Skip to main content

Thoracoscopic resection of a giant mediastinal parathyroid cyst

Abstract

Parathyroid cysts are a rare situation, unusually in the mediastinum. The preoperative diagnosis could be more difficult in some atypical topographies and imaging characteristics in particular in case of huge mediastinal cyst. In the following years traditionally, in case of intrathoracic parathyroid cysts, sternotomy or thoracotomy have been the preferred approaches. We report a case of an older patient with a huge mediastinal parathyroid cyst removed successfully using videothoracoscopy.

This is a preview of subscription content, access via your institution.

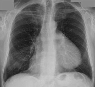
Fig. 1
Fig. 2
Fig. 3

References

  1. Le Pimpec-Barthes F, Cazes A, Bagan P, Badia A, Vlas C, Hernigou A, Pricopi C, Riquet M. Mediastinal cyst: clinical approach and treatment. Rev Pneumol Clin. 2010;66:52–62.

    PubMed  Article  Google Scholar 

  2. Shields TW, Immerman SC. Mediastinal parathyroid cyst revisited. Ann Thorac Surg. 1999;67:581–90.

    CAS  PubMed  Article  Google Scholar 

  3. Cassanelli N, Caroli G, Dolci G, Dell’Amore A, Luciano G, Bini A, Stella F. Accurancy of thoracic ultrasound for the detection of pleural adhesions. Eur J Cardiothorac Surg. 2012;42(5):813–8.

    PubMed  Article  Google Scholar 

  4. Kumar A, Kumar S, Aggarwal S, Kumar R, Tandon N. Thoracoscopy: the preferred method for excision of mediastinal parathyroids. Surgic Laparosc Endosc Percutan Tech. 2002;12:295–300.

    Article  Google Scholar 

  5. de Quervain F. Epithel-Korperchen-Cysti. Schweinz Med Wochenschr. 1925;55:1169.

    Google Scholar 

  6. McKay GD, Ng TH, Morgan GJ, Chen RC. Giant functioning parathyroid cyst presenting as a retrosternal goiter. ANZ J Surg. 2007;77:297–304.

    PubMed  Article  Google Scholar 

  7. Agrawal D, Lahiri TK, Agrawal A, Singh MK. Uncommon parathyroid mediastinal cyst compressing the trachea. Indian J Chest Dis Allied Sci. 2006;48:279–81.

    CAS  PubMed  Google Scholar 

  8. Takashima S, Nakano H, Minamoto K, Misao T, Shiota K. A thoracoscopically resected case of mediastinal parathyroid cyst. Acta Med Okayama. 2005;59:165–70.

    PubMed  Google Scholar 

  9. Ogard CG, Nielsen SL, Jakobsen H, Leth-Espensen P, Vestergaard H. Mediastinal parathyroid cystadenoma—a rare cause of primary hyperparathyroidism. Ugeskr Laeger. 2006;168(35):2921–2.

    PubMed  Google Scholar 

  10. Gattas N, Solt I, Loberant N, Hazani E, Rimon D. Parathyroid cyst associated with acute respiratory failure and jugular vein thrombosis. Harefuah. 2007;146(8):599–601.

    PubMed  Google Scholar 

  11. Cao H, Lai CK, Head CS, Sercarz JA. Cystic parathyroid presenting as an apparent thyroid goiter. Eur Arch Otorhinolaryngol. 2008;265(10):1285–8.

    PubMed  Article  Google Scholar 

  12. Wirowski D, Wicke C, Bohmer H, Lammers BJ, Pohl P, Schwarz K, Goretzki PE. Presentation of 6 cases with parathyroid cysts and discussion of literature. Exp Clin Endocrinol Diabetes. 2008;116:501–6.

    CAS  PubMed  Article  Google Scholar 

  13. Kato H, Kanematsu M, Kiryu T, Iwata H, Shirahashki K, Matsumoto S, Hirose Y, Matsutomo H, Sasaoka L. Nonfunctional mediastinal parathyroid cyst: imaging findings in two cases. Clin Imaging. 2008;32(4):310–3.

    PubMed  Article  Google Scholar 

  14. Zhu Y, Li NS, Lu L, Chen S, Xing XP, Meng XW, Guan H, Tan L, Lu K, Meng YX. Hypercalcemic crisis due to a mediastinal parathyroid cyst diagnosed by ultrasound-guided fine needle aspiration. Chin Med J. 2010;123(24):3731–3.

    PubMed  Google Scholar 

  15. Hoi WH, Leow MK, Sule A, Lee HY, Mmed TA, Tay JC. Hyperparathyroidism due to eutopic PTH secretion from an ectopic intrathymic parathyroid cyst. Ann Thorac Cardiovasc Surg. 2011;17:511–3.

    PubMed  Article  Google Scholar 

Download references

Author information

Affiliations

Authors

Corresponding author

Correspondence to Andrea Dell’Amore.

Rights and permissions

Reprints and Permissions

About this article

Cite this article

Dell’Amore, A., Asadi, N., Bartalena, T. et al. Thoracoscopic resection of a giant mediastinal parathyroid cyst. Gen Thorac Cardiovasc Surg 62, 444–450 (2014). https://doi.org/10.1007/s11748-013-0256-y

Download citation

  • Received:

  • Accepted:

  • Published:

  • Issue Date:

  • DOI: https://doi.org/10.1007/s11748-013-0256-y

Keywords

  • Parathyroid cyst
  • Thoracoscopy
  • Medistinal cyst
  • Ectopic parathyroid