Abstract
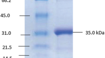
l-Glutaminase (E.C.3.5.2.1) extracellularly produced by Bacillus cereus MTCC 1305 was purified to apparent homogeneity with a fine band. The molecular weight of native enzyme and its subunit were found to be approximately 140 and 35 kDa, respectively, which indicates its homotetrameric nature. The substrate specificity test of this enzyme showed its specificity for l-glutamine. The purified enzyme showed maximum activity at optimum pH 7.5 and temperature 35 °C. The enzyme retained stability up to 50 and 20 % even after treatment at 50 and 55 °C, respectively, for 30 min. Monovalent cations (Na+, K+) and phosphate ion activated the enzyme activity, while divalent cations (Mg2+, Mn2+, Zn2+, Pb2+, Ca2+, Co2+, Hg2+, Cd2+, Cu2+) inhibited its activity. Reducing agents (cysteine, glutathione, dithiothreitol, l-ascorbic acid, and β-mercaptoethanol) stimulated its activity, whereas thiol-binding agents (iodoacetamide, p-chloromercuribenzoic acid) resulted in the inhibition of this enzyme. Kinetic parameters, K m, V max, K cat, of purified enzyme were found to be 6.25 mM, 100 μmol/min/mg protein and 2.22 × 102 M−1s−1, respectively. The gradual inhibition in growth of hepatocellular carcinoma (Hep-G2) cell lines was found with IC50 value of 82.27 μg/ml in the presence of different doses of l-glutaminase (10–100 μg/ml).





Similar content being viewed by others
Explore related subjects
Discover the latest articles and news from researchers in related subjects, suggested using machine learning.References
Sabu, A., Nampoothiri, K. M., & Pandey, A. (2005). Methods in Biotechnology, 17, 75–90.
Kroemer, G., & Pouyssegur, J. (2008). Cancer Cell, 13, 472–482.
Roberts, J., Holcenberg, J. S., & Dolowy, W. C. (1970). Nature, London, 227, 1136–1137.
David, R. W., & Craig, B. T. (2010). Trends in Biochemical Sciences, 35(8), 427–433.
Berardinis, D. R. J., & Cheng, T. (2009). Oncogene, 29, 313–324.
Marcus, K., Heinrich, K., & Thomas, J. (2002). FEMS Microbiology Letters, 206, 63–67.
Davidson, L., Brear, D. R., Wingard, P., Hawkins, J., & Kitto, G. B. (1977). Journal of Bacteriology, 129, 1379–1386.
Mannan, S., Sinha, A., Sadhukhan, R., & Chakrabarty, S. L. (1995). Current Microbiology, 30, 291–298.
Soda, K., Ohshima, M., & Yamamoto, T. (1972). Biochemical and Biophysical Research Communication, 46, 1278–1284.
Shimizu, Y., Ueyama, A., & Goto, K. (1991). Journal of Brewing Society of Japan, 86, 441–446.
Mashburn, L. T., & Wriston, J. C., Jr. (1964). Archives of Biochemistry and Biophysics, 105, 450–52.
Roberts, J., Holcenberg, J. S., & Dolowy, W. C. (1972). Journal of Biological Chemistry, 247, 84–90.
Wade, H. E., Robinson, H. K., & Philips, B. W. (1971). Journal of General Microbiology, 69, 299–312.
Imada, A., Igarasi, S., Nakahama, K., & Isono, M. (1973). Journal of General Microbiology, 76, 85–99.
Curthoys, N. P., & Weiss, R. F. (1974). Journal of Biological Chemistry, 249, 3261–3266.
Gallagher, S. (1995). In: Current protocols in protein science. J. E. Coligan (ed.), pp. 10.3.4. New York: Wiley.
Laemmli, U. K. (1970). Nature, 227, 680–685.
Mosmann, T. (1983). Journal of Immunological Methods, 65, 55–63.
Brown, G., Singer, A., Dementieva, I., Proudfoot, M., Kuznetsova, E., Skarina, T., et al. (2008). Biochemistry, 47, 5724–5735.
Sinsuwan, S., Yongsawatdigul, J., Chumseng, S., & Yamabhai, M. (2012). Protein Expression and Purification, 83, 52–58.
Tachiki, T., Yamada, T., Ueda, M., Naemura, Y., Imamura, N., Hamada, Y., et al. (1996). Bioscience, Biotechnology, and Biochemistry, 60, 1160–1164.
Wakayama, M., Yamagata, T., Kamemura, A., Bootim, N., Yano, S., Tachiki, T., et al. (2005). Journal of Industrial Microbiology and Biotechnology, 32, 383–390.
Iwasa, T., Fujii, M., & Yokotsuka, T. (1987). Shoyu Kenkyushi, 13, 205–210.
Moriguchi, M., Sakai, K., Tateyama, R., Furuta, Y., & Wakayama, M. (1994). Journal of Fermentation and Bioengineering, 77, 621–625.
Klein, M., Kaltwasser, H., & Jahns, T. (2002). FEMS Microbiology Letters, 206, 63–67.
Jeon, J. M., Lee, H. I., Han, S. H., Chang, C. S., & So, J. S. (2010). Applied Biochemistry and Biotechnology, 162, 146–154.
Yano, T., Ito, M., Tomita, K., Kumagai, H., & Tochikura, T. (1988). Journal of Fermentation Technology, 66, 137–143.
Dura, M. A., Flores, M., & Toldra, F. (2002). International Journal of Food Microbiology, 76, 117–126.
Soberon, M., & Gonzalez, A. (1987). Journal of General Microbiology, 133, 1–8.
Broome, J. D. (1961). Nature London, 191, 1114–1115.
Abe, T., Takenaka, O., & Inada, Y. (1974). Biochimica et Biophysica Acta, 358, 11 3–116.
Hartman, S. (1970). Methods in Enzymology, 134, 941–945.
Holcenberg, J. S. (1985). Methods in Enzymology, 112, 257–263.
Kvamme, E., Torgner, I. A., & Roberg, B. (2001). Journal of Neuroscience Research, 66, 951–958.
Penninckx, M. J., & Jaspers, C. J. (1985). Biochimie, 67, 999–1006.
Cappelletti, D., Chiarelli, L. R., Pasquetto, M. V., Stivala, C. V., & Scotti, C. (2008). Biochemical and Biophysical Research Communications, 377, 1222–1226.
Acknowledgments
We would like to thank Dr. N. Bawa (NBE Institute, Delhi, India, and Dr. M. V. Jagannadham (Molecular Biology Unit, IMS, BHU, Varanasi) for providing laboratory facilities for this research work. The author Mrs. Priyanka Singh is also thankful to INSPIRE-DST, Government of India, for financial support, and the School of Biochemical Engineering, Institute of Technology, BHU, Varanasi, India, for providing laboratory and technical support.
Author information
Authors and Affiliations
Corresponding author
Rights and permissions
About this article
Cite this article
Singh, P., Banik, R.M. Biochemical Characterization and Antitumor Study of l-Glutaminase from Bacillus cereus MTCC 1305. Appl Biochem Biotechnol 171, 522–531 (2013). https://doi.org/10.1007/s12010-013-0371-3
Received:
Accepted:
Published:
Issue Date:
DOI: https://doi.org/10.1007/s12010-013-0371-3


