Skip to main content

GI Manifestations With a Focus on the Esophagus: Recent Progress in Understanding Pathogenesis

Abstract

Purpose of Review

Esophageal dysfunction is common in systemic sclerosis (SSc) patients. Limited treatment options are available for scleroderma esophageal disease. Here, we discuss recent updates on the diagnosis, treatment, and characterization that have been made in patients with scleroderma esophageal disease.

Recent Findings

In the past few years, novel diagnostic tools have provided insight into esophageal dysmotility in SSc patients. New drugs are being tested and might improve symptoms and quality of life in SSc patients with esophageal dysfunction. Molecular stratification methods have facilitated the identification of molecular signatures in the esophagus of SSc patients. The Friend leukemia integration 1 (Fli1) conditional knockout mouse is the first animal model to report an esophageal phenotype with SSc features.

Summary

The clinical presentation in SSc patients with esophageal dysfunction is heterogeneous, complicating diagnosis and management. The improvement of diagnostic tools for esophageal symptoms and dysfunction and the use of molecular approaches in SSc mouse models and patient biopsies offer an opportunity to improve the characterization of SSc esophageal disease, which should help improve management and treatment decisions.

This is a preview of subscription content, access via your institution.

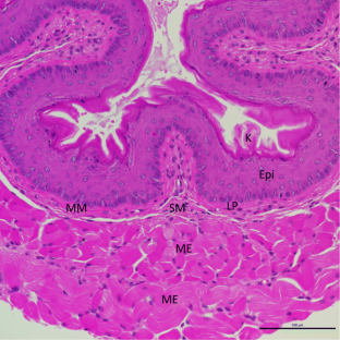
Fig. 1
Fig. 2

Abbreviations

Fli1:

Friend leukemia integration 1

K14:

Keratin-14

SSc:

Systemic sclerosis

ILD:

Interstitial lung disease

CT:

Computed tomography

PPI:

Proton-pump inhibitor

BI:

Baseline impedance

NERD:

Non-erosive reflux disease

ACPA:

Anti-citrullinated peptide antibodies

RA:

Rheumatoid arthritis

LES:

Lower esophageal sphincter

EGJ:

Esophagogastric junction

IQR:

Interquartile range

HRM:

High-resolution manometry

MRS:

Multiple rapid swallows

EPT:

Esophageal pressure topography

GISSI:

Gastrointestinal Symptoms Severity Index

GIT:

University of California Los Angeles Scleroderma Clinical Trial Consortium Gastrointestinal Tract

HRIM:

High-resolution impedance manometry

FLIP:

Functional luminal imaging probe

References

Papers of particular interest, published recently, have been highlighted as: • Of importance •• Of major importance

  1. Allanore Y, Simms R, Distler O, Trojanowska M, Pope J, Denton CP, et al. Systemic sclerosis. Nat Rev Dis Primers. 2015;1:15002. https://doi.org/10.1038/nrdp.2015.2.

    Article  PubMed  Google Scholar 

  2. LeRoy EC, Black C, Fleischmajer R, Jablonska S, Krieg T, Medsger TA Jr, et al. Scleroderma (systemic sclerosis): classification, subsets and pathogenesis. J Rheumatol. 1988;15(2):202–5.

    CAS  PubMed  Google Scholar 

  3. Ntoumazios SK, Voulgari PV, Potsis K, Koutis E, Tsifetaki N, Assimakopoulos DA. Esophageal involvement in scleroderma: gastroesophageal reflux, the common problem. Semin Arthritis Rheum. 2006;36(3):173–81. https://doi.org/10.1016/j.semarthrit.2006.08.002.

    Article  PubMed  Google Scholar 

  4. Carlson DA, Hinchcliff M, Pandolfino JE. Advances in the evaluation and management of esophageal disease of systemic sclerosis. Curr Rheumatol Rep. 2015;17(1):475. https://doi.org/10.1007/s11926-014-0475-y.

    CAS  Article  PubMed  PubMed Central  Google Scholar 

  5. Roberts CG, Hummers LK, Ravich WJ, Wigley FM, Hutchins GM. A case-control study of the pathology of oesophageal disease in systemic sclerosis (scleroderma). Gut. 2006;55(12):1697–703. https://doi.org/10.1136/gut.2005.086074.

    CAS  Article  PubMed Central  Google Scholar 

  6. Bassotti G, Battaglia E, Debernardi V, Germani U, Quiriconi F, Dughera L, et al. Esophageal dysfunction in scleroderma: relationship with disease subsets. Arthritis Rheum. 1997;40(12):2252–9. https://doi.org/10.1002/1529-0131(199712)40:12<2252::AID-ART21>3.0.CO;2-W.

    CAS  Article  PubMed  Google Scholar 

  7. Hurwitz AL, Duranceau A, Postlethwait RW. Esophageal dysfunction and Raynaud’s phenomenon in patients with scleroderma. Am J Dig Dis. 1976;21(8):601–6.

    CAS  Article  Google Scholar 

  8. Lock G, Pfeifer M, Straub RH, Zeuner M, Lang B, Scholmerich J, et al. Association of esophageal dysfunction and pulmonary function impairment in systemic sclerosis. Am J Gastroenterol. 1998;93(3):341–5. https://doi.org/10.1111/j.1572-0241.1998.00341.x.

    CAS  Article  PubMed  Google Scholar 

  9. Marie I, Dominique S, Levesque H, Ducrotte P, Denis P, Hellot MF, et al. Esophageal involvement and pulmonary manifestations in systemic sclerosis. Arthritis Rheum. 2001;45(4):346–54. https://doi.org/10.1002/1529-0131(200108)45:4<346::AID-ART347>3.0.CO;2-L.

    CAS  Article  PubMed  Google Scholar 

  10. Savarino E, Mei F, Parodi A, Ghio M, Furnari M, Gentile A, et al. Gastrointestinal motility disorder assessment in systemic sclerosis. Rheumatology (Oxford). 2013;52(6):1095–100. https://doi.org/10.1093/rheumatology/kes429.

    CAS  Article  Google Scholar 

  11. Choi MY, Fritzler MJ. Progress in understanding the diagnostic and pathogenic role of autoantibodies associated with systemic sclerosis. Curr Opin Rheumatol. 2016;28(6):586–94. https://doi.org/10.1097/BOR.0000000000000325.

    CAS  Article  PubMed  PubMed Central  Google Scholar 

  12. van Venrooij WJ, van Beers JJ, Pruijn GJ. Anti-CCP antibodies: the past, the present and the future. Nat Rev Rheumatol. 2011;7(7):391–8. https://doi.org/10.1038/nrrheum.2011.76.

    CAS  Article  PubMed  Google Scholar 

  13. Laustriat G, Ruyssen-Witrand A, Constantin A, Barnetche T, Adoue D, Cantagrel A, et al. Anti-citrullinated peptides antibodies in systemic sclerosis: meta-analysis of frequency and meaning. Joint Bone Spine. 2018;85(2):147–53. https://doi.org/10.1016/j.jbspin.2017.11.006.

    CAS  Article  PubMed  Google Scholar 

  14. Bhalla M, Silver RM, Shepard JA, McLoud TC. Chest CT in patients with scleroderma: prevalence of asymptomatic esophageal dilatation and mediastinal lymphadenopathy. AJR Am J Roentgenol. 1993;161(2):269–72. https://doi.org/10.2214/ajr.161.2.8333359.

    CAS  Article  PubMed  Google Scholar 

  15. Patiwetwitoon S, Wangkaew S, Euathrongchit J, Kasitanon N, Louthrenoo W. High-resolution computed tomographic findings in systemic sclerosis-associated interstitial lung disease: comparison between diffuse and limited systemic sclerosis. J Clin Rheumatol. 2012;18(5):229–33. https://doi.org/10.1097/RHU.0b013e318261176f.

    Article  PubMed  Google Scholar 

  16. Pitrez EH, Bredemeier M, Xavier RM, Capobianco KG, Restelli VG, Vieira MV, et al. Oesophageal dysmotility in systemic sclerosis: comparison of HRCT and scintigraphy. Br J Radiol. 2006;79(945):719–24. https://doi.org/10.1259/bjr/17000205.

    CAS  Article  PubMed  Google Scholar 

  17. Vonk MC, van Die CE, Snoeren MM, Bhansing KJ, van Riel PL, Fransen J, et al. Oesophageal dilatation on high-resolution computed tomography scan of the lungs as a sign of scleroderma. Ann Rheum Dis. 2008;67(9):1317–21. https://doi.org/10.1136/ard.2007.081612.

    CAS  Article  PubMed  Google Scholar 

  18. Christmann RB, Wells AU, Capelozzi VL, Silver RM. Gastroesophageal reflux incites interstitial lung disease in systemic sclerosis: clinical, radiologic, histopathologic, and treatment evidence. Semin Arthritis Rheum. 2010;40(3):241–9. https://doi.org/10.1016/j.semarthrit.2010.03.002.

    Article  PubMed  Google Scholar 

  19. • Takekoshi D, Arami S, Sheppard TJ, Cole-Saffold P, Michel JC, Kondos GT, et al. Computed tomography of the esophagus in scleroderma and lung disease. Tohoku J Exp Med. 2015;237(4):345–52. https://doi.org/10.1620/tjem.237.345 . This retrospective study analysis of the esophageal diameter of 121 SSc patients with ILD and 48 SSc without ILD along with 121 pulmonary clinic patients and 110 normal subjects demonstrated that SSc patients with ILD had greater diameters than those from SSc patients without ILD or from pulmonary clinic patients.

    CAS  Article  PubMed  Google Scholar 

  20. • Richardson C, Agrawal R, Lee J, Almagor O, Nelson R, Varga J, et al. Esophageal dilatation and interstitial lung disease in systemic sclerosis: a cross-sectional study. Semin Arthritis Rheum. 2016;46(1):109–14. https://doi.org/10.1016/j.semarthrit.2016.02.004. This cross-sectional study analyzed the esophageal diameter of 270 SSc subjects. The study demonstrated an association between an increasing diameter in SSc patients and more severe radiographic ILD and lower PFT parameters.

    Article  PubMed  PubMed Central  Google Scholar 

  21. Nagaraja V, McMahan ZH, Getzug T, Khanna D. Management of gastrointestinal involvement in scleroderma. Curr Treatm Opt Rheumatol. 2015;1(1):82–105. https://doi.org/10.1007/s40674-014-0005-0.

    Article  PubMed  PubMed Central  Google Scholar 

  22. • Stern EK, Carlson DA, Falmagne S, Hoffmann AD, Carns M, Pandolfino JE, et al. Abnormal esophageal acid exposure on high-dose proton pump inhibitor therapy is common in systemic sclerosis patients. Neurogastroenterol Motil. 2018;30(2):e13247. https://doi.org/10.1111/nmo.13247. This study of pH-impedance testing demonstrated that SSc patients had higher and longer acid exposure time, longer median bolus clearance times, and lower noctural impedance values than controls.

    CAS  Article  Google Scholar 

  23. Charbel S, Khandwala F, Vaezi MF. The role of esophageal pH monitoring in symptomatic patients on PPI therapy. Am J Gastroenterol. 2005;100(2):283–9. https://doi.org/10.1111/j.1572-0241.2005.41210.x.

    Article  PubMed  Google Scholar 

  24. Mousa HM, Rosen R, Woodley FW, Orsi M, Armas D, Faure C, et al. Esophageal impedance monitoring for gastroesophageal reflux. J Pediatr Gastroenterol Nutr. 2011;52(2):129–39. https://doi.org/10.1097/MPG.0b013e3181ffde67.

    Article  PubMed  PubMed Central  Google Scholar 

  25. Farre R, Blondeau K, Clement D, Vicario M, Cardozo L, Vieth M, et al. Evaluation of oesophageal mucosa integrity by the intraluminal impedance technique. Gut. 2011;60(7):885–92. https://doi.org/10.1136/gut.2010.233049.

    Article  PubMed  Google Scholar 

  26. Kessing BF, Bredenoord AJ, Weijenborg PW, Hemmink GJ, Loots CM, Smout AJ. Esophageal acid exposure decreases intraluminal baseline impedance levels. Am J Gastroenterol. 2011;106(12):2093–7. https://doi.org/10.1038/ajg.2011.276.

    CAS  Article  PubMed  Google Scholar 

  27. Zentilin P, Savarino V, Marabotto E, Murdaca G, Sulli A, Pizzorni C, et al. Esophageal baseline impedance levels allow the identification of esophageal involvement in patients with systemic sclerosis. Semin Arthritis Rheum. 2018;47(4):569–74. https://doi.org/10.1016/j.semarthrit.2017.08.004.

    Article  PubMed  Google Scholar 

  28. Nicodeme F, Hirano I, Chen J, Robinson K, Lin Z, Xiao Y, et al. Esophageal distensibility as a measure of disease severity in patients with eosinophilic esophagitis. Clin Gastroenterol Hepatol. 2013;11(9):1101–7 e1. https://doi.org/10.1016/j.cgh.2013.03.020.

    Article  PubMed  PubMed Central  Google Scholar 

  29. Pandolfino JE, de Ruigh A, Nicodeme F, Xiao Y, Boris L, Kahrilas PJ. Distensibility of the esophagogastric junction assessed with the functional lumen imaging probe (FLIP) in achalasia patients. Neurogastroenterol Motil. 2013;25(6):496–501. https://doi.org/10.1111/nmo.12097.

    CAS  Article  PubMed  PubMed Central  Google Scholar 

  30. Rohof WO, Hirsch DP, Kessing BF, Boeckxstaens GE. Efficacy of treatment for patients with achalasia depends on the distensibility of the esophagogastric junction. Gastroenterology. 2012;143(2):328–35. https://doi.org/10.1053/j.gastro.2012.04.048.

    Article  PubMed  Google Scholar 

  31. Fynne L, Liao D, Aksglaede K, Lottrup C, Gregersen H, Bjerregaard NC, et al. Esophagogastric junction in systemic sclerosis: a study with the functional lumen imaging probe. Neurogastroenterol Motil. 2017;29(8). https://doi.org/10.1111/nmo.13073.

    Article  Google Scholar 

  32. •• Kahrilas PJ, Bredenoord AJ, Fox M, Gyawali CP, Roman S, Smout AJ, et al. The Chicago classification of esophageal motility disorders, v3.0. Neurogastroenterol Motil. 2015;27(2):160–74. https://doi.org/10.1111/nmo.12477. The version 3.0 of the Chicago classification was developed by the International High Resolution Manometry Group and is an updated analysis scheme for clinical esophageal high resolution manometry recordings.

    CAS  Article  PubMed  PubMed Central  Google Scholar 

  33. Kimmel JN, Carlson DA, Hinchcliff M, Carns MA, Aren KA, Lee J, et al. The association between systemic sclerosis disease manifestations and esophageal high-resolution manometry parameters. Neurogastroenterol Motil. 2016;28(8):1157–65. https://doi.org/10.1111/nmo.12813.

    CAS  Article  PubMed  PubMed Central  Google Scholar 

  34. Aggarwal N, Lopez R, Gabbard S, Wadhwa N, Devaki P, Thota PN. Spectrum of esophageal dysmotility in systemic sclerosis on high-resolution esophageal manometry as defined by Chicago classification. Dis Esophagus. 2017;30(12):1–6. https://doi.org/10.1093/dote/dox067.

    CAS  Article  PubMed  Google Scholar 

  35. • Vettori S, Tolone S, Capocotta D, Chieffo R, Giacco V, Valentini G, et al. Esophageal high-resolution impedance manometry alterations in asymptomatic patients with systemic sclerosis: prevalence, associations with disease features, and prognostic value. Clin Rheumatol. 2018;37(5):1239–47. https://doi.org/10.1007/s10067-018-4026-1. This study investigated functional esophageal alterations by high-resolution impedance manometry (HRiM) in 45 SSc patients without esophageal symptoms and found that up to 84% of asymptomatic SSc patients have HRiM abnormalities.

    Article  PubMed  Google Scholar 

  36. • Carlson DA, Crowell MD, Kimmel JN, Patel A, Gyawali CP, Hinchcliff M, et al. Loss of peristaltic reserve, determined by multiple rapid swallows, is the most frequent esophageal motility abnormality in patients with systemic sclerosis. Clin Gastroenterol Hepatol. 2016;14(10):1502–6. https://doi.org/10.1016/j.cgh.2016.03.039. This retrospective analysis of esophageal peristalsis following multiple rapid swallows in 111 SSc patients showed that impaired peristaltic reserve is the most common manometric finding in SSc patients compared with controls.

    Article  PubMed  PubMed Central  Google Scholar 

  37. Crowell MD, Umar SB, Griffing WL, DiBaise JK, Lacy BE, Vela MF. Esophageal motor abnormalities in patients with scleroderma: heterogeneity, risk factors, and effects on quality of life. Clin Gastroenterol Hepatol. 2017;15(2):207–13 e1. https://doi.org/10.1016/j.cgh.2016.08.034.

    Article  PubMed  Google Scholar 

  38. Shaker A, Stoikes N, Drapekin J, Kushnir V, Brunt LM, Gyawali CP. Multiple rapid swallow responses during esophageal high-resolution manometry reflect esophageal body peristaltic reserve. Am J Gastroenterol. 2013;108(11):1706–12. https://doi.org/10.1038/ajg.2013.289.

    Article  PubMed  PubMed Central  Google Scholar 

  39. Stoikes N, Drapekin J, Kushnir V, Shaker A, Brunt LM, Gyawali CP. The value of multiple rapid swallows during preoperative esophageal manometry before laparoscopic antireflux surgery. Surg Endosc. 2012;26(12):3401–7. https://doi.org/10.1007/s00464-012-2350-0.

    Article  Google Scholar 

  40. Gliddon AE, Dore CJ, Maddison PJ, Quins Trial Study G. Influence of clinical features on the health status of patients with limited cutaneous systemic sclerosis. Arthritis Rheum. 2006;55(3):473–9. https://doi.org/10.1002/art.21999.

    Article  PubMed  Google Scholar 

  41. Nietert PJ, Mitchell HC, Bolster MB, Curran MY, Tilley BC, Silver RM. Correlates of depression, including overall and gastrointestinal functional status, among patients with systemic sclerosis. J Rheumatol. 2005;32(1):51–7.

    PubMed  Google Scholar 

  42. Abozaid HSM, Imam HMK, Abdelaziz MM, El-Hammady DH, Fathi NA, Furst DE. High-resolution manometry compared with the University of California, Los Angeles Scleroderma Clinical Trials Consortium GIT 2.0 in systemic sclerosis. Semin Arthritis Rheum. 2017;47(3):403–8. https://doi.org/10.1016/j.semarthrit.2017.05.005.

    Article  PubMed  Google Scholar 

  43. Blonski W, Vela MF, Freeman J, Sharma N, Castell DO. The effect of oral buspirone, pyridostigmine, and bethanechol on esophageal function evaluated with combined multichannel esophageal impedance-manometry in healthy volunteers. J Clin Gastroenterol. 2009;43(3):253–60. https://doi.org/10.1097/MCG.0b013e318167b89d.

    CAS  Article  PubMed  Google Scholar 

  44. Di Stefano M, Papathanasopoulos A, Blondeau K, Vos R, Boecxstaens V, Farre R, et al. Effect of buspirone, a 5-HT1A receptor agonist, on esophageal motility in healthy volunteers. Dis Esophagus. 2012;25(5):470–6. https://doi.org/10.1111/j.1442-2050.2011.01275.x.

    Article  PubMed  Google Scholar 

  45. • Karamanolis GP, Panopoulos S, Denaxas K, Karlaftis A, Zorbala A, Kamberoglou D, et al. The 5-HT1A receptor agonist buspirone improves esophageal motor function and symptoms in systemic sclerosis: a 4-week, open-label trial. Arthritis Res Ther. 2016;18:195. https://doi.org/10.1186/s13075-016-1094-y. This study observed that buspirone admnistration improved lower esophageal sphincter resting pressure and esophageal symptoms in most SSc patients with esophageal dysfunction.

    CAS  Article  PubMed Central  Google Scholar 

  46. • Taroni JN, Martyanov V, Huang CC, Mahoney JM, Hirano I, Shetuni B, et al. Molecular characterization of systemic sclerosis esophageal pathology identifies inflammatory and proliferative signatures. Arthritis Res Ther. 2015;17:194. https://doi.org/10.1186/s13075-015-0695-1. This is the first study to characterize the molecular signature of esophageal biopsies from SSc patients.

    CAS  Article  PubMed Central  Google Scholar 

  47. Marangoni RG, Varga J, Tourtellotte WG. Animal models of scleroderma: recent progress. Curr Opin Rheumatol. 2016;28(6):561–70. https://doi.org/10.1097/BOR.0000000000000331.

    CAS  Article  PubMed  Google Scholar 

  48. Yue X, Yu X, Petersen F, Riemekasten G. Recent advances in mouse models for systemic sclerosis. Autoimmun Rev. 2018;17(12):1225–34. https://doi.org/10.1016/j.autrev.2018.06.013.

    CAS  Article  PubMed  Google Scholar 

  49. • Takahashi T, Asano Y, Sugawara K, Yamashita T, Nakamura K, Saigusa R, et al. Epithelial Fli1 deficiency drives systemic autoimmunity and fibrosis: possible roles in scleroderma. J Exp Med. 2017;214(4):1129–51. https://doi.org/10.1084/jem.20160247. This is the first SSc mouse model reporting an esophageal phenotype.

    CAS  Article  PubMed  PubMed Central  Google Scholar 

  50. Karam SM. Lineage commitment and maturation of epithelial cells in the gut. Front Biosci. 1999;4:D286–98.

    CAS  Article  Google Scholar 

  51. Wang Y, Fan PS, Kahaleh B. Association between enhanced type I collagen expression and epigenetic repression of the FLI1 gene in scleroderma fibroblasts. Arthritis Rheum. 2006;54(7):2271–9. https://doi.org/10.1002/art.21948.

    CAS  Article  PubMed  Google Scholar 

  52. Asano Y, Bujor AM, Trojanowska M. The impact of Fli1 deficiency on the pathogenesis of systemic sclerosis. J Dermatol Sci. 2010;59(3):153–62. https://doi.org/10.1016/j.jdermsci.2010.06.008.

    CAS  Article  PubMed  Google Scholar 

  53. Aden N, Nuttall A, Shiwen X, de Winter P, Leask A, Black CM, et al. Epithelial cells promote fibroblast activation via IL-1alpha in systemic sclerosis. J Invest Dermatol. 2010;130(9):2191–200. https://doi.org/10.1038/jid.2010.120.

    CAS  Article  PubMed  Google Scholar 

  54. Aden N, Shiwen X, Aden D, Black C, Nuttall A, Denton CP, et al. Proteomic analysis of scleroderma lesional skin reveals activated wound healing phenotype of epidermal cell layer. Rheumatology (Oxford). 2008;47(12):1754–60. https://doi.org/10.1093/rheumatology/ken370.

    CAS  Article  Google Scholar 

Download references

Funding

This work was supported by NIH NIDDK P01 DK117824.

Author information

Affiliations

Authors

Contributions

P.K. and M.-P.T. wrote the manuscript.

Corresponding author

Correspondence to Marie-Pier Tétreault.

Ethics declarations

Conflict of Interest

The authors declare that they have no conflicts of interest.

Human and Animal Rights and Informed Consent

All reported studies/experiments with human or animal subjects performed by the authors have been previously published and complied with all applicable ethical standards (including the Helsinki declaration and its amendments, institutional/national research committee standards, and international/national/institutional guidelines).

Additional information

Publisher’s Note

Springer Nature remains neutral with regard to jurisdictional claims in published maps and institutional affiliations.

This article is part of the Topical Collection on Scleroderma

Rights and permissions

Reprints and Permissions

About this article

Verify currency and authenticity via CrossMark

Cite this article

Tétreault, MP., Kahrilas, P. GI Manifestations With a Focus on the Esophagus: Recent Progress in Understanding Pathogenesis. Curr Rheumatol Rep 21, 42 (2019). https://doi.org/10.1007/s11926-019-0841-x

Download citation

  • Published:

  • DOI: https://doi.org/10.1007/s11926-019-0841-x

Keywords

  • Systemic sclerosis
  • Esophagus
  • Manometry
  • Impedance
  • Esophageal reflux monitoring
  • Functional luminal imaging probe