Skip to main content

Successful percutaneous coronary intervention in a case of acute aortic dissection complicated with malperfusion of the left main coronary artery after replacement of the ascending aorta

Abstract

A 75-year-old female was admitted to our hospital with sudden back pain and right leg ischemia. Computed tomography showed acute type A aortic dissection with the occlusion of the right common iliac artery. The patient was treated with ascending aorta replacement and femoro-femoral bypass. Three hours after the operation, the patient went into a sudden shock. Electrocardiogram showed ventricular tachycardia and ventricular fibrillation. Percutaneous cardio-pulmonary support was administered and coronary arteriogram (CAG) was proceeded for evaluation of the coronary arteries. Although CAG revealed normal coronary arteries, intravascular ultrasound showed mobile intimal flap at left main coronary artery trunk, suggesting dissection of the coronary artery. Percutaneous coronary intervention of the left main coronary artery trunk was performed. The patient recovered from shock and was discharged from the hospital without any major complication.

This is a preview of subscription content, access via your institution.

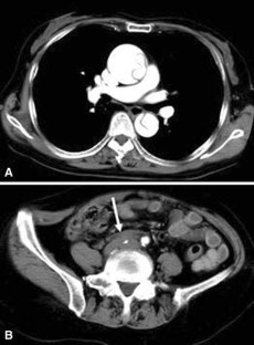
Fig. 1
Fig. 2
Fig. 3
Fig. 4

References

  1. Pego-Fernandes PM, Stolf NA, Hervoso CM, Silva JM, Arteaga E, Jatene AD. Management of aortic dissection that involves the right coronary artery. Cardiovasc Surg. 1999;7:545–8.

    PubMed  Article  CAS  Google Scholar 

  2. Neri E, Tosano T, Papalia U, Frati G, Massetti M, Capannini G, et al. Proximal aortic dissection with coronary malperfusion: presentation, management, and outcome. J Thorac Cardiovasc Surg. 2001;121:552–60.

    PubMed  Article  CAS  Google Scholar 

  3. Kawahito K, Adachi H, Murata S, Yamaguchi A, Ino T. Coronary malperfusion due to type A aortic dissection: mechanism and surgical management. Ann Thorac Surg. 2003;76:1471–6.

    PubMed  Article  Google Scholar 

  4. Eren E, Toker ME, Tuncar A, Keles C, Erdogan HB, Anasiz H, et al. Surgical management of coronary malperfusion due to type A aortic dissection. J Card Surg. 2007;22:2–6.

    PubMed  Article  Google Scholar 

  5. Shimizu M, Matsukawa R, Okada K, Takano T, Masai H, Okita Y. Stenting of left main trunk occlusion due to type A aortic dissection as a bridge to definitive surgery. J Cardiol Jpn Ed. 2008;2(1):62–8.

    Google Scholar 

  6. Masuyama S, Matsuda M, Soeda T, Yuasa S, Shimizu K. Acute type A aortic dissection combined with surgical treatment with acute myocardial infarction. Kyobu Geka. 2005;58:861–4.

    PubMed  CAS  Google Scholar 

  7. Jung E, Ohara K, Tagusari O, Akimoto T, Mukaida M. A successful surgical case report of acute aortic dissection involving the entire sinus of Valsalva. Nippon Kyobu Geka Gakkai Zasshi. J Jpn Assoc Thorac Surg. 1997;45:913–8.

    CAS  Google Scholar 

Download references

Author information

Affiliations

Authors

Corresponding author

Correspondence to Daijiro Hori.

Rights and permissions

Reprints and Permissions

About this article

Cite this article

Hori, D., Noguchi, K., Yamaguchi, A. et al. Successful percutaneous coronary intervention in a case of acute aortic dissection complicated with malperfusion of the left main coronary artery after replacement of the ascending aorta. Gen Thorac Cardiovasc Surg 60, 381–385 (2012). https://doi.org/10.1007/s11748-012-0010-x

Download citation

  • Received:

  • Accepted:

  • Published:

  • Issue Date:

  • DOI: https://doi.org/10.1007/s11748-012-0010-x

Keywords

  • Acute aortic dissection
  • Malperfusion
  • Left main coronary trunk
  • Percutaneous coronary intervention
  • Coronary artery bypass graft surgery