Skip to main content

Potential Pathogenic Role of Anti-Signal Recognition Protein and Anti-3-hydroxy-3-methylglutaryl-CoA Reductase Antibodies in Immune-Mediated Necrotizing Myopathies

Abstract

Purpose of Review

This review provides an overview of the potential pathogenic roles of anti-SRP and anti-HMGCR in IMNM over the past 5 years.

Recent Findings

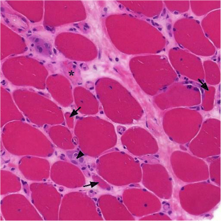
Idiopathic inflammatory myopathies (IIM) are a group of acquired autoimmune disorders that mainly affect the skeletal muscle tissue. Classification criteria of IIM are comprised of polymyositis, dermatomyositis, inclusion body myositis and immune-mediated necrotizing myopathies. One important hallmark of autoimmune diseases is the detection of autoantibodies in patient sera. The anti-SRP (signal recognition particle) and anti-HMGCR (3-hydroxy-3-methylglutaryl coenzyme A reductase) antibodies are specifically associated with IMNM patients, and their detection has been described as related to disease severity. The muscles of IMNM patients are characterized by necrosis, atrophy and regenerating fibres with sparse inflammatory infiltrates.

Summary

Although an important correlation between autoantibody titres, creatine kinase levels and disease progression/severity has been described in the last few years, the potential pathogenic roles of these autoantibodies have only recently been described.

This is a preview of subscription content, access via your institution.

Fig. 1
Fig. 2
Fig. 3

References

Papers of particular interest, published recently, have been highlighted as: • Of importance •• Of major importance

  1. Dalakas MC. Inflammatory Muscle Diseases. N Engl J Med. 2015;373(4):393–4.

    PubMed  CAS  Article  Google Scholar 

  2. Hoogendijk JE, et al. 119th ENMC international workshop: trial design in adult idiopathic inflammatory myopathies, with the exception of inclusion body myositis, 10-12 October 2003, Naarden, The Netherlands. Neuromuscul Disord. 2004;14(5):337–45.

    PubMed  Article  Google Scholar 

  3. Mammen AL, et al. Autoantibodies against 3-hydroxy-3-methylglutaryl-coenzyme A reductase in patients with statin-associated autoimmune myopathy. Arthritis Rheum. 2011;63(3):713–21.

    PubMed  PubMed Central  CAS  Article  Google Scholar 

  4. Allenbach Y, et al. Anti-HMGCR autoantibodies in European patients with autoimmune necrotizing myopathies: inconstant exposure to statin. Medicine (Baltimore). 2014;93(3):150–7.

    CAS  Article  Google Scholar 

  5. Hengstman GJ, et al. Anti-signal recognition particle autoantibodies: marker of a necrotising myopathy. Ann Rheum Dis. 2006;65(12):1635–8.

    PubMed  PubMed Central  CAS  Article  Google Scholar 

  6. • Watanabe Y, et al. Clinical features and prognosis in anti-SRP and anti-HMGCR necrotising myopathy. J Neurol Neurosurg Psychiatry. 2016;87(10):1038–44. This study provides a thorough clinical description of anti-SRP and anti-HMGCR in IMNM

    PubMed  Article  Google Scholar 

  7. Musset L, et al. Anti-HMGCR antibodies as a biomarker for immune-mediated necrotizing myopathies: A history of statins and experience from a large international multi-center study. Autoimmun Rev. 2016;15(10):983–93.

    PubMed  CAS  Article  Google Scholar 

  8. Suzuki S, et al. Integrated Diagnosis Project for Inflammatory Myopathies: An association between autoantibodies and muscle pathology. Autoimmun Rev. 2017;16(7):693–700.

    PubMed  CAS  Article  Google Scholar 

  9. Christopher-Stine L, et al. A novel autoantibody recognizing 200-kd and 100-kd proteins is associated with an immune-mediated necrotizing myopathy. Arthritis Rheum. 2010;62(9):2757–66.

    PubMed  PubMed Central  CAS  Article  Google Scholar 

  10. • Benveniste O, Stenzel W, Allenbach Y. Advances in serological diagnostics of inflammatory myopathies. Curr Opin Neurol. 2016;29(5):662–73. This study provides a thorough description of autoantibodies in IMM

    PubMed  CAS  Article  Google Scholar 

  11. Brouwer R, et al. Autoantibody profiles in the sera of European patients with myositis. Ann Rheum Dis. 2001;60(2):116–23.

    PubMed  PubMed Central  CAS  Article  Google Scholar 

  12. • Betteridge Z, McHugh N. Myositis-specific autoantibodies: an important tool to support diagnosis of myositis. J Intern Med. 2016;280(1):8–23. This study provides a thorough description of autoantibodies in IMM

    PubMed  CAS  Article  Google Scholar 

  13. Reeves WH, Nigam SK, Blobel G. Human autoantibodies reactive with the signal-recognition particle. Proc Natl Acad Sci U S A. 1986;83(24):9507–11.

    PubMed  PubMed Central  CAS  Article  Google Scholar 

  14. Christopher-Stine L. Neurologists are from Mars. Rheumatologists are from Venus: differences in approach to classifying the idiopathic inflammatory myopathies. Curr Opin Rheumatol. 2010;22(6):623–6.

    PubMed  Article  Google Scholar 

  15. Drouot L, et al. Exploring necrotizing autoimmune myopathies with a novel immunoassay for anti-3-hydroxy-3-methyl-glutaryl-CoA reductase autoantibodies. Arthritis Res Ther. 2014;16(1):R39.

    PubMed  PubMed Central  Article  Google Scholar 

  16. Mammen AL. Statin-Associated Autoimmune Myopathy. N Engl J Med. 2016;374(7):664–9.

    PubMed  CAS  Article  Google Scholar 

  17. Allenbach Y, et al. High risk of cancer in autoimmune necrotizing myopathies: usefulness of myositis specific antibody. Brain. 2016;139(Pt 8):2131–5.

    PubMed  Article  Google Scholar 

  18. • Pinal-Fernandez I, et al. Thigh muscle MRI in immune-mediated necrotising myopathy: extensive oedema, early muscle damage and role of anti-SRP autoantibodies as a marker of severity. Ann Rheum Dis. 2017;76(4):681–7. This study provides a thorough clinical description of anti-SRP severity in IMNM

    PubMed  Article  Google Scholar 

  19. Tiniakou E, et al. More severe disease and slower recovery in younger patients with anti-3-hydroxy-3-methylglutaryl-coenzyme A reductase-associated autoimmune myopathy. Rheumatology (Oxford). 2017;56(5):787–94.

    Google Scholar 

  20. Pinal-Fernandez I, et al. Longitudinal Course of Disease in a Large Cohort of Myositis Patients With Autoantibodies Recognizing the Signal Recognition Particle. Arthritis Care Res (Hoboken). 2017;69(2):263–70.

    CAS  Article  Google Scholar 

  21. Mammen AL, Tiniakou E. Intravenous Immune Globulin for Statin-Triggered Autoimmune Myopathy. N Engl J Med. 2015;373(17):1680–2.

    PubMed  PubMed Central  Article  Google Scholar 

  22. Bergua C, et al. Immune-mediated necrotizing myopathy. Z Rheumatol. 2016;75(2):151–6.

    PubMed  CAS  Article  Google Scholar 

  23. Suzuki S, et al. Inflammatory myopathy with anti-signal recognition particle antibodies: case series of 100 patients. Orphanet J Rare Dis. 2015;10:61.

    PubMed  PubMed Central  Article  Google Scholar 

  24. Valiyil R, et al. Rituximab therapy for myopathy associated with anti-signal recognition particle antibodies: a case series. Arthritis Care Res (Hoboken). 2010;62(9):1328–34.

    CAS  Article  Google Scholar 

  25. •• Pinal-Fernandez I, Mammen AL. Spectrum of immune-mediated necrotizing myopathies and their treatments. Curr Opin Rheumatol. 2016;28(6):619–24. This study provides a thorough clinical description of IMNM

    PubMed  CAS  Article  Google Scholar 

  26. Walter P, Blobel G. Purification of a membrane-associated protein complex required for protein translocation across the endoplasmic reticulum. Proc Natl Acad Sci U S A. 1980;77(12):7112–6.

    PubMed  PubMed Central  CAS  Article  Google Scholar 

  27. Walter P, Blobel G. Disassembly and reconstitution of signal recognition particle. Cell. 1983;34(2):525–33.

    PubMed  CAS  Article  Google Scholar 

  28. Walter P, Gilmore R, Blobel G. Protein translocation across the endoplasmic reticulum. Cell. 1984;38(1):5–8.

    PubMed  CAS  Article  Google Scholar 

  29. Keenan RJ, et al. The signal recognition particle. Annu Rev Biochem. 2001;70:755–75.

    PubMed  CAS  Article  Google Scholar 

  30. Luirink J, Sinning I. SRP-mediated protein targeting: structure and function revisited. Biochim Biophys Acta. 2004;1694(1-3):17–35.

    PubMed  CAS  Google Scholar 

  31. Saraogi I, Shan SO. Molecular mechanism of co-translational protein targeting by the signal recognition particle. Traffic. 2011;12(5):535–42.

    PubMed  PubMed Central  CAS  Article  Google Scholar 

  32. Römisch K, et al. Human autoantibodies against the 54 kDa protein of the signal recognition particle block function at multiple stages. Arthritis Res Ther. 2006;8(2):R39.

    PubMed  PubMed Central  Article  Google Scholar 

  33. Benveniste O, et al. Correlation of anti-signal recognition particle autoantibody levels with creatine kinase activity in patients with necrotizing myopathy. Arthritis Rheum. 2011;63(7):1961–71.

    PubMed  CAS  Article  Google Scholar 

  34. Goldstein JL, Brown MS. Regulation of the mevalonate pathway. Nature. 1990;343(6257):425–30.

    PubMed  CAS  Article  Google Scholar 

  35. Istvan ES, et al. Crystal structure of the catalytic portion of human HMG-CoA reductase: insights into regulation of activity and catalysis. EMBO J. 2000;19(5):819–30.

    PubMed  PubMed Central  CAS  Article  Google Scholar 

  36. Roitelman J, et al. Immunological evidence for eight spans in the membrane domain of 3-hydroxy-3-methylglutaryl coenzyme A reductase: implications for enzyme degradation in the endoplasmic reticulum. J Cell Biol. 1992;117(5):959–73.

    PubMed  CAS  Article  Google Scholar 

  37. Hamann PD, et al. Statin-induced necrotizing myositis - a discrete autoimmune entity within the "statin-induced myopathy spectrum". Autoimmun Rev. 2013;12(12):1177–81.

    PubMed  PubMed Central  CAS  Article  Google Scholar 

  38. Alshehri A, et al. Myopathy with anti-HMGCR antibodies: Perimysium and myofiber pathology. Neurol Neuroimmunol Neuroinflamm. 2015;2(4):e124.

    PubMed  PubMed Central  Article  Google Scholar 

  39. Werner JL, et al. Antibody levels correlate with creatine kinase levels and strength in anti-3-hydroxy-3-methylglutaryl-coenzyme A reductase-associated autoimmune myopathy. Arthritis Rheum. 2012;64(12):4087–93.

    PubMed  PubMed Central  CAS  Article  Google Scholar 

  40. Arlet JB, et al. Marked efficacy of a therapeutic strategy associating prednisone and plasma exchange followed by rituximab in two patients with refractory myopathy associated with antibodies to the signal recognition particle (SRP). Neuromuscul Disord. 2006;16(5):334–6.

    PubMed  Article  Google Scholar 

  41. •• Allenbach Y, et al. Necrosis in anti-SRP. Neurology. 2018;90(6):e507–17. This study provides a thorough description of the anti-SRP and anti-HMGCR pathogenic role

    PubMed  CAS  Article  Google Scholar 

  42. De Bleecker JL, et al. 205th ENMC International Workshop: Pathology diagnosis of idiopathic inflammatory myopathies part II 28-30 March 2014, Naarden, The Netherlands. Neuromuscul Disord. 2015;25(3):268–72.

    PubMed  Article  Google Scholar 

  43. Miller T, et al. Myopathy with antibodies to the signal recognition particle: clinical and pathological features. J Neurol Neurosurg Psychiatry. 2002;73(4):420–8.

    PubMed  PubMed Central  CAS  Article  Google Scholar 

  44. Dimitri D, et al. Myopathy associated with anti-signal recognition peptide antibodies: clinical heterogeneity contrasts with stereotyped histopathology. Muscle Nerve. 2007;35(3):389–95.

    PubMed  Article  Google Scholar 

  45. Stenzel W, Goebel HH, Aronica E. Review: immune-mediated necrotizing myopathies--a heterogeneous group of diseases with specific myopathological features. Neuropathol Appl Neurobiol. 2012;38(7):632–46.

    PubMed  CAS  Article  Google Scholar 

  46. Chung T, et al. The composition of cellular infiltrates in anti-HMG-CoA reductase-associated myopathy. Muscle Nerve. 2015;52(2):189–95.

    PubMed  PubMed Central  CAS  Article  Google Scholar 

  47. Bencze M, et al. Proinflammatory macrophages enhance the regenerative capacity of human myoblasts by modifying their kinetics of proliferation and differentiation. Mol Ther. 2012;20(11):2168–79.

    PubMed  PubMed Central  CAS  Article  Google Scholar 

  48. Saclier M, et al. Differentially activated macrophages orchestrate myogenic precursor cell fate during human skeletal muscle regeneration. Stem Cells. 2013;31(2):384–96.

    PubMed  CAS  Article  Google Scholar 

  49. Rojana-udomsart A, et al. Complement-mediated muscle cell lysis: a possible mechanism of myonecrosis in anti-SRP associated necrotizing myopathy (ASANM). J Neuroimmunol. 2013;264(1-2):65–70.

    PubMed  CAS  Article  Google Scholar 

  50. •• Arouche-Delaperche, L., et al., Pathogenic role of anti-SRP and anti-HMGCR antibodies in necrotizing myopathies: Myofiber atrophy and impairment of muscle regeneration in necrotizing autoimmune myopathies. Ann Neurol, 2017. This study provides a thorough description of the anti-SRP and anti-HMGCR pathogenic role.

  51. Trapani L, et al. 3-hydroxy 3-methylglutaryl coenzyme A reductase inhibition impairs muscle regeneration. J Cell Biochem. 2012;113(6):2057–63.

    PubMed  CAS  Article  Google Scholar 

  52. McNally AK, Anderson JM. Multinucleated giant cell formation exhibits features of phagocytosis with participation of the endoplasmic reticulum. Exp Mol Pathol. 2005;79(2):126–35.

    PubMed  CAS  Article  Google Scholar 

  53. Okazaki Y, et al. Cell surface expression of calnexin, a molecular chaperone in the endoplasmic reticulum. J Biol Chem. 2000;275(46):35751–8.

    PubMed  CAS  Article  Google Scholar 

  54. Mammen AL, et al. Increased frequency of DRB1*11:01 in anti-hydroxymethylglutaryl-coenzyme A reductase-associated autoimmune myopathy. Arthritis Care Res (Hoboken). 2012;64(8):1233–7.

    CAS  Google Scholar 

  55. Ohnuki Y, et al. HLA-DRB1 alleles in immune-mediated necrotizing myopathy. Neurology. 2016;87(18):1954–5.

    PubMed  Article  Google Scholar 

  56. Yanase K, et al. Receptor-mediated cellular entry of nuclear localizing anti-DNA antibodies via myosin 1. J Clin Invest. 1997;100(1):25–31.

    PubMed  PubMed Central  CAS  Article  Google Scholar 

  57. Yanase K, Madaio MP. Nuclear localizing anti-DNA antibodies enter cells via caveoli and modulate expression of caveolin and p53. J Autoimmun. 2005;24(2):145–51.

    PubMed  CAS  Article  Google Scholar 

Download references

Author information

Affiliations

Authors

Corresponding author

Correspondence to Olivier Benveniste.

Ethics declarations

Conflict of Interest

The authors declare that they have no conflict of interest.

Human and Animal Rights and Informed Consent

This article does not contain any studies with human or animal subjects performed by any of the authors.

Additional information

This article is part of the Topical Collection on Inflammatory Muscle Disease

Rights and permissions

Reprints and Permissions

About this article

Verify currency and authenticity via CrossMark

Cite this article

Ladislau, L., Arouche-Delaperche, L., Allenbach, Y. et al. Potential Pathogenic Role of Anti-Signal Recognition Protein and Anti-3-hydroxy-3-methylglutaryl-CoA Reductase Antibodies in Immune-Mediated Necrotizing Myopathies. Curr Rheumatol Rep 20, 56 (2018). https://doi.org/10.1007/s11926-018-0763-z

Download citation

  • Published:

  • DOI: https://doi.org/10.1007/s11926-018-0763-z

Keywords

  • Idiopathic inflammatory myopathies
  • Autoantibodies
  • Immune-mediated necrotizing myopathies
  • Necrosis
  • Atrophy
  • Regeneration