Skip to main content

A case of primary pulmonary choriocarcinoma successfully treated by surgery

Abstract

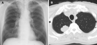
Primary pulmonary choriocarcinoma is a very rare tumor and eventually diagnosed by pulmonary resection. A poor prognosis has been reported for this disease, but appropriate treatment has not been established. Here, we report the successful surgical treatment for a primary pulmonary choriocarcinoma. A 70-year-old male presented with cough and a 3.8-cm solid tumor was detected in the right upper lobe of the lung on CT scan. Results of an open lung biopsy indicated carcinoma with indeterminate histological subtype. Right upper lobectomy was performed and the permanent pathological diagnosis was choriocarcinoma. Right after surgery, systemic and genital screening was performed by urologist, but no abnormal findings were observed. Elevation of serum β-hCG was confirmed at the same time and the value dropped within normal range in 2 months. According to diagnosis criteria, we reached final diagnosis of primary pulmonary choriocarcinoma. The patient has been alive with no recurrence for 2 years after surgery.

This is a preview of subscription content, access via your institution.

Fig. 1
Fig. 2

References

  1. Serno J, Zeppernick F, Jakel J, Schrading S, Maass N, Meinhold-Heerlein I, et al. Primary pulmonary choriocarcinoma: case report and review of the literature. Gynecol Obstet Invest. 2012;74:171–6.

    Article  PubMed  Google Scholar 

  2. Di Crescenzo V, Laperuta P, Napolitano F, Carlomagno C, Garzi A, Vitale M. An unusual case of primary choriocarcinoma of the lung. BMC Surg. 2013;13:S33.

    Article  PubMed  PubMed Central  Google Scholar 

  3. Umemori Y, Hiraki A, Aoe K, Murakami T, Maeda T, Matsuda E, et al. Primary choriocarcinoma of the lung. Anticancer Res. 2004;24:1905–10.

    PubMed  Google Scholar 

  4. Seol HJ, Lee JH, Lee KY, Kim JH, Lee NW, Park HJ. Primary pulmonary choriocarcinoma presenting with a hemothorax. J Thorac Oncol. 2009;4:663–5.

    Article  PubMed  Google Scholar 

Download references

Acknowledgments

We thank Dr. Hidekachi Kurotaki from the department of pathology, Aomori Prefectural Central Hospital for his contribution on pathological diagnosis.

Author information

Affiliations

Authors

Corresponding author

Correspondence to Akira Sakurada.

Ethics declarations

Conflict of interest

The authors have declared that no conflict of interest exists.

Rights and permissions

Reprints and Permissions

About this article

Verify currency and authenticity via CrossMark

Cite this article

Kamata, S., Sakurada, A., Sato, N. et al. A case of primary pulmonary choriocarcinoma successfully treated by surgery. Gen Thorac Cardiovasc Surg 65, 361–364 (2017). https://doi.org/10.1007/s11748-016-0666-8

Download citation

  • Received:

  • Accepted:

  • Published:

  • Issue Date:

  • DOI: https://doi.org/10.1007/s11748-016-0666-8

Keywords

  • Pulmonary choriocarcinoma
  • Lung
  • Surgery
  • Beta human chorionic gonadotrophin