Skip to main content

Combined Hepatocellular–Cholangiocarcinoma with Fever of Unknown Origin: A Case Report and Review of Literature

Abstract

Combined hepatocellular carcinoma and cholangiocarcinoma (cHCC–CC) is a rare form of primary liver cancer (PLC). It is difficult to make a correct preoperative diagnosis of cHCC–CC because of the lack of special features of the disease. We here present a case of a 68-year-old man who presented with fluctuant fever, chills, and sweating and was eventually diagnosed as cHCC–CC after surgery. The tumor was 6.0 cm in diameter with distinct borders and no satellite lesions or lymph nodes were observed during macroscopic examination of the resection specimen. The fever resolved in the postoperative period till the 28th day after surgery, when the patient developed extensive abdominal metastases and died shortly after. More attention should be paid to the patient with PLC showing abnormal features such as FUO, normal range of tumor markers, atypical imaging, and less cirrhosis. Hepatic resection is the treatment of choice although with short-term outcomes.

This is a preview of subscription content, access via your institution.

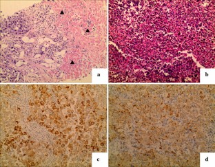
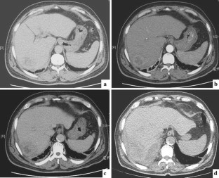
Fig. 1
Fig. 2
Fig. 3

Abbreviations

HCC:

Hepatocellular carcinoma

CC:

Cholangiocarcinoma

cHCC–CC:

Combined hepatocellular carcinoma and cholangiocarcinoma

FUO:

Fever of unknown origin

References

  1. Parkin, D. M., et al. (2001). Estimating the world cancer burden: Globocan 2000. International Journal of Cancer, 94(2), 153–156. PMID: 11668491.

    CAS  Article  Google Scholar 

  2. Kassahun, W. T., & Hauss, J. (2008). Management of combined hepatocellular and cholangiocarcinoma. International Journal of Clinical Practice, 62(8), 1271–1278. PMID: 18284443.

    CAS  PubMed  Article  Google Scholar 

  3. Petersdorf, R. G., & Beeson, P. B. (1961). Fever of unexplained origin: Report on 100 cases. Medicine (Baltimore), 40, 1–30. PMID: 13734791.

    CAS  Article  Google Scholar 

  4. Allen, R. A., & Lisa, J. R. (1949). Combined liver cell and bile duct carcinoma. American Journal of Pathology, 25(4), 647–655. PMID: 18152860.

    CAS  PubMed Central  PubMed  Google Scholar 

  5. Goodman, Z. D., et al. (1985). Combined hepatocellular-cholangiocarcinoma. A histologic and immunohistochemical study. Cancer, 55(1), 124–135. PMID :2578078.

    CAS  PubMed  Article  Google Scholar 

  6. Maeda, T., et al. (1995). Combined hepatocellular and cholangiocarcinoma: Proposed criteria according to cytokeratin expression and analysis of clinicopathologic features. Human Pathology, 26(9), 956–964. PMID: 7545644.

    CAS  PubMed  Article  Google Scholar 

  7. Imai, Y., et al. (1996). Mutational analysis of the p53 and K-ras genes and allelotype study of the Rb-1 gene for investigating the pathogenesis of combined hapatocellular-cholangiocellular carcinomas. Japanese Journal of Cancer Research, 87(10), 1056–1062. PMID: 8957064.

    CAS  PubMed  Article  Google Scholar 

  8. Liu, C. L., et al. (2003). Hepatic resection for combined hepatocellular and cholangiocarcinoma. Archives of Surgery, 138(1), 86–90. PMID: 12511158.

    PubMed  Article  Google Scholar 

  9. Jarnagin, W. R., et al. (2002). Combined hepatocellular and cholangiocarcinoma: Demographic, clinical, and prognostic factors. Cancer, 94(7), 2040–2046. PMID: 11932907.

    PubMed  Article  Google Scholar 

  10. Kim, K. H., et al. (2009). Surgical treatments and prognoses of patients with combined hepatocellular carcinoma and cholangiocarcinoma. Annals of Surgical Oncology, 16(3), 623–629. PMID: 19130133.

    PubMed  Article  Google Scholar 

  11. Dusenbery, D. (1997). Combined hepatocellular-cholangiocarcinoma. Cytologic findings in four cases. Acta Cytologica, 41(3), 903–909. PMID: 9167724.

    CAS  PubMed  Article  Google Scholar 

  12. Taguchi, J., et al. (1996). A clinicopathological study on combined hepatocellular and cholangiocarcinoma. Journal of Gastroenterology and Hepatology, 11(8), 758–764. PMID: 8872774.

    CAS  PubMed  Article  Google Scholar 

  13. Choi, B. I., et al. (1994). Combined hepatocellular and cholangiocarcinoma of the liver: Sonography, CT, angiography, and iodized-oil CT with pathologic correlation. Abdominal Imaging, 19(1), 43–46. PMID: 8161902.

    CAS  PubMed  Article  Google Scholar 

  14. Sanada, Y., et al. (2005). A clinical study of 11 cases of combined hepatocellular-cholangiocarcinoma Assessment of enhancement patterns on dynamics computed tomography before resection. Hepatology Research, 32(3), 185–195. PMID: 15978872.

    PubMed  Article  Google Scholar 

  15. Nakamura, S., et al. (1996). Surgical treatment of patients with mixed hepatocellular carcinoma and cholangiocarcinoma. Cancer, 78(8), 1671–1676. PMID: 8859179.

    CAS  PubMed  Article  Google Scholar 

  16. Primary liver cancer in Japan. (1990). Clinicopathologic features and results of surgical treatment. Liver Cancer Study Group of Japan. Annals of Surgery, 211(3), 277–287. PMID: 2155591.

    Google Scholar 

  17. Sasaki, A., et al. (2001). Clinicopathologic study of mixed hepatocellular and cholangiocellular carcinoma: Modes of spreading and choice of surgical treatment by reference to macroscopic type. Journal of Surgical Oncology, 76(1), 37–46. PMID: 11223823.

    CAS  PubMed  Article  Google Scholar 

  18. Vauthey, J. N., et al. (2004). Is extended hepatectomy for hepatobiliary malignancy justified? Annals of Surgery, 239(5), 722–730. discussion 730-2. PMID: 15082977.

    PubMed Central  PubMed  Article  Google Scholar 

  19. Ercolani, G., et al. (2004). The role of lymphadenectomy for liver tumors: Further considerations on the appropriateness of treatment strategy. Annals of Surgery, 239(2), 202–209.

    PubMed Central  PubMed  Article  Google Scholar 

  20. Panjala, C., et al. (2010). The diagnostic conundrum and liver transplantation outcome for combined hepatocellular-cholangiocarcinoma. American Journal of Transplantation, 10(5), 1263–1267.

    CAS  PubMed  Article  Google Scholar 

  21. Lee, W. S., et al. (2006). Comparison of combined hepatocellular and cholangiocarcinoma with hepatocellular carcinoma and intrahepatic cholangiocarcinoma. Surgery Today, 36(10), 892–897. PMID: 16998683.

    PubMed  Article  Google Scholar 

  22. Yano, Y., et al. (2003). Combined hepatocellular and cholangiocarcinoma: A clinicopathologic study of 26 resected cases. Japanese Journal of Clinical Oncology, 33(6), 283–287. PMID: 12913082.

    PubMed  Article  Google Scholar 

  23. Lee, J. H., et al. (2011). Long-term prognosis of combined hepatocellular and cholangiocarcinoma after curative resection comparison with hepatocellular carcinoma and cholangiocarcinoma. Journal of Clinical Gastroenterology, 45(1), 69–75.

    PubMed  Google Scholar 

  24. Lin, G., et al. (2008). Combined hepatocellular cholangiocarcinoma: Prognostic factors investigated by computed tomography/magnetic resonance imaging. International Journal of Clinical Practice, 62(8), 1199–1205. PMID: 17537192.

    CAS  PubMed  Article  Google Scholar 

  25. Yoshida, Y., et al. (1989). Surgical margin and recurrence after resection of hepatocellular carcinoma in patients with cirrhosis. Further evaluation of limited hepatic resection. Annals of Surgery, 209(3), 297–301. PMID: 2538106.

    CAS  PubMed Central  PubMed  Article  Google Scholar 

  26. Chan, A. C., et al. (2007). Liver transplantation for combined hepatocellular cholangiocarcinoma. Asian Journal of Surgery, 30(2), 143–146. PMID: 17475587.

    PubMed  Article  Google Scholar 

  27. Saidi, R. F., ReMine, S. G., & Jacobs, M. J. (2004). Intrahepatic cholangiocarcinoma masked as fever of unknown origin. Journal of Gastrointestinal Surgery, 8(2), 217–219. PMID: 15036199.

    PubMed  Article  Google Scholar 

Download references

Conflict of interest

The authors declare that they have no conflict of interest concerning this article.

Funding

None.

Author information

Affiliations

Authors

Corresponding author

Correspondence to Xuewen Zhang.

Rights and permissions

Reprints and Permissions

About this article

Cite this article

E., C., Xie, Y., Yang, Y. et al. Combined Hepatocellular–Cholangiocarcinoma with Fever of Unknown Origin: A Case Report and Review of Literature. Cell Biochem Biophys 69, 1–6 (2014). https://doi.org/10.1007/s12013-013-9760-z

Download citation

  • Published:

  • Issue Date:

  • DOI: https://doi.org/10.1007/s12013-013-9760-z

Keywords

  • Combined hepatocellular carcinoma and cholangiocarcinoma
  • Fever of unknown origin
  • Hepatectomy