Skip to main content

Dolichoectasia of the Intracranial Arteries

Opinion statement

Dolichoectasia is a dilatation and elongation of the arteries, usually affecting intracranial basilar and vertebral arteries. It may cause posterior circulation stroke or transient ischemic attacks independent of atherosclerotic disease. Compression of cranial nerves or brainstem leads to hemifacial spasm, trigeminal neuralgia, or brainstem dysfunction (temporary or permanent). Intracranial bleeding is another possible manifestation. In general, the mortality and morbidity is higher in patients with dolichoectasia. Progression of arterial dilatation or elongation is an ominous sign for poor prognosis. Optimal treatment for vertebrobasilar dolichoectasia is uncertain. Adequate control of blood pressure may prevent ischemic or hemorrhagic stroke. In case of ischemic stroke, antiplatelet treatment is indicated for the prevention of recurrent stroke. However, the risk of hemorrhagic stroke should be considered in patients with severe forms of dolichoectasia. Close observation and follow-up neuroimaging is recommended to monitor the progression of the disease and appearance of new ischemic or hemorrhagic lesions. Surgical decompression may be reserved for the medically intractable patients with trigeminal neuralgia or hemifacial spasm.

This is a preview of subscription content, access via your institution.

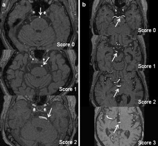
Figure 1

References and Recommended Readings

Papers of particular interest, published recently, have been highlighted as: • Of importance

  1. Caplan LR. Dilatative arteriopathy (dolichoectasia): what is known and not known. Ann Neurol. 2005;57:469–71.

    PubMed  Article  Google Scholar 

  2. Yu Y, Mosely IF, Pullicino P, McDonald WI. The clinical picture of ectasia of the intracerebral arteries. J Neurol Neurosurg Psychiatry. 1982;45:29–36.

    PubMed  Article  CAS  Google Scholar 

  3. Resta M, Gentile A, Cuonzo FD, Vinjau E, Brindicci D, Carella A. Clinical-angiographic correlations in 132 patients with megadolichovertebrobasilar anomaly. Neuroradiology. 1984;26:213–6.

    PubMed  Article  CAS  Google Scholar 

  4. Ince B, Petty GW, Brown Jr RD, et al. Dolichoectasia of the intracranial arteries in patients with first ischemic stroke: a population-based study. Neurology. 1998;50:1694–8.

    PubMed  CAS  Google Scholar 

  5. Pico F, Labreuche J, Touboul PJ, Amarenco P. Intracranial arterial dolichoectasia and its relation with atherosclerosis and stroke subtype. Neurology. 2003;61:1736–42.

    PubMed  Google Scholar 

  6. Nijensohn DE, Saez RJ, Reagan TJ. Clinical significance of basilar artery aneurysms. Neurology. 1974;24:301–5.

    PubMed  CAS  Google Scholar 

  7. Iwama T, Andoh T, Sakai N, Iwata T, Hirata T, Yamada H. Dissecting and fusiform aneurysms of vertebro-basilar systems. Neuroradiology. 1990;32:272–9.

    PubMed  Article  CAS  Google Scholar 

  8. Sacks JG, Lindenberg R. Dolichoectatic intracranial arteries. Johns Hopkins Med J. 1969;122:95–106.

    Google Scholar 

  9. Read D, Esiri MM. Fusiform basilar artery aneurysm in a child. Neurology. 1979;29:1045–9.

    PubMed  CAS  Google Scholar 

  10. Smoker WRK, Price MJ, Keyes WD, et al. High-resolution computed tomography of the basilar artery. 2. Vertebrobasilar dolichoectasia: clinical-pathologic correlation and review. AJNR. 1986;7:61–72.

    PubMed  CAS  Google Scholar 

  11. Busch W. Contribution to the morphology and pathology of the basilar artery. Results of the study of 1000 brains. Eur Arch Psychiatry Neurol Sci. 1966;208:326–44.

    CAS  Google Scholar 

  12. Wollschlaeger G, Wollschlaeger PB, Lucas FV, Lopez VF. Experience and results with postmortem cerebral angiography performed as routine procedure of the autopsy. AJR. 1967;101:68–87.

    CAS  Google Scholar 

  13. Giang DW, Perlin SJ, Monajati A, et al. Vertebrobasilar dolichoectasia: assessment using MR. Neuroradiology. 1988;30:518–23.

    PubMed  Article  CAS  Google Scholar 

  14. Passero SG, Rossi S. Natural history of vertebrobasilar dolichoectasia. Neurology. 2008;70:66–72.

    PubMed  Article  Google Scholar 

  15. Gautier JC, Hauw JJ, Awada A, et al. Dolichoectatic intracranial arteries: association with aneurysms of the abdominal aorta. Rev Neurol Paris. 1988;144:437–46.

    PubMed  CAS  Google Scholar 

  16. Milandre L, Bonnefoi B, Pestre P, et al. Vertebrobasilar arterial dolichoectasia: complications and prognosis. Rev Neurol Paris. 1991;147:714–22.

    PubMed  CAS  Google Scholar 

  17. Pico F, Labreuche J, Seilhean D, et al. Association of small-vessel disease with dilatative arteriopathy of the brain: neuropathologic evidence. Stroke. 2007;38:1197–202.

    PubMed  Article  Google Scholar 

  18. Pico F, Labreuche J, Cohen A, et al. Intracranial arterial dolichoectasia is associated with enlarged descending thoracic aorta. Neurology. 2004;63:2016–21.

    PubMed  CAS  Google Scholar 

  19. Pico F, Biron Y, Bousser MG, Amarenco P. Concurrent dolichoectasia of basilar and coronary arteries. Neurology. 2005;65:1503–4.

    PubMed  Article  Google Scholar 

  20. Rosenberg GA, Sullivan N, Esiri MM. White matter damage is associated with matrix metalloproteinases in vascular dementia. Stroke. 2001;32:1162–8.

    PubMed  CAS  Google Scholar 

  21. Pico F, Jacob MP, Labreuche J, et al.: Matrix metalloproteinase-3 and intracranial arterial dolichoectasia. Ann Neurol 2010;67:508–15. In this article, dolichoectasia is associated with low MMP-3 plasma levels and with the 5A/6A polymorphism. A possible pathogenic mechanism is also suggested.

    PubMed  Article  CAS  Google Scholar 

  22. Pessin MS, Chimowitz MI, Levine SR, et al. Stroke in patients with fusiform vertebrobasilar aneurysms. Neurology. 1989;39:16–21.

    PubMed  CAS  Google Scholar 

  23. Passero S, Filosomi G. Posterior circulation infarcts in patients with vertebrobasilar dolichoectasia. Stroke. 1998;29:653–9.

    PubMed  CAS  Google Scholar 

  24. Kumral E, Kisabay A, Atac C, et al. The mechanism of ischemic stroke in patients with dolichoectatic basilar artery. Eur J Neurol. 2005;12:437–44.

    PubMed  Article  CAS  Google Scholar 

  25. Steel JG, Thomas HA, Strollo PJ. Fusiform basilar aneurysm as a cause of embolic stroke. Stroke. 1982;13:712–6.

    PubMed  CAS  Google Scholar 

  26. Graff-Radford NR, Adams Jr HP, Smoker WRK, et al. Unruptured fusiform aneurysms of the posterior circulation with thalamic infarction. Neurosurgery. 1985;17:495–9.

    PubMed  Article  CAS  Google Scholar 

  27. Caplan LR. Intracranial atheromatous disease: a neglected, understudied, and underused concept. Neurology. 1989;39:1246–50.

    PubMed  CAS  Google Scholar 

  28. Kwon HM, Kim JH, Lim JS, et al.: Basilar artery dolichoectasia is associated with paramedian pontine infarction. Cerebrovasc Dis 2009;27:114–8. The pattern of isolated pontine infarct is analyzed in patients with dolichoectasia without atherosclerotic stenosis.

    PubMed  Article  Google Scholar 

  29. Rautenberg W, Aulich A, Röther J, et al. Stroke and dolichoectatic intracranial arteries. Neurol Res. 1992;14 Suppl 2:201–3.

    PubMed  CAS  Google Scholar 

  30. Welsh LW, Welsh JJ, Lewin B. Basilar artery and vertigo. Ann Otol Rhinol Laryngol. 2000;109:615–22.

    PubMed  CAS  Google Scholar 

  31. Pico F, Labreuche J, Touboul PJ, et al. Intracranial arterial dolichoectasia and small vessel disease in stroke patients. Ann Neurol. 2005;57:472–9.

    PubMed  Article  Google Scholar 

  32. Passero SG, Calchetti B, Bartalini S. Intracranial bleeding in patients with vertebrobasilar dolichoectasia. Stroke. 2005;36:1421–5.

    PubMed  Article  Google Scholar 

  33. Rahman EA, Trobe JD, Gebarski SS. Hemifacial spasm caused by vertebral artery dolichoectasia. Am J Ophthalmol. 2002;133:854–6.

    PubMed  Article  Google Scholar 

  34. Barker II FG, Jannetta PJ, Bissonette DJ, et al. Microvascular decompression for hemifacial spasm. J Neurosurg. 1995;82:201–10.

    PubMed  Article  Google Scholar 

  35. Han IB, Chang JH, Chang JW, Huh R, Chung SS. Unusual causes and presentations of hemifacial spasm. Neurosurgery. 2009;65:130–7.

    PubMed  Article  Google Scholar 

  36. Love S, Hilton DA, Coakham HB. Central demyelination of the Vth nerve root in trigeminal neuralgia associated with vascular compression. Brain Pathol. 1998;8:1–11.

    PubMed  Article  CAS  Google Scholar 

  37. Goldenberg-Cohen N, Miller NR. Noninvasive neuroimaging of basilar artery dolichoectasia in a patient with an isolated abducens nerve paresis. Am J Ophthalmol. 2004;137:365–7.

    PubMed  Article  Google Scholar 

  38. Savitz SI, Ronthal M, Caplan LR. Vertebral artery compression of the medulla. Arch Neurol. 2006;63:234–41.

    PubMed  Article  Google Scholar 

  39. Ubogu EE, Zaidat OO. Vertebrobasilar dolichoectasia diagnosed by magnetic resonance angiography and risk of stroke and death: a cohort study. J Neurol Neurosurg Psychiatry. 2004;75:22–6.

    PubMed  Article  CAS  Google Scholar 

  40. Mangrum WM, Huston III J, Link MJ, et al. Enlarging vertebrobasilar nonsaccular intracranial aneurysms: frequency predictors, and clinical outcome of growth. J Neurosurg. 2005;102:72–9.

    PubMed  Article  Google Scholar 

  41. Furie KL, Kasner SE, Adams RJ, et al. Guidelines for the prevention of stroke in patients with stroke or transient ischemic attack. Stroke 2011 (in press).

Download references

Disclosure

The authors report no potential conflicts of interest relevant to this article.

Author information

Affiliations

Authors

Corresponding author

Correspondence to Yong-Seok Lee MD, PhD.

Rights and permissions

Reprints and Permissions

About this article

Cite this article

Kwon, HM., Lee, YS. Dolichoectasia of the Intracranial Arteries. Curr Treat Options Cardio Med 13, 261–267 (2011). https://doi.org/10.1007/s11936-011-0123-z

Download citation

  • Published:

  • Issue Date:

  • DOI: https://doi.org/10.1007/s11936-011-0123-z

Keywords

  • Vertebral Artery
  • Basilar Artery
  • Hemorrhagic Stroke
  • Trigeminal Neuralgia
  • Small Vessel Disease