Skip to main content

Unmet Needs in the Field of Psoriasis: Pathogenesis and Treatment

Abstract

In times of targeted therapies, innovative therapeutics become tools to further unravel the pathogenesis of the treated disease, thus influencing current pathogenetic concepts. Based on such paradigm shifts, the next generation of novel therapeutic targets might be identified. Psoriasis is a good example for the resulting most fruitful dialog between clinical and fundamental research. As a result of this, the key role of Th17 lymphocytes, some of their effector molecules, as well as mediators contributing to their maturation have been identified, many of these being targeted by some of the most effective drugs currently available to treat psoriasis. During this process, it became obvious that major parts of the puzzle remain yet to be uncovered or understood in much more detail. This review will therefore address the search for additional important effector cells other than Th17 lymphocytes, such as neutrophils, monocytes, and mast cells, mediators other than IL-17A, including some other IL-17 isoforms, and trigger factors such as potential autoantigens. This will lead to discussing the next generation of targeted therapies for psoriasis as well as treatment goals. These goals need to comprise both psoriasis as well as its comorbidities, as a comprehensive approach to manage the whole patient with all his health issues is urgently needed. Finally, given the substantial differences in resources available in different parts of the world, the global burden of psoriasis and options on how to care for patients outside developed countries will be assessed.

This is a preview of subscription content, access via your institution.

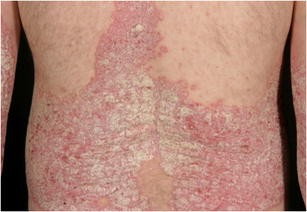
Fig. 1
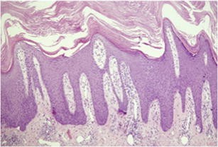
Fig. 2
Fig. 3
Fig. 4

References

  1. Boehncke WH, Schon MP (2015) Psoriasis. Lancet. doi:10.1016/S0140-6736(14)61909-7

    CAS  Article  Google Scholar 

  2. WHO (2013) World psoriasis w—document EB133.R2, agenda item 6.2. http://apps.who.int/gb/ebwha/pdf_files/EB133/B133_R2-en.pdf

  3. Capon F, Burden AD, Trembath RC, Barker JN (2012) Psoriasis and other complex trait dermatoses: from loci to functional pathways. J Invest Dermatol 132(3 Pt 2):915–922. doi:10.1038/jid.2011.395

    CAS  Article  PubMed  Google Scholar 

  4. Saurat JH, Stingl G, Dubertret L, Papp K, Langley RG, Ortonne JP, Unnebrink K, Kaul M, Camez A, Investigators CS (2008) Efficacy and safety results from the randomized controlled comparative study of adalimumab vs. methotrexate vs. placebo in patients with psoriasis (CHAMPION). Br J Dermatol 158(3):558–566. doi:10.1111/j.1365-2133.2007.08315.x

    CAS  Article  PubMed  Google Scholar 

  5. Thaci D, Blauvelt A, Reich K, Tsai TF, Vanaclocha F, Kingo K, Ziv M, Pinter A, Hugot S, You R, Milutinovic M (2015) Secukinumab is superior to ustekinumab in clearing skin of subjects with moderate to severe plaque psoriasis: CLEAR, a randomized controlled trial. J Am Acad Dermatol 73(3):400–409. doi:10.1016/j.jaad.2015.05.013

    CAS  Article  PubMed  Google Scholar 

  6. Lowes MA, Kikuchi T, Fuentes-Duculan J, Cardinale I, Zaba LC, Haider AS, Bowman EP, Krueger JG (2008) Psoriasis vulgaris lesions contain discrete populations of Th1 and Th17 T cells. J Invest Dermatol 128(5):1207–1211. doi:10.1038/sj.jid.5701213

    CAS  Article  PubMed  Google Scholar 

  7. Steinman L (2007) A brief history of T(H)17, the first major revision in the T(H)1/T(H)2 hypothesis of T cell-mediated tissue damage. Nat Med 13(2):139–145. doi:10.1038/nm1551

    CAS  Article  PubMed  Google Scholar 

  8. Korn T, Bettelli E, Oukka M, Kuchroo VK (2009) IL-17 and Th17 cells. Annu Rev Immunol 27:485–517. doi:10.1146/annurev.immunol.021908.132710

    CAS  Article  PubMed  Google Scholar 

  9. Griffiths CE, Strober BE, van de Kerkhof P, Ho V, Fidelus-Gort R, Yeilding N, Guzzo C, Xia Y, Zhou B, Li S, Dooley LT, Goldstein NH, Menter A, Group AS (2010) Comparison of ustekinumab and etanercept for moderate-to-severe psoriasis. N Engl J Med 362(2):118–128. doi:10.1056/NEJMoa0810652

    CAS  Article  PubMed  Google Scholar 

  10. Langley RG, Elewski BE, Lebwohl M, Reich K, Griffiths CE, Papp K, Puig L, Nakagawa H, Spelman L, Sigurgeirsson B, Rivas E, Tsai TF, Wasel N, Tyring S, Salko T, Hampele I, Notter M, Karpov A, Helou S, Papavassilis C, Group ES, Group FS (2014) Secukinumab in plaque psoriasis—results of two phase 3 trials. N Engl J Med 371(4):326–338. doi:10.1056/NEJMoa1314258

    CAS  Article  PubMed  Google Scholar 

  11. Lebwohl M, Strober B, Menter A, Gordon K, Weglowska J, Puig L, Papp K, Spelman L, Toth D, Kerdel F, Armstrong AW, Stingl G, Kimball AB, Bachelez H, Wu JJ, Crowley J, Langley RG, Blicharski T, Paul C, Lacour JP, Tyring S, Kircik L, Chimenti S, Callis Duffin K, Bagel J, Koo J, Aras G, Li J, Song W, Milmont CE, Shi Y, Erondu N, Klekotka P, Kotzin B, Nirula A (2015) Phase 3 studies comparing brodalumab with ustekinumab in psoriasis. N Engl J Med 373(14):1318–1328. doi:10.1056/NEJMoa1503824

    Article  PubMed  Google Scholar 

  12. Reich K, Papp KA, Matheson RT, Tu JH, Bissonnette R, Bourcier M, Gratton D, Kunynetz RA, Poulin Y, Rosoph LA, Stingl G, Bauer WM, Salter JM, Falk TM, Blodorn-Schlicht NA, Hueber W, Sommer U, Schumacher MM, Peters T, Kriehuber E, Lee DM, Wieczorek GA, Kolbinger F, Bleul CC (2015) Evidence that a neutrophil-keratinocyte crosstalk is an early target of IL-17A inhibition in psoriasis. Exp Dermatol 24(7):529–535. doi:10.1111/exd.12710

    CAS  Article  PubMed  PubMed Central  Google Scholar 

  13. Lin AM, Rubin CJ, Khandpur R, Wang JY, Riblett M, Yalavarthi S, Villanueva EC, Shah P, Kaplan MJ, Bruce AT (2011) Mast cells and neutrophils release IL-17 through extracellular trap formation in psoriasis. J Immunol 187(1):490–500. doi:10.4049/jimmunol.1100123

    CAS  Article  PubMed  PubMed Central  Google Scholar 

  14. Senra L, Stalder R, Alvarez Martinez D, Chizzolini C, Boehncke WH, Brembilla NC (2016) Keratinocyte-derived IL-17E contributes to inflammation in psoriasis. J Invest Dermatol 136(10):1970–1980. doi:10.1016/j.jid.2016.06.009

    CAS  Article  PubMed  Google Scholar 

  15. Keijsers RR, Hendriks AG, van Erp PE, van Cranenbroek B, van de Kerkhof PC, Koenen HJ, Joosten I (2014) In vivo induction of cutaneous inflammation results in the accumulation of extracellular trap-forming neutrophils expressing RORgammat and IL-17. J Invest Dermatol 134(5):1276–1284. doi:10.1038/jid.2013.526

    CAS  Article  PubMed  Google Scholar 

  16. Taylor PR, Roy S, Leal SM Jr, Sun Y, Howell SJ, Cobb BA, Li X, Pearlman E (2014) Activation of neutrophils by autocrine IL-17A-IL-17RC interactions during fungal infection is regulated by IL-6, IL-23, RORgammat and dectin-2. Nat Immunol 15(2):143–151. doi:10.1038/ni.2797

    CAS  Article  PubMed  Google Scholar 

  17. Brembilla NC, Stalder R, Senra L, Bohencke WH (2017) IL-17A localizes in the exocytic compartment of mast cells in psoriatic skin. Br J Dermatol. doi:10.1111/bjd.15358

    CAS  Article  Google Scholar 

  18. Mashiko S, Bouguermouh S, Rubio M, Baba N, Bissonnette R, Sarfati M (2015) Human mast cells are major IL-22 producers in patients with psoriasis and atopic dermatitis. J Allergy Clin Immunol 136(2):351–359 e351. doi:10.1016/j.jaci.2015.01.033

    CAS  Article  PubMed  Google Scholar 

  19. Ikeda K, Nakajima H, Suzuki K, Kagami S, Hirose K, Suto A, Saito Y, Iwamoto I (2003) Mast cells produce interleukin-25 upon Fc epsilon RI-mediated activation. Blood 101(9):3594–3596. doi:10.1182/blood-2002-09-2817

    CAS  Article  PubMed  Google Scholar 

  20. Noordenbos T, Blijdorp I, Chen S, Stap J, Mul E, Canete JD, Lubberts E, Yeremenko N, Baeten D (2016) Human mast cells capture, store, and release bioactive, exogenous IL-17A. J Leukoc Biol. doi:10.1189/jlb.3HI1215-542R

    CAS  Article  Google Scholar 

  21. Hueber AJ, Asquith DL, Miller AM, Reilly J, Kerr S, Leipe J, Melendez AJ, McInnes IB (2010) Mast cells express IL-17A in rheumatoid arthritis synovium. J Immunol 184(7):3336–3340. doi:10.4049/jimmunol.0903566

    CAS  Article  PubMed  Google Scholar 

  22. Sibilano R, Frossi B, Calvaruso M, Danelli L, Betto E, Dall’Agnese A, Tripodo C, Colombo MP, Pucillo CE, Gri G (2012) The aryl hydrocarbon receptor modulates acute and late mast cell responses. J Immunol 189(1):120–127. doi:10.4049/jimmunol.1200009

    CAS  Article  PubMed  Google Scholar 

  23. Dudeck A, Suender CA, Kostka SL, von Stebut E, Maurer M (2011) Mast cells promote Th1 and Th17 responses by modulating dendritic cell maturation and function. Eur J Immunol 41(7):1883–1893. doi:10.1002/eji.201040994

    CAS  Article  PubMed  Google Scholar 

  24. Piconese S, Gri G, Tripodo C, Musio S, Gorzanelli A, Frossi B, Pedotti R, Pucillo CE, Colombo MP (2009) Mast cells counteract regulatory T-cell suppression through interleukin-6 and OX40/OX40L axis toward Th17-cell differentiation. Blood 114(13):2639–2648. doi:10.1182/blood-2009-05-220004

    CAS  Article  PubMed  Google Scholar 

  25. Boyman O, Hefti HP, Conrad C, Nickoloff BJ, Suter M, Nestle FO (2004) Spontaneous development of psoriasis in a new animal model shows an essential role for resident T cells and tumor necrosis factor-alpha. J Exp Med 199(5):731–736. doi:10.1084/jem.20031482

    CAS  Article  PubMed  PubMed Central  Google Scholar 

  26. Johnson-Huang LM, Suarez-Farinas M, Pierson KC, Fuentes-Duculan J, Cueto I, Lentini T, Sullivan-Whalen M, Gilleaudeau P, Krueger JG, Haider AS, Lowes MA (2012) A single intradermal injection of IFN-gamma induces an inflammatory state in both non-lesional psoriatic and healthy skin. J Invest Dermatol 132(4):1177–1187. doi:10.1038/jid.2011.458

    CAS  Article  PubMed  PubMed Central  Google Scholar 

  27. Kryczek I, Bruce AT, Gudjonsson JE, Johnston A, Aphale A, Vatan L, Szeliga W, Wang Y, Liu Y, Welling TH, Elder JT, Zou W (2008) Induction of IL-17+ T cell trafficking and development by IFN-gamma: mechanism and pathological relevance in psoriasis. J Immunol 181(7):4733–4741

    CAS  Article  Google Scholar 

  28. Zaba LC, Cardinale I, Gilleaudeau P, Sullivan-Whalen M, Suarez-Farinas M, Fuentes-Duculan J, Novitskaya I, Khatcherian A, Bluth MJ, Lowes MA, Krueger JG (2007) Amelioration of epidermal hyperplasia by TNF inhibition is associated with reduced Th17 responses. J Exp Med 204(13):3183–3194. doi:10.1084/jem.20071094

    CAS  Article  PubMed  PubMed Central  Google Scholar 

  29. Nograles KE, Zaba LC, Guttman-Yassky E, Fuentes-Duculan J, Suarez-Farinas M, Cardinale I, Khatcherian A, Gonzalez J, Pierson KC, White TR, Pensabene C, Coats I, Novitskaya I, Lowes MA, Krueger JG (2008) Th17 cytokines interleukin (IL)-17 and IL-22 modulate distinct inflammatory and keratinocyte-response pathways. Br J Dermatol 159(5):1092–1102. doi:10.1111/j.1365-2133.2008.08769.x

    CAS  Article  PubMed  PubMed Central  Google Scholar 

  30. Harden JL, Krueger JG, Bowcock AM (2015) The immunogenetics of psoriasis: a comprehensive review. J Autoimmun 64:66–73. doi:10.1016/j.jaut.2015.07.008

    CAS  Article  PubMed  PubMed Central  Google Scholar 

  31. Rizzo HL, Kagami S, Phillips KG, Kurtz SE, Jacques SL, Blauvelt A (2011) IL-23-mediated psoriasis-like epidermal hyperplasia is dependent on IL-17A. J Immunol 186(3):1495–1502. doi:10.4049/jimmunol.1001001

    CAS  Article  PubMed  Google Scholar 

  32. Singh TP, Schon MP, Wallbrecht K, Michaelis K, Rinner B, Mayer G, Schmidbauer U, Strohmaier H, Wang XJ, Wolf P (2010) 8-Methoxypsoralen plus ultraviolet a therapy acts via inhibition of the IL-23/Th17 axis and induction of Foxp3+ regulatory T cells involving CTLA4 signaling in a psoriasis-like skin disorder. J Immunol 184(12):7257–7267. doi:10.4049/jimmunol.0903719

    CAS  Article  PubMed  Google Scholar 

  33. Carrier Y, Ma HL, Ramon HE, Napierata L, Small C, O’Toole M, Young DA, Fouser LA, Nickerson-Nutter C, Collins M, Dunussi-Joannopoulos K, Medley QG (2011) Inter-regulation of Th17 cytokines and the IL-36 cytokines in vitro and in vivo: implications in psoriasis pathogenesis. J Invest Dermatol 131(12):2428–2437. doi:10.1038/jid.2011.234

    CAS  Article  PubMed  Google Scholar 

  34. Harper EG, Guo C, Rizzo H, Lillis JV, Kurtz SE, Skorcheva I, Purdy D, Fitch E, Iordanov M, Blauvelt A (2009) Th17 cytokines stimulate CCL20 expression in keratinocytes in vitro and in vivo: implications for psoriasis pathogenesis. J Invest Dermatol 129(9):2175–2183. doi:10.1038/jid.2009.65

    CAS  Article  PubMed  PubMed Central  Google Scholar 

  35. Liang SC, Tan XY, Luxenberg DP, Karim R, Dunussi-Joannopoulos K, Collins M, Fouser LA (2006) Interleukin (IL)-22 and IL-17 are coexpressed by Th17 cells and cooperatively enhance expression of antimicrobial peptides. J Exp Med 203(10):2271–2279. doi:10.1084/jem.20061308

    CAS  Article  PubMed  PubMed Central  Google Scholar 

  36. Zheng Y, Danilenko DM, Valdez P, Kasman I, Eastham-Anderson J, Wu J, Ouyang W (2007) Interleukin-22, a T(H)17 cytokine, mediates IL-23-induced dermal inflammation and acanthosis. Nature 445(7128):648–651. doi:10.1038/nature05505

    CAS  Article  PubMed  Google Scholar 

  37. Gaffen SL (2011) Recent advances in the IL-17 cytokine family. Curr Opin Immunol 23(5):613–619. doi:10.1016/j.coi.2011.07.006

    CAS  Article  PubMed  PubMed Central  Google Scholar 

  38. Johansen C, Usher PA, Kjellerup RB, Lundsgaard D, Iversen L, Kragballe K (2009) Characterization of the interleukin-17 isoforms and receptors in lesional psoriatic skin. Br J Dermatol 160(2):319–324. doi:10.1111/j.1365-2133.2008.08902.x

    CAS  Article  PubMed  Google Scholar 

  39. Fujishima S, Watanabe H, Kawaguchi M, Suzuki T, Matsukura S, Homma T, Howell BG, Hizawa N, Mitsuya T, Huang SK, Iijima M (2010) Involvement of IL-17F via the induction of IL-6 in psoriasis. Arch Dermatol Res 302(7):499–505. doi:10.1007/s00403-010-1033-8

    CAS  Article  PubMed  Google Scholar 

  40. Watanabe H, Kawaguchi M, Fujishima S, Ogura M, Matsukura S, Takeuchi H, Ohba M, Sueki H, Kokubu F, Hizawa N, Adachi M, Huang SK, Iijima M (2009) Functional characterization of IL-17F as a selective neutrophil attractant in psoriasis. J Invest Dermatol 129(3):650–656. doi:10.1038/jid.2008.294

    CAS  Article  PubMed  Google Scholar 

  41. Glatt S, Helmer E, Haier B, Strimenopoulou F, Price G, Vajjah P, Harari OA, Lambert J, Shaw S (2017) First-in-human randomized study of bimekizumab, a humanized monoclonal antibody and selective dual inhibitor of IL-17A and IL-17F, in mild psoriasis. Br J Clin Pharmacol 83(5):991–1001. doi:10.1111/bcp.13185

    CAS  Article  PubMed  PubMed Central  Google Scholar 

  42. Johnston A, Fritz Y, Dawes SM, Diaconu D, Al-Attar PM, Guzman AM, Chen CS, Fu W, Gudjonsson JE, McCormick TS, Ward NL (2013) Keratinocyte overexpression of IL-17C promotes psoriasiform skin inflammation. J Immunol 190(5):2252–2262. doi:10.4049/jimmunol.1201505

    CAS  Article  PubMed  PubMed Central  Google Scholar 

  43. Johansen C, Vinter H, Soegaard-Madsen L, Olsen LR, Steiniche T, Iversen L, Kragballe K (2010) Preferential inhibition of the mRNA expression of p38 mitogen-activated protein kinase regulated cytokines in psoriatic skin by anti-TNFalpha therapy. Br J Dermatol 163(6):1194–1204. doi:10.1111/j.1365-2133.2010.10036.x

    CAS  Article  PubMed  Google Scholar 

  44. Ramirez-Carrozzi V, Sambandam A, Luis E, Lin Z, Jeet S, Lesch J, Hackney J, Kim J, Zhou M, Lai J, Modrusan Z, Sai T, Lee W, Xu M, Caplazi P, Diehl L, de Voss J, Balazs M, Gonzalez L Jr, Singh H, Ouyang W, Pappu R (2011) IL-17C regulates the innate immune function of epithelial cells in an autocrine manner. Nat Immunol 12(12):1159–1166. doi:10.1038/ni.2156

    CAS  Article  PubMed  Google Scholar 

  45. Iwakura Y, Ishigame H, Saijo S, Nakae S (2011) Functional specialization of interleukin-17 family members. Immunity 34(2):149–162. doi:10.1016/j.immuni.2011.02.012

    CAS  Article  PubMed  Google Scholar 

  46. Angkasekwinai P, Park H, Wang YH, Wang YH, Chang SH, Corry DB, Liu YJ, Zhu Z, Dong C (2007) Interleukin 25 promotes the initiation of proallergic type 2 responses. J Exp Med 204(7):1509–1517. doi:10.1084/jem.20061675

    CAS  Article  PubMed  PubMed Central  Google Scholar 

  47. Reynolds JM, Lee YH, Shi Y, Wang X, Angkasekwinai P, Nallaparaju KC, Flaherty S, Chang SH, Watarai H, Dong C (2015) Interleukin-17B antagonizes interleukin-25-mediated mucosal inflammation. Immunity 42(4):692–703. doi:10.1016/j.immuni.2015.03.008

    CAS  Article  PubMed  PubMed Central  Google Scholar 

  48. Deleuran M, Hvid M, Kemp K, Christensen GB, Deleuran B, Vestergaard C (2012) IL-25 induces both inflammation and skin barrier dysfunction in atopic dermatitis. Chem Immunol Allergy 96:45–49. doi:10.1159/000331871

    CAS  Article  PubMed  Google Scholar 

  49. Hvid M, Vestergaard C, Kemp K, Christensen GB, Deleuran B, Deleuran M (2011) IL-25 in atopic dermatitis: a possible link between inflammation and skin barrier dysfunction? J Invest Dermatol 131(1):150–157. doi:10.1038/jid.2010.277

    CAS  Article  PubMed  Google Scholar 

  50. Kim BE, Bin L, Ye YM, Ramamoorthy P, Leung DY (2013) IL-25 enhances HSV-1 replication by inhibiting filaggrin expression, and acts synergistically with Th2 cytokines to enhance HSV-1 replication. J Invest Dermatol 133(12):2678–2685. doi:10.1038/jid.2013.223

    CAS  Article  PubMed  PubMed Central  Google Scholar 

  51. Lee J, Ho WH, Maruoka M, Corpuz RT, Baldwin DT, Foster JS, Goddard AD, Yansura DG, Vandlen RL, Wood WI, Gurney AL (2001) IL-17E, a novel proinflammatory ligand for the IL-17 receptor homolog IL-17Rh1. J Biol Chem 276(2):1660–1664. doi:10.1074/jbc.M008289200

    CAS  Article  PubMed  Google Scholar 

  52. Lonati PA, Brembilla NC, Montanari E, Fontao L, Gabrielli A, Vettori S, Valentini G, Laffitte E, Kaya G, Meroni PL, Chizzolini C (2014) High IL-17E and low IL-17C dermal expression identifies a fibrosis-specific motif common to morphea and systemic sclerosis. PLoS One 9(8):e105008. doi:10.1371/journal.pone.0105008

    CAS  Article  PubMed  PubMed Central  Google Scholar 

  53. Pan G, French D, Mao W, Maruoka M, Risser P, Lee J, Foster J, Aggarwal S, Nicholes K, Guillet S, Schow P, Gurney AL (2001) Forced expression of murine IL-17E induces growth retardation, jaundice, a Th2-biased response, and multiorgan inflammation in mice. J Immunol 167(11):6559–6567

    CAS  Article  Google Scholar 

  54. Batalla A, Coto E, Gonzalez-Lara L, Gonzalez-Fernandez D, Gomez J, Aranguren TF, Queiro R, Santos-Juanes J, Lopez-Larrea C, Coto-Segura P (2015) Association between single nucleotide polymorphisms IL17RA rs4819554 and IL17E rs79877597 and psoriasis in a Spanish cohort. J Dermatol Sci 80(2):111–115. doi:10.1016/j.jdermsci.2015.06.011

    CAS  Article  PubMed  Google Scholar 

  55. Otsuka A, Miyachi Y, Kabashima K (2012) Narrowband ultraviolet B phototherapy decreased the serum IL-17E level in a patient with psoriasis vulgaris. J Eur Acad Dermatol Venereol 26(11):1455–1456. doi:10.1111/j.1468-3083.2011.04345.x

    CAS  Article  PubMed  Google Scholar 

  56. Hueber W, Sands BE, Lewitzky S, Vandemeulebroecke M, Reinisch W, Higgins PD, Wehkamp J, Feagan BG, Yao MD, Karczewski M, Karczewski J, Pezous N, Bek S, Bruin G, Mellgard B, Berger C, Londei M, Bertolino AP, Tougas G, Travis SP, Secukinumab in Crohn’s Disease Study G (2012) Secukinumab, a human anti-IL-17A monoclonal antibody, for moderate to severe Crohn’s disease: unexpected results of a randomised, double-blind placebo-controlled trial. Gut 61(12):1693–1700. doi:10.1136/gutjnl-2011-301668

    CAS  Article  PubMed  PubMed Central  Google Scholar 

  57. Friedrich M, Tillack C, Wollenberg A, Schauber J, Brand S (2014) IL-36gamma sustains a proinflammatory self-amplifying loop with IL-17C in anti-TNF-induced psoriasiform skin lesions of patients with Crohn’s disease. Inflamm Bowel Dis 20(11):1891–1901. doi:10.1097/MIB.0000000000000198

    Article  PubMed  Google Scholar 

  58. Biancheri P, Pender SL, Ammoscato F, Giuffrida P, Sampietro G, Ardizzone S, Ghanbari A, Curciarello R, Pasini A, Monteleone G, Corazza GR, Macdonald TT, Di Sabatino A (2013) The role of interleukin 17 in Crohn’s disease-associated intestinal fibrosis. Fibrogenesis Tissue Repair 6(1):13. doi:10.1186/1755-1536-6-13

    CAS  Article  PubMed  PubMed Central  Google Scholar 

  59. Wolk K, Witte E, Wallace E, Docke WD, Kunz S, Asadullah K, Volk HD, Sterry W, Sabat R (2006) IL-22 regulates the expression of genes responsible for antimicrobial defense, cellular differentiation, and mobility in keratinocytes: a potential role in psoriasis. Eur J Immunol 36(5):1309–1323. doi:10.1002/eji.200535503

    CAS  Article  PubMed  Google Scholar 

  60. Pinto-Almeida T, Torres T (2014) Biologic therapy for psoriasis—still searching for the best target. An Bras Dermatol 89(2):365–367

    Article  Google Scholar 

  61. Campa M, Mansouri B, Warren R, Menter A (2016) A review of biologic therapies targeting IL-23 and IL-17 for use in moderate-to-severe plaque psoriasis. Dermatol Ther 6(1):1–12. doi:10.1007/s13555-015-0092-3

    Article  Google Scholar 

  62. Gaffen SL, Jain R, Garg AV, Cua DJ (2014) The IL-23-IL-17 immune axis: from mechanisms to therapeutic testing. Nat Rev Immunol 14(9):585–600. doi:10.1038/nri3707

    CAS  Article  PubMed  PubMed Central  Google Scholar 

  63. Kaplan MH, Hufford MM, Olson MR (2015) The development and in vivo function of T helper 9 cells. Nat Rev Immunol 15(5):295–307. doi:10.1038/nri3824

    CAS  Article  PubMed  PubMed Central  Google Scholar 

  64. Schlapbach C, Gehad A, Yang C, Watanabe R, Guenova E, Teague JE, Campbell L, Yawalkar N, Kupper TS, Clark RA (2014) Human TH9 cells are skin-tropic and have autocrine and paracrine proinflammatory capacity. Sci Transl Med 6(219):219ra218. doi:10.1126/scitranslmed.3007828

    CAS  Article  Google Scholar 

  65. Armstrong AW, Harskamp CT, Armstrong EJ (2013) Psoriasis and metabolic syndrome: a systematic review and meta-analysis of observational studies. J Am Acad Dermatol 68(4):654–662. doi:10.1016/j.jaad.2012.08.015

    Article  PubMed  Google Scholar 

  66. Naldi L, Chatenoud L, Linder D, Belloni Fortina A, Peserico A, Virgili AR, Bruni PL, Ingordo V, Lo Scocco G, Solaroli C, Schena D, Barba A, Di Landro A, Pezzarossa E, Arcangeli F, Gianni C, Betti R, Carli P, Farris A, Barabino GF, La Vecchia C (2005) Cigarette smoking, body mass index, and stressful life events as risk factors for psoriasis: results from an Italian case-control study. J Invest Dermatol 125(1):61–67. doi:10.1111/j.0022-202X.2005.23681.x

    CAS  Article  PubMed  Google Scholar 

  67. Boehncke WH, Boehncke S, Tobin AM, Kirby B (2011) The ‘psoriatic march’: a concept of how severe psoriasis may drive cardiovascular comorbidity. Exp Dermatol 20(4):303–307. doi:10.1111/j.1600-0625.2011.01261.x

    Article  PubMed  Google Scholar 

  68. Mehta NN, Yu Y, Saboury B, Foroughi N, Krishnamoorthy P, Raper A, Baer A, Antigua J, Van Voorhees AS, Torigian DA, Alavi A, Gelfand JM (2011) Systemic and vascular inflammation in patients with moderate to severe psoriasis as measured by [18F]-fluorodeoxyglucose positron emission tomography-computed tomography (FDG-PET/CT): a pilot study. Arch Dermatol 147(9):1031–1039. doi:10.1001/archdermatol.2011.119

    CAS  Article  PubMed  PubMed Central  Google Scholar 

  69. Kruglikov IL, Scherer PE, Wollina U (2016) Are dermal adipocytes involved in psoriasis? Exp Dermatol. doi:10.1111/exd.12996

    Article  Google Scholar 

  70. Ouchi N, Parker JL, Lugus JJ, Walsh K (2011) Adipokines in inflammation and metabolic disease. Nat Rev Immunol 11(2):85–97. doi:10.1038/nri2921

    CAS  Article  PubMed  PubMed Central  Google Scholar 

  71. Brembilla NC, Boehncke WH (2016) Dermal adipocytes’ claim for fame in psoriasis. Exp Dermatol. doi:10.1111/exd.13074

    Article  Google Scholar 

  72. Sprague AH, Khalil RA (2009) Inflammatory cytokines in vascular dysfunction and vascular disease. Biochem Pharmacol 78(6):539–552. doi:10.1016/j.bcp.2009.04.029

    CAS  Article  PubMed  PubMed Central  Google Scholar 

  73. Steyers CM 3rd, Miller FJ Jr (2014) Endothelial dysfunction in chronic inflammatory diseases. Int J Mol Sci 15(7):11324–11349. doi:10.3390/ijms150711324

    CAS  Article  PubMed  PubMed Central  Google Scholar 

  74. Vestweber D (2015) How leukocytes cross the vascular endothelium. Nat Rev Immunol 15(11):692–704. doi:10.1038/nri3908

    CAS  Article  PubMed  Google Scholar 

  75. Spah F (2008) Inflammation in atherosclerosis and psoriasis: common pathogenic mechanisms and the potential for an integrated treatment approach. Br J Dermatol 159(Suppl 2):10–17. doi:10.1111/j.1365-2133.2008.08780.x

    CAS  Article  PubMed  Google Scholar 

  76. Schluter K, Diehl S, Lang V, Kaufmann R, Boehncke WH, Burger C (2016) Insulin resistance may contribute to upregulation of adhesion molecules on endothelial cells in psoriatic plaques. Acta Derm Venereol 96(2):162–168. doi:10.2340/00015555-2227

    CAS  Article  PubMed  Google Scholar 

  77. Woth K, Prein C, Steinhorst K, Diehl S, Boehncke WH, Buerger C (2013) Endothelial cells are highly heterogeneous at the level of cytokine-induced insulin resistance. Exp Dermatol 22(11):714–718. doi:10.1111/exd.12235

    CAS  Article  PubMed  Google Scholar 

  78. Boehncke WH, Boehncke S (2012) Cardiovascular mortality in psoriasis and psoriatic arthritis: epidemiology, pathomechanisms, therapeutic implications, and perspectives. Curr Rheumatol Rep 14(4):343–348. doi:10.1007/s11926-012-0260-8

    Article  PubMed  Google Scholar 

  79. Elder JT (2006) PSORS1: linking genetics and immunology. J Invest Dermatol 126(6):1205–1206. doi:10.1038/sj.jid.5700357

    CAS  Article  PubMed  Google Scholar 

  80. Gudjonsson JE, Karason A, Antonsdottir A, Runarsdottir EH, Hauksson VB, Upmanyu R, Gulcher J, Stefansson K, Valdimarsson H (2003) Psoriasis patients who are homozygous for the HLA-Cw*0602 allele have a 2.5-fold increased risk of developing psoriasis compared with Cw6 heterozygotes. Br J Dermatol 148(2):233–235

    CAS  Article  Google Scholar 

  81. Genetic Analysis of Psoriasis C, the Wellcome Trust Case Control C, Strange A, Capon F, Spencer CC, Knight J, Weale ME, Allen MH, Barton A, Band G, Bellenguez C, Bergboer JG, Blackwell JM, Bramon E, Bumpstead SJ, Casas JP, Cork MJ, Corvin A, Deloukas P, Dilthey A, Duncanson A, Edkins S, Estivill X, Fitzgerald O, Freeman C, Giardina E, Gray E, Hofer A, Huffmeier U, Hunt SE, Irvine AD, Jankowski J, Kirby B, Langford C, Lascorz J, Leman J, Leslie S, Mallbris L, Markus HS, Mathew CG, McLean WH, McManus R, Mossner R, Moutsianas L, Naluai AT, Nestle FO, Novelli G, Onoufriadis A, Palmer CN, Perricone C, Pirinen M, Plomin R, Potter SC, Pujol RM, Rautanen A, Riveira-Munoz E, Ryan AW, Salmhofer W, Samuelsson L, Sawcer SJ, Schalkwijk J, Smith CH, Stahle M, Su Z, Tazi-Ahnini R, Traupe H, Viswanathan AC, Warren RB, Weger W, Wolk K, Wood N, Worthington J, Young HS, Zeeuwen PL, Hayday A, Burden AD, Griffiths CE, Kere J, Reis A, McVean G, Evans DM, Brown MA, Barker JN, Peltonen L, Donnelly P, Trembath RC (2010) A genome-wide association study identifies new psoriasis susceptibility loci and an interaction between HLA-C and ERAP1. Nat Genet 42(11):985–990. doi:10.1038/ng.694

    CAS  Article  Google Scholar 

  82. Yin X, Low HQ, Wang L, Li Y, Ellinghaus E, Han J, Estivill X, Sun L, Zuo X, Shen C, Zhu C, Zhang A, Sanchez F, Padyukov L, Catanese JJ, Krueger GG, Duffin KC, Mucha S, Weichenthal M, Weidinger S, Lieb W, Foo JN, Li Y, Sim K, Liany H, Irwan I, Teo Y, Theng CT, Gupta R, Bowcock A, De Jager PL, Qureshi AA, de Bakker PI, Seielstad M, Liao W, Stahle M, Franke A, Zhang X, Liu J (2015) Genome-wide meta-analysis identifies multiple novel associations and ethnic heterogeneity of psoriasis susceptibility. Nat Commun 6:6916. doi:10.1038/ncomms7916

    CAS  Article  PubMed  PubMed Central  Google Scholar 

  83. Conrad C, Boyman O, Tonel G, Tun-Kyi A, Laggner U, de Fougerolles A, Kotelianski V, Gardner H, Nestle FO (2007) Alpha1beta1 integrin is crucial for accumulation of epidermal T cells and the development of psoriasis. Nat Med 13(7):836–842. doi:10.1038/nm1605

    CAS  Article  PubMed  Google Scholar 

  84. Nishimoto S, Kotani H, Tsuruta S, Shimizu N, Ito M, Shichita T, Morita R, Takahashi H, Amagai M, Yoshimura A (2013) Th17 cells carrying TCR recognizing epidermal autoantigen induce psoriasis-like skin inflammation. J Immunol 191(6):3065–3072. doi:10.4049/jimmunol.1300348

    CAS  Article  PubMed  Google Scholar 

  85. Boehncke WH (1996) Psoriasis and bacterial superantigens—formal or causal correlation? Trends Microbiol 4(12):485–489

    CAS  Article  Google Scholar 

  86. Gudmundsdottir AS, Sigmundsdottir H, Sigurgeirsson B, Good MF, Valdimarsson H, Jonsdottir I (1999) Is an epitope on keratin 17 a major target for autoreactive T lymphocytes in psoriasis? Clin Exp Immunol 117(3):580–586

    CAS  Article  Google Scholar 

  87. Jin L, Wang G (2014) Keratin 17: a critical player in the pathogenesis of psoriasis. Med Res Rev 34(2):438–454. doi:10.1002/med.21291

    CAS  Article  PubMed  Google Scholar 

  88. Iversen OJ, Lysvand H, Slupphaug G (2017) Pso p27, a SERPINB3/B4-derived protein, is most likely a common autoantigen in chronic inflammatory diseases. Clin Immunol 174:10–17. doi:10.1016/j.clim.2016.11.006

    CAS  Article  PubMed  Google Scholar 

  89. Ganguly D, Chamilos G, Lande R, Gregorio J, Meller S, Facchinetti V, Homey B, Barrat FJ, Zal T, Gilliet M (2009) Self-RNA-antimicrobial peptide complexes activate human dendritic cells through TLR7 and TLR8. J Exp Med 206(9):1983–1994. doi:10.1084/jem.20090480

    CAS  Article  PubMed  PubMed Central  Google Scholar 

  90. Lande R, Botti E, Jandus C, Dojcinovic D, Fanelli G, Conrad C, Chamilos G, Feldmeyer L, Marinari B, Chon S, Vence L, Riccieri V, Guillaume P, Navarini AA, Romero P, Costanzo A, Piccolella E, Gilliet M, Frasca L (2014) The antimicrobial peptide LL37 is a T-cell autoantigen in psoriasis. Nat Commun 5:5621. doi:10.1038/ncomms6621

    CAS  Article  PubMed  Google Scholar 

  91. Lande R, Gregorio J, Facchinetti V, Chatterjee B, Wang YH, Homey B, Cao W, Wang YH, Su B, Nestle FO, Zal T, Mellman I, Schroder JM, Liu YJ, Gilliet M (2007) Plasmacytoid dendritic cells sense self-DNA coupled with antimicrobial peptide. Nature 449(7162):564–569. doi:10.1038/nature06116

    CAS  Article  PubMed  Google Scholar 

  92. Arakawa A, Siewert K, Stohr J, Besgen P, Kim SM, Ruhl G, Nickel J, Vollmer S, Thomas P, Krebs S, Pinkert S, Spannagl M, Held K, Kammerbauer C, Besch R, Dornmair K, Prinz JC (2015) Melanocyte antigen triggers autoimmunity in human psoriasis. J Exp Med 212(13):2203–2212. doi:10.1084/jem.20151093

    CAS  Article  PubMed  PubMed Central  Google Scholar 

  93. Capon F (2013) IL36RN mutations in generalized pustular psoriasis: just the tip of the iceberg? J Invest Dermatol 133(11):2503–2504. doi:10.1038/jid.2013.361

    CAS  Article  PubMed  Google Scholar 

  94. Thorleifsdottir RH, Sigurdardottir SL, Sigurgeirsson B, Olafsson JH, Petersen H, Sigurdsson MI, Gudjonsson JE, Johnston A, Valdimarsson H (2016) HLA-Cw6 homozygosity in plaque psoriasis is associated with streptococcal throat infections and pronounced improvement after tonsillectomy: a prospective case series. J Am Acad Dermatol 75(5):889–896. doi:10.1016/j.jaad.2016.06.061

    CAS  Article  PubMed  PubMed Central  Google Scholar 

  95. Spuls PI, Lecluse LL, Poulsen ML, Bos JD, Stern RS, Nijsten T (2010) How good are clinical severity and outcome measures for psoriasis?: quantitative evaluation in a systematic review. J Invest Dermatol 130(4):933–943. doi:10.1038/jid.2009.391

    CAS  Article  PubMed  Google Scholar 

  96. Strober B, Papp KA, Lebwohl M, Reich K, Paul C, Blauvelt A, Gordon KB, Milmont CE, Viswanathan HN, Li J, Pinto L, Harrison DJ, Kricorian G, Nirula A, Klekotka P (2016) Clinical meaningfulness of complete skin clearance in psoriasis. J Am Acad Dermatol 75(1):77–82 e77. doi:10.1016/j.jaad.2016.03.026

    Article  PubMed  Google Scholar 

  97. McHorney CA, Spain CV (2011) Frequency of and reasons for medication non-fulfillment and non-persistence among American adults with chronic disease in 2008. Health Expect 14(3):307–320. doi:10.1111/j.1369-7625.2010.00619.x

    Article  PubMed  Google Scholar 

  98. Nast A, Boehncke WH, Mrowietz U, Ockenfels HM, Philipp S, Reich K, Rosenbach T, Sammain A, Schlaeger M, Sebastian M, Sterry W, Streit V, Augustin M, Erdmann R, Klaus J, Koza J, Muller S, Orzechowski HD, Rosumeck S, Schmid-Ott G, Weberschock T, Rzany B, Deutsche Dermatologische G, Berufsverband Deutscher D (2012) German S3-guidelines on the treatment of psoriasis vulgaris (short version). Arch Dermatol Res 304(2):87–113. doi:10.1007/s00403-012-1214-8

    CAS  Article  PubMed  Google Scholar 

  99. Blome C, Gosau R, Radtke MA, Reich K, Rustenbach SJ, Spehr C, Thaci D, Augustin M (2016) Patient-relevant treatment goals in psoriasis. Arch Dermatol Res 308(2):69–78. doi:10.1007/s00403-015-1613-8

    Article  PubMed  Google Scholar 

  100. Augustin M, Radtke MA, Zschocke I, Blome C, Behechtnejad J, Schafer I, Reusch M, Mielke V, Rustenbach SJ (2009) The patient benefit index: a novel approach in patient-defined outcomes measurement for skin diseases. Arch Dermatol Res 301(8):561–571. doi:10.1007/s00403-009-0928-8

    Article  PubMed  Google Scholar 

  101. Walsh JA, McFadden M, Woodcock J, Clegg DO, Helliwell P, Dommasch E, Gelfand JM, Krueger GG, Duffin KC (2013) Product of the Physician Global Assessment and body surface area: a simple static measure of psoriasis severity in a longitudinal cohort. J Am Acad Dermatol 69(6):931–937. doi:10.1016/j.jaad.2013.07.040

    Article  PubMed  Google Scholar 

  102. Chiesa Fuxench ZC, Callis Duffin K, Siegel M, Van Voorhees AS, Gelfand JM (2015) Validity of the Simple-Measure for Assessing Psoriasis Activity (S-MAPA) for objectively evaluating disease severity in patients with plaque psoriasis. J Am Acad Dermatol 73(5):868–870. doi:10.1016/j.jaad.2015.07.001

    Article  PubMed  PubMed Central  Google Scholar 

  103. Tugwell P, Boers M, Brooks P, Simon L, Strand V, Idzerda L (2007) OMERACT: an international initiative to improve outcome measurement in rheumatology. Trials 8:38. doi:10.1186/1745-6215-8-38

    Article  PubMed  PubMed Central  Google Scholar 

  104. Boers M, Kirwan JR, Wells G, Beaton D, Gossec L, d’Agostino MA, Conaghan PG, Bingham CO 3rd, Brooks P, Landewe R, March L, Simon LS, Singh JA, Strand V, Tugwell P (2014) Developing core outcome measurement sets for clinical trials: OMERACT filter 2.0. J Clin Epidemiol 67(7):745–753. doi:10.1016/j.jclinepi.2013.11.013

    Article  PubMed  Google Scholar 

  105. Williamson PR, Altman DG, Blazeby JM, Clarke M, Devane D, Gargon E, Tugwell P (2012) Developing core outcome sets for clinical trials: issues to consider. Trials 13:132. doi:10.1186/1745-6215-13-132

    Article  PubMed  PubMed Central  Google Scholar 

  106. Elman SA, Merola JF, Armstrong AW, Duffin KC, Latella J, Garg A, Gottlieb AB (2017) The International Dermatology Outcome Measures (IDEOM) initiative: a review and update. J Drugs Dermatol 16(2):119–124

    PubMed  Google Scholar 

  107. Puig L (2015) PASI90 response: the new standard in therapeutic efficacy for psoriasis. J Eur Acad Dermatol Venereol 29(4):645–648. doi:10.1111/jdv.12817

    CAS  Article  PubMed  Google Scholar 

  108. Puig L, Thom H, Mollon P, Tian H, Ramakrishna GS (2017) Clear or almost clear skin improves the quality of life in patients with moderate-to-severe psoriasis: a systematic review and meta-analysis. J Eur Acad Dermatol Venereol 31(2):213–220. doi:10.1111/jdv.14007

    CAS  Article  PubMed  Google Scholar 

  109. Coates LC, Fransen J, Helliwell PS (2010) Defining minimal disease activity in psoriatic arthritis: a proposed objective target for treatment. Ann Rheum Dis 69(1):48–53. doi:10.1136/ard.2008.102053

    CAS  Article  PubMed  Google Scholar 

  110. Coates LC, Helliwell PS (2016) Defining low disease activity states in psoriatic arthritis using novel composite disease instruments. J Rheumatol 43(2):371–375. doi:10.3899/jrheum.150826

    CAS  Article  PubMed  Google Scholar 

  111. Mrowietz U, Kragballe K, Reich K, Spuls P, Griffiths CE, Nast A, Franke J, Antoniou C, Arenberger P, Balieva F, Bylaite M, Correia O, Dauden E, Gisondi P, Iversen L, Kemeny L, Lahfa M, Nijsten T, Rantanen T, Reich A, Rosenbach T, Segaert S, Smith C, Talme T, Volc-Platzer B, Yawalkar N (2011) Definition of treatment goals for moderate to severe psoriasis: a European consensus. Arch Dermatol Res 303(1):1–10. doi:10.1007/s00403-010-1080-1

    CAS  Article  PubMed  Google Scholar 

  112. Kolios AG, Yawalkar N, Anliker M, Boehncke WH, Borradori L, Conrad C, Gilliet M, Hausermann P, Itin P, Laffitte E, Mainetti C, French LE, Navarini AA (2016) Swiss S1 guidelines on the systemic treatment of psoriasis vulgaris. Dermatology 232(4):385–406. doi:10.1159/000445681

    Article  PubMed  Google Scholar 

  113. Nast A, Gisondi P, Ormerod AD, Saiag P, Smith C, Spuls PI, Arenberger P, Bachelez H, Barker J, Dauden E, de Jong EM, Feist E, Jacobs A, Jobling R, Kemeny L, Maccarone M, Mrowietz U, Papp KA, Paul C, Reich K, Rosumeck S, Talme T, Thio HB, van de Kerkhof P, Werner RN, Yawalkar N (2015) European S3-guidelines on the systemic treatment of psoriasis vulgaris—update 2015—short version—EDF in cooperation with EADV and IPC. J Eur Acad Dermatol Venereol 29(12):2277–2294. doi:10.1111/jdv.13354

    CAS  Article  PubMed  Google Scholar 

  114. Coates LC, Moverley AR, McParland L, Brown S, Navarro-Coy N, O’Dwyer JL, Meads DM, Emery P, Conaghan PG, Helliwell PS (2015) Effect of tight control of inflammation in early psoriatic arthritis (TICOPA): a UK multicentre, open-label, randomised controlled trial. Lancet 386(10012):2489–2498. doi:10.1016/S0140-6736(15)00347-5

    Article  PubMed  PubMed Central  Google Scholar 

  115. Grigor C, Capell H, Stirling A, McMahon AD, Lock P, Vallance R, Kincaid W, Porter D (2004) Effect of a treatment strategy of tight control for rheumatoid arthritis (the TICORA study): a single-blind randomised controlled trial. Lancet 364(9430):263–269. doi:10.1016/S0140-6736(04)16676-2

    Article  PubMed  Google Scholar 

  116. Kimball AB, Gieler U, Linder D, Sampogna F, Warren RB, Augustin M (2010) Psoriasis: is the impairment to a patient’s life cumulative? J Eur Acad Dermatol Venereol 24(9):989–1004. doi:10.1111/j.1468-3083.2010.03705.x

    CAS  Article  PubMed  Google Scholar 

  117. Warren RB, Kleyn CE, Gulliver WP (2011) Cumulative life course impairment in psoriasis: patient perception of disease-related impairment throughout the life course. Br J Dermatol 164(Suppl 1):1–14. doi:10.1111/j.1365-2133.2011.10280.x

    Article  PubMed  Google Scholar 

  118. Elder GHGJ (2009) The craft of life course research. The Guilford Press, New York

    Google Scholar 

  119. Linder MD, Piaserico S, Augustin M, Fortina AB, Cohen AD, Gieler U, Jemec GB, Kimball AB, Peserico A, Sampogna F, Warren RB, de Korte J (2016) Psoriasis—the life course approach. Acta Derm Venereol 96(217):102–108. doi:10.2340/00015555-2430

    Article  PubMed  Google Scholar 

  120. Boehncke S, Thaci D, Beschmann H, Ludwig RJ, Ackermann H, Badenhoop K, Boehncke WH (2007) Psoriasis patients show signs of insulin resistance. Br J Dermatol 157(6):1249–1251. doi:10.1111/j.1365-2133.2007.08190.x

    CAS  Article  PubMed  Google Scholar 

  121. Boehncke S, Fichtlscherer S, Salgo R, Garbaraviciene J, Beschmann H, Diehl S, Hardt K, Thaci D, Boehncke WH (2011) Systemic therapy of plaque-type psoriasis ameliorates endothelial cell function: results of a prospective longitudinal pilot trial. Arch Dermatol Res 303(6):381–388. doi:10.1007/s00403-010-1108-6

    CAS  Article  PubMed  Google Scholar 

  122. Boehncke S, Salgo R, Garbaraviciene J, Beschmann H, Hardt K, Diehl S, Fichtlscherer S, Thaci D, Boehncke WH (2011) Effective continuous systemic therapy of severe plaque-type psoriasis is accompanied by amelioration of biomarkers of cardiovascular risk: results of a prospective longitudinal observational study. J Eur Acad Dermatol Venereol 25(10):1187–1193. doi:10.1111/j.1468-3083.2010.03947.x

    CAS  Article  PubMed  Google Scholar 

  123. Wu JJ, Guerin A, Sundaram M, Dea K, Cloutier M, Mulani P (2017) Cardiovascular event risk assessment in psoriasis patients treated with tumor necrosis factor-alpha inhibitors versus methotrexate. J Am Acad Dermatol 76(1):81–90. doi:10.1016/j.jaad.2016.07.042

    CAS  Article  PubMed  Google Scholar 

  124. Takeshita J, Grewal S, Langan SM, Mehta NN, Ogdie A, Van Voorhees AS, Gelfand JM (2017) Psoriasis and comorbid diseases: epidemiology. J Am Acad Dermatol 76(3):377–390. doi:10.1016/j.jaad.2016.07.064

    Article  PubMed  PubMed Central  Google Scholar 

  125. Gupta Y, Moller S, Zillikens D, Boehncke WH, Ibrahim SM, Ludwig RJ (2013) Genetic control of psoriasis is relatively distinct from that of metabolic syndrome and coronary artery disease. Exp Dermatol 22(8):552–553. doi:10.1111/exd.12192

    CAS  Article  PubMed  Google Scholar 

  126. Coates LC, Kavanaugh A, Mease PJ, Soriano ER, Laura Acosta-Felquer M, Armstrong AW, Bautista-Molano W, Boehncke WH, Campbell W, Cauli A, Espinoza LR, FitzGerald O, Gladman DD, Gottlieb A, Helliwell PS, Husni ME, Love TJ, Lubrano E, McHugh N, Nash P, Ogdie A, Orbai AM, Parkinson A, O’Sullivan D, Rosen CF, Schwartzman S, Siegel EL, Toloza S, Tuong W, Ritchlin CT (2016) Group for Research and Assessment of Psoriasis and Psoriatic Arthritis 2015 Treatment Recommendations for Psoriatic Arthritis. Arthritis Rheumatol 68(5):1060–1071. doi:10.1002/art.39573

    Article  PubMed  Google Scholar 

  127. Dauden E, Castaneda S, Suarez C, Garcia-Campayo J, Blasco AJ, Aguilar MD, Ferrandiz C, Puig L, Sanchez-Carazo JL, Working Group on Comorbidity in P (2013) Clinical practice guideline for an integrated approach to comorbidity in patients with psoriasis. J Eur Acad Dermatol Venereol 27(11):1387–1404. doi:10.1111/jdv.12024

    CAS  Article  PubMed  Google Scholar 

  128. Boehncke WH, Boehncke S, Schon MP (2010) Managing comorbid disease in patients with psoriasis. BMJ 340:b5666. doi:10.1136/bmj.b5666

    Article  PubMed  Google Scholar 

  129. Mrowietz U, Steinz K, Gerdes S (2014) Psoriasis: to treat or to manage? Exp Dermatol 23(10):705–709. doi:10.1111/exd.12437

    Article  PubMed  Google Scholar 

  130. Smolen JS, Schoels M, Aletaha D (2015) Disease activity and response assessment in psoriatic arthritis using the Disease Activity Index for PSoriatic Arthritis (DAPSA). A brief review. Clin Exp Rheumatol 33(5 Suppl 93):S48–S50

    PubMed  Google Scholar 

  131. FitzGerald O, Helliwell P, Mease P, Mumtaz A, Coates L, Pedersen R, Nab H, Molta C (2012) Application of composite disease activity scores in psoriatic arthritis to the PRESTA data set. Ann Rheum Dis 71(3):358–362. doi:10.1136/annrheumdis-2011-200093

    Article  PubMed  Google Scholar 

  132. Jarraya F (2016) Treatment of hypertension: which goal for which patient? Adv Exp Med Biol. doi:10.1007/5584_2016_97

    Google Scholar 

  133. Mease P (2015) A short history of biological therapy for psoriatic arthritis. Clin Exp Rheumatol 33(5 Suppl 93):S104–S108

    PubMed  Google Scholar 

  134. Puig L (2017) The role of IL 23 in the treatment of psoriasis. Expert Rev Clin Immunol 1–10. doi:10.1080/1744666X.2017.1292137

    CAS  Article  Google Scholar 

  135. Papp KA, Blauvelt A, Bukhalo M, Gooderham M, Krueger JG, Lacour JP, Menter A, Philipp S, Sofen H, Tyring S, Berner BR, Visvanathan S, Pamulapati C, Bennett N, Flack M, Scholl P, Padula SJ (2017) Risankizumab versus ustekinumab for moderate-to-severe plaque psoriasis. N Engl J Med 376(16):1551–1560. doi:10.1056/NEJMoa1607017

    CAS  Article  PubMed  Google Scholar 

  136. de Mora F (2015) Biosimilar: what it is not. Br J Clin Pharmacol 80(5):949–956. doi:10.1111/bcp.12656

    Article  PubMed  PubMed Central  Google Scholar 

  137. Kurki P, Ekman N (2015) Biosimilar regulation in the EU. Expert Rev Clin Pharmacol 8(5):649–659. doi:10.1586/17512433.2015.1071188

    CAS  Article  PubMed  Google Scholar 

  138. Reich K, Thaci D, Mrowietz U, Kamps A, Neureither M, Luger T (2009) Efficacy and safety of fumaric acid esters in the long-term treatment of psoriasis—a retrospective study (FUTURE). J Dtsch Dermatol Ges 7(7):603–611. doi:10.1111/j.1610-0387.2009.07120.x

    Article  PubMed  Google Scholar 

  139. Al Hammadi A, Al-Sheikh A, Ammoury A, Ghosn S, Gisondi P, Hamadah I, Kibbi AG, Shirazy K (2017) Experience and challenges for biologic use in the treatment of moderate-to-severe psoriasis in Africa and the Middle East region. J Dermatolog Treat 28(2):129–135. doi:10.1080/09546634.2016.1183763

    CAS  Article  PubMed  Google Scholar 

  140. Svendsen MT, Jeyabalan J, Andersen KE, Andersen F, Johannessen H (2016) Worldwide utilization of topical remedies in treatment of psoriasis: a systematic review. J Dermatolog Treat:1–10. doi:10.1080/09546634.2016.1254331

    Article  Google Scholar 

  141. Ammar-Khodja A, Benkaidali I, Bouadjar B, Serradj A, Titi A, Benchikhi H, Amal S, Hassam B, Sekkat A, Mernissi FZ, Mokhtar I, Dahoui R, Denguezli M, Doss N, Turki H (2015) EPIMAG: international cross-sectional epidemiological psoriasis study in the Maghreb. Dermatology 231(2):134–144. doi:10.1159/000382123

    Article  PubMed  Google Scholar 

Download references

Author information

Affiliations

Authors

Corresponding author

Correspondence to Wolf-Henning Boehncke.

Ethics declarations

Conflict of Interest

WHB has received honoraria as an advisor or speaker on the occasion of company-sponsored symposia from the following companies: Abbvie, Almirall, Biogen, Celgene, Janssen, Leo, Lilly, Novartis, Pfizer, and UCB. NB states no conflict of interest.

Funding

This work was supported by grant 310030_152680 from the Swiss National Science Foundation.

Ethical Approval and Informed Consent

This article does not contain any studies with human participants or animals performed by any of the authors.

Rights and permissions

Reprints and Permissions

About this article

Verify currency and authenticity via CrossMark

Cite this article

Boehncke, WH., Brembilla, N.C. Unmet Needs in the Field of Psoriasis: Pathogenesis and Treatment. Clinic Rev Allerg Immunol 55, 295–311 (2018). https://doi.org/10.1007/s12016-017-8634-3

Download citation

  • Published:

  • Issue Date:

  • DOI: https://doi.org/10.1007/s12016-017-8634-3

Keywords

  • Psoriasis
  • Pathogenesis
  • IL-17
  • Treatment
  • Comorbidities
  • Insulin resistance
  • Minimal disease activity