Skip to main content

Expression and Biologic Significance of Adiponectin Receptors in Papillary Thyroid Carcinoma

Abstract

Obesity is associated with a higher incidence of thyroid cancer. Adiponectin is one of the most abundant adipokines with a pleiotropic role in metabolism and in the development and progression of cancer. It has been shown that circulating adiponectin level is inversely associated with the risk of thyroid cancer. This study aimed to investigate the possible association between the expression of adiponectin receptors (AdipoR1 and AdipoR2) and clinicopathological variables in papillary thyroid cancer. We found that protein levels of AdipoR1 and AdipoR2 were increased in some thyroid cancer specimens compared with adjacent normal thyroid tissues. Thyroid cancer cells expressed AdipoR1 and AdipoR2, which were attenuated by histone deacetylase inhibitors valproic acid and trichostatin A. Adiponectin stimulated AMP-activated protein kinase phosphorylation in thyroid cancer cells. We further determined the expression of AdipoR1 and AdipoR2 by immunohistochemical staining in primary tumor samples and metastatic lymph nodes. AdipoR1 was expressed in 27 % of primary tumors and AdipoR2 in 47 %. Negative expression of both adiponectin receptors was significantly associated with extrathyroidal invasion, multicentricity, and higher TNM stage. There was a trend toward decreased disease-free survival in patients with negative tumor expression of AdipoR1 and AdipoR2 (log-rank P = 0.051). Collectively, overexpression of adiponectin receptors was observed in some tumor tissues of papillary thyroid cancer and was associated with a better prognosis.

This is a preview of subscription content, access via your institution.

Fig. 1
Fig. 2
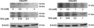
Fig. 3
Fig. 4
Fig. 5
Fig. 6

References

  1. Cramer, J. D., Fu, P., Harth, K. C., Margevicius, S., & Wilhelm, S. M. (2010). Analysis of the rising incidence of thyroid cancer using the surveillance, epidemiology and end results national cancer data registry. Surgery, 148, 1147–1152.

    PubMed  Article  Google Scholar 

  2. Renehan, A. G., Tyson, M., Egger, M., Heller, R. F., & Zwahlen, M. (2008). Body-mass index and incidence of cancer: A systematic review and meta-analysis of prospective observational studies. Lancet, 371, 569–578.

    PubMed  Article  Google Scholar 

  3. Leitzmann, M. F., Brenner, A., Moore, S. C., Koebnick, C., Park, Y., Hollenbeck, A., et al. (2010). Prospective study of body mass index, physical activity and thyroid cancer. International Journal of Cancer, 126, 2947–2956.

    CAS  Google Scholar 

  4. Cheng, S.-P., Chi, C.-W., Tzen, C.-Y., Yang, T.-L., Lee, J.-J., Liu, T.-P., et al. (2010). Clinicopathologic significance of leptin and leptin receptor expressions in papillary thyroid carcinoma. Surgery, 147, 847–853.

    PubMed  Article  Google Scholar 

  5. Cheng, S.-P., Yin, P.-H., Chang, Y.-C., Lee, C.-H., Huang, S.-Y., & Chi, C.-W. (2010). Differential roles of leptin in regulating cell migration in thyroid cancer cells. Oncology Reports, 23, 1721–1727.

    PubMed  CAS  Google Scholar 

  6. Cheng, S.-P., Yin, P.-H., Hsu, Y.-C., Chang, Y.-C., Huang, S.-Y., Lee, J.-J., et al. (2011). Leptin enhances migration of human papillary thyroid cancer cells through the PI3K/AKT and MEK/ERK signaling pathways. Oncology Reports, 26, 1265–1271.

    PubMed  CAS  Google Scholar 

  7. Scherer, P. E., Williams, S., Fogliano, M., Baldini, G., & Lodish, H. F. (1995). A novel serum protein similar to C1q, produced exclusively in adipocytes. The Journal of Biological Chemistry, 270, 26746–26749.

    PubMed  Article  CAS  Google Scholar 

  8. Arita, Y., Kihara, S., Ouchi, N., Takahashi, M., Maeda, K., Miyagawa, J., et al. (1999). Paradoxical decrease of an adipose-specific protein, adiponectin, in obesity. Biochemical and Biophysical Research Communications, 257, 79–83.

    PubMed  Article  CAS  Google Scholar 

  9. Yamauchi, T., Kamon, J., Ito, Y., Tsuchida, A., Yokomizo, T., Kita, S., et al. (2003). Cloning of adiponectin receptors that mediate antidiabetic metabolic effects. Nature, 423, 762–769.

    PubMed  Article  CAS  Google Scholar 

  10. Tsuchida, A., Yamauchi, T., Ito, Y., Hada, Y., Maki, T., Takekawa, S., et al. (2004). Insulin/Foxo1 pathway regulates expression levels of adiponectin receptors and adiponectin sensitivity. The Journal of Biological Chemistry, 279, 30817–30822.

    PubMed  Article  CAS  Google Scholar 

  11. Trujillo, M. E., & Scherer, P. E. (2005). Adiponectin—Journey from an adipocyte secretory protein to biomarker of the metabolic syndrome. Journal of Internal Medicine, 257, 167–175.

    PubMed  Article  CAS  Google Scholar 

  12. Kelesidis, I., Kelesidis, T., & Mantzoros, C. S. (2006). Adiponectin and cancer: a systematic review. British Journal of Cancer, 94, 1221–1225.

    PubMed  Article  CAS  Google Scholar 

  13. Dalamaga, M., Diakopoulos, K. N., & Mantzoros, C. S. (2012). The role of adiponectin in cancer: A review of current evidence. Endocrine Reviews. doi:10.1210/er.2011-1015 (in press).

  14. Iglesias, P., Alvarez Fidalgo, P., Codoceo, R., & Diez, J. J. (2003). Serum concentrations of adipocytokines in patients with hyperthyroidism and hypothyroidism before and after control of thyroid function. Clinical Endocrinology, 59, 621–629.

    PubMed  Article  CAS  Google Scholar 

  15. Mitsiades, N., Pazaitou-Panayiotou, K., Aronis, K. N., Moon, H. S., Chamberland, J. P., Liu, X., et al. (2011). Circulating adiponectin is inversely associated with risk of thyroid cancer: In vivo and in vitro studies. The Journal of Clinical Endocrinology and Metabolism, 96, E2023–E2028.

    PubMed  Article  CAS  Google Scholar 

  16. Schweppe, R. E., Klopper, J. P., Korch, C., Pugazhenthi, U., Benezra, M., Knauf, J. A., et al. (2008). Deoxyribonucleic acid profiling analysis of 40 human thyroid cancer cell lines reveals cross-contamination resulting in cell line redundancy and misidentification. The Journal of Clinical Endocrinology and Metabolism, 93, 4331–4341.

    PubMed  Article  CAS  Google Scholar 

  17. Cheng, S.-P., Lee, J.-J., Chi, C.-W., Chang, K.-M., & Chen, Y.-J. (2010). Platonin improves survival of skin allografts. Journal of Surgical Research, 164, 146–154.

    PubMed  Article  CAS  Google Scholar 

  18. Cady, B., & Rossi, R. (1988). An expanded view of risk-group definition in differentiated thyroid carcinoma. Surgery, 104, 947–953.

    PubMed  CAS  Google Scholar 

  19. Koerner, A., Kratzsch, J., & Kiess, W. (2005). Adipocytokines: Leptin—The classical, resistin—The controversial, adiponectin—The promising, and more to come. Best Practice & Research Clinical Endocrinology & Metabolism, 19, 525–546.

    Article  CAS  Google Scholar 

  20. Vona-Davis, L., & Rose, D. P. (2007). Adipokines as endocrine, paracrine, and autocrine factors in breast cancer risk and progression. Endocrine-Related Cancer, 14, 189–206.

    PubMed  Article  CAS  Google Scholar 

  21. Sun, J., Xu, Y., Dai, Z., & Sun, Y. (2009). Intermittent high glucose stimulate MCP-l, IL-18, and PAI-1, but inhibit adiponectin expression and secretion in adipocytes dependent of ROS. Cell Biochemistry and Biophysics, 55, 173–180.

    PubMed  Article  CAS  Google Scholar 

  22. Qiao, L., Schaack, J., & Shao, J. (2006). Suppression of adiponectin gene expression by histone deacetylase inhibitor valproic acid. Endocrinology, 147, 865–874.

    PubMed  Article  CAS  Google Scholar 

  23. Michalakis, K., Williams, C. J., Mitsiades, N., Blakeman, J., Balafouta-Tselenis, S., Giannopoulos, A., et al. (2007). Serum adiponectin concentrations and tissue expression of adiponectin receptors are reduced in patients with prostate cancer: A case control study. Cancer Epidemiology, Biomarkers and Prevention, 16, 308–313.

    PubMed  Article  CAS  Google Scholar 

  24. Petridou, E. T., Mitsiades, N., Gialamas, S., Angelopoulos, M., Skalkidou, A., Dessypris, N., et al. (2007). Circulating adiponectin levels and expression of adiponectin receptors in relation to lung cancer: Two case–control studies. Oncology, 73, 261–269.

    PubMed  Article  CAS  Google Scholar 

  25. Howard, J. M., Beddy, P., Ennis, D., Keogan, M., Pidgeon, G. P., & Reynolds, J. V. (2010). Associations between leptin and adiponectin receptor upregulation, visceral obesity and tumour stage in oesophageal and junctional adenocarcinoma. British Journal of Surgery, 97, 1020–1027.

    PubMed  Article  CAS  Google Scholar 

  26. Barresi, V., Grosso, M., Giuffre, G., Tuccari, G., & Barresi, G. (2009). The expression of adiponectin receptors Adipo-R1 and Adipo-R2 is associated with an intestinal histotype and longer survival in gastric carcinoma. Journal of Clinical Pathology, 62, 705–709.

    PubMed  Article  CAS  Google Scholar 

  27. Tsukada, T., Fushida, S., Harada, S., Terai, S., Yagi, Y., Kinoshita, J., et al. (2011). Adiponectin receptor-1 expression is associated with good prognosis in gastric cancer. Journal of Experimental & Clinical Cancer Research, 30, 107.

    Article  CAS  Google Scholar 

  28. Yamauchi, N., Takazawa, Y., Maeda, D., Hibiya, T., Tanaka, M., Iwabu, M., et al. (2012). Expression levels of adiponectin receptors are decreased in human endometrial adenocarcinoma tissues. International Journal of Gynecological Pathology, 31, 352–357.

    PubMed  Article  Google Scholar 

  29. Pfeiler, G., Hudelist, G., Wulfing, P., Mattsson, B., Konigsberg, R., Kubista, E., et al. (2010). Impact of AdipoR1 expression on breast cancer development. Gynecologic Oncology, 117, 134–138.

    PubMed  Article  CAS  Google Scholar 

  30. Byeon, J. S., Jeong, J. Y., Kim, M. J., Lee, S. M., Nam, W. H., Myung, S. J., et al. (2010). Adiponectin and adiponectin receptor in relation to colorectal cancer progression. International Journal of Cancer, 127, 2758–2767.

    Article  CAS  Google Scholar 

  31. Barb, D., Williams, C. J., Neuwirth, A. K., & Mantzoros, C. S. (2007). Adiponectin in relation to malignancies: a review of existing basic research and clinical evidence. The American Journal of Clinical Nutrition, 86, s858–s866.

    PubMed  Google Scholar 

  32. Park, J. T., Yoo, T. H., Chang, T. I., Lee, D. H., Lee, J. H., Lee, J. E., et al. (2011). Insulin resistance and lower plasma adiponectin increase malignancy risk in nondiabetic continuous ambulatory peritoneal dialysis patients. Metabolism: Clinical and Experimental, 60, 121–126.

    Article  CAS  Google Scholar 

  33. Tomas, E., Tsao, T. S., Saha, A. K., Murrey, H. E., Zhang, C. C., Itani, S. I., et al. (2002). Enhanced muscle fat oxidation and glucose transport by ACRP30 globular domain: Acetyl-CoA carboxylase inhibition and AMP-activated protein kinase activation. Proceedings of the National Academy of Sciences of the United States of America, 99, 16309–16313.

    PubMed  Article  CAS  Google Scholar 

  34. Choi, H. J., Kim, T. Y., Chung, N., Yim, J. H., Kim, W. G., Kim, J. A., et al. (2011). The influence of the BRAF V600E mutation in thyroid cancer cell lines on the anticancer effects of 5-aminoimidazole-4-carboxamide-ribonucleoside. Journal of Endocrinology, 211, 79–85.

    PubMed  Article  CAS  Google Scholar 

Download references

Acknowledgments

This study was supported by grants the from National Science Council of Taiwan (NSC 100-2314-B-195-001-MY3) and from the Mackay Memorial Hospital (MMH-9867 and MMH-10126).

Author information

Affiliations

Authors

Corresponding author

Correspondence to Jie-Jen Lee.

Electronic supplementary material

Below is the link to the electronic supplementary material.

Supplementary material 1 (PDF 6114 kb)

Rights and permissions

Reprints and Permissions

About this article

Cite this article

Cheng, SP., Liu, CL., Hsu, YC. et al. Expression and Biologic Significance of Adiponectin Receptors in Papillary Thyroid Carcinoma. Cell Biochem Biophys 65, 203–210 (2013). https://doi.org/10.1007/s12013-012-9419-1

Download citation

  • Published:

  • Issue Date:

  • DOI: https://doi.org/10.1007/s12013-012-9419-1

Keywords

  • Adiponectin receptor
  • Adiponectin
  • Thyroid cancer
  • Leptin
  • Obesity