Abstract
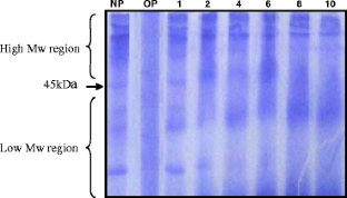
The antioxidant properties of phenolic compounds from olive pulp (PCO) of chamlal variety and those of individual phenolic compounds were evaluated and compared with that of vitamin C (Vit C). The antioxidant activity was measured by the tests of iron reduction and scavenging hydrogen peroxide (H2O2). Results showed that all the substances tested exhibit a reducing power. The PCO present activities of iron reduction and H2O2 scavenging higher than those of Vit C. The protective effect of PCO against oxidation of lipids and proteins from erythrocyte membranes was studied. The measurement of malondialdehyde generated under oxidative stress conditions induced by hydroxyl radicals generating system revealed that PCO have the most significant protective activity against lipid peroxidation (IC50 = 49.27 ± 1.91 μg mL−1). Paradoxically, Vit C revealed a pro-oxidant effect. Proteins oxidation was evaluated using the H2O2/FeSO4 system and electrophoresis. In the presence of PCO at 1 mg mL−1, proteins of erythrocyte membranes were protected contrary to those treated with Vit C at the same concentration.




Similar content being viewed by others
Explore related subjects
Discover the latest articles and news from researchers in related subjects, suggested using machine learning.References
Conforti, F., Sosa, S., Marrelli, M., Menichini, F., Statti, G. A., Uzunov, D., et al. (2009). Food Chemistry, 112, 587–594.
Fukui, M., Choi, H. J., & Zhu, B. T. (2010). Free Radical Biology & Medicine, 49, 800–813.
Han, X., Shen, T., & Lou, H. (2007). International Journal of Molecular Sciences, 8, 950–988.
Bravo, L. (1998). Nutrition Reviews, 56, 317–333.
Harborne, J. B., Baxter, H., & Moss, G. P. (Eds.). (1999). Phytochemical dictionary: Handbook of bioactive compounds from plants (2nd ed.). London: Taylor & Francis.
Garcia-Alloza, M., Borrelli, L. A., Rozkalne, A., Hyman, B. T., & Bacskai, B. J. (2007). Journal of Neurochemistry, 102, 1095–1104.
Skibola, C. F., & Smith, M. T. (2000). Free Radical Biology & Medicine, 29, 375–383.
Yuan, X., Wang, J., Yao, H., & Chen, F. (2005). Lebensmittel-Wissenschaft und Technologie, 38, 877–883.
Shiva Shankar Reddy, C. S., Subramanyam, M. V. V., Vani, R., & Asha Devi, S. (2007). Toxicology in Vitro, 21, 1355–1364.
Brenes, M., Rejano, L., Garcia, P., Sanchez, A. H., & Garrido, A. (1995). Journal of Agricultural and Food Chemistry, 43, 2702–2706.
Savarese, M., De Marco, E., & Sacchi, R. (2007). Food Chemistry, 105(2), 761–770.
Gutfinger, J. (1981). Journal of the American Oil Chemists' Society, 58, 966–968.
Oyaizu, M. (1986). Journal of Nutrition, 44, 307–315.
Ruch, R. J., Cheng, S. J., & Klaunig, J. E. (1989). Carcinogenesis, 10, 1003–1008.
Lowry, O. H., Rosbrough, N. J., Farr, A. L., & Randall, R. J. (1951). Journal of Biological Chemistry, 193, 265–275.
Buege, J. A., & Aust, S. D. (1978). Methods in Enzymology, 52, 302–310.
Carini, M., Aldini, G., Bombardeelli, E., Morazzoni, P., & Maffei Facino, R. (2000). Life Sciences, 67, 1799–1814.
Laemmli, U. K., & Favre, H. (1973). Journal of Molecular Biology, 780, 575–599.
Hajimahmoodi, M., Sadeghi, N., Jannat, B., Oveisi, M. R., Madani, S., & Kiayi, M. (2008). Journal of Biological Sciences, 8(4), 779–783.
Vinha, A. F., Ferreres, F., Silva, B. M., Valentao, P., Goncalves, A., Pereira, J. A., et al. (2005). Food Chemistry, 89, 561–568.
Gomez-rico, A., Fregapane, G., & Salvador, M. D. (2008). Food Research International, 41, 433–440.
Ebrahimzadeh, M. A., Pourmorad, F., & Hafezi, S. (2008). Turkish Journal of Biology, 32, 1–7.
Sousa, A., Ferreira, I. C. F. R., Barros, L., Bento, A., & Pereira, J. A. (2008). LWT- Food Science and Technology, 41, 739–745.
Morello, J.-R., Romero, M.-P., & Motilva, M.-J. (2004). Journal of Agricultural and Food Chemistry, 52, 6002–6009.
Ferreira, I. C. F. R., Barros, L., Soares, M. E., Bastos, M. L., & Pereira, J. A. (2007). Food Chemistry, 103, 188–195.
Wang, H., Gao, X. D., Zhou, G. C., Cai, L., & Yao, W. B. (2008). Food Chemistry, 106, 888–895.
Mcdonald, S., Prenzler, P. D., Antolovich, M., & Robards, K. (2001). Food Chemistry, 73, 73–84.
Tripoli, E., Giammanco, M., Tabacchi, G., Di Majo, D., Giammanco, S., & La Guardia, M. (2005). Nutrition Research Reviews, 18, 98–112.
Niranjan, T. G., & Krishnakantha, T. P. (2000). Molecular and Cellular Biochemistry, 204, 57–63.
Yen, G.-C., Duh, P.-D., & Tsai, H.-L. (2002). Food Chemistry, 79, 307–313.
Franconi, F., Coinu, R., Carta, S., Urgeghe, P. P., Ieri, F., Mulinacci, N., et al. (2006). Journal of Agricultural and Food Chemistry, 54, 3121–3125.
Paiva-Martins, F., Gordon, M. H., & Gameiro, P. (2003). Chemistry and Physics of Lipids, 124, 23–36.
Saija, A., Trombetta, D., Tomaino, A., Cascio, R. L., Princi, P., Uccella, N., et al. (1998). International Journal of Pharmaceutics, 166, 123–133.
Kahl, R. (1991). Protective and adverse biological actions of phenolic antioxidants. In H. Sies (Ed.), Oxidative stress. Oxidants and antioxidants (pp. 245–273). San Diego: Academic.
Roginsky, V., & Lissi, E. A. (2005). Food Chemistry, 92, 235–254.
Rucci, A., Ensinck, M. A., Mufarrege, N., Cotorruelo, C., GarcíaBorrá, S., Racca, L., et al. (2010). Clinical Biochemistry, 43, 1171–1173.
Ajila, C. M., & PrasadaRao, U. J. S. (2008). Food and Chemical Toxicology, 46, 303–309.
Singh, N., & Rajini, P. S. (2008). Chemico-Biological Interactions, 173, 97–104.
Halder, J., & Bhaduri, A. N. (1998). Biochemical and Biophysical Research Communications, 244, 903–907.
Cicerale, S., Lucas, L., & Keast, R. (2010). International Journal of Molecular Sciences, 11, 458–479.
Acknowledgment
This work was supported by the Partenariat Hubert Curien TASSILI (EGIDE)
Author information
Authors and Affiliations
Corresponding author
Rights and permissions
About this article
Cite this article
Nadour, M., Michaud, P. & Moulti-Mati, F. Antioxidant Activities of Polyphenols Extracted from Olive (Olea europaea) of Chamlal Variety. Appl Biochem Biotechnol 167, 1802–1810 (2012). https://doi.org/10.1007/s12010-012-9633-8
Received:
Accepted:
Published:
Issue Date:
DOI: https://doi.org/10.1007/s12010-012-9633-8

