Skip to main content

Effect of Kaempferol Pretreatment on Myocardial Injury in Rats

Abstract

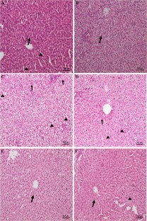
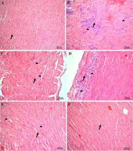
The present study was undertaken to evaluate the effect of kaempferol in isoprenaline (ISP)-induced myocardial injury in rats. ISP was administered subcutaneously for two subsequent days to induce myocardial injury. Assessment of myocardial injury was done by estimation of hemodynamic functions, myocardial infarcted area, cardiac injury markers, lipid profile, oxidative stress, pro-inflammatory cytokines and histopathology of heart and liver. Rats pretreated with kaempferol showed reduction in the myocardial infarcted area and heart rate. However, no improvement was observed in change in body weight, mean arterial, systolic and diastolic blood pressure. Kaempferol showed significant decrease in serum LDH, CK-MB, troponin-I and lipid profile. However, highest dose of kaempferol did not reduce the serum triglyceride level. Further, antioxidant enzymes, SOD and catalase, were also higher. However, reduced glutathione, serum SGOT and creatinine did not show any improvement. Kaempferol showed reduction in MDA level. Kaempferol at highest dose showed reduction in pro-MMP-2 expression and MMP-9 level. mRNA expression level of TNF-α was not different in kaempferol-pretreated myocardial injured rats with ISP-alone group. Pretreatment with kaempferol at highest dose showed mild mononuclear infiltration and degenerative changes in heart tissue section of myocardial injured rats. Rats pretreated with kaempferol at higher concentration showed normal cordlike arrangement of hepatocytes with moderate swelling of hepatocytes (vacuolar degeneration) around the central vein. Study suggests that kaempferol attenuated lipid profile, infarcted area and oxidative stress in ISP-induced myocardial injury in rats.

This is a preview of subscription content, access via your institution.

Fig. 1
Fig. 2
Fig. 3
Fig. 4
Fig. 5
Fig. 6
Fig. 7
Fig. 8
Fig. 9
Fig. 10
Fig. 11

References

  1. Suchal, K., Malik, S., Gamad, N., Malhotra, R. K., Goyal, S. N., Chaudhary, U., et al. (2016). Kaempferol attenuates myocardial ischemic injury via inhibition of MAPK signaling pathway in experimental model of myocardial ischemia-reperfusion injury. Oxidative Medicine and Cellular Longevity. https://doi.org/10.1155/2016/7580731.

    PubMed  PubMed Central  Article  Google Scholar 

  2. Reeve, J. L. V., Duffy, A. M., & Brein, O. (2005). Don’t loss heart to therapeutic values of apoptosis prevention of cardiovascular diseases. Journal of Cellular and Molecular Medicine, 9, 609–622.

    Article  PubMed  CAS  Google Scholar 

  3. Kharadi, G. B., Patel, K. J., Purohit, B. M., Baxi, S. N., & Tripathi, C. B. (2016). Evaluation of cardioprotective effect of aqueous extract of Allium cepa Linn. bulb on isoprenaline-induced myocardial injury in Wistar albino rats. Research. Pharmaceutical Sciences, 11(5), 419–427.

    Article  Google Scholar 

  4. Mahammad Rahmathulla, S. B., & Devi, K. L. (2013). Origination and development of isoproterenol-induced myocardial infarction in male wistar rats. International Research Journal of Pharmacy, 4(5), 26–35.

    Article  Google Scholar 

  5. Khalil, M. I., Tanvir, E. M., Afroz, R., Sulaiman, S. A., & Gan, S. H. (2015). Cardioprotective effects of tualang honey: Amelioration of cholesterol and cardiac enzymes levels. BioMed Research International, 2015, 286051. https://doi.org/10.1155/2015/286051.

    PubMed  PubMed Central  CAS  Article  Google Scholar 

  6. Calderón-Montaño, J. M., Burgos-Morón, E., Pérez-Guerrero, C., & López-Lázaro, M. (2011). A review on the dietary flavonoid kaempferol. Mini Reviews in Medicinal Chemistry., 11, 298–344.

    Article  PubMed  Google Scholar 

  7. Kumar, S., & Pandey, A. K. (2013). Chemistry and biological activities of flavonoids: an overview. Scientific World Journal, 162750.

  8. Salvamani, S., Gunasekaran, B., Shaharuddin, N. A., Ahmad, S. A., & Shukor, M. Y. (2014). Antiartherosclerotic effects of plant flavonoids. BioMed Research International, 480258.

  9. Devi, K. P., Malar, D. S., Nabavi, S. F., Sureda, A., Xiao, J., Nabavi, S. M., et al. (2015). Kaempferol and inflammation: From chemistry to medicine. Pharmacological Research, 99, 1–10.

    Article  PubMed  CAS  Google Scholar 

  10. Olszewska, M. (2008). Separation of quercetin, sexangularetin, kaempferol and isorhamnetin for simultaneous HPLC determination of flavonoid aglycones in inflorescences, leaves and fruits of three Sorbus species. Journal of Pharmaceutical and Biomedical Analysis, 48, 629–635.

    Article  PubMed  CAS  Google Scholar 

  11. Xiao, J., Sun, G. B., Sun, B., Wu, Y., He, L., Wang, X., et al. (2012). Kaempferol protects against doxorubicin-induced cardiotoxicity in vivo and in vitro. Toxicology, 292, 53–62.

    Article  PubMed  CAS  Google Scholar 

  12. Montero, M., de la Fuente, S., Fonteriz, R. I., Moreno, A., & Alvarez, J. (2014). Effects of long-term feeding of the polyphenols resveratrol and kaempferol in obese mice. PLoS ONE, 9, e112825.

    Article  PubMed  PubMed Central  CAS  Google Scholar 

  13. Luo, C., Yang, H., Tang, C., Yao, G., Kong, L., He, H., et al. (2015). Kaempferol alleviates insulin resistance via hepatic IKK/NF-κB signal in type 2 diabetic rats. International Immunopharmacology, 28, 744–750.

    Article  PubMed  CAS  Google Scholar 

  14. Alkhalidy, H., Moore, W., Zhang, Y., McMillan, R., Wang, A., Ali, M., Suh, K. S., Zhen, W., Cheng, Z., Jia, Z., Hulver, M., & Liu, D. (2015). Small molecule kaempferol promotes insulin sensitivity and preserved pancreatic β -cell mass in middle-aged obese diabetic mice. Journal of Diabetes Research, 532984.

  15. Al-Numair, K. S., Veeramani, C., Alsaif, M. A., & Chandramohan, G. (2015). Influence of kaempferol, a flavonoid compound, on membrane-bound ATPases in streptozotocin-induced diabetic rats. Pharmaceutical Biology, 53, 1372–1378.

    Article  PubMed  CAS  Google Scholar 

  16. Kim, S. H., Park, J. G., Lee, J., Yang, W. S., Park, G. W., Kim, H. G., Yi, Y. S., Baek, K. S., Sung, N. Y., Hossen, M. J., Lee, M. N., Kim, J. H., & Cho, J. Y. (2015). The dietary flavonoid kaempferol mediates anti-inflammatory responses via the Src, Syk, IRAK1, and IRAK4 molecular targets. Mediators of Inflammation, 904142.

  17. Yang, Q. S., He, L. P., Zhou, X. L., Zhao, Y., Shen, J., Xu, P., et al. (2015). Kaempferol pretreatment modulates systemic inflammation and oxidative stress following hemorrhagic shock in mice. Chinese Medicine, 10, 6.

    Article  PubMed  PubMed Central  CAS  Google Scholar 

  18. Yang, E. J., Kim, G. S., Jun, M., & Song, K. S. (2014). Kaempferol attenuates the glutamate-induced oxidative stress in mouse-derived hippocampal neuronal HT22 cells. Food & Function, 5, 1395–1402.

    Article  CAS  Google Scholar 

  19. Yoshimura, T., Harashima, M., Kurogi, K., Suiko, M., Liu, M. C., & Sakakibara, Y. (2016). A novel procedure for the assessment of the antioxidant capacity of food components. Analytical Biochemistry, 507, 7–12.

    Article  PubMed  CAS  Google Scholar 

  20. Liao, W., Chen, L., Ma, X., Jiao, R., Li, X., & Wang, Y. (2016). Protective effects of kaempferol against reactive oxygen species-induced hemolysis and its antiproliferative activity on human cancer cells. European Journal of Medicinal Chemistry, 114, 24–32.

    Article  PubMed  CAS  Google Scholar 

  21. An, M., & Kim, M. (2015). Protective effects of kaempferol against cardiac sinus node dysfunction via CaMKII deoxidization. Anatomy & Cell Biology, 48, 235–243.

    Article  Google Scholar 

  22. Kim, D. S., Ha, K. C., Kwon, D. Y., Kim, M. S., Kim, H. R., Chae, S. W., et al. (2008). Kaempferol protects ischemia/reperfusion-induced cardiac damage through the regulation of endoplasmic reticulum stress. Immunopharmacology Immunotoxicology, 30, 257–270.

    Article  PubMed  CAS  Google Scholar 

  23. Guo, Z., Liao, Z., Huang, L., Liu, D., Yin, D., & He, M. (2015). Kaempferol protects cardiomyocytes against anoxia/reoxygenation injury via mitochondrial pathway mediated by SIRT1. European Journal of Pharmacology, 761, 245–253.

    Article  PubMed  CAS  Google Scholar 

  24. Zhou, M., Ren, H., Han, J., Wang, W., Zheng, Q., Wang, D. (2015). Protective effects of kaempferol against myocardial ischemia/reperfusion injury in isolated rat heart via antioxidant activity and inhibition of glycogen synthase kinase-3β. Oxidative Medicine and Cellular Longevity, 481405.

  25. Tang, X. L., Liu, J. X., Dong, W., Li, P., Li, L., Hou, J. C., et al. (2015). Protective effect of kaempferol on LPS plus ATP-induced inflammatory response in cardiac fibroblasts. Inflammation, 38, 94–101.

    Article  PubMed  CAS  Google Scholar 

  26. Suchal, K., Malik, S., Gamad, N., Malhotra, R. K., Goyal, S. N., Bhatia, J., et al. (2016). Kampeferol protects against oxidative stress and apoptotic damage in experimental model of isoproterenol-induced cardiac toxicity in rats. Phytomedicine, 23, 1401–1408.

    Article  PubMed  CAS  Google Scholar 

  27. Kasa, J. K., Singh, T. U., Parida, S., Addison, M. P., Darzi, S. A., Choudhury, S., et al. (2015). Assessment of indian rosewood (Dalbergia sissoo) standardized leaf extract on isoproterenol-induced myocardial injury in rats. Cardiovascular Toxicology, 15, 250–260.

    Article  PubMed  CAS  Google Scholar 

  28. Paula, F. B. A., Gouvea, C. M. C. P., Alfredo, P. P., & Salgado, I. (2005). Protective action of a hexane crude extract of Pterodone marginatus fruits against oxidative and nitrosative stress induced by acute exercise in rats. BMC Complementary and Alternative Medicine, 5, 17–21.

    Article  PubMed  PubMed Central  Google Scholar 

  29. Madesh, M., & Balasubramanium, K. A. (1998). Microtitre plate assay for SOD using MTT reduction by superoxide. Indian Journal of Biochemistry & Biophysics, 35, 184–188.

    CAS  Google Scholar 

  30. Aebi, M. (1983). Catalase. In H. U. Bergmeyer, J. Bergmeyer, & M. Grabi (Eds.), Methods of enzymatic analysis (pp. 273–286). Weinheim: Verlag Chemie.

    Google Scholar 

  31. Sedlak, J., & Lindsay, R. H. (1968). Estimation of total protein bound and non protein sulfhydryl groups in tissue with Ellman’s reagent. Analytical Biochemistry, 25, 192–205.

    Article  PubMed  CAS  Google Scholar 

  32. Gepstein, A., Shapiro, S., Arbel, G., Lahat, N., & Livne, E. (2002). Expression of matrix metalloproteinases in articular cartilage of temporomandibular and knee joints of mice during growth, maturation, and aging. Arthritis Rheumatology, 46, 3240–3250.

    Article  CAS  Google Scholar 

  33. Luna, L. G. (1968). Manual of histologic staining methods of the armed forces institute of pathology. New York: McGraw Hill.

    Google Scholar 

  34. Livak, K. J., & Schmittgen, T. D. (2001). Analysis of relative gene expression data using real time quantitative PCR and the 2-∆∆CT method. Methods, 25, 402–408.

    Article  PubMed  CAS  Google Scholar 

  35. Patel, V., Upaganlawar, A., Zalawadia, R., & Balaraman, R. (2010). Cardioprotective effect of melatonin against isoproterenol induced myocardial infarction in rats: A biochemical, electrocardiographic and histoarchitecture evaluation. European Journal of Pharmacology, 644, 160–168.

    Article  PubMed  CAS  Google Scholar 

  36. Li, H., Xie, Y. H., Yang, Q., Wang, S. W., Zhang, B. L., Wang, J. B., et al. (2012). Cardioprotective effect of paeonol and danshensu combination on isoproterenol-induced myocardial injury in rats. PLoS ONE, 7, e48872.

    Article  PubMed  PubMed Central  CAS  Google Scholar 

  37. Suchal, K., Malik, S., Khan, S., Malhotra, R. K., Goyal, S. N., Bhatia, J., et al. (2017). Molecular pathways involved in the amelioration of myocardial injury in diabetic rats by kaempferol. International Journal of Molecular Sciences, 18(5), 1001.

    Article  PubMed Central  Google Scholar 

  38. Wexler, B. C. (1978). Myocardial infarction in young vs old male rats: Pathophysiologic changes. American Heart Journal, 96(1), 70–80.

    Article  PubMed  CAS  Google Scholar 

  39. Wexler, B. C. (1979). Opposing effects of deoxycorticosterone and spironolactone on isoprenaline-induced myocardial infarction. Cardiovascular Research, 13(2), 119–126.

    Article  PubMed  CAS  Google Scholar 

  40. Dikshit, M., & Srimal, R. C. (1991). Effect of centbucridine & lignocaine on biochemical changes in isoproterenol induced ischemia in rats. Indian Journal of Medical Research, 94, 307–311.

    PubMed  CAS  Google Scholar 

  41. Manjula, T. S., Geetha, A., Ramesh, T. G., & Devi, C. S. (1992). Reversal of changes of myocardial lipids by chronic administration of aspirin in isoproterenol-induced myocardial damage in rats. Indian Journal of Physiology and Pharmacology, 36(1), 47–50.

    PubMed  CAS  Google Scholar 

  42. Hemalatha, K. L., & Stanely Mainzen Prince, P. (2015). Antihyperlipidaemic, antihypertrophic, and reducing effects of zingerone on experimentally induced myocardial infarcted rats. Journal of Biochemical and Molecular Toxicology, 29(4), 182–188.

    Article  PubMed  CAS  Google Scholar 

  43. Grynberg, A., Ziegler, D., & Rupp, H. (1996). Sympathoadrenergic overactivity and lipid metabolism. Cardiovascular Drugs and Therapy, 10, 223–230.

    Article  PubMed  Google Scholar 

  44. Afroz, R., Tanvir, E. M., Karim, N., Hossain, M. S., Alam, N., Gan, S. H., et al. (2016). Sundarban honey confers protection against isoproterenol-induced myocardial infarction in wistar rats. BioMed Research International. https://doi.org/10.1155/2016/6437641.

    PubMed  PubMed Central  Article  Google Scholar 

  45. Rajanandh, M. G., Satishkumar, M. N., Elango, K., & Suresh, B. (2012). Moringa oleifera Lam. A herbal medicine for hyperlipidemia: A pre-clinical report. Asian Pacific Journal of Tropical Disease, 2, 90–95.

    Article  Google Scholar 

  46. Habtemariam, S. (2013). Antihyperlipidemic components of Cassia auriculata aerial parts: Identification through in vitro studies. Phytotherapy Research, 27, 152–155.

    Article  PubMed  CAS  Google Scholar 

  47. Pund, K. V., Vyawahare, N. S., Gadakh, R. T., & Murkute, V. K. (2012). Antidiabetic evaluation of Dalbergia sissoo against alloxan-induced diabetes mellitus in wistar albino rats. Journal of Natural Product and Plant Resources, 2, 81–88.

    Google Scholar 

  48. Dringen, R. (2000). Glutathione metabolism and oxidative stress in neurodegeneration. European Journal of Biochemistry, 267, 4903.

    Article  PubMed  CAS  Google Scholar 

  49. Sahu, S. C., & Gray, G. C. (1996). Pro-oxidant activity of flavonoids: Effects on glutathione and glutathione S-transferase in isolated rat liver nuclei. Cancer Letters, 104, 193–196.

    Article  PubMed  CAS  Google Scholar 

  50. Galati, G., Sabzevari, O., Wilson, J. X., & O’Brien, P. J. (2002). Prooxidant activity and cellular effects of the phenoxyl radicals of dietary flavonoids and other polyphenolics. Toxicology, 177, 91–104.

    Article  PubMed  CAS  Google Scholar 

  51. Sahu, S. C., & Gray, G. C. (1994). Kaempferol-induced nuclear DNA damage and lipid peroxidation. Cancer Letters, 85, 159–164.

    Article  PubMed  CAS  Google Scholar 

  52. Shukla, S. K., Sharma, S. B., & Singh, U. R. (2015). Adrenoreceptor agonist isoproterenol alters oxidative stress, inflammatory signaling, injury markers and apoptotic cell death in myocardium of rats. Indian Journal of Clinical Biochemistry, 30, 27–34.

    Article  PubMed  CAS  Google Scholar 

  53. Feng, H., Cao, J., Zhang, G., & Wang, Y. (2017). Kaempferol attenuates cardiac hypertrophy via regulation of ASK1/MAPK signaling pathway and oxidative stress. Planta Medica, 83, 837–845.

    Article  PubMed  CAS  Google Scholar 

  54. Periasamy, S., Mo, F. E., Chen, S. Y., Chang, C. C., & Liu, M. Y. (2011). Sesame oil attenuates isoproterenol-induced acute myocardial infarction via inhibition of matrix metalloproteinase-2 and-9 expression in rats. Cellular Physiology and Biochemistry, 27, 273–280.

    Article  PubMed  CAS  Google Scholar 

  55. Ye, L., Zhang, Q., Huang, Y., Xu, Z., & Liu, Z. (2010). Role of MMP-9 and NF-kappaB expression by Xuemaitong capsule preconditioning on rats of acute myocardial ischemia. Zhongguo Zhong Yao Za Zhi, 35, 3203–3206.

    PubMed  Google Scholar 

  56. van Vuren, E. J., Malan, L., von Känel, R., Cockeran, M., & Malan, N. T. (2016). Hyperpulsatile pressure, systemic inflammation and cardiac stress are associated with cardiac wall remodeling in an African male cohort: The SABPA study. Hypertension Research, 39, 648–653.

    Article  PubMed  CAS  Google Scholar 

  57. Zhao, L., Cheng, G., Jin, R., Afzal, M. R., Samanta, A., Xuan, Y. T., et al. (2016). Deletion of interleukin-6 attenuates pressure overload-induced left ventricular hypertrophy and dysfunction. Circulation Research, 118, 1918–1929.

    Article  PubMed  PubMed Central  CAS  Google Scholar 

  58. Qiao, Y., Zhu, B., Tian, A., & Li, Z. (2017). PEG-coated gold nanoparticles attenuate β-adrenergic receptor-mediated cardiac hypertrophy. International Journal of Nanomedicine, 12, 4709–4719.

    Article  PubMed  PubMed Central  Google Scholar 

  59. Kumar, S., Seth, S., Jaiswal, A., Enjamoori, R., Dinda, A. K., Ray, R., et al. (2009). Chronic beta-adrenergic activation-induced left ventricular systolic dysfunction is associated with systemic release of TNF-alpha and IL-1-beta in rats. Pharmacological Reports, 61, 870–876.

    Article  PubMed  CAS  Google Scholar 

  60. Nagoor Meeran, M. F., Jagadeesh, G. S., & Selvaraj, P. (2015). Thymol attenuates inflammation in isoproterenol induced myocardial infarcted rats by inhibiting the release of lysosomal enzymes and downregulating the expressions of proinflammatory cytokines. European Journal of Pharmacology, 754, 153–161.

    Article  PubMed  CAS  Google Scholar 

  61. Goebel, M. U., Mills, P. J., Irwin, M. R., & Ziegler, M. G. (2000). Interleukin-6 and tumor necrosis factor-alpha production after acute psychological stress, exercise, and infused isoproterenol: Differential effects and pathways. Psychosomatic Medicine, 62, 591–598.

    Article  PubMed  CAS  Google Scholar 

  62. Pipaliya, H., & Vaghasiya, J. (2012). Cardioprotective effect of vitamin A against isoproterenol-induced myocardial infarction. Journal of Nutritional Science & Vitaminology (Tokyo), 58, 402–407.

    Article  CAS  Google Scholar 

  63. Panda, S., & Kar, A. (2012). A novel phytochemical, digoxigenin-3-O-rutin in the amelioration of isoproterenol-induced myocardial infarction in rat: A comparison with digoxin. Cardiovascular Therapeutics, 30, 125–135.

    Article  PubMed  CAS  Google Scholar 

  64. Vijayaprakash, S., Langeswaran, K., Kumar, S. G., Revathy, R., & Balasubramanian, M. P. (2013). Nephro-protective significance of kaempferol on mercuric chloride induced toxicity in Wistar albino rats. Biomedicine & Aging Pathology, 3, 119–124.

    Article  CAS  Google Scholar 

Download references

Acknowledgements

Authors are thankful to the Director, ICAR-Indian Veterinary Research Institute, Izatnagar, for providing the necessary facilities to complete this work.

Author information

Affiliations

Authors

Corresponding author

Correspondence to Thakur Uttam Singh.

Ethics declarations

Conflict of interest

None.

Rights and permissions

Reprints and Permissions

About this article

Verify currency and authenticity via CrossMark

Cite this article

Vishwakarma, A., Singh, T.U., Rungsung, S. et al. Effect of Kaempferol Pretreatment on Myocardial Injury in Rats. Cardiovasc Toxicol 18, 312–328 (2018). https://doi.org/10.1007/s12012-018-9443-5

Download citation

  • Published:

  • Issue Date:

  • DOI: https://doi.org/10.1007/s12012-018-9443-5

Keywords

  • Myocardial injury
  • Isoprenaline
  • Kaempferol
  • Rats