Skip to main content

A single-incision thoracoscopic and robotic hybrid procedure via the axillary approach in a patient with thyroid, lung, and mediastinal tumors

Abstract

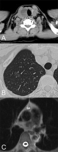
A 66-year-old woman was referred to our institute for an enlarging tumor of the thyroid, and neck and chest computed tomography scan showed not only a thyroid tumor, but also an anterior mediastinal tumor and ground-glass nodules in the lung. Because of persisting symptoms, an enlarging thyroid mass, and the possibility of cancer, excision of the tumors was proposed. A 6-cm-long vertical skin incision was made in the right axilla, a mini-thoracotomy was made in the third intercostal space, and an additional port was placed in the fifth intercostal space. Thoracoscopic partial resection of the right upper lobe of the lung was performed first. Then, the da Vinci surgical system (da Vinci, Intuitive Surgical Inc., Sunnyvale, CA, USA) was introduced through the mini-thoracotomy. The mediastinal tumor was then excised circumferentially robotically. After resection of the lung and mediastinal tumors, the da Vinci was undocked, and a subcutaneous tunnel from the axillary incision to the thyroid was created using the flap dissection technique. The da Vinci was re-introduced through the axillary incision. A long camera port was used, and the skin and muscle flap was elevated to maintain adequate working space during the robot-assisted thyroidectomy. Total operating time was 277 min, and the patient’s postoperative course was uneventful. The histopathological examinations of the lung, mediastinal, and thyroid tumors were adenocarcinoma, thymolipoma, and adenomatous goiter, respectively. In conclusion, single-incision robotic surgery for three lesions was achieved safely with good clinical results and excellent cosmetic results.

This is a preview of subscription content, access via your institution.

Fig. 1
Fig. 2

References

  1. Ishikawa N, Kawaguchi M, Moriyama H, Shimada M, Watanabe G (2013) Robot-assisted thyroidectomy with novel camera-port retractor. Innovations 384:384–388

    Google Scholar 

  2. Scott WJ, Allen MS, Darling G, Meyers B, Decker PA, Putnam JB, McKenna RW, Landrenau RJ, Jones DR, Inculet RI, Malthaner RA (2010) Video-assisted thoracic surgery versus open lobectomy for lung cancer: a secondary analysis of data from the American College of Surgeons Oncology Group Z0030 randomized clinical trial. J Thorac Cardiovasc Surg 139:976–981

    Article  Google Scholar 

  3. Mack MJ, Landreneau RJ, Yim AP, Hazelrigg SR, Scruggs GR (1996) Results of video-assisted thymectomy in patients with myasthenia gravis. J Thorac Cardiovasc Surg 112:1352–1359

    CAS  Article  Google Scholar 

  4. Shimizu K, Tanaka S (2003) Asian perspective on endoscopic thyroidectomy—a review of 193 cases. Asian J Surg 26:92–100

    Article  Google Scholar 

  5. Ikeda Y, Takami H, Sasaki Y, Kan S, Niimi M (2000) Endoscopic neck surgery by the axillary approach. J Am Coll Surg 191:336–340

    CAS  Article  Google Scholar 

  6. Ishikawa N, Watanabe G, Hirano Y, Inaki N, Kawachi K, Oda M (2007) Robotic dexterity: evaluation of three-dimensional monitoring system and non-dominant hand maneuverability in robotic surgery. J Robot Surg 1:231–233

    Article  Google Scholar 

Download references

Author information

Affiliations

Authors

Corresponding author

Correspondence to Norihiko Ishikawa.

Ethics declarations

Conflict of interest

Norihiko Ishikawa, Yumiko Ohtake, and Go Watanabe have no conflicts of interest or financial ties to disclose.

Informed consent

Written informed consent was obtained from the patient for publication of this case report.

Rights and permissions

Reprints and Permissions

About this article

Verify currency and authenticity via CrossMark

Cite this article

Ishikawa, N., Ohtake, Y. & Watanabe, G. A single-incision thoracoscopic and robotic hybrid procedure via the axillary approach in a patient with thyroid, lung, and mediastinal tumors. J Robotic Surg 12, 741–744 (2018). https://doi.org/10.1007/s11701-017-0770-5

Download citation

  • Received:

  • Accepted:

  • Published:

  • Issue Date:

  • DOI: https://doi.org/10.1007/s11701-017-0770-5

Keywords

  • Robotic surgery
  • Lung tumor
  • Thyroid tumor
  • Mediastinal tumor
  • Single incision
  • Hybrid procedure