Skip to main content

Expression of Th17 Cells in Breast Cancer Tissue and Its Association with Clinical Parameters

Abstract

Th17 cells are newly identified effector CD4+ T cells, which play an active role in inflammation and autoimmune diseases and may be relevant for anti-tumor defenses. In the present study, we examined expression of Th17 cells in specimens of breast cancer tissue and its association with clinical, pathology, and immunological parameters. Expression rates of Th17 and T regulatory (Treg) cells in breast cancer and normal (i.e. non-cancerous) tissue were evaluated using flow cytometry in 30 patients with breast carcinoma. Further, expression of interleukin-17 (IL-17), interleukin-1β (IL-1β), and interleukin-6 (IL-6) in breast cancer tissue was evaluated by immunohistochemical staining. Associations between Th17 expression and other parameters were analyzed by multiple linear regression analysis. We observed that expression of Th17 cells was significantly higher in breast cancer compared to normal breast tissue. Further, expressions of IL-17, IL-1β, and IL-6 in cancer tissue positively correlated with expression of Th17 cells. In addition, there was a negative association between the numbers of Th17 cells and TNM stage, blood vessel invasion, and increased numbers of metastatic lymph nodes. Finally, expression of Th17 was not associated with expression of Treg. In conclusion, Th17 cells appear to be involved in anti-tumor immune responses and are associated with a more favorable prognosis.

This is a preview of subscription content, access via your institution.

Fig. 1
Fig. 2
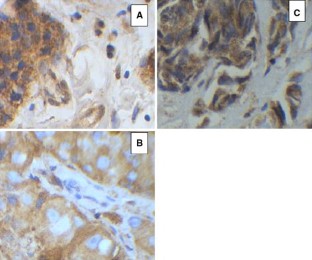
Fig. 3
Fig. 4

References

  1. Weaver, C. T., & Murphy, K. M. (2007). T-cell subsets: The more the merrier. Current Biology, 17, R61–R63.

    PubMed  Article  CAS  Google Scholar 

  2. Bettelli, E., & Kuchroo, V. K. (2005). IL-12- and IL-23-induced T helper cell subsets: Birds of the same feather flock together. Journal of Experimental Medicine, 201, 169–171.

    PubMed  Article  CAS  Google Scholar 

  3. Park, H., Li, Z., Yang, X. O., Chang, S. H., Nurieva, R., Wang, Y. H., et al. (2005). A distinct lineage of CD4 T cells regulates tissue inflammation by producing interleukin 17. Nature Immunology, 6, 1133–1141.

    PubMed  Article  CAS  Google Scholar 

  4. Afzali, B., Lombardi, G., Lechler, R. I., & Lord, G. M. (2007). The role of T helper 17 (Th17) and regulatory T cells (Treg) in human organ transplantation and autoimmune disease. Clinical and Experimental Immunology, 148, 32–46.

    PubMed  Article  CAS  Google Scholar 

  5. Schmidt-Weber, C. B., Akdis, M., & Akdis, C. A. (2007). TH17 cells in the big picture of immunology. Journal of Allergy and Clinical Immunology, 120, 247–254.

    PubMed  Article  CAS  Google Scholar 

  6. Weaver, C. T., Harrington, L. E., Mangan, P. R., Gavrieli, M., & Murphy, K. M. (2006). Th17: An effector CD4 T cell lineage with regulatory T cell ties. Immunity, 24, 677–688.

    PubMed  Article  CAS  Google Scholar 

  7. Yang, X. O., Pappu, B. P., Nurieva, R., Akimzhanov, A., Kang, H. S., Chung, Y., et al. (2008). T helper 17 lineage differentiation is programmed by orphan nuclear receptors ROR alpha and ROR gamma. Immunity, 28, 29–39.

    PubMed  Article  CAS  Google Scholar 

  8. Lubberts, E. (2008). IL-17/Th17 targeting: On the road to prevent chronic destructive arthritis? Cytokine, 41, 84–91.

    PubMed  Article  CAS  Google Scholar 

  9. Dong, C. (2008). TH17 cells in development: An updated view of their molecular identity and genetic programming. Nature Reviews Immunology, 8, 337–348.

    PubMed  Article  CAS  Google Scholar 

  10. Langowski, J. L., Zhang, X., Wu, L., Mattson, J. D., Chen, T., Smith, K., et al. (2006). IL-23 promotes tumour incidence and growth. Nature, 442, 461–465.

    PubMed  Article  CAS  Google Scholar 

  11. Kryczek, I., Wei, S., Zou, L., Altuwaijri, S., Szeliga, W., Kolls, J., et al. (2007). Cutting edge: Th17 and regulatory T cell dynamics and the regulation by IL-2 in the tumor microenvironment. Journal of Immunology, 178, 6730–6733.

    CAS  Google Scholar 

  12. Bettelli, E., Oukka, M., & Kuchroo, V. K. (2007). T(H)-17 cells in the circle of immunity and autoimmunity. Nature Immunology, 8, 345–350.

    PubMed  Article  CAS  Google Scholar 

  13. Korn, T., Bettelli, E., Oukka, M., & Kuchroo, V. K. (2009). IL-17 and Th17 cells. Annual Review of Immunology, 27, 485–517.

    PubMed  Article  CAS  Google Scholar 

  14. Williams, L. M., & Rudensky, A. Y. (2007). Maintenance of the Foxp3-dependent developmental program in mature regulatory T cells requires continued expression of Foxp3. Nature Immunology, 8, 277–284.

    PubMed  Article  CAS  Google Scholar 

  15. Wan, Y. Y., & Flavell, R. A. (2007). Regulatory T-cell functions are subverted and converted owing to attenuated Foxp3 expression. Nature, 445, 766–770.

    PubMed  Article  CAS  Google Scholar 

  16. Prabhala, R. H., Pelluru, D., Fulciniti, M., Prabhala, H. K., Nanjappa, P., Song, W., et al. (2010). Elevated IL-17 produced by TH17 cells promotes myeloma cell growth and inhibits immune function in multiple myeloma. Blood, 115, 5385–5392.

    PubMed  Article  CAS  Google Scholar 

  17. Zhang, B., Rong, G., Wei, H., Zhang, M., Bi, J., Ma, L., et al. (2008). The prevalence of Th17 cells in patients with gastric cancer. Biochemical and Biophysical Research Communications, 374, 533–537.

    PubMed  Article  CAS  Google Scholar 

  18. Steiner, G. E., Newman, M. E., Paikl, D., Stix, U., Memaran-Dagda, N., Lee, C., et al. (2003). Expression and function of pro-inflammatory interleukin IL-17 and IL-17 receptor in normal, benign hyperplastic, and malignant prostate. Prostate, 56, 171–182.

    PubMed  Article  CAS  Google Scholar 

  19. Miyahara, Y., Odunsi, K., Chen, W., Peng, G., Matsuzaki, J., & Wang, R. F. (2008). Generation and regulation of human CD4+ IL-17-producing T cells in ovarian cancer. Proceedings of the National Academy of Sciences of USA, 105, 15505–15510.

    Article  CAS  Google Scholar 

  20. Kryczek, I., Banerjee, M., Cheng, P., Vatan, L., Szeliga, W., Wei, S., et al. (2009). Phenotype, distribution, generation, and functional and clinical relevance of Th17 cells in the human tumor environments. Blood, 114, 1141–1149.

    PubMed  Article  CAS  Google Scholar 

  21. Sfanos, K. S., Bruno, T. C., Maris, C. H., Xu, L., Thoburn, C. J., DeMarzo, A. M., et al. (2008). Phenotypic analysis of prostate-infiltrating lymphocytes reveals TH17 and Treg skewing. Clinical Cancer Research, 14, 3254–3261.

    PubMed  Article  CAS  Google Scholar 

  22. Koyama, K., Kagamu, H., Miura, S., Hiura, T., Miyabayashi, T., Itoh, R., et al. (2008). Reciprocal CD4+ T-cell balance of effector CD62Llow CD4+ and CD62LhighCD25+ CD4+ regulatory T cells in small cell lung cancer reflects disease stage. Clinical Cancer Research, 14, 6770–6779.

    PubMed  Article  CAS  Google Scholar 

  23. Boni, A., Muranski, P., Cassard, L., Wrzesinski, C., Paulos, C. M., Palmer, D. C., et al. (2008). Adoptive transfer of allogeneic tumor-specific T cells mediates effective regression of large tumors across major histocompatibility barriers. Blood, 112, 4746–4754.

    PubMed  Article  CAS  Google Scholar 

  24. Muranski, P., Boni, A., Antony, P. A., Cassard, L., Irvine, K. R., Kaiser, A., et al. (2008). Tumor-specific Th17-polarized cells eradicate large established melanoma. Blood, 112, 362–373.

    PubMed  Article  CAS  Google Scholar 

  25. Kottke, T., Sanchez-Perez, L., Diaz, R. M., Thompson, J., Chong, H., Harrington, K., et al. (2007). Induction of hsp70-mediated Th17 autoimmunity can be exploited as immunotherapy for metastatic prostate cancer. Cancer Research, 67, 11970–11979.

    PubMed  Article  CAS  Google Scholar 

  26. Shime, H., Yabu, M., Akazawa, T., Kodama, K., Matsumoto, M., Seya, T., et al. (2008). Tumor-secreted lactic acid promotes IL-23/IL-17 proinflammatory pathway. Journal of Immunology, 180, 7175–7183.

    CAS  Google Scholar 

  27. Schreiber, T. H., Deyev, V. V., Rosenblatt, J. D., & Podack, E. R. (2009). Tumor-induced suppression of CTL expansion and subjugation by gp96-Ig vaccination. Cancer Research, 69, 2026–2033.

    PubMed  Article  CAS  Google Scholar 

Download references

Author information

Affiliations

Authors

Corresponding author

Correspondence to BaoEn Shan.

Rights and permissions

Reprints and Permissions

About this article

Cite this article

Yang, L., Qi, Y., Hu, J. et al. Expression of Th17 Cells in Breast Cancer Tissue and Its Association with Clinical Parameters. Cell Biochem Biophys 62, 153–159 (2012). https://doi.org/10.1007/s12013-011-9276-3

Download citation

  • Published:

  • Issue Date:

  • DOI: https://doi.org/10.1007/s12013-011-9276-3

Keywords

  • Th17 cells
  • Breast carcinoma
  • Flow cytometry
  • Blood vessel invasion
  • Metastasis