Skip to main content

Deterioration of chest wall depression causing congestive hepatopathy after an open thoracostomy window in a patient with pectus excavatum and tuberculosis empyema

Abstract

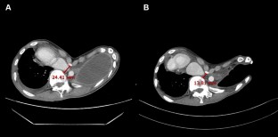
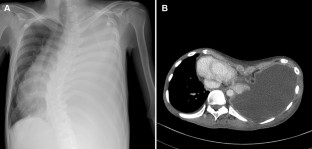
A 27-year-old man with severe pectus excavatum, dextrocardia and spinal scoliosis underwent thoracoscopic pleural decortication due to failure of 1-month medical treatment for tuberculous empyema. One month after the pleural decortication, he again underwent open thoracostomy window for repetitive pleuro-cutaneous fistula with tuberculosis empyema. He was subsequently referred to our clinic for progressive dyspnea and bilateral leg edema 4 months after the open thoracostomy window. Evaluations revealed deterioration of the chest wall depression and further compression of the inferior vena cava, which were considered an aggravation of the pectus excavatum after the open thoracostomy window. Herein, we present an extremely rare case of deterioration of chest wall depression causing congestive hepatopathy after an open thoracostomy window in a patient with pectus excavatum and tuberculosis empyema.

This is a preview of subscription content, access via your institution.

Fig. 1
Fig. 2
Fig. 3

References

  1. Navani N, Punwani S, Humphries PD, Booth HL. Pleuro-cutaneous fistula complicating chest drain insertion for tuberculous effusion. QJM. 2010;103:799–800.

    Article  Google Scholar 

  2. Scarci M, Abah U, Solli P, Page A, Waller D, van Schil P, et al. EACTS expert consensus statement for surgical management of pleural empyema. Eur J Cardiothorac Surg. 2015;48:642–53.

    Article  Google Scholar 

  3. Shiraishi Y. Surgical treatment of chronic empyema. Gen Thorac Cardiovasc Surg. 2010;58:311–6.

    Article  Google Scholar 

  4. Kim HY, Song KS, Goo JM, Lee JS, Lee KS, Lim TH. Thoracic sequelae and complications of tuberculosis. Radiographics. 2001;21:839–58 (discussion 59-60).

    CAS  Article  Google Scholar 

  5. Cho DG, Kim JJ, Park JK, Moon SW. Recurrence of pectus excavatum following the Nuss procedure. J Thorac Dis. 2018;10:6201–10.

    Article  Google Scholar 

Download references

Acknowledgements

None.

Author information

Affiliations

Authors

Contributions

(1) Conception and design: JJK and JWH. (2) Administrative support and general supervision: JJK. (3) Provision of study materials or patients: JWH. (4) Collection and assembly of data: YHL and JML; (5) Data analysis and interpretation: JJK and YHL; (6) Manuscript writing: All authors; (8) Final approval of manuscript: All authors; (VIII) Acquisition of funding: none.

Corresponding author

Correspondence to Jae Jun Kim.

Ethics declarations

Conflict of interest

All authors certify that they have no affiliations with or involvement in any organization or entity with any financial interest or non-financial interest in the subject matter or materials discussed in this manuscript.

Additional information

Publisher's Note

Springer Nature remains neutral with regard to jurisdictional claims in published maps and institutional affiliations.

Rights and permissions

Reprints and Permissions

About this article

Verify currency and authenticity via CrossMark

Cite this article

Han, J.W., Kim, J.J., Lee, YH. et al. Deterioration of chest wall depression causing congestive hepatopathy after an open thoracostomy window in a patient with pectus excavatum and tuberculosis empyema. Gen Thorac Cardiovasc Surg 68, 1216–1219 (2020). https://doi.org/10.1007/s11748-019-01235-y

Download citation

  • Received:

  • Accepted:

  • Published:

  • Issue Date:

  • DOI: https://doi.org/10.1007/s11748-019-01235-y

Keywords

  • Pectus excavatum
  • Open thoracostomy window
  • Congestive hepatopathy