Skip to main content

A Pedigree with Pulmonary Alveolar Microlithiasis: A Clinical Case Report and Literature Review

Abstract

Pulmonary alveolar microlithiasis (PAM) is a rare autosomal recessive disease characterized by the presence of innumerable calcium phosphate microliths in the alveoli. Clinical-radiological dissociation is an important hallmark of this disease. Most PAM patients are asymptomatic and pulmonary tissue changes are discovered incidentally. PAM is pathologically attributable to the formation and aggregation of calcium phosphate microliths in the alveoli after mutations in the SLC34A2 gene (the type IIb sodium-phosphate cotransporter gene) coding NaPi-IIb. In the clinical work, we discovered an inbred pedigree with PAM, which include four PAM siblings. We performed a sequence analysis of the SLC34A2 gene in all members of this PAM pedigree and found that a homozygous mutation c.575C > A (p.T192 K) in exon 6 was involved. To the best of our knowledge, this study was the first to discover nucleotide mutations in exon 6 in Asians.

This is a preview of subscription content, access via your institution.

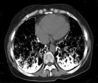
Fig. 1
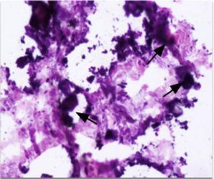
Fig. 2
Fig. 3
Fig. 4
Fig. 5
Fig. 6
Fig. 7
Fig. 8
Fig. 9
Fig. 10

References

  1. Puhr, L. (1933). Mikrolithiasis alveolaris pulmonum. [Pulmonary alveolar microlithiasis]. Virchows Archiv (Pathology Anatomy), 290, 156.

    Article  Google Scholar 

  2. Caffrey, P. R., & Altman, R. (1965). Pulmonary alveolar microlithiasis occurring in premature twins. Pediatrics, 66, 758–760.

    CAS  Article  Google Scholar 

  3. Sears, M. R., Chang, A. R., & Taylor, A. J. (1971). Pulmonary alveolar microlithiasis. Thorax, 26, 704–711.

    CAS  PubMed Central  PubMed  Article  Google Scholar 

  4. Castellana, G., & Lamorgese, V. (2003). Pulmonary alveolar microlithiasis. World cases and review of the literature. Respiration, 70(5), 549–555.

    PubMed  Article  Google Scholar 

  5. Huqun Izumi, S., Miyazawa, H., Ishii, K., Uchiyama, B., Ishida, T., et al. (2007). Mutations in the SLC34A2 gene are associated with pulmonary alveolar microlithiasis. American Journal of Respiratory and Critical Care Medicine, 175(3), 263–268.

    Article  Google Scholar 

  6. Corut, A., Senyigit, A., Ugur, S. A., et al. (2006). Mutations in SLC34A2 cause pulmonary alveolar microlithiasis and are possibly associated with testicular microlithiasis. American Journal of Human Genetics, 79, 650–656.

    CAS  PubMed Central  PubMed  Article  Google Scholar 

  7. Yin, Xinzhen, Wang, Huiying, Dingwen, Wu, et al. (2013). SLC34A2 Gene mutation of pulmonary alveolar microlithiasis: Report of four cases and review of literatures. Respiratory Medicine, 107, 217–222.

    PubMed  Article  Google Scholar 

  8. Zhong, Y. Q., Hu, C. P., Cai, X. D., & Nie, H. P. (2009). A novel mutation of the SLC34A2 gene in a Chinese pedigree with pulmonary alveolar microlithiasis. Zhonghua Yi Xue Yi Chuan Xue Za Zhi, 26, 365–368. In Chinese.

    CAS  PubMed  Google Scholar 

  9. Wang, H. Y., Shen, H. H., & Jiang, Z. N. (2004). Pulmonary alveolar microlithiasis: report of four familial cases. Chinese Medical Journal (English Edition), 117, 950–952.

    Google Scholar 

  10. Lu, H. S., Zhou, T., & Gan, M. F. (2007). Pulmonary alveolar microlithiasis: report of a case. Zhonghua Bing Li Xue Za Zhi, 36, 348–349. In Chinese.

    PubMed  Google Scholar 

  11. Ouyang, R. Y., & Chen, P. (2003). A case of pulmonary alveolar microlithiasis. Hunan Yi Ke Da Xue Xue Bao, 28, 370–378. In Chinese.

    PubMed  Google Scholar 

  12. Yang, S. P., & Lin, C. C. (1963). Pulmonary alveolar microlithiasis; a report of two youngest cases in a family. Diseases of the Chest, 44, 163–167.

    CAS  PubMed  Article  Google Scholar 

  13. Zheng, B. Y. (1979). Pulmonary alveolar microlithiasis: a rare familial inheritance with report of three cases in a family (author’s transl). Zhonghua Jie He He Hu Xi Xi Ji Bing Za Zhi, 2, 103–105. In Chinese.

    CAS  PubMed  Google Scholar 

  14. Mariotta, S., Ricci, A., Papale, M., De Clementi, F., Sposato, B., Guidi, L., et al. (2004). Pulmonary alveolar microlithiasis: report on 576 cases published in the literature. Sarcoidosis, Vasculitis, and Diffuse Lung Diseases, 21(3), 173–181.

    PubMed  Google Scholar 

  15. Marchiori, E., Gonçalves, C. M., Escuissato, D. L., Teixeira, K. I., Rodrigues, R., Barreto, M. M., et al. (2007). Pulmonary alveolar microlithiasis: high-resolution computed tomography findings in 10 patients. The Brazilian Journal of Pulmonology, 33(5), 552–557.

    Google Scholar 

  16. Cluzel, P., Grenier, P., Bernadac, P., Laurent, F., & Picard, J. D. (1991). Pulmonary alveolar microlithiasis: CT findings. Journal of Computer Assisted Tomography, 15(6), 938–942.

    CAS  PubMed  Article  Google Scholar 

  17. Mariotta, S., Guidi, L., Papale, M., Ricci, A., & Bisetti, A. (1997). Pulmonary alveolar microlithiasis: Review of Italian reports. European Journal of Epidemiology, 13, 587–590.

    CAS  PubMed  Article  Google Scholar 

  18. Senyiğit, A., Yaramiş, A., Gürkan, F., Kirbaş, G., Büyükbayram, H., Nazaroğlu, H., et al. (2001). Pulmonary alveolar microlithiasis: a rare familial inheritance with report of six cases in a family. Contribution of six new cases to the number of case reports in Turkey. Respiration, 68(2), 204–209.

    PubMed  Article  Google Scholar 

  19. Biary, M. S., Abdullah, M. A., Assaf, H. M., & Wazzan, A. (1993). Pulmonary alveolar microlithiasis in a Saudi child and two cousins. Annals of Tropical Paediatrics, 13(4), 409–413.

    CAS  PubMed  Google Scholar 

  20. Tachibana, T., Hagiwara, K., & Johkoh, T. (2009). Pulmonary alveolar microlithiasis: review and management. Current Opinion in Pulmonary Medicine, 15(5), 486–490.

    PubMed  Article  Google Scholar 

  21. Huqun Izumi, S., Miyazawa, H., Ishii, K., Uchiyama, B., Ishida, T., et al. (2006). The autozygous segments predicted by a genome-wide SNP typing revealed mutations in the type IIb sodium phosphate co-transporter (SLC34A2) causing pulmonary alveolar microlithiasis. Proceedings of the American Thoracic Society, 3, A102.

    Google Scholar 

  22. Hagiwara, K., Johkoh, T., & Tachibana, T. (2009). Pulmonary alveolar microlithiasis. In R. Panos, B. Trapnell, & F. McCormack (Eds.), Molecular basis of lung disease, insight from rare lung disorders. Totowa, New Jersey: Humana Press.

    Google Scholar 

  23. Dogan, O. T., Ozsahin, S. L., Gul, E., Arslan, S., Koksal, B., Berk, S., et al. (2010). A frame-shift mutation in the SLC34A2 gene in three patients with pulmonary alveolar microlithiasis in an inbred family. Internal Medicine, 49(1), 45–49.

    CAS  PubMed  Article  Google Scholar 

  24. Poelma, D. L., Ju, M. R., Bakker, S. C., Zimmermann, L. J., Lachmann, B. F., & van Iwaarden, J. F. (2004). A common pathway for the uptake of surfactant lipids by alveolar cells. American Journal of Respiratory Cell and Molecular Biology, 30(5), 751–758.

    CAS  PubMed  Article  Google Scholar 

  25. Werner, A., Dehmelt, L., & Nalbant, P. (1998). Na + -dependent phosphate cotransporters: the NaPi protein families. Journal of Experimental Biology, 201(Pt 23), 3135–3142.

    CAS  PubMed  Google Scholar 

  26. Xu, H., Bai, L., Collins, J. F., & Ghishan, F. K. (1999). Molecular cloning, functional characterization, tissue distribution, and chromosomal localization of a human, small intestinal sodium-phosphate (Na + -Pi) transporter (SLC34A2). Genomics, 62(2), 281–284.

    CAS  PubMed  Article  Google Scholar 

  27. Pant, K., Shah, A., Mathur, R. K., Chhabra, S. K., & Jain, S. K. (1990). Pulmonary alveolar microlithiasis with pleural calcification and nephrolithiasis. Chest, 98(1), 245–246.

    CAS  PubMed  Article  Google Scholar 

  28. Arslan, A., Yalin, T., Akan, H., & Belet, U. (1996). Pulmonary alveolar microlithiasis associated with calcifications in the seminal vesicles. Journal Belge de Radiologie, 79(3), 118–119.

    CAS  PubMed  Google Scholar 

  29. Piesiak, P., Kasibowska-Kuźniar, K., & Jankowska, R. (2001). Pulmonary alveolar microlithiasis in a patient with urolithiasis and cholelithiasis. Pneumonologia i Alergologia Polska, 69(5–6), 285–289.

    CAS  PubMed  Google Scholar 

  30. Ishihara, Y., Hagiwara, K., Zen, K., et al. (2009). A case of pulmonary alveolar microlithiasis with anintragenetic deletion in SLC34A2 detected by agenome-wide SNP study. Thorax, 64(4), 365–367.

    CAS  PubMed  Article  Google Scholar 

  31. Proesmans, M., Boon, M., Verbeken, E., Ozcelik, U., Kiper, N., Van de Casseye, W., et al. (2012). Pulmonary alveolar microlithiasis: A case report and review of the literature. European Journal of Pediatrics, 171(7), 1069–1072.

    CAS  PubMed  Article  Google Scholar 

  32. Monabati, A., Ghayumi, M. A., & Kumar, P. V. (2007). Familial pulmonary alveolar microlithiasis diagnosed by bronchoalveolar lavage. A case report. Acta Cytologica, 51(1), 80–82.

    PubMed  Article  Google Scholar 

  33. Mascie-Taylor, B. H., Wardman, A. G., Madden, C. A., & Page, R. L. (1985). A case of alveolar microlithiasis: Observation over 22 years and recovery of material by lavage. Thorax, 40, 952–953.

    CAS  PubMed Central  PubMed  Article  Google Scholar 

  34. Palombini, B. C., da Silva Porto, N., Wallau, C. U., & Camargo, J. J. (1981). Bronchopulmonary lavage in alveolar microlithiasis. Chest, 80, 242–243.

    CAS  PubMed  Article  Google Scholar 

  35. Ozcelik, U., Yalcin, E., Ariyurek, M., Ersoz, D. D., Cinel, G., Gulhan, B., et al. (2010). Long-term results of disodium etidronate treatment in pulmonary alveolar microlithiasis. Pediatric Pulmonology, 45(5), 514–517.

    PubMed  Google Scholar 

  36. Ozcelik, U., Gülsün, M., Göçmen, A., Ariyürek, M., Kiper, N., Anadol, D., et al. (2002). Treatment and follow-up of pulmonary alveolar microlithi- asis with disodium editronate: radiological demonstration. Pediatric Radiology, 32(5), 380–383.

    PubMed  Article  Google Scholar 

  37. Mariotta, S., Guidi, L., Mattia, P., Torrelli, L., Pallone, G., Pedicelli, G., et al. (1997). Pulmonary microlithiasis. Report of two cases. Respiration, 64(2), 165–169.

    CAS  PubMed  Article  Google Scholar 

  38. Jankovic, S., Pavlov, N., Ivkosic, A., Erceg, I., Glavina-Durdov, M., Tocilj, J., et al. (2002). Pulmonary alveolar microlithiasis in childhood: clinical and radiological follow-up. Pediatric Pulmonology, 34(5), 384–387.

    PubMed  Article  Google Scholar 

  39. Stamatis, G., Zerkowski, H. R., Doetsch, N., et al. (1993). Sequential bilateral lung transplantation for pulmonary alveolar microlithiasis. Annals of Thoracic Surgery, 56(4), 972–975.

    CAS  PubMed  Article  Google Scholar 

  40. Samano, M. N., Waisberg, D. R., Canzian, M., et al. (2010). Lung transplantation for pulmonary alveolar microlithiasis: a case report. Clinics (São Paulo)., 65(2), 233–236.

    PubMed Central  PubMed  Article  Google Scholar 

  41. Edelman, J. D., Bavaria, J., Kaiser, L. R., et al. (1997). Bilateral sequential lung transplantation for pulmonary alveolar microlithiasis.[J]. Chest, 112(4), 1140–1144.

    CAS  PubMed  Article  Google Scholar 

Download references

Author information

Affiliations

Authors

Corresponding author

Correspondence to Zhongsen Ma.

Rights and permissions

Reprints and Permissions

About this article

Verify currency and authenticity via CrossMark

Cite this article

Ma, T., Ren, J., Yin, J. et al. A Pedigree with Pulmonary Alveolar Microlithiasis: A Clinical Case Report and Literature Review. Cell Biochem Biophys 70, 565–572 (2014). https://doi.org/10.1007/s12013-014-9957-9

Download citation

  • Published:

  • Issue Date:

  • DOI: https://doi.org/10.1007/s12013-014-9957-9

Keywords

  • Pulmonary alveolar microlithiasis
  • SLC34A2 gene
  • Pulmonary diseases