Abstract
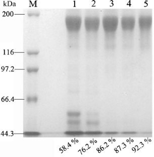
Solobacterium moorei is a causative agent in diseases such as oral halitosis, bacteremia, and necrobacillosis-associated thrombophlebitis. The objective of this study was to determine the effectiveness of chicken egg yolk antibody (IgY) in controlling S. moorei. Intact S. moorei cells were used as an immunogen to immunize four White Leghorn laying hens. IgY, extracted from egg yolks obtained from these immunized hens, was purified using water dilution, two-step salt precipitation, and ultrafiltration. The purity of the IgY obtained was approximately 87.3 %. The antibody titer of the IgY was determined by enzyme-linked immunosorbent assay. The antibody titer peaked at 10,000 following the third immunization. In order to evaluate the inhibitory effects of the specific IgY, the growth of S. moorei in liquid media was measured every 12 h using a microplate reader at 600 nm. Biofilm formation of S. moorei was quantified by staining with crystal violet. The specific binding ability of IgY was further confirmed by the use of immunofluorescence and immunoelectron microscopy. Growth and biofilm formation of S. moorei were significantly (P < 0.05) inhibited by 20 and 40 mg/ml specific IgY compared with the control. The specific IgY also decreased the bacterial level in the oral cavity of mice after infection with S. moorei. This study demonstrates that the growth and biofilm formation of S. moorei can be effectively inhibited by specific IgY. As a result, IgY technology may have application in the control of diseases caused by S. moorei.





Similar content being viewed by others
References
Kageyama, A., & Benno, Y. (2000). Microbiology and Immunology, 44, 223–227.
Kazor, C. E., Mitchell, P. M., Lee, A. M., Stokes, L. N., Loesche, W. J., Dewhirst, F. E., et al. (2003). Journal of Clinical Microbiology, 41, 558–563.
Haraszthy, V. I., Gerber, D., Clark, B., Moses, P., Parker, C., Sreenivasan, P. K., et al. (2008). Journal of Breath Research, 2, 017002.
Haraszthy, V. I., Zambon, J. J., Sreenivasan, P. K., Zambon, M. M., Gerber, D., Rego, R., et al. (2007). The Journal of the American Dental Association, 138, 1113–1120.
Downes, J., Munson, M. A., Spratt, D. A., Kononen, E., Tarkka, E., Jousimies-Somer, H., et al. (2001). Journal of Medical Microbiology, 50, 947–951.
Rocas, I. N., Hulsmann, M., & Siqueira, J. F., Jr. (2008). Journal of Endodontics, 34, 926–931.
Rolph, H. J., Lennon, A., Riggio, M. P., Saunders, W. P., MacKenzie, D., Coldero, L., et al. (2001). Journal of Clinical Microbiology, 39, 3282–3289.
Schirrmeister, J. F., Liebenow, A. L., Pelz, K., Wittmer, A., Serr, A., Hellwig, E., et al. (2009). Journal of Endodontics, 35, 169–174.
Colombo, A. P., Boches, S. K., Cotton, S. L., Goodson, J. M., Kent, R., Haffajee, A. D., et al. (2009). Journal of Periodontology, 80, 1421–1432.
Detry, G., Pierard, D., Vandoorslaer, K., Wauters, G., Avesani, V., & Glupczynski, Y. (2006). Anaerobe, 12, 160–162.
Martin, C. A., Wijesurendra, R. S., Borland, C. D., & Karas, J. A. (2007). Journal of Medical Case Reports, 1, 40.
Zheng, G. L., Summanen, P. H., Talan, D., Bennion, R., Rowlinson, M. C., & Finegold, S. M. (2010). Journal of Clinical Microbiology, 48, 873–876.
Pedersen, R. M., Holt, H. M., & Justesen, U. S. (2011). Journal of Clinical Microbiology, 49, 2766–2768.
Gould, I. M. (1988). Journal of Antimicrobial Chemotherapy, 22, 395–397.
Lee, S. H., Lillehoj, H. S., Park, D. W., Jang, S. I., Morales, A., Garcia, D., et al. (2009). Veterinary Parasitology, 163, 123–126.
Mine, Y., & Kovacs-Nolan, J. (2002). Journal of Medicinal Food, 5, 159–169.
Xu, Y., Li, X., Jin, L., Zhen, Y., Lu, Y., Li, S., et al. (2011). Biotechnology Advances, 29, 860–868.
Maeda, H., Fujimoto, C., Haruki, Y., Maeda, T., Kokeguchi, S., Petelin, M., et al. (2003). FEMS Immunology and Medical Microbiology, 39, 81–86.
Li, X. Y., Jin, L. J., McAllister, T. A., Stanford, K., Xu, J. Y., Lu, Y. N., et al. (2007). Journal of Agricultural and Food Chemistry, 55, 2911–2917.
Jin, L. Z., Baidoo, S. K., Marquardt, R. R., & Frohlich, A. A. (1998). FEMS Immunology and Medical Microbiology, 21, 313–321.
Lee, E. N., Sunwoo, H. H., Menninen, K., & Sim, J. S. (2002). Poultry Science, 81, 632–641.
Zhen, Y. H., Jin, L. J., Guo, J., Li, X. Y., Lu, Y. N., Chen, J., et al. (2008). Veterinary Microbiology, 130, 126–133.
Sunwoo, H. H., Lee, E. N., Menninen, K., Suresh, M. R., & Sim, J. S. (2002). Journal of Food Science, 67, 1486–1494.
Tsubokura, K., Berndtson, E., Bogstedt, A., Kaijser, B., Kim, M., Ozeki, M., et al. (1997). Clinical and Experimental Immunology, 108, 451–455.
Sugita-Konishi, Y., Shibata, K., Yun, S. S., Hara-Kudo, Y., Yamaguchi, K., & Kumagai, S. (1996). Bioscience, Biotechnology, and Biochemistry, 60, 886–888.
Zhen, Y. H., Jin, L. J., Guo, J., Li, X. Y., Li, Z., Fang, R., et al. (2008). Journal of Applied Microbiology, 105, 1529–1535.
Wang, L. H., Li, X. Y., Jin, L. J., You, J. S., Zhou, Y., Li, S. Y., et al. (2011). Veterinary Microbiology, 149, 415–421.
Acknowledgments
Support for this work was provided by the special funds of the Central Colleges Basic Scientific Research Operating Expenses, the Postdoctoral Science Foundation of China (20090461164), and the National Natural Science Foundation of China (31001053).
Author information
Authors and Affiliations
Corresponding author
Rights and permissions
About this article
Cite this article
Li, X., Liu, H., Xu, Y. et al. Chicken Egg Yolk Antibody (IgY) Controls Solobacterium moorei Under In Vitro and In Vivo Conditions. Appl Biochem Biotechnol 168, 1448–1458 (2012). https://doi.org/10.1007/s12010-012-9869-3
Received:
Accepted:
Published:
Issue Date:
DOI: https://doi.org/10.1007/s12010-012-9869-3

