Skip to main content

Trans-oral robotic surgical excision of an ectopic parathyroid adenoma

Abstract

Background

The pyriform sinus is a potential location for ectopic parathyroid tissue and we describe the use of trans-oral robotic to excise the ectopic tissue.

Methods

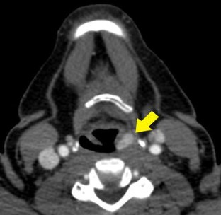
A 55-year-old female presented with primary hyperparathyroidism. 4D computed tomography and Sestimibi scan revealed a 1.2 × 0.7 cm mass in the left pyriform sinus. Using the da Vinci SI robot, a 1 cm hypopharyngeal incision was made with electrocautery in the left pyriform sinus and used to excise the mass.

Results

Ectopic mass was removed via trans-oral robotic approach and final pathology confirmed parathyroid tissue. Parathyroid hormone level dropped from 135.8 to 13.3 pg/ml 15 min after excision of the mass.

Conclusion

Ectopic parathyroid tissue can present in many different areas of the neck, with the pyriform sinus being a potential location. The trans-oral robotic parathyroidectomy confers the advantage of the lack of an external incision for removal of ectopic parathyroid adenoma.

This is a preview of subscription content, access via your institution.

Fig. 1
Fig. 2
Fig. 3

References

  1. Suliburk JW, Sywak MS, Sidhu SB, Delbridge LW (2011) 1000 minimally invasive parathyroidectomies without intra-operative parathyroid hormone measurement: lessons learned. ANZ J Surg. 81(5):362–365

    Article  PubMed  Google Scholar 

  2. Guevara N, Agopian B, Benisvy D, Lassalle S, Santini J, Castillo (2013) Ectopic pyriform sinus parathyroid adenoma. Eur Ann Otorhinolaryngol Head Neck Dis 130(2):95–8

  3. Joseph MP, Nadol JB, Pilch BZ, Goodman ML (1982) Ectopic parathyroid tissue in the hypopharyngeal mucosa (pyriform sinus). Head Neck Surg. 5(1):70–74

    Article  CAS  PubMed  Google Scholar 

  4. Karakas E, Steinfeldt T, Gockel A et al (2011) Transoral thyroid and parathyroid surgery—development of a new transoral technique. Surgery. 150:108–115

    Article  PubMed  Google Scholar 

  5. Stojadinovic A, Shriver CD, Casler JD, Gaertner EM, York G, Jaques DP (1998) Endoscopic laser excision of ectopic pyriform sinus parathyroid adenoma. Arch Surg 133(1):101–103

    Article  CAS  PubMed  Google Scholar 

  6. Phitayakorn R, McHenry CR (2006) Incidence and location of ectopic abnormal parathyroid glands. Am J Surg 191(3):418–423

    Article  PubMed  Google Scholar 

  7. Peeler BB, Martin WH, Sandler MP, Goldstein RE (1997) Sestamibi parathyroid scanning and preoperative localization studies for patients with recurrent/persistent hyperparathyroidism or significant comorbid conditions: development of an optimal localization strategy. Am Surg 63:37–46

    CAS  PubMed  Google Scholar 

  8. Chan TJ, Libutti SK, McCart JA et al (2003) Persistent primary hyperparathyroidism caused by adenomas identified in pharyngeal or adjacent structures. World J Surg 27:675–679

    Article  PubMed  Google Scholar 

  9. Herrold KM, Rabson AS, Ketcham AS (1961) Aberrant parathyroid gland in pharyngeal submucosa. Arch Pathol. 71:60–62

    CAS  PubMed  Google Scholar 

  10. Weinstein GS, O’malley BW Jr, Hockstein NG (2005) Transoral robotic surgery: supraglottic laryngectomy in a canine model. Laryngoscope. 115(7):1315–1319

    Article  PubMed  Google Scholar 

Download references

Author information

Affiliations

Authors

Corresponding author

Correspondence to Matthew M. Smith.

Ethics declarations

Conflict of interest

Matthew M. Smith, William G. Young, Arthur M. Carlin, and Tamer A. Ghanem declare that they have no conflict of interest.

Consent section

Written informed consent was obtained from the patient for publication of this case report/any accompanying images. A copy of the written consent is available for review by the Editor-in-Chief of this journal.

Rights and permissions

Reprints and Permissions

About this article

Verify currency and authenticity via CrossMark

Cite this article

Smith, M.M., Young, W.G., Carlin, A.M. et al. Trans-oral robotic surgical excision of an ectopic parathyroid adenoma. J Robotic Surg 10, 73–75 (2016). https://doi.org/10.1007/s11701-015-0545-9

Download citation

  • Received:

  • Accepted:

  • Published:

  • Issue Date:

  • DOI: https://doi.org/10.1007/s11701-015-0545-9

Keywords

  • Trans-oral robotic surgery
  • Ectopic parathyroid
  • Parathyroid adenoma
  • Primary hyperparathyroidism
  • Parathyroidectomy