Gynaecol. 192, 989–997 (2005)

    Article  Google Scholar 

  24. D.K. Turok, S.D. Ratcliffe, E.G. Baxley, Management of gestational diabetes mellitus. Am. Fam. Physician 68, 1767–1773 (2003)

    PubMed  Google Scholar 

  25. D. Getahun, C.V. Ananth, M.R. Peltier, H.M. Salihu, W.E. Scorza, Changes in prepregnancy body mass index between the first and second pregnancies and risk of large-for-gestational-age birth. Am. J. Obstet. Gynecol. 196, e1–e8 (2007)

    Article  Google Scholar 

  26. B.K. Erica, S.M. Alison, B.A. Kim, Excess maternal weight gain and large for gestational age risk among women with gestational diabetes. Am. J. Perinatol. 32, 251–256 (2015)

    PubMed  Google Scholar 

  27. B.M. Casey, L. Mele, M.B. Landon, C.Y. Spong, S.M. Ramin, R.J. Wapner, M.W. Varner, D.J. Rouse, J.M. Thorp Jr, P. Catalano, M. Harper, G. Saade, Y. Sorokin, A.M. Peaceman, Does maternal body mass index influence treatment effect in women with mild gestational diabetes? Am. J. Perinatol. 32, 93–100 (2015)

    Article  PubMed  Google Scholar 

  28. E.M. Strøm-Roum, C. Haavaldsen, T.G. Tanbo, A. Eskild, Placental weight relative to birthweight in pregnancies with maternal diabetes mellitus. Acta Obstet. Gynecol. Scand 92, 783–789 (2013)

    Article  PubMed  Google Scholar 

  29. M.S. al-Okail, O.S. al-Attas, Histological changes in placental syncytiotrophoblasts of poorly controlled gestational diabetic patients. Endocr. J. 41, 353–360 (1994)

    Article  Google Scholar 

Download references

Acknowledgments

The study was partly supported by National Natural Science Foundation of China (81501258), Maternal and Children Health Research Project of Jiangsu Province (F201329) and Jiangsu Provincial Commission of Health and Family Planning Youth Research Project (Q201512).

Author information

Affiliations

Authors

Corresponding author

Correspondence to Yan-li Zheng.

Ethics declarations

Conflict of interest

The authors declare that they have no conflict of interests.

Rights and permissions

Reprints and Permissions

About this article

Verify currency and authenticity via CrossMark

Cite this article

Han, Y., Zheng, Yl., Wu, Am. et al. Effects of management in gestational diabetes mellitus with normal prepregnancy body mass index on pregnancy outcomes and placental ultrastructures: a prospective cohort study. Endocrine 54, 691–699 (2016). https://doi.org/10.1007/s12020-016-1064-9

Download citation

  • Received:

  • Accepted:

  • Published:

  • Issue Date:

  • DOI: https://doi.org/10.1007/s12020-016-1064-9

Keywords

  • Gestational diabetes mellitus
  • Pregnancy outcome
  • Placenta
  • Ultrastructure
  • Management