Abstract
Systemic lupus erythematosus is a complex autoimmune disease with a wide spectrum of clinical and immunopathological features. Cutaneous and articular manifestations are the most common signs in patients with systemic lupus erythematosus. We here review the pathogenesis and the new classification of cutaneous lupus erythemathosus with a discussion of the significance of the various cutaneous signs. The lesions are classified according to the level of the cellular infiltrate and tissue damage in the epidermis, dermis, and/or subcutis. Furthermore, cutaneous lesions pointing to the presence of a thrombotic vasculopathy and those due to a distinct inflammatory, neutrophilic-mediated reaction pattern are highlighted. Particular attention will be given in describing the histology of skin manifestation. Treatment options for cutaneous lupus erythemathosus have increased with the introduction of new biological therapies. However, the majority of the patients still benefit from antimalarials, which remain the cornerstone of treatment. The evaluation and management of cutaneous lupus erythemathosus patients depend on the clinical findings and associated symptoms.















References
Obermoser G, Sontheimer RD, Zelger B (2010) Overview of common, rare and atypical manifestations of cutaneous lupus erythematosus and histopathological correlates. Lupus 19(9):1050–1070. doi:10.1177/0961203310370048
Rothfield N, Sontheimer RD, Bernstein M (2006) Lupus erythematosus: systemic and cutaneous manifestations. Clin Dermatol 24(5):348–362. doi:10.1016/j.clindermatol.2006.07.014
Montoya-Ortiz G (2013) Immunosenescence, aging, and systemic lupus erythematous. Autoimmune Dis; 2013:267078. doi: 10.1155/2013/267078
Kuhn A, Ruland V, Bonsmann G (2011) Cutaneous lupus erythematosus: update of therapeutic options part I. J Am Acad Dermatol 65(6):179–193. doi:10.1016/j.jaad.2010.06.018
Durosaro O, Davis MD, Reed KB, Rohlinger AL (2009) Incidence of cutaneous lupus erythematosus, 1965-2005: a population-based study. Arch Dermatol 145(3):249–253. doi:10.1001/archdermatol.2009.21
Gronhagen CM, Fored CM, Granath F, Nyberg F (2011) Cutaneous lupus erythematosus and the association with systemic lupus erythematosus: a population-based cohort of 1088 patients in Sweden. Br J Dermatol 164(6):1335–1341. doi:10.1111/j.1365-2133.2011.10272.x
Jarukitsopa S, Hoganson DD, Crowson CS, Sokumbi O, Davis MD, Michet CJ Jr, Matteson EL, Maradit Kremers H, Chowdhary VR (2015) Epidemiology of systemic lupus erythematosus and cutaneous lupus erythematosus in a predominantly white population in the United States. Arthritis Care Res (Hoboken) 67(6):817–828. doi:10.1002/acr.22502
Petri M, Orbai A-M, Alarcón GS, Gordon C, Merrill JT, Fortin PR et al (2012) Derivation and validation of the systemic lupus international collaborating clinics classification criteria for systemic lupus erythematosus. Arthritis Rheum 64(8):2677–2686. doi:10.1002/art.34473
Lipsker DM, Schreckenberg-Gilliot C, Uring-Lambert B, Meyer A, Hartmann D, Grosshans EM, Hauptmann G (2000) Lupus erythematosus associated with genetically determined deficiency of the second component of the complement. Arch Dermatol 136(12):1508–1514
Liu Z, Davidson A (2012) Taming lupus-a new understanding of pathogenesis is leading to clinical advances. Nat Med 18(6):871–882. doi:10.1038/nm.2752
Deng Y, Tsao BP (2010) Genetic susceptibility to systemic lupus erythematosus in the genomic era. Nat Rev Rheumatol 6(12):683–692. doi:10.1038/nrrheum.2010.176
Niewold TB, Hua J, Lehman TJ, Harley JB, Crow MK (2007) High serum IFN-alpha activity is a heritable risk factor for systemic lupus erythematosus. Genes Immun 8:492–502. doi:10.1038/sj.gene.6364408
Jacob N, Stohl W (2011) Cytokine disturbances in systemic lupus erythematosus. Arthritis Res Ther 13:228. doi:10.1186/ar3349
Tüngler V, Silver RM, Walkenhorst H, Günther C, Lee-Kirsch MA (2012) Inherited or de novo mutation affecting aspartate 18 of TREX1 results in either familial chilblain lupus or Aicardi-Goutières syndrome. Br J Dermatol 167:212–214. doi:10.1111/j.1365-2133.2012.10813.x
Miyazaki T, Kim YS, Yoon J, Wang H, Suzuki T, Morse H (2014) The 3′-5′ DNA exonuclease TREX1 directly interacts with poly(ADP-ribose) polymerase-1 (PARP1) during the DNA damage response. J Biol Chem 289(47):32548–32558. doi:10.1074/jbc.M114.547331
Kuhn A, Wozniacka A, Szepietowski J, Gläser R, Lehmann P, Haust M, Sysa-Jedrzejowska A, Reich A, Oke V, Hügel R, Calderon C, de Vries DE, Nyberg F et al (2011) Photoprovocation in cutaneous lupus erythematosus: a multicenter study evaluating a standardized protocol. J Invest Dermatol 131:1622–1630. doi:10.1038/jid.2011.101
Kim A, Chong BF (2013 Feb) Photosensitivity in cutaneous lupus erythematosus. Photodermatol Photoimmunol Photomed 29(1):4–11. doi:10.1111/phpp.12018
Kind P, Lehmann P, Plewig G (1993) Phototesting in lupus erythematosus. J Invest Dermatol 100:53S–57S
Freutel S, Gaffal E, Zahn S, Bieber T, Tüting T, Wenzel J (2011) Enhanced CCR5+/CCR3+ T helper cell ratio in patients with active cutaneous lupus erythematosus. Lupus 20(12):1300–1304. doi:10.1177/0961203311409267
Gilliam JN, Sontheimer RD (1981) Distinctive cutaneous subsets in the spectrum of lupus erythematosus. J Am Acad Dermatol 4:471–475
Gilliam JN, Sontheimer RD (1982) Skin manifestations of SLE. Clin Rheum Dis 8:207–218
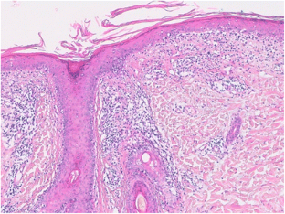
Sontheimer RD (2009) Lichenoid tissue reaction/interface dermatitis: clinical and histological perspectives. J Invest Dermatol 129:1088–1099. doi:10.1038/sj.jid.2009.42
Ackerman AB, Boer A, Benin B, Gottlieb GJ (2005) Histopathological diagnosis of inflammatory skin diseases, 3rd edn. Ardor Scribendi, New York
Lipsker D (2010) The need to revisit the nosology of cutaneous lupus erythematosus: the current terminology and morphologic classification of cutaneous LE: difficult, incomplete and not always applicable. Lupus 19:1047–1049. doi:10.1177/0961203310370044
Kuhn A, Lehmann P, Ruzicka T (2004) Clinical manifestations of cutaneous lupus erythematosus. In: Kuhn A, Lehmann P, Ruzicka T (eds) Cutaneous lupus erythematosus. Springer, Heidelberg, pp 59–92
Werth VP (2005) Clinical manifestations of cutaneous lupus erythematosus. Autoimmun Rev 4:296–302. doi:10.1016/j.autrev.2005.01.003
Jacobs MI, Schned ES, Bystryn JC (1983) Variability of the lupus band test. Results in 18 patients with systemic lupus erythematosus. Arch Dermatol 119(11):883–889
al-Fouzan AS, Hassab-el-Naby HM, Dvorak R (1995) How reliable is the basement membrane phenomenon in the diagnosis of systemic lupus erythematosus? Int J Dermatol 34(5):330–332
Alahlafi AM, Wordsworth P, Wojnarowska F (2004) The distribution of IgG subclasses in the lupus band suggests disease-specific alteration in subclass switching rather than polyclonal B-cell activation. Clin Exp Dermatol 29(3):288–292. doi:10.1111/j.1365-2230.2004.01520.x
Dahl MV (1983) Usefulness of direct immunofluorescence in patients with lupus erythematosus. Arch Dermatol 119(12):1010–1017
Kuhn A, Sonntag M, Richter-Hintz D, Oslislo C, Megahed M, Ruzicka T, Lehmann P (2001) Phototesting in lupus erythematosus: a 15-year experience. J Am Acad Dermatol 45:86–95. doi:10.1067/mjd.2001.114589
Jerdan MS, Hood AF, Moore GW, Callen JP (1990) Histopathologic comparison of the subsets of lupus erythematosus. Arch Dermatol 126(1):52–55
Bangert JL, Freeman RG, Sontheimer RD, Gilliam JN (1984) Subacute cutaneous lupus erythematosus and discoid lupus erythematosus. Comparative histopathologic findings. Arch Dermatol 120(3):332–337
Baima B, Sticherling M (2001) Apoptosis in different cutaneous manifestations of lupus erythematosus. Br J Dermatol 144(5):958–966
Boeckler P, Milea M, Meyer A, Uring-Lambert B, Heid E, Hauptmann G, Cribier B, Lipsker D (2005) The combination of complement deficiency and cigarette smoking as risk factor for cutaneous lupus erythematosus in men; a focus on combined C2/C4 deficiency. Br J Dermatol 152(2):265–270. doi:10.1111/j.1365-2133.2004.06308.x
Tebbe B, Mansmann U, Wollina U, Auer-Grumbach P, Licht-Mbalyohere A, Arsenmeier M, Orfanos CE (1997) Markers in cutaneous lupus erythematosus indicating systemic involvement. A multicenter study on 296 patients. Acta Derm Venereol 77:305–308
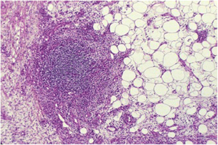
Crowson AN, Magro C (2001) The cutaneous pathology of lupus erythematosus: a review. J Cutan Pathol 28(1):1–23
Kulthanan K, Pinkaew S, Suthipinittharm P (1998) Diagnostic value of IgM deposition at the dermo-epidermal junction. Int J Dermatol 37(3):201–205
Chanprapaph K, Sawatwarakul S, Vachiramon V. (2017) A 12-year retrospective review of bullous systemic lupus erythematosus in cutaneous and systemic lupus erythematosus patients. Lupus 961203317699714. doi: 10.1177/0961203317699714
Rémy-Leroux V, Léonard F, Lambert D, Wechsler J, Cribier B, Thomas P, Adamski H, Marguery MC, Aubin F, Leroy D, Bernard P (2008) Comparison of histopathologic-clinical characteristics of Jessner's lymphocytic infiltration of the skin and lupus erythematosus tumidus: multicenter study of 46 cases. J Am Acad Dermatol 58(2):217–223. doi:10.1016/j.jaad.2007.09.039
Kuhn A, Richter-Hintz D, Oslislo C, Ruzicka T, Megahed M, Lehmann P (2000) Lupus erythematosus tumidus—a neglected subset of cutaneous lupus erythematosus: report of 40 cases. Arch Dermatol 136:1033–1041
Rongioletti F, Rebora A (1991) The new cutaneous mucinoses. A review with an up-to-date classification of cutaneous mucinoses. J Am Acad Dermatol 24:265–270
Ortiz VG, Krishnan RS, Chen LL, Hsu S (2004) Papulonodular mucinosis in systemic lupus erythematosus. Dermatol Online J 10:16
Gold SC (1954) An unusual papular eruption associated with lupus erythematosus. Br J Dermatol 66:429–433
Del Pozo J, Peña C, Almagro M, Yebra MT, Martínez W, Fonseca E (2000) Systemic lupus erythematosus presenting with a reticular erythematous mucinosis-like condition. Lupus 9(2):144–146. doi:10.1191/096120300678828028
Khamashta M, Taraborelli M, Sciascia S, Tincani A (2016) Antiphospholipid syndrome. Best Pract Res Clin Rheumatol 30(1):133–148. doi:10.1016/j.berh.2016.04.002
Francès C, Niang S, Laffitte E, Fl P, Costedoat N, Piette JC (2005) Dermatologic manifestations of the antiphospholipid syndrome: two hundred consecutive cases. Arthritis Rheum 52(6):1785–1793. doi:10.1002/art.21041
Caporuscio S, Sorgi ML, Nisticò S, Pranteda G, Bottoni U, Carboni I, Del Duca E, Pranteda G (2015) Cutaneous manifestations in antiphospholipid syndrome. Int J Immunopathol Pharmacol 28(2):270–273. doi:10.1177/0394632015582344
Lipsker D, Saurat JH (2008) Neutrophilic cutaneous lupus erythematosus. At the edge between innate and acquired immunity? Dermatology 216(4):283–286. doi:10.1159/000113940
Gusdorf L, Bessis D, Lipsker D (2014) Lupus erythematosus and neutrophilic urticarial dermatosis: a retrospective study of 7 patients. Medicine (Baltimore) 93(29):e351. doi:10.1097/MD.0000000000000351
Mitsias DI, Kapsogeorgou EK, Moutsopoulos HM (2006) Sjögren’s syndrome: why autoimmune epithelitis? Oral Dis 12:523–532. doi:10.1111/j.1601-0825.2006.01292.x
Fujimoto W, Hamada T, Yamada J, Matsuura H, Iwatsuki K (2005) Bullous systemic lupus erythematosus as an initial manifestation of SLE. J Dermatol 32:1021–1027
Camisa C, Sharma HM (1983) Vesiculobullous systemic lupus erythematosus. J Am Acad Dermatol 9:924–933
Hall RP, Lawley TJ, Smith HR, Katz SI (1982) Bullous eruption of systemic lupus erythematosus. Dramatic response to dapsone therapy. Ann Intern Med 197:165–170
Marzano AV, Ramoni S, Caputo R (2008) Amicrobial pustulosis of the folds. Report of 6 cases and a literature review. Dermatology 216(4):305–311. doi:10.1159/000113942
Lee HY, Pelivani N, Beltraminelli H, Hegyi I, Yawalkar N, Borradori L (2011) Amicrobial pustulosis-like rash in a patient with Crohn’s disease under anti-TNF-alpha blocker. Dermatology 222:304–310. doi:10.1159/000329428
Kieffer C, Cribier B, Lipsker D (2009) Neutrophilic urticarial dermatosis; a variant of neutrophilic urticaria strongly associated with systemic disease. Report of 9 new cases and review of the literature. Medicine (Baltimore) 88:23–31. doi:10.1097/MD.0b013e3181943f5e
Gusdorf L, Bessis D, Lipsker D (2014) Lupus erythematosus and neutrophilic urticarial dermatosis: a retrospective study of 7 patients. Medicine (Baltimore) 93(29):e351. doi:10.1097/MD.0000000000000351
Hersh AO, Arkin LM, Prahalad S (2016) Immunogenetics of cutaneous lupus erythematosus. Curr Opin Pediatr 28(4):470–475. doi:10.1097/MOP.0000000000000383
Bourre-Tessier J, Peschken CA, Bernatsky S, Joseph L, Clarke AE, Fortin PR et al (2013) Association of smoking with cutaneous manifestations in systemic lupus erythematosus. Arthritis Care Res (Hoboken) 65:1275–1280. doi:10.1002/acr.21966
Kuhn A, Sigges J, Biazar C, Ruland V, Patsinakidis N, Landmann A, Amler S, Bonsmann G, EUSCLE coauthors (2014) Influence of smoking on disease severity and antimalarial therapy in cutaneous lupus erythematosus: analysis of 1002 patients from the EUSCLE database. Br J Dermatol 171:571–579. doi:10.1111/bjd.13006
Leroux G, Costedoat-Chalumeau N, Hulot JS, Amoura Z, Frances C, Aymard G, Lechat P, Piette JC (2007) Relationship between blood hydroxychloroquine and desethylchloroquine concentrations and cigarette smoking in treated patients with connective tissue diseases. Ann Rheum Dis 66:1547–1548. doi:10.1136/ard.2007.072587
Lardet D, Martin S, Truchetet F, Cuny JF, Virion JM, Schmutz JL (2004) Effect of smoking on the effectiveness of antimalarial drugs for cutaneous lesions of patients with lupus: assessment in a prospective study. Rev Med Interne 25:786–791. doi:10.1016/j.revmed.2004.07.005
Marmor MF, Kellner U, Lai TY, Melles RB, Mieler WF, American Academy of Ophthalmology (2016) Recommendations on screening for chloroquine and hydroxychloroquine retinopathy (2016 revision). Ophthalmology 123(6):1386–1394. doi:10.1016/j.ophtha.2016.01.058
Ruiz-Irastorza G, Ramos-Casals M, Brito-Zeron P, Khamashta MA (2010) Clinical efficacy and side effects of antimalarials in systemic lupus erythematosus: a systematic review. Ann Rheum Dis 69(1):20–28. doi:10.1136/ard.2008.101766
Schmajuk G, Yazdany J, Trupin L, Yelin E (2010) Hydroxychloroquine use in a community-based cohort of patients with systemic lupus erythematosus. Arthritis Care Res (Hoboken) 62(3):386–392. doi:10.1002/acr.20002
Alarcón GS, McGwin G, Bertoli AM, Fessler BJ, Calvo-Alén J, Bastian HM, Vilá LM, Reveille JD, LUMINA Study Group (2007) Effect of hydroxychloroquine on the survival of patients with systemic lupus erythematosus: data from LUMINA, a multiethnic US cohort (LUMINA L). Ann Rheum Dis 66(9):1168–1172. doi:10.1136/ard.2006.068676
Wallace DJ (2000) Is there a role for quinacrine (Atabrine) in the new millennium? Lupus 9(2):81
Fortin PR, Abrahamowicz M, Ferland D, Lacaille D, Smith CD, Zummer M, Canadian Network For Improved Outcomes in Systemic Lupus (2008) Steroid-sparing effects of methotrexate in systemic lupus erythematosus: a double-blind, randomized, placebo-controlled trial. Arthritis Rheum 59(12):1796–1804. doi:10.1002/art.24068
Fabbri P, Cardinali C, Giomi B, Caproni M (2003) Cutaneous lupus erythematosus: diagnosis and management. Am J Clin Dermatol 4(7):449–465
Fennira F, Chasset F, Soubrier M, Cordel N, Petit A, Francès C (2016) Lenalidomide for refractory chronic and subacute cutaneous lupus erythematosus: 16 patients. J Am Acad Dermatol 74(6):1248–1251. doi:10.1016/j.jaad.2016.01.054
Camara I, Sciascia S, Simoes J, Pazzola G, Salas V, Karim Y, Roccatello D, Cuadrado MJ (2014) Treatment with intravenous immunoglobulins in systemic lupus erythematosus: a series of 52 patients from a single centre. Clin Exp Rheumatol 32(1):41–47
Sciascia S, Cuadrado MJ, Karim MY (2013) Management of infection in systemic lupus erythematosus. Best Pract Res Clin Rheumatol 27(3):377–389. doi:10.1016/j.berh.2013.07.002
Kuhn A, Aberer E, Bata-Csörgő Z, Caproni M, Dreher A, Frances C, Gläser R, Klötgen HW, Landmann A, Marinovic B, Nyberg F, Olteanu R, Ranki A, Szepietowski JC, Volc-Platzer B (2017) S2k guideline for treatment of cutaneous lupus erythematosus—guided by the European Dermatology Forum (EDF) in cooperation with the European Academy of Dermatology and Venereology (EADV). J Eur Acad Dermatol Venereol 31(3):389–404. doi:10.1111/jdv.14053
Roccatello D, Sciascia S, Baldovino S, Rossi D, Alpa M, Naretto C, Di Simone D, Simoncini M, Menegatti E (2015) A 4-year observation in lupus nephritis patients treated with an intensified B-lymphocyte depletion without immunosuppressive maintenance treatment-clinical response compared to literature and immunological re-assessment. Autoimmun Rev 14(12):1123–1130. doi:10.1016/j.autrev.2015.07.017
Sciascia S, Talavera-Garcia E, Roccatello D, Baldovino S, Mengatti E, Cuadrado MJ (2015) Upcoming biological therapies in systemic lupus erythematosus. Int Immunopharmacol 27(2):189–193. doi:10.1016/j.intimp.2015.04.049
Furie R, Petri M, Zamani O, Cervera R, Wallace DJ, Tegzová D, Sanchez-Guerrero J, Schwarting A, Merrill JT, Chatham WW, Stohl W, Ginzler EM, Hough DR, Zhong ZJ, Freimuth W, van Vollenhoven RF, BLISS-76 Study Group (2011) A phase III, randomized, placebo-controlled study of belimumab, a monoclonal antibody that inhibits B lymphocyte stimulator, in patients with systemic lupus erythematosus. Arthritis Rheum 63(12):3918–3930. doi:10.1002/art.30613
Navarra SV, Guzmán RM, Gallacher AE, Hall S, Levy RA, Jimenez RE, Li EK, Thomas M, Kim HY, León MG, Tanasescu C, Nasonov E, Lan JL, Pineda L, Zhong ZJ, Freimuth W, Petri MA, BLISS-52 Study Group (2011) Efficacy and safety of belimumab in patients with active systemic lupus erythematosus: a randomised, placebo-controlled, phase 3 trial. Lancet 377(9767):721–723. doi:10.1016/S0140-6736(10)61354-2
Marzano AV, Vezzoli P, Crosti C (2009) Drug-induced lupus: an update on its dermatologic aspects. Lupus 18:935–940. doi:10.1177/0961203309106176
Rubin RL (2015) Drug-induced lupus. Expert Opin Drug Saf 2:1–18. doi:10.1517/14740338.2015.995089
Vedove CD, Del Giglio M, Schena D, Girolomoni G (2009) Drug-induced lupus erythematosus. Arch Dermatol Res 301:99–105. doi:10.1007/s00403-008-0895-5
Xiao X, Chang C (2014) Diagnosis and classification of drug-induced autoimmunity (DIA). J Autoimmun 48-49:66–72. doi:10.1016/j.jaut.2014.01.005
Katz U, Zandman-Goddard G (2010) Drug-induced lupus: an update. Autoimmun Rev 10:46–50. doi:10.1016/j.autrev.2010.07.005
Fritzler MJ (1994) Drugs recently associated with lupus syndromes. Lupus 3(6):455–459. doi:10.1177/096120339400300605
Chlebus E, Wolska H, Blaszczyk M, Jablonska S (1998) Subacute cutaneous lupus erythematosus versus systemic lupus erythematosus: diagnostic criteria and therapeutic implications. J Am Acad Dermatol 38(3):405–412
Marzano AV, Lazzari R, Polloni I, Crosti C, Fabbri P, Cugno M (2011) Drug-induced subacute cutaneous lupus erythematosus: evidence for differences from its idiopathic counterpart. Br J Dermatol 165(2):335–341. doi:10.1111/j.1365-2133.2011.10397.x
Hochberg MC (1997) Updating the American College of Rheumatology revised criteria for the classification of systemic lupus erythematosus. Arthritis Rheum 40(9):1725. doi:10.1002/1529-0131(199709)
Nyberg F, Hasan T, Puska P, Stephansson E, Häkkinen M, Ranki A, Ros AM (1997) Occurrence of polymorphous light eruption in lupus erythematosus. Br J Dermatol 136(2):217–221
Kuhn A, Ruland V, Bonsmann G (2010) Photosensitivity, phototesting, and photoprotection in cutaneous lupus erythematosus. Lupus 19(9):1036–1046. doi:10.1177/0961203310370344
Kuhn A, Wenzel J, Weyd H (2014) Photosensitivity, apoptosis, and cytokines in the pathogenesis of lupus erythematosus: a critical review. Clin Rev Allergy Immunol 47(2):148–162. doi:10.1007/s12016-013-8403-x
Kim A, Chong BF (2013) Photosensitivity in cutaneous lupus erythematosus. Photodermatol Photoimmunol Photomed 29(1):4–11. doi:10.1111/phpp.12018
Schmidt E, Tony H-P, Bröcker E-B, Kneitz C (2007) Sun-induced life-threatening lupus nephritis. Ann N Y Acad Sci 1108:35–40
Albrecht J, Taylor L, Berlin JA, Dulay S, Ang G, Fakharzadeh S, Kantor J, Kim E, Militello G, McGinnis K, Richardson S, Treat J, Vittorio C, Van Voorhees A, Werth VP (2005) The CLASI (Cutaneous Lupus Erythematosus Disease Area and Severity Index): an outcome instrument for cutaneous lupus erythematosus. J Invest Dermatol 125(5):889–894. doi:10.1111/j.0022-202X.2005.23889.x
Kuhn A, Meuth AM, Bein D, Amler S, Beissert S, Böhm M, Brehler R, Ehrchen J, Grundmann S, Haust M, Ruland V, Schiller M, Schulz P, Ständer S, Sauerland C, Köpcke W, Luger TA, Bonsmann G (2010) Revised Cutaneous Lupus Erythematosus Disease Area and Severity Index (RCLASI): a modified outcome instrument for cutaneous lupus erythematosus. Br J Dermatol 163(1):83–92. doi:10.1111/j.1365-2133.2010.09799
Author information
Authors and Affiliations
Corresponding author
Ethics declarations
Conflict of Interest
The authors declare that they have no conflict of interest.
Funding
No funding has been used for this paper.
Informed Consent
When necessary, informed consent has been collected from the patients.
Rights and permissions
About this article
Cite this article
Ribero, S., Sciascia, S., Borradori, L. et al. The Cutaneous Spectrum of Lupus Erythematosus. Clinic Rev Allerg Immunol 53, 291–305 (2017). https://doi.org/10.1007/s12016-017-8627-2
Published:
Issue Date:
DOI: https://doi.org/10.1007/s12016-017-8627-2