Skip to main content

Isolated left subclavian artery with right aortic arch: case report and literature review of 50 cases

Abstract

Isolated left subclavian artery (ILSA) with right aortic arch is a rare vascular anomaly accounting for 0.8% in all right-sided aortic arch anomalies. We report a case of an isolated left subclavian artery with right aortic arch and a combination of subclavian as well as pulmonary steal in infant with Tetralogy of Fallot. We reviewed and summarized 50 similar cases reported in the literature over the last 30 years, in order to gain a thorough understanding of this rare anomaly.

This is a preview of subscription content, access via your institution.

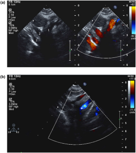
Fig. 1
Fig. 2

References

  1. Stewart JR, Kincaid OW, Titus JL. Right aortic arch: plain film diagnosis and significance. Am J Roentgenol Radium Ther Nucl Med. 1966;97:377–89.

    CAS  Article  Google Scholar 

  2. Luetmer PH, Miller GM. Right aortic arch with isolation of the left subclavian artery: case report and review of the literature. Mayo Clin Proc. 1990;65:407–13.

    CAS  Article  Google Scholar 

  3. Craatz S, Kunzel E, Spanel-Borowski K. Right-sided aortic arch and tetralogy of Fallot in humans—a morphological study of 10 cases. Cardiovasc Pathol. 2003;12:226–32.

    Article  Google Scholar 

  4. Weinberg PM, Natarajan S, Rogers LS. Aortic arch and vascular anomalies. Moss & Adams’ heart disease in infants, children, and adolescents including the fetus and young adult. Philadelphia, USA: Lippincott Williams & Wilkins; 2013. p. 758–98.

    Google Scholar 

  5. Carnero Alcazar M, Marianeschi S, Ruiz Alonso E, Garcia Torres E, Comas JV. Left arm underdevelopment secondary to an isolated left subclavian artery in tetralogy of Fallot. Ann Thorac Surg. 2010;89:637–9.

    Article  Google Scholar 

  6. Arnoult AC, Blaise S. Late discovery of a rare anomaly of the right aortic arch and an isolated left subclavian artery. J Vasc Surg. 2016;64:1853–4.

    Article  Google Scholar 

  7. Yubbu P, Latiff HA, Adam Abbaker AM. Right aortic arch with isolation of the left subclavian artery: a rare association with airway obstruction. Cardiol Young. 2017;27:613–6.

    Article  Google Scholar 

  8. Scott CK, Meyer D, Phoon CK, Srichai MB. Ductal arteriosus aneurysm, right aortic arch, and isolated left subclavian artery in a neonate. Congenit Heart Dis. 2009;4:187–9.

    Article  Google Scholar 

  9. Patel CR, Smith GL, Lane JR, Robinson HB. Prenatal echocardiographic diagnosis of a right aortic arch and bilateral arterial duct with isolation of the left subclavian artery from the left pulmonary artery. J Ultrasound Med. 2007;26:1107–10.

    Article  Google Scholar 

  10. Jesudian V, Ravikumar R, Kumar RS. Isolation of the left subclavian artery-origin from the left pulmonary artery by way of ductus arteriosus: multidetector row computed tomographic angiographic imaging. Pediatr Cardiol. 2009;30:549–50.

    Article  Google Scholar 

  11. Van Grimberge F, Dymarkowski S, Budts W, Bogaert J. Role of magnetic resonance in the diagnosis of subclavian steal syndrome. J Magn Reson Imaging. 2000;12:339–42.

    Article  Google Scholar 

  12. Potter BJ, Pinto DS. Subclavian steal syndrome. Circulation. 2014;129:2320–3.

    Article  Google Scholar 

  13. Osiro S, Zurada A, Gielecki J, Shoja MM, Tubbs RS, Loukas M. A review of subclavian steal syndrome with clinical correlation. Med Sci Monit. 2012;18:RA57–63.

    Article  Google Scholar 

  14. Koneti NR, Qureshi SA, Sivakumar K. Catheter interventions for “double steal” from isolation of the subclavian artery associated with patent arterial duct. Cardiol Young. 2014;24:95–8.

    Article  Google Scholar 

Download references

Funding

This research received no specific grant from any funding agency, commercial or not-for-profit sectors.

Author information

Affiliations

Authors

Corresponding author

Correspondence to Abdullah N. Alhuzaimi.

Ethics declarations

Conflict of interest

The authors declare that there is no conflict of interest.

Additional information

Publisher's Note

Springer Nature remains neutral with regard to jurisdictional claims in published maps and institutional affiliations.

Supplementary Information

Below is the link to the electronic supplementary material.

Supplementary file2 Online Resource Video 1: Aortography showed right aortic arch, late filling of isolated left subclavian artery and pulmonary artery through PDA (MPG 5046 KB)

Supplementary file3 Online Resource Video 2: Right subclavian artery angiogram showed numerous small connections from the right vertebral artery through head and neck vessels to LVA to supply the ILSA with significant flow into the pulmonary arteries (MPG 3938 KB)

Supplementary file4 Online Resource Video 3: ILSA angiogram showed it is connected to the pulmonary artery through a left PDA (MPG 3936 KB)

11748_2020_1564_MOESM1_ESM.xlsx

Supplementary file1 Online Resources Table S: Summery of Case Reports of Isolated Left Subclavian Artery with Right Aortic Arch in Medical Literature from 1990-2020 (n=50) (XLSX 19 KB)

Rights and permissions

Reprints and Permissions

About this article

Verify currency and authenticity via CrossMark

Cite this article

Alhuzaimi, A.N., Aldawsari, K.A. & AlAhmadi, M. Isolated left subclavian artery with right aortic arch: case report and literature review of 50 cases. Gen Thorac Cardiovasc Surg 69, 885–889 (2021). https://doi.org/10.1007/s11748-020-01564-3

Download citation

  • Received:

  • Accepted:

  • Published:

  • Issue Date:

  • DOI: https://doi.org/10.1007/s11748-020-01564-3

Keywords

  • Isolated subclavian
  • Pulmonary steal
  • Subclavian steal syndrome
  • Right aortic arch
  • Vertebrobasilar insufficiency