Skip to main content

The Evaluation and Treatment of Endocrine Forms of Hypertension

Abstract

Endocrine hypertension is an important secondary form of hypertension, identified in between 5% and 10% of general hypertensive population. Primary aldosteronism is the most common cause of endocrine hypertension, accounting for 1%–10% in uncomplicated hypertension and 7%–20% in resistant hypertension. Other less common causes of endocrine hypertension include Cushing syndrome, pheochromocytoma, thyroid disorders, and hyperparathyroidism. Diagnosis requires a high index of suspicion and the use of appropriate screening tests based on clinical presentation. Failure to make proper diagnosis may lead to catastrophic complications or irreversible hypertensive target organ damage. Accordingly, patients who are suspected to have endocrine hypertension should be referred to endocrinologists or hypertension specialists who are familiar with management of the specific endocrine disorders.

This is a preview of subscription content, access via your institution.

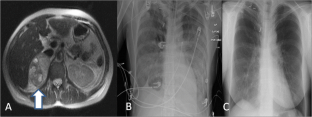
Fig. 1
Fig. 2

References

Papers of particular interest, published recently, have been highlighted as: • Of importance •• Of major importance

  1. Omura M, Saito J, Yamaguchi K, Kakuta Y, Nishikawa T. Prospective study on the prevalence of secondary hypertension among hypertensive patients visiting a general outpatient clinic in Japan. Hypertens Res. 2004;27:193–202.

    PubMed  Article  Google Scholar 

  2. Anderson Jr GH, Blakeman N, Streeten DH. The effect of age on prevalence of secondary forms of hypertension in 4429 consecutively referred patients. J Hypertens. 1994;12:609–15.

    PubMed  Article  Google Scholar 

  3. Westerdahl C, Bergenfelz A, Isaksson A, Nerbrand C, Valdemarsson S. Primary aldosteronism among newly diagnosed and untreated hypertensive patients in a Swedish primary care area. Scand J Prim Health Care. 2011;29:57–62.

    PubMed Central  PubMed  Google Scholar 

  4. Fardella CE, Mosso L, Gomez-Sanchez C, et al. Primary hyperaldosteronism in essential hypertensives: prevalence, biochemical profile, and molecular biology. J Clin Endocrinol Metabol. 2000;85:1863–7.

    CAS  Google Scholar 

  5. Umpierrez GE, Cantey P, Smiley D, et al. Primary aldosteronism in diabetic subjects with resistant hypertension. Diabetes Care. 2007;30:1699–703.

    CAS  PubMed  Article  Google Scholar 

  6. Calhoun DA, Nishizaka MK, Zaman MA, Thakkar RB, Weissmann P. Hyperaldosteronism among Black and White subjects with resistant hypertension. Hypertension. 2002;40:892–6.

    CAS  PubMed  Article  Google Scholar 

  7. Sang XJ, Jiang YR, Wang WQ, et al. Prevalence of and risk factors for primary aldosteronism among patients with resistant hypertension in China. J Hypertens. 2013;31:1465–72.

    CAS  PubMed  Article  Google Scholar 

  8. Felder RB. Mineralocorticoid receptors, inflammation and sympathetic drive in a rat model of systolic heart failure. Exp Physiol. 2010;95:19–25.

    CAS  PubMed Central  PubMed  Article  Google Scholar 

  9. Gomez-Sanchez EP. The mammalian mineralocorticoid receptor: tying down a promiscuous receptor. Exp Physiol. 2010;95:13–8.

    CAS  PubMed Central  PubMed  Article  Google Scholar 

  10. Kontak AC, Wang Z, Arbique D, et al. Reversible sympathetic overactivity in hypertensive patients with primary aldosteronism. J Clin Endocrinol Metab. 2010;95:4756–61.

    CAS  PubMed Central  PubMed  Article  Google Scholar 

  11. McCurley A, Pires PW, Bender SB, et al. Direct regulation of blood pressure by smooth muscle cell mineralocorticoid receptors. Nat Med. 2012;18:1429–33.

    CAS  PubMed Central  PubMed  Article  Google Scholar 

  12. Milliez P, Girerd X, Plouin PF, Blacher J, Safar ME, Mourad JJ. Evidence for an increased rate of cardiovascular events in patients with primary aldosteronism. J Am Coll Cardiol. 2005;45:1243–8.

    CAS  PubMed  Article  Google Scholar 

  13. Catena C, Colussi G, Nadalini E, et al. Cardiovascular outcomes in patients with primary aldosteronism after treatment. Arch Intern Med. 2008;168:80–5.

    CAS  PubMed  Article  Google Scholar 

  14. Choi M, Scholl UI, Yue P, et al. K+ channel mutations in adrenal aldosterone-producing adenomas and hereditary hypertension. Science. 2011;331:768–72.

    CAS  PubMed Central  PubMed  Article  Google Scholar 

  15. Rossi GP, Bernini G, Caliumi C, et al. A prospective study of the prevalence of primary aldosteronism in 1,125 hypertensive patients. J Am Coll Cardiol. 2006;48:2293–300.

    CAS  PubMed  Article  Google Scholar 

  16. Funder JW, Carey RM, Fardella C, et al. Case detection, diagnosis, and treatment of patients with primary aldosteronism: an endocrine society clinical practice guideline. J Clin Endocrinol Metab. 2008;93:3266–81.

    CAS  PubMed  Article  Google Scholar 

  17. Rossi GP, Auchus RJ, Brown M, et al. An expert consensus statement on use of adrenal vein sampling for the subtyping of primary aldosteronism. Hypertension. 2014;63:151–60.

    CAS  PubMed  Article  Google Scholar 

  18. Parthasarathy HK, Menard J, White WB, et al. A double-blind, randomized study comparing the antihypertensive effect of eplerenone and spironolactone in patients with hypertension and evidence of primary aldosteronism. J Hypertens. 2011;29:980–90. This is the only randomized, double blind study, which compared the antihypertensive effect of spironolactone vs eplerenone in patients with primary aldosteronism.

    CAS  PubMed  Article  Google Scholar 

  19. Rossi GP, Cesari M, Cuspidi C, et al. Long-term control of arterial hypertension and regression of left ventricular hypertrophy with treatment of primary aldosteronism. Hypertension. 2013;62:62–9.

    CAS  PubMed  Article  Google Scholar 

  20. Plotz CM, Knowlton AI, Ragan C. The natural history of Cushing's syndrome. Am J Med. 1952;13:597–614.

    CAS  PubMed  Article  Google Scholar 

  21. Ntali G, Asimakopoulou A, Siamatras T, et al. Mortality in Cushing's syndrome: systematic analysis of a large series with prolonged follow-up. Eur J Endocrinol. 2013;169:715–23.

    CAS  PubMed  Article  Google Scholar 

  22. Dekkers OM, Biermasz NR, Pereira AM, et al. Mortality in patients treated for Cushing's disease is increased, compared with patients treated for nonfunctioning pituitary macroadenoma. J Clin Endocrinol Metab. 2007;92:976–81.

    CAS  PubMed  Article  Google Scholar 

  23. Nieman LK, Biller BM, Findling JW, et al. The diagnosis of Cushing's syndrome: an Endocrine Society Clinical Practice Guideline. J Clin Endocrinol Metab. 2008;93:1526–40.

    CAS  PubMed Central  PubMed  Article  Google Scholar 

  24. Papanicolaou DA, Mullen N, Kyrou I, Nieman LK. Nighttime salivary cortisol: a useful test for the diagnosis of Cushing's syndrome. J Clin Endocrinol Metab. 2002;87:4515–21.

    CAS  PubMed  Article  Google Scholar 

  25. Manetti L, Rossi G, Grasso L, et al. Usefulness of salivary cortisol in the diagnosis of hypercortisolism: comparison with serum and urinary cortisol. Eur J Endocrinol. 2013;168:315–21.

    CAS  PubMed  Article  Google Scholar 

  26. Pecori Giraldi F, Ambrogio AG, De Martin M, Fatti LM, Scacchi M, Cavagnini F. Specificity of first-line tests for the diagnosis of Cushing's syndrome: assessment in a large series. J Clin Endocrinol Metab. 2007;92:4123–9.

    PubMed  Article  Google Scholar 

  27. Badrick E, Kirschbaum C, Kumari M. The relationship between smoking status and cortisol secretion. J Clin Endocrinol Metab. 2007;92:819–24.

    CAS  PubMed  Article  Google Scholar 

  28. Elias P, Martinez E, Barone B, Mermejo L, Castro M, Moreira A. Late-night salivary cortisol has a better performance than urinary free cortisol in the diagnosis of Cushing's syndrome. J Clin Endocrinol Metab. 2014;99(6):2045–51.

  29. Carroll T, Raff H, Findling JW. Late-night salivary cortisol measurement in the diagnosis of Cushing's syndrome. Nat Clin Pract Endocrinol Metab. 2008;4:344–50.

    CAS  PubMed  Google Scholar 

  30. Wood PJ, Barth JH, Freedman DB, Perry L, Sheridan B. Evidence for the low dose dexamethasone suppression test to screen for Cushing's syndrome—recommendations for a protocol for biochemistry laboratories. Ann Clin Biochem. 1997;34(Pt 3):222–9.

    CAS  PubMed  Article  Google Scholar 

  31. Oldfield EH, Doppman JL, Nieman LK, et al. Petrosal sinus sampling with and without corticotropin-releasing hormone for the differential diagnosis of Cushing's syndrome. N Engl J Med. 1991;325:897–905.

    CAS  PubMed  Article  Google Scholar 

  32. Hammer GD, Tyrrell JB, Lamborn KR, et al. Transsphenoidal microsurgery for Cushing's disease: initial outcome and long-term results. J Clin Endocrinol Metab. 2004;89:6348–57.

    CAS  PubMed  Article  Google Scholar 

  33. Feelders RA, Hofland LJ. Medical treatment of Cushing's disease. J Clin Endocrinol Metab. 2013;98:425–38.

    CAS  PubMed  Article  Google Scholar 

  34. Fleseriu M, Biller BM, Findling JW, Molitch ME, Schteingart DE, Gross C. Mifepristone, a glucocorticoid receptor antagonist, produces clinical and metabolic benefits in patients with Cushing's syndrome. J Clin Endocrinol Metab. 2012;97:2039–49.

    CAS  PubMed  Article  Google Scholar 

  35. Zhuang Z, Yang C, Lorenzo F, et al. Somatic HIF2A gain-of-function mutations in paraganglioma with polycythemia. N Engl J Med. 2012;367:922–30.

    CAS  PubMed Central  PubMed  Article  Google Scholar 

  36. Timmers HJ, Gimenez-Roqueplo AP, Mannelli M, Pacak K. Clinical aspects of SDHx-related pheochromocytoma and paraganglioma. Endocr Relat Cancer. 2009;16:391–400.

    CAS  PubMed  Article  Google Scholar 

  37. Giavarini A, Chedid A, Bobrie G, Plouin PF, Hagege A, Amar L. Acute catecholamine cardiomyopathy in patients with pheochromocytoma or functional paraganglioma. Heart. 2013;99:1438–44. Retrospective study with the largest numbers of patients with pheochromocytoma describing clinical outcomes of acute heart failure related to catecholamine excess.

    PubMed  Article  Google Scholar 

  38. Prejbisz A, Lenders JW, Eisenhofer G, Januszewicz A. Cardiovascular manifestations of pheochromocytoma. J Hypertens. 2011;29:2049–60.

    CAS  PubMed  Article  Google Scholar 

  39. Lenders JW, Pacak K, Walther MM, et al. Biochemical diagnosis of pheochromocytoma: which test is best? JAMA. 2002;287:1427–34.

    CAS  PubMed  Article  Google Scholar 

  40. Pacak K, Eisenhofer G, Ahlman H, et al. Pheochromocytoma: recommendations for clinical practice from the First International Symposium. October 2005. Nat Clin Pract Endocrinol Metab. 2007;3:92–102.

    PubMed  Article  Google Scholar 

  41. Algeciras-Schimnich A, Preissner CM, Young Jr WF, Singh RJ, Grebe SK. Plasma chromogranin A or urine fractionated metanephrines follow-up testing improves the diagnostic accuracy of plasma fractionated metanephrines for pheochromocytoma. J Clin Endocrinol Metab. 2008;93:91–5.

    CAS  PubMed Central  PubMed  Article  Google Scholar 

  42. Kannan S, Purysko A, Faiman C, et al. Biochemical and radiological relationships in patients with pheochromocytoma: lessons from a case control study. Clin Endocrinol (Oxf). 2014;80(6):790–6.

  43. Eisenhofer G, Lenders JW, Timmers H, et al. Measurements of plasma methoxytyramine, normetanephrine, and metanephrine as discriminators of different hereditary forms of pheochromocytoma. Clin Chem. 2011;57:411–20.

    CAS  PubMed Central  PubMed  Article  Google Scholar 

  44. Grassi G. Assessment of sympathetic cardiovascular drive in human hypertension: achievements and perspectives. Hypertension. 2009;54:690–7.

    CAS  PubMed  Article  Google Scholar 

  45. Eisenhofer G, Goldstein DS, Walther MM, et al. Biochemical diagnosis of pheochromocytoma: how to distinguish true- from false-positive test results. J Clin Endocrinol Metab. 2003;88:2656–66.

    CAS  PubMed  Article  Google Scholar 

  46. Ilias I, Pacak K. Current approaches and recommended algorithm for the diagnostic localization of pheochromocytoma. J Clin Endocrinol Metab. 2004;89:479–91.

    CAS  PubMed  Article  Google Scholar 

  47. Raja A, Leung K, Stamm M, Girgis S, Low G. Multimodality imaging findings of pheochromocytoma with associated clinical and biochemical features in 53 patients with histologically confirmed tumors. Am J Roentgenol. 2013;201:825–33.

    Article  Google Scholar 

  48. Jacobson AF, Deng H, Lombard J, Lessig HJ, Black RR. 123I-meta-iodobenzylguanidine scintigraphy for the detection of neuroblastoma and pheochromocytoma: results of a meta-analysis. J Clin Endocrinol Metab. 2010;95:2596–606.

    CAS  PubMed  Article  Google Scholar 

  49. Koopmans KP, Jager PL, Kema IP, Kerstens MN, Albers F, Dullaart RP. 111In-octreotide is superior to 123I-metaiodobenzylguanidine for scintigraphic detection of head and neck paragangliomas. J Nucl Med. 2008;49:1232–7.

    PubMed  Article  Google Scholar 

  50. Wiseman GA, Pacak K, O'Dorisio MS, et al. Usefulness of 123I-MIBG scintigraphy in the evaluation of patients with known or suspected primary or metastatic pheochromocytoma or paraganglioma: results from a prospective multicenter trial. J Nucl Med. 2009;50:1448–54.

    CAS  PubMed  Article  Google Scholar 

  51. Bhatia KS, Ismail MM, Sahdev A, et al. 123I-metaiodobenzylguanidine (MIBG) scintigraphy for the detection of adrenal and extra-adrenal pheochromocytomas: CT and MRI correlation. Clin Endocrinol. 2008;69:181–8.

    Article  Google Scholar 

  52. Parenti G, Zampetti B, Rapizzi E, Ercolino T, Giache V, Mannelli M. Updated and new perspectives on diagnosis, prognosis, and therapy of malignant pheochromocytoma/paraganglioma. J Oncol. 2012;2012:872713.

    PubMed Central  PubMed  Article  Google Scholar 

  53. Darr R, Lenders JW, Hofbauer LC, Naumann B, Bornstein SR, Eisenhofer G. Pheochromocytoma - update on disease management. Ther Adv Endocrinol Metab. 2012;3:11–26.

    PubMed Central  PubMed  Article  Google Scholar 

  54. Amar L, Servais A, Gimenez-Roqueplo AP, Zinzindohoue F, Chatellier G, Plouin PF. Year of diagnosis, features at presentation, and risk of recurrence in patients with pheochromocytoma or secreting paraganglioma. J Clin Endocrinol Metab. 2005;90:2110–6.

    CAS  PubMed  Article  Google Scholar 

  55. Hollowell JG, Staehling NW, Flanders WD, et al. Serum TSH, T(4), and thyroid antibodies in the United States population (1988 to 1994): National Health and Nutrition Examination Survey (NHANES III). J Clin Endocrinol Metab. 2002;87:489–99.

    CAS  PubMed  Article  Google Scholar 

  56. Canaris GJ, Manowitz NR, Mayor G, Ridgway EC. The Colorado thyroid disease prevalence study. Arch Int Med. 2000;160:526–34.

    CAS  Article  Google Scholar 

  57. Streeten DH, Anderson Jr GH, Howland T, Chiang R, Smulyan H. Effects of thyroid function on blood pressure. Recognition of hypothyroid hypertension. Hypertension. 1988;11:78–83.

    CAS  PubMed  Article  Google Scholar 

  58. Napoli R, Guardasole V, Zarra E, et al. Impaired endothelial- and nonendothelial-mediated vasodilation in patients with acute or chronic hypothyroidism. Clin Endocrinol. 2010;72:107–11.

    CAS  Article  Google Scholar 

  59. Marcisz C, Jonderko G, Kucharz EJ. Influence of short-time application of a low sodium diet on blood pressure in patients with hyperthyroidism or hypothyroidism during therapy. Am J Hypertens. 2001;14:995–1002.

    CAS  PubMed  Article  Google Scholar 

  60. Owen PJ, Rajiv C, Vinereanu D, Mathew T, Fraser AG, Lazarus JH. Subclinical hypothyroidism, arterial stiffness, and myocardial reserve. J Clin Endocrinol Metab. 2006;91:2126–32.

    CAS  PubMed  Article  Google Scholar 

  61. Garber JR, Cobin RH, Gharib H, et al. Clinical practice guidelines for hypothyroidism in adults: cosponsored by the American Association of Clinical Endocrinologists and the American Thyroid Association. Thyroid. 2012;22:1200–35. Guidelines with current recommendations regarding the diagnosis and management of hypothyroidism.

    CAS  PubMed  Article  Google Scholar 

  62. Saito I, Ito K, Saruta T. The effect of age on blood pressure in hyperthyroidism. J Am Geriatr Soc. 1985;33:19–22.

    CAS  PubMed  Google Scholar 

  63. Klein I, Danzi S. Thyroid disease and the heart. Circulation. 2007;116:1725–35.

    PubMed  Article  Google Scholar 

  64. Palmieri EA, Fazio S, Palmieri V, Lombardi G, Biondi B. Myocardial contractility and total arterial stiffness in patients with overt hyperthyroidism: acute effects of beta1-adrenergic blockade. Eur J Endocrinol. 2004;150:757–62.

    CAS  PubMed  Article  Google Scholar 

  65. Napoli R, Biondi B, Guardasole V, et al. Impact of hyperthyroidism and its correction on vascular reactivity in humans. Circulation. 2001;104:3076–80.

    CAS  PubMed  Article  Google Scholar 

  66. Bahn RS, Burch HB, Cooper DS, et al. Hyperthyroidism and other causes of thyrotoxicosis: management guidelines of the American Thyroid Association and American Association of Clinical Endocrinologists. Endocr Pract. 2011;17:456–520.

    PubMed  Article  Google Scholar 

  67. Berglund G, Andersson O, Wilhelmsen L. Prevalence of primary and secondary hypertension: studies in a random population sample. BMJ. 1976;2:554–6.

    CAS  PubMed Central  PubMed  Article  Google Scholar 

  68. Hyperparathyroidism AATFoP. The American Association of Clinical Endocrinologists and the American Association of Endocrine Surgeons position statement on the diagnosis and management of primary hyperparathyroidism. Endocr Pract. 2005;11:49–54.

    Article  Google Scholar 

  69. Valvo E, Bedogna V, Gammaro L, Casagrande P, Ortalda V, Maschio G. Systemic hemodynamic pattern in primary hyperparathyroidism and its changes after parathyroidectomy. Miner Electrolyte Metab. 1991;17:147–52.

    CAS  PubMed  Google Scholar 

  70. Smith JC, Page MD, John R, et al. Augmentation of central arterial pressure in mild primary hyperparathyroidism. J Clin Endocrinol Metab. 2000;85:3515–9.

    CAS  PubMed  Article  Google Scholar 

  71. Ring M, Farahnak P, Gustavsson T, Nilsson IL, Eriksson MJ, Caidahl K. Arterial structure and function in mild primary hyperparathyroidism is not directly related to parathyroid hormone, calcium, or vitamin D. PLoS One. 2012;7:e39519.

    CAS  PubMed Central  PubMed  Article  Google Scholar 

  72. Carrelli AL, Walker MD, Di Tullio MR, et al. Endothelial function in mild primary hyperparathyroidism. Clin Endocrinol. 2013;78:204–9.

    CAS  Article  Google Scholar 

  73. Nilsson IL, Aberg J, Rastad J, Lind L. Endothelial vasodilatory dysfunction in primary hyperparathyroidism is reversed after parathyroidectomy. Surgery. 1999;126:1049–55.

    CAS  PubMed  Article  Google Scholar 

  74. Eastell R, Arnold A, Brandi ML, et al. Diagnosis of asymptomatic primary hyperparathyroidism: proceedings of the third international workshop. J Clin Endocrinol Metab. 2009;94:340–50.

    CAS  PubMed  Article  Google Scholar 

Download references

Compliance with Ethics Guidelines

Conflict of Interest

Alejandro Velasco and Wanpen Vongpatanasin declare that they have no conflict of interest.

Human and Animal Rights and Informed Consent

This article does not contain any studies with human or animal subjects performed by any of the authors.

Author information

Affiliations

Authors

Corresponding author

Correspondence to Wanpen Vongpatanasin.

Additional information

This article is part of the Topical Collection on Hypertension

Rights and permissions

Reprints and Permissions

About this article

Verify currency and authenticity via CrossMark

Cite this article

Velasco, A., Vongpatanasin, W. The Evaluation and Treatment of Endocrine Forms of Hypertension. Curr Cardiol Rep 16, 528 (2014). https://doi.org/10.1007/s11886-014-0528-x

Download citation

  • Published:

  • DOI: https://doi.org/10.1007/s11886-014-0528-x

Keywords

  • Secondary hypertension
  • Primary aldosteronism
  • Pheochromocytoma
  • Cushing syndrome
  • Hypothyroidism
  • Hyperthyroidism
  • Hyperparathyroidism
  • Endocrine forms of hypertension