Abstract
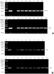
The floral dip transformation method avoids tissue culture and regeneration processes of marigold, and the green fluorescent protein (GFP) is widely used in the detection of genetically modified organisms. In our study, the binary vector PCB260 containing the screening gene basta, the reporter gene GFP, and a 4 × 35S enhancer was transferred into marigold (Tagetes erecta) via Agrobacterium tumefaciens EHA105-mediated transformation using the floral dip method. After herbicide-resistance screening and genomic PCR testing, four transgenic lines were obtained in T0 generation. In the T1 generation, 15 transgenic plants showed fluorescence and were GFP-positive with phenotypic changes. The segregation ratio of mutant to normal plants was 1:3. Plant height, leaf length and width were significantly greater in the normal plants than in the mutant plants. Mutant plants did not bloom.







Similar content being viewed by others
Explore related subjects
Discover the latest articles and news from researchers in related subjects, suggested using machine learning.References
Bartholmes C, Nutt P, Theissen G (2008) Germline transformation of Shepherd’s purse (Capsella bursa-pastoris) by the ‘floral dip’ method as a tool for evolutionary and developmental biology. Gene 409(1–2):11–19
Bechtold N, Ellis J, Pelletier G (1993) In planta Agrobacterium mediated gene transfer by infiltration of adult Arabidopsis thaliana plants. C R Acad Sci Paris Life Sci 316:1194–1199
Chalfie M, Tu Y, Euskirchen G, Ward WW, Prasher DC (1994) Green fluorescent protein as a marker for gene expression. Science 263(5148):802–805
Chang SS, Park SK, Kim BC (1994) Stable genetic transformation of Arabidopsis thaliana by Agrobacterium inoculation in planta. Plant J 5:551–558
Cheng X, Chen SM, Chen FD, Fang WM, Deng YM, She LF (2010) Interspecific hybrids between Dendranthema morifolium (Ramat.) Kitamura and D. nankingense (Nakai) Tzvel achieved using ovary rescue and their cold tolerance characteristics. Euphytica 172:101–108
Cheng X, Chen SM, Chen FD, Deng YM, Fang WM, Tang FP, Liu ZL, Shao W (2011) Creating novel chrysanthemum germplasm via interspecific hybridization and backcrossing. Euphytica 177:45–53
Clough SJ, Bent AF (1998) Floral dip: a simplified method for Agrobacterium-mediated transformation of Arabidopsis thaliana. Plant J 16:735–743
Feldmann KA, Marks MD (1987) Agrobacterium-mediated transformation of germinating seeds of Arabidopsis thaliana: a non-tissue culture approach. Mol Gen Genet 208:1–9
Helber N, Requena N (2008) Expression of the fluorescence markers DsRed and GFP fused to a nuclear localization signal in the arbuscular mycorrhizal fungus Glomus intraradices. New Phytol 177(2):537–548
Janice MZ, Agarwal S, Loar S (2009) Evidence for stable transformation of wheat by floral dip in Agrobacterium tumefaciens. Plant Cell Rep 28:903–913
Katavic V, Haughn GW, Reed D (1994) In planta transformation of Arabidopsis thaliana. Mol Gen Genet 245:363–370
Mari N, Tomonori S, Masaki I, Yoshihiro N (2010) The floral inoculating protocol: a simplified Arabidopsis thaliana transformation method modified from floral dipping. Plant Biotechnol 27:349–351
Mochizuki Y, Nakanishi H, Kodera Y, Ito S, Yamamura Y, Kato T, Hibi K, Akiyama S, Nakao A, Tatematsu M (2004) TNF-α promotes progression of peritoneal metastasis as demonstrated using a green fluorescence protein (GFP)-tagged human gastric cancer cell line. Clin Exp Metas 21(1):39–47
Peter VR, Andrea H (2002) Brand imaging into the future: visualizing gene expression and protein interactions with fluorescent proteins. Nat Cell Biol 4(11):15–20
Ponappa T, Brzozowski AE, Finer JJ (1999) Transient expression and stable transformation of soybean using the jellyfish green fluorescent protein. Plant Cell Rep 19(1):6–12
Prasher DC, Eckenrode VK, Ward WW (1992) Primary structure of the Aequorea victoria green-fluorescent protein. Gene 111:229–233
Vanegas PE, Valdez-Morales M, Valverde ME, Cruz-Hernández A, Paredes-López O (2006) Particle bombardment, a method for gene transfer in marigold. Plant Cell Tissue Organ Cult 84(3):359–363
Wu SK (2009) The discovery and development of the green fluorescent protein. Imaging Sci Photochem 27(1):69–78
Wu PQ, Ba XG, Hu H, Zhao J (2009) Research progress and application of green fluorescent protein. J Biomed Eng Res 28(1):83–86
Yang MY, Liu X, Chu HS (2008) Using green fluorescent protein as a reporter gene to detect transgenic plant. J Food Sci Biotechnol 27(2):98–102
Acknowledgements
This work was supported by funds from the Beijing Municipal Science & Technology Commission (Z161100001116091), the Beijing Academy of Agriculture and Forestry Sciences (KJCX20170108 and JNKST201610) and the Beijing Engineering Research Center of Functional Floriculture (PT2018-29).
Author information
Authors and Affiliations
Corresponding authors
Additional information
Communicated by S. Abe.
Publisher's Note
Springer Nature remains neutral with regard to jurisdictional claims in published maps and institutional affiliations.
Rights and permissions
About this article
Cite this article
Cheng, X., Huang, C., Zhang, X. et al. Establishment of transgenic marigold using the floral dip method. Acta Physiol Plant 41, 147 (2019). https://doi.org/10.1007/s11738-019-2937-3
Received:
Revised:
Accepted:
Published:
DOI: https://doi.org/10.1007/s11738-019-2937-3

