Skip to main content

Hepatocellular Carcinoma in Budd-Chiari Syndrome: Enhancement Patterns at Dynamic Gadolinium-Enhanced T1-Weighted MR Imaging

Abstract

The objective of this study was to analyze the enhancement patterns at dynamic gadolinium-enhanced T1-weighted MR imaging in patients of Hepatocellular Carcinoma (HCC) with associated Budd-Chiari syndrome (BCS). The MR imaging findings in 10 patients of HCC with associated BCS were compared to those of 32 other patients of HCC without BCS. During the arterial phase, significantly more lesions with BCS were hyperintense than lesions without BCS; during the equilibrium phase, significantly more lesions with BCS were slightly hyperintense or isointense than lesions without BCS (P < 0.05 for both). For HCC, contrast enhancement on MRI shows different enhancement patterns between patients of HCC with associated BCS and those without BCS.

This is a preview of subscription content, access via your institution.

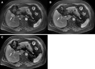
Fig. 1
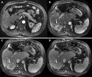
Fig. 2

References

  1. Menon, K. V., Shah, V., & Kamath, P. S. (2004). The Budd-Chiari syndrome. New England Journal of Medicine, 350, 578–585.

    CAS  PubMed  Article  Google Scholar 

  2. Lupescu, I. G., Dobromir, C., Popa, G. A., Gheorghe, L., & Georgescu, S. A. (2008). Spiral computed tomography and magnetic resonance angiography evaluation in Budd-Chiari syndrome. Journal of Gastrointestinal and Liver Diseases, 17, 223–226.

    PubMed  Google Scholar 

  3. Erden, A. (2007). Budd-Chiari syndrome: A review of imaging findings. European Journal of Radiology, 61, 44–56.

    PubMed  Article  Google Scholar 

  4. Buckley, O., O’ Brien, J., Snow, A., Stunell, H., Lyburn, I., Munk, P. L., et al. (2007). Imaging of Budd-Chiari syndrome. European Radiology, 17, 2071–2078.

    CAS  PubMed  Article  Google Scholar 

  5. Gwon, D, 2nd, Ko, G. Y., Yoon, H. K., Sung, K. B., Kim, J. H., Lee, S. S., et al. (2010). Hepatocellular carcinoma associated with membranous obstruction of the inferior vena cava: Incidence, characteristics, and risk factors and clinical efficacy of TACE. Radiology, 254, 617–626.

    PubMed  Article  Google Scholar 

  6. Moucari, R., Rautou, P. E., Cazals-Hatem, D., Geara, A., Bureau, C., Consigny, Y., et al. (2008). Hepatocellular carcinoma in Budd-Chiari syndrome: Characteristics and risk factors. Gut, 57, 828–835.

    CAS  PubMed  Article  Google Scholar 

  7. Vilgrain, V., Lewin, M., Vons, C., Denys, A., Valla, D., Flejou, J. F., et al. (1999). Hepatic nodules in Budd-Chiari syndrome: Imaging features. Radiology, 210, 443–450.

    CAS  PubMed  Article  Google Scholar 

  8. Maetani, Y., Itoh, K., Egawa, H., Haga, H., Sakurai, T., Nishida, N., et al. (2002). Benign hepatic nodules in Budd-Chiari syndrome: Radiologic-pathologic correlation with emphasis on the central scar. AJR American Journal of Roentgenology, 178, 869–875.

    PubMed  Article  Google Scholar 

  9. Dilawari, J. B., Bambery, P., Chawla, Y., Kaur, U., Bhusnurmath, S. R., Malhotra, H. S., et al. (1994). Hepatic outflow obstruction (Budd-Chiari syndrome). Experience with 177 patients and a review of the literature. Medicine (Baltimore), 73, 21–36.

    CAS  Article  Google Scholar 

  10. Okuda, H., Yamagata, H., Obata, H., Iwata, H., Sasaki, R., Imai, F., et al. (1995). Epidemiological and clinical features of Budd-Chiari syndrome in Japan. Journal of Hepatology, 22, 1–9.

    CAS  PubMed  Article  Google Scholar 

  11. Hecht, E. M., Holland, A. E., Israel, G. M., Hahn, W. Y., Kim, D. C., West, A. B., et al. (2006). Hepatocellular carcinoma in the cirrhotic liver: Gadolinium-enhanced 3D T1-weighted MR imaging as a stand-alone sequence for diagnosis. Radiology, 239, 438–447.

    PubMed  Article  Google Scholar 

  12. Lutz, A. M., Willmann, J. K., Goepfert, K., Marincek, B., & Weishaupt, D. (2005). Hepatocellular carcinoma in cirrhosis: Enhancement patterns at dynamic gadolinium- and superparamagnetic iron oxide-enhanced T1-weighted MR imaging. Radiology, 237, 520–528.

    PubMed  Article  Google Scholar 

  13. Lewin, M., Handra-Luca, A., Arrivé, L., Wendum, D., Paradis, V., Bridel, E., et al. (2006). Liver adenomatosis: Classification of MR imaging features and comparison with pathologic findings. Radiology, 241, 433–440.

    PubMed  Article  Google Scholar 

  14. Willatt, J. M., Hussain, H. K., Adusumilli, S., & Marrero, J. A. (2008). MR Imaging of hepatocellular carcinoma in the cirrhotic liver: Challenges and controversies. Radiology, 247, 311–330.

    PubMed  Article  Google Scholar 

  15. Cura, M., Haskal, Z., & Lopera, J. (2009). Diagnostic and interventional radiology for Budd-Chiari syndrome. Radiographics, 29, 669–681.

    PubMed  Article  Google Scholar 

  16. Erden, A., Erden, I., Karayalcin, S., & Yurdaydin, C. (2002). Budd-Chiari syndrome: Evaluation with multiphase contrast-enhanced three-dimensional MR angiography. AJR American Journal of Roentgenology, 179, 1287–1292.

    PubMed  Article  Google Scholar 

  17. Brancatelli, G., Federle, M. P., Grazioli, L., Golfieri, R., & Lencioni, R. (2002). Large regenerative nodules in Budd-Chiari syndrome and other vascular disorders of the liver: CT and MR imaging findings with clinicopathologic correlation. AJR American Journal of Roentgenology, 178, 877–883.

    PubMed  Article  Google Scholar 

  18. Brancatelli, G., Federle, M. P., Grazioli, L., Golfieri, R., & Lencioni, R. (2002). Benign regenerative nodules in Budd-Chiari syndrome and other vascular disorders of the liver: Radiologic-pathologic and clinical correlation. Radiographics, 22, 847–862.

    PubMed  Article  Google Scholar 

Download references

Acknowledgments

This study was supported by the grants from the Clinical medical science and technology project of Jiangsu Province (BL2012044), and the Science and Technology project of Xuzhou city (XZZD1154).

Author information

Affiliations

Authors

Corresponding author

Correspondence to Kai Xu.

Additional information

C. Yang and K. Xu have contributed equally to this work

Rights and permissions

Reprints and Permissions

About this article

Verify currency and authenticity via CrossMark

Cite this article

Yang, C., Xu, K., Zheng, J. et al. Hepatocellular Carcinoma in Budd-Chiari Syndrome: Enhancement Patterns at Dynamic Gadolinium-Enhanced T1-Weighted MR Imaging. Cell Biochem Biophys 70, 661–666 (2014). https://doi.org/10.1007/s12013-014-9970-z

Download citation

  • Published:

  • Issue Date:

  • DOI: https://doi.org/10.1007/s12013-014-9970-z

Keywords

  • Hepatocellular carcinoma
  • Budd-Chiari syndrome
  • MR imaging
  • Liver
  • Blood supply