Skip to main content

High-fat diet combined with low-dose streptozotocin injections induces metabolic syndrome in Macaca mulatta

Abstract

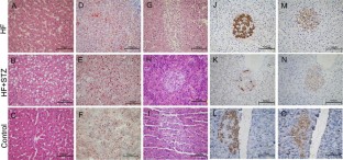
Metabolic syndrome (MetS) is associated with abdominal obesity, hyperlipidemia, insulin resistance, and type 2 diabetes mellitus, and increases the risk of cardiovascular disease. Given the complex multifactorial pathogenesis of MetS, qualified animal models are currently seriously limited for researchers. The aim of our study was to develop a MetS model in juvenile rhesus monkeys (Macaca mulatta). Rhesus monkeys (1-year-old) fed a high-fat diet (15 % fat, 2 % cholesterol) were used as the HF group (n = 6), and those on a normal diet (5 % fat) were used as the control group (n = 4). After being fed a high-fat diet for approximately 12 months, 2 monkeys (HF + STZ group) were injected with low-dose streptozotocin (STZ, 25 mg/kg) twice, with a 7 days interval, and were then fed the same diet continuously for another 24 months. After 36 months of treatment, the high-fat diet monkeys, including the HF and HF + STZ groups, had acquired increased body weights, abnormal serum lipids, and impaired glucose tolerance compared to the control group. In addition, much more marked metabolic changes were observed in the two monkeys of the HF + STZ group, particularly in terms of high-blood glucose level and insulin resistance. Morphological observation of biopsies of liver and pancreatic tissues showed decreased islet number and mass and decreased insulin staining in the monkeys of the HF + STZ group. In addition, Oil red O staining suggested remarkable accumulation of lipid droplets in the hepatocytes. Our study suggested that a long-term high-fat diet followed with a low-dose STZ was able to induce MetS in juvenile rhesus monkeys with faster pathophysiological progress compared with high-fat diet induction alone. Our primary data showed that this method may have potentials to develop MetS animal model in non-human primates.

This is a preview of subscription content, access via your institution.

Fig. 1
Fig. 2
Fig. 3
Fig. 4

References

  1. N.L. Bodkin, B.L. Metzger, B.C. Hansen et al., Hepatic glucose production and insulin sensitivity preceding diabetes in monkeys. Am. J. Physiol. 256, E676–E681 (1989)

    CAS  PubMed  Google Scholar 

  2. A. Clark, E.J. de Koning, A.T. Hattersley, B.C. Hansen, C.S. Yajnik, J. Poulton et al., Pancreatic pathology in non-insulin dependent diabetes (NIDDM). Diabetes Res. Clin. Pract. 28(Suppl), S39–S47 (1995)

    PubMed  Article  Google Scholar 

  3. B.C. Hansen, N.L. Bodkin et al., Heterogeneity of insulin responses: phases leading to type 2 (non-insulin-dependent) diabetes mellitus in the rhesus monkey. Diabetologia 29, 713–719 (1986)

    CAS  PubMed  Article  Google Scholar 

  4. B.C. Hansen, N.L. Bodkin et al., Beta-cell hyperresponsiveness: earliest event in development of diabetes in monkeys. Am. J. Physiol. 259, R612–R617 (1990)

    CAS  PubMed  Google Scholar 

  5. B.C. Hansen, J.S. Striffler, N.L. Bodkin et al., Decreased hepatic insulin extraction precedes overt noninsulin dependent (type II) diabetes in obese monkeys. Obes. Res. 1, 252–260 (1993)

    CAS  PubMed  Article  Google Scholar 

  6. B.C. Hansen, Primate models of type 2 diabetes, in Diabetes Mellitus: A Fundamental and Clinical Text, 3rd edn., ed. by D. LeRoith, J.M. Olefsky, S.I. Taylor (Lippincott Williams, Philadelphia, 2004), pp. 1059–1074

    Google Scholar 

  7. X.T. Tigno, B.C. Hansen et al., The rhesus monkey (Macacamulatta) manifests all features of human type 2 diabetes, in Animal Models of Diabetes, Sexond Edition: Frontiers in Research, ed. by E. Shafrir (CRC Press, Boca Raton, 2007), pp. 251–270

    Chapter  Google Scholar 

  8. X. Zhou, D. Han, R. Xu, S. Li, H. Wu, C. Qu, F. Wang, X. Wang, Y. Zhao, A model of metabolic syndrome and related diseases with intestinal endotoxemia in rats fed a high fat and high sucrose diet. PLoS ONE 9(12), e115148 (2014). PMID: 25502558

    PubMed Central  PubMed  Article  Google Scholar 

  9. L. Torres-Rovira, S. Astiz, A. Caro, C. Lopez-Bote, C. Ovilo, P. Pallares, M.L. Perez-Solana, R. Sanchez-Sanchez, A. Gonzalez-Bulnes, Diet-induced swine model with obesity/leptin resistance for the study of metabolic syndrome and type 2 diabetes. Sci. World J. (2012). doi:10.1100/2012/510149

    Google Scholar 

  10. F.W. te Marinus, S.-J. Koopmans, L. Kruijt, M.P. Calus, M.A. Smits, Plasma proteome profiles associated with diet-induced metabolic syndrome and the early onset of metabolic syndrome in a pig model. PLoS ONE 8(9), e73087 (2013)

    Article  Google Scholar 

  11. J.J. Kaneko, Carbohydrate metabolism, in The clinical chemistry of laboratory animals, 2nd edn., ed. by W.F. Loeb, F.W. Quimby (Taylor and Francis, Philadelphia, 1999)

    Google Scholar 

  12. X. Jin, L. Zeng, S. He et al., Comparison of single high-dose streptozotocin with partial pancreatectomy combined with low-dose streptozotocin for diabetes induction in rhesus monkeys. Exp. Biol. Med. 235, 877–885 (2010)

    CAS  Article  Google Scholar 

  13. M.J. Reed, K. Meszaros, L.J. Entes et al., A new rat model of type 2 diabetes: the fat-fed, streptozotocin-treated rat. Metabolism. 49, 1390–1394 (2000)

    CAS  PubMed  Article  Google Scholar 

  14. K.L.C. Jen, B.C. Hansen et al., Glucose disappearance rate in Rhesus monkeys: some technical considerations. Am. J. Primatol. 14, 153–166 (1988)

    Article  Google Scholar 

  15. X. Zhang, R. Zhang, S. Raab, W. Zheng, J. Wang, N. Liu, T. Zhu, L. Xue, Z. Song, J. Mao, K. Li, H. Zhang, Y. Zhang, C. Han, Y. Ding, H. Wang, N. Hou, Y. Liu, S. Shang, C. Li, E. Sebokova, H. Cheng, P.L. Huang, Rhesus macaques develop metabolic syndrome with reversible vascular dysfunction responsive to pioglitazone. Circulation 124, 77–86 (2011)

    CAS  PubMed Central  PubMed  Article  Google Scholar 

  16. M.S. Winzell, B. Ahren et al., The high-fat diet-fed mouse: a model for studying mechanisms and treatment of impaired glucose tolerance and type 2 diabetes. Diabetes 53(Suppl 3), S215–S219 (2004)

    PubMed  Article  Google Scholar 

  17. J.E. Wagner, K. Kavanagh, G.M. Ward, B.J. Auerbach, H.J. Harwood Jr, J.R. Kaplan, Old world nonhuman primate models of type 2 diabetes mellitus. ILAR J 47, 259–271 (2006)

    CAS  PubMed  Article  Google Scholar 

  18. D.B. West, B. York et al., Dietary fat, genetic predisposition, and obesity: lessons from animal models. Am. J. Clin. Nutr. 67, 505S–512S (1998)

    CAS  PubMed  Google Scholar 

  19. S. Skovsø., Modeling type 2 diabetes in rats using high fat diet and streptozotocin. J. Diabetes Investig. 5(4), 349–358 (2014)

    PubMed Central  PubMed  Article  Google Scholar 

  20. K. Srinivasan, B. Viswanad, L. Asrat et al., Combination of high-fat diet-fed and low-dose streptozotocin-treated rat: a model for type 2 diabetes and pharmacological screening. Pharmacol. Res. 52, 313–320 (2005)

    CAS  PubMed  Article  Google Scholar 

  21. M. Zhang, X.Y. Lv, J. Li et al., The characterization of high-fat diet and multiple low-dose streptozotocin induced type 2 diabetes rat model. Exp. Diabetes Res. 2008, 704045 (2008)

    PubMed Central  PubMed  Article  Google Scholar 

  22. M. Albersen, G. Lin, T.M. Fandel et al., Functional, metabolic, and morphologic characteristics of a novel rat model of type 2 diabetes-associated erectile dysfunction. Urology. 78, 476–478 (2011)

    PubMed Central  PubMed  Article  Google Scholar 

  23. K. Sahin, M. Onderci, M. Tuzcu et al., Effect of chromium on carbohydrate and lipid metabolism in a rat model of type 2 diabetes mellitus: the fat-fed, streptozotocin-treated rat. Metabolism. 56, 1233–1240 (2007)

    CAS  PubMed  Article  Google Scholar 

  24. R. Anuradha, M. Saraswathi et al., Apoptosis of beta cells in diabetes mellitus. DNA Cell Biol. 33(11), 743–748 (2014)

    CAS  PubMed  Article  Google Scholar 

  25. P. Dandona, A. Aljada, A. Chaudhuri, P. Mohanty, R. Garg, Metabolic syndrome: a comprehensive perspective based on interactions between obesity, diabetes, and inflammation. Circulation 111, 1448–1454 (2005)

    PubMed  Article  Google Scholar 

  26. N.B. Ruderman, D. Carling, M. Prentki, J.M. Cacicedo, AMPK, insulin resistance, and the metabolic syndrome. J. Clin. Invest. 123(7), 2764–2772 (2013). doi:10.1172/JCI67227

    CAS  PubMed Central  PubMed  Article  Google Scholar 

  27. G.S. Hotamisligil, P. Peraldi, A. Budavari, R. Ellis, M.F. White, B.M. Spiegelman, IRS-1–mediated inhibition of insulin receptor tyrosine kinase activity in TNF-alpha- and obesity-induced insulin resistance. Science 271, 665–668 (1996)

    CAS  PubMed  Article  Google Scholar 

  28. M. Cnop, N. Welsh, J.C. Jonas, A. Jörns, S. Lenzen, D.L. Eizirik, Mechanisms of pancreatic beta-cell death in type 1 and type 2 diabetes: many differences, few similarities. Diabetes 54(Suppl 2), S97–S107 (2005)

    CAS  PubMed  Article  Google Scholar 

  29. H. Liu, M.M. Cao, Y. Wang, L.C. Li, L.B. Zhu, G.Y. Xie, Y.B. Li, Endoplasmic reticulum stress is involved in the connection between inflammation and autophagy in type 2 diabetes. Gen. Comp. Endocrinol. 210C, 124–129 (2015). doi:10.1016/j.ygcen.2014.09.006.Epub

    Article  Google Scholar 

  30. K. Keane, P. Newsholme, Metabolic regulation of insulin secretion. Vitamins & hormones, in The Pancreatic Beta Cell., vol. 95, ed. by G. Litwack (Academic Press, San Diego, 2014.), pp. 1–33

    Chapter  Google Scholar 

  31. P. Newsholme, V. Cruzat, F. Arfuso, K. Keane, Nutrient regulation of insulin secretion and action. J. Endocrinol. 221(3), R105–R120 (2014). doi:10.1530/JOE-13-0616.Epub

    CAS  PubMed  Article  Google Scholar 

Download references

Acknowledgments

This study was supported by the National Program for High Technology Research and Development of China (No. 2012AA020702), the Program of National Natural Science Foundation of China (81000351), and the National Key Clinical Project.

Conflict of interest

We declare that we have no financial and personal relationships with other people or organizations that can inappropriately influence our work; there is no professional or other personal interest of any nature or kind in any product, service, and/or company that could be construed as influencing the position presented in, or the review of, this paper.

Author information

Affiliations

Authors

Corresponding authors

Correspondence to Jingqiu Cheng or Younan Chen.

Rights and permissions

Reprints and Permissions

About this article

Verify currency and authenticity via CrossMark

Cite this article

Li, L., Liao, G., Yang, G. et al. High-fat diet combined with low-dose streptozotocin injections induces metabolic syndrome in Macaca mulatta . Endocrine 49, 659–668 (2015). https://doi.org/10.1007/s12020-015-0542-9

Download citation

  • Received:

  • Accepted:

  • Published:

  • Issue Date:

  • DOI: https://doi.org/10.1007/s12020-015-0542-9

Keywords

  • Metabolic syndrome
  • Rhesus monkey
  • Low-dose streptozotocin
  • High-fat diet
  • Insulin resistance