Skip to main content

Transoral robot-assisted excision of a lingual thyroid gland

Abstract

Lingual thyroid is a rare condition in which ectopic thyroid tissue is present in the base of tongue. We present a case of a 46-year-old patient with a symptomatic lingual thyroid that was successfully removed with minimal morbidity using transoral robotic surgery. The traditional treatment algorithm for lingual thyroid is reviewed. The advantages of using transoral robotic surgery to remove lingual thyroid tissue are described along with the reasons why the addition of this technique should shift treatment of lingual thyroid towards more frequent use of surgical ablation. This report is, to our knowledge, the first describing the use of transoral robotic surgery for treating lingual thyroid.

This is a preview of subscription content, access via your institution.

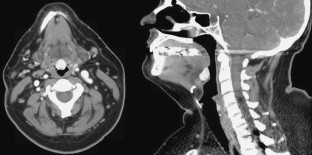
Fig. 1
Fig. 2

References

  1. Fish J, Moore RM (1963) Ectopic thyroid tissue and ectopic thyroid carcinoma: a review of the literature and report of a case. Ann Surg 157:212–222

    PubMed  Article  CAS  Google Scholar 

  2. Toso A, Colombani F, Averono G, Aluffi P, Pia F (2009) Lingual thyroid causing dysphagia and dyspnoea. Case reports and review of the literature. Acta Otorhinolaryngol Ital 29(4):213–217

    PubMed  CAS  Google Scholar 

  3. Rahbar R, Yoon MJ, Connolly LP, Robson CD, Vargas SO, McGill TJ, Healy GB (2008) Lingual thyroid in children: a rare clinical entity. Laryngoscope 118(7):1174–1179. doi:10.1097/MLG.0b013e31816f6922

    PubMed  Article  Google Scholar 

  4. Montgomery ML (1936) Lingual thyroid: a comprehensive review. Western J Surg Obstet Gynecol 44:54–62, 122–128, 189–195, 237–247, 300–309, 373–379, 442–446

    Google Scholar 

  5. Montgomery ML (1935) Lingual thyroid: a comprehensive review. Western J Surg Obstet Gynecol 43:661–669

    Google Scholar 

  6. Hari CK, Kumar M, Abo-Khatwa MM, Adams-Williams J, Zeitoun H (2009) Follicular variant of papillary carcinoma arising from lingual thyroid. Ear Nose Throat J 88(6):E7

    PubMed  Google Scholar 

  7. Hockstein NG, Nolan JP, O’Malley BW, Woo YJ Jr (2005) Robotic microlaryngeal surgery: a technical feasibility study using the daVinci surgical robot and an airway mannequin. Laryngoscope 115(5):780–785. doi:10.1097/01.mlg.0000159202.04941.67

    PubMed  Article  Google Scholar 

  8. Hickman W (1869) Congenital tumour of the base of tongue pressing down the epiglottis on the larynx and causing death by suffocation sixteen hours after birth. Trans Pathol Soc London 20:160–161

    Google Scholar 

  9. Sauk JJ Jr (1970) Ectopic lingual thyroid. J Pathol 102(4):239–243. doi:10.1002/path.1711020408

    PubMed  Article  Google Scholar 

  10. Williams JD, Sclafani AP, Slupchinskij O, Douge C (1996) Evaluation and management of the lingual thyroid gland. Ann Otol Rhinol Laryngol 105(4):312–316

    PubMed  CAS  Google Scholar 

  11. Kalan A, Tariq M (1999) Lingual thyroid gland: clinical evaluation and comprehensive management. Ear Nose Throat J 78(5):340–341, 345–349

    Google Scholar 

  12. Weinstein GS, O’Malley BW Jr, Desai SC, Quon H (2009) Transoral robotic surgery: does the ends justify the means? Curr Opin Otolaryngol Head Neck Surg 17(2):126–131. doi:10.1097/MOO.0b013e32832924f5

    PubMed  Article  Google Scholar 

  13. O’Malley BW Jr, Weinstein GS, Snyder W, Hockstein NG (2006) Transoral robotic surgery (TORS) for base of tongue neoplasms. Laryngoscope 116(8):1465–1472. doi:10.1097/01.mlg.0000227184.90514.1a

    PubMed  Article  Google Scholar 

  14. Sdano MT, Falciglia M, Welge JA, Steward DL (2005) Efficacy of thyroid hormone suppression for benign thyroid nodules: meta-analysis of randomized trials. Otolaryngol Head Neck Surg 133(3):391–396. doi:10.1016/j.otohns.2005.06.007

    PubMed  Article  Google Scholar 

Download references

Conflict of interests

Drs. May and Padhya have no conflicts of interest to disclose. Dr. Newman proctors robotic head and neck surgery cases. He is reimbursed by Intuitive Surgical for these services.

Author information

Affiliations

Authors

Corresponding author

Correspondence to James T. May IV.

Rights and permissions

Reprints and Permissions

About this article

Cite this article

May, J.T., Newman, J.G. & Padhya, T.A. Transoral robot-assisted excision of a lingual thyroid gland. J Robotic Surg 5, 217–220 (2011). https://doi.org/10.1007/s11701-011-0253-z

Download citation

  • Received:

  • Accepted:

  • Published:

  • Issue Date:

  • DOI: https://doi.org/10.1007/s11701-011-0253-z

Keywords

  • Robotic surgery
  • Lingual thyroid
  • Minimally invasive
  • Transoral