Skip to main content

Reduction of Intestinal Electrogenic Glucose Absorption After Duodenojejunal Bypass in a Mouse Model

Abstract

Background

The role of intestinal glucose absorption in reducing glycemic levels after duodenojejunal bypass (DJB) is unclear. We hypothesized that DJB surgery decreases intestinal electrogenic glucose absorption by sodium glucose co-transporter 1 (SGLT1), leading to decreased glucose absorption and reduced blood glucose. Six groups of C57/BL6 mice were studied (n = 6 each) 2 weeks, 1 month, and 2 months after DJB or sham surgery.

Methods

Daily weight and food intake were measured for 1 month and an oral glucose tolerance test was performed 2 months after surgery. Electrogenic glucose absorption was quantified in an Ussing chamber according to the sodium-dependent increase of short-circuit current (Isc). Intestinal morphology was assessed by hematoxylin and eosin staining. Expression of SGLT1 was determined by quantitative PCR and Western blotting.

Results

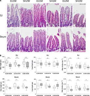
The DJB mice lost weight compared with the sham group and exhibited significant adaptive changes, with increased villus height, crypt depth, and villus surface area. Oral glucose absorption was significantly reduced in the DJB mice compared with the sham group. Glucose-induced Isc was significantly lower in the DJB mice than in the sham mice 1 and 2 months after surgery, indicating that SGLT1 activity was reduced after DJB. Transcript levels and protein abundance of SGLT1 after DJB were also decreased compared with the sham group.

Conclusions

DJB surgery reduced intestinal glucose absorption by reducing the activity and expression of the glucose transporter SGLT1, which represents a potential therapeutic target for patients with diabetes.

This is a preview of subscription content, access via your institution.

Fig. 1
Fig. 2
Fig. 3
Fig. 4
Fig. 5

References

  1. Whiting DR, Guariguata L, Weil C, et al. IDF diabetes atlas: global estimates of the prevalence of diabetes for 2011 and 2030. Diabetes Res Clin Pract. 2011;94(3):311–21. PMID: 22079683.

    PubMed  Article  Google Scholar 

  2. Danaei G, Finucane MM, Lu Y, et al. National, regional, and global trends in fasting plasma glucose and diabetes prevalence since 1980: systematic analysis of health examination surveys and epidemiological studies with 370 country-years and 2.7 million participants. Lancet. 2011;378(9785):31–40. PMID: 21705069.

    PubMed  Article  CAS  Google Scholar 

  3. Schauer PR, Kashyap SR, Wolski K, et al. Bariatric surgery versus intensive medical therapy in obese patients with diabetes. N Engl J Med. 2012;366(17):1567–76. PMID: 22449319.

    PubMed  Article  CAS  Google Scholar 

  4. Mingrone G, Panunzi S, De Gaetano A, et al. Bariatric surgery versus conventional medical therapy for type 2 diabetes. N Engl J Med. 2012;366(17):1577–85. PMID: 22449317.

    PubMed  Article  CAS  Google Scholar 

  5. Keating CL, Dixon JB, Moodie ML, et al. Cost-efficacy of surgically induced weight loss for the management of type 2 diabetes: a randomized controlled trial. Diabetes Care. 2009;32(4):580–4. PMID: 19171726.

    PubMed  Article  Google Scholar 

  6. Friedman MN, Sancetta AJ, Magovern GJ. The amelioration of diabetes mellitus following subtotal gastrectomy. Surg Gynecol Obstet. 1955;100(2):201–4. PMID: 13238177.

    PubMed  CAS  Google Scholar 

  7. Michalakis K, le Roux C. Gut hormones and leptin: impact on energy control and changes after bariatric surgery—what the future holds. Obes Surg. 2012;22(10):1648–57. PMID: 22692670.

    PubMed  Article  Google Scholar 

  8. Bosello O, Armellini F, Pelloso M, et al. Glucose tolerance in jejunoileal bypass for morbid obesity: a fifteen month follow-up. Diabete Metab. 1978;4(3):159–62. PMID: 710676.

    PubMed  CAS  Google Scholar 

  9. Ackerman NB. Observations on the improvements in carbohydrate metabolism in diabetic and other morbidly obese patients after jejunoileal bypass. Surg, Gynecol Obstet. 1981;152(5):581–6. PMID: 7013122.

    CAS  Google Scholar 

  10. Rubino F, Marescaux J. Effect of duodenal-jejunal exclusion in a non-obese animal model of type 2 diabetes: a new perspective for an old disease. Ann Surg. 2004;239(1):1–11. PMID: 14685093.

    PubMed  Article  Google Scholar 

  11. Isbell JM, Tamboli RA, Hansen EN, et al. The importance of caloric restriction in the early improvements in insulin sensitivity after Roux-en-Y gastric bypass surgery. Diabetes Care. 2010;33(7):1438–42. PMID: 20368410.

    PubMed  Article  CAS  Google Scholar 

  12. Stearns AT, Balakrishnan A, Tavakkolizadeh A. Impact of Roux-en-Y gastric bypass surgery on rat intestinal glucose transport. Am J Physiol Gastrointest Liver Physiol. 2009;297(5):G950–7. PMID: 20501442.

    PubMed  Article  CAS  Google Scholar 

  13. Gorboulev V, Schurmann A, Vallon V, et al. Na(+)-d-glucose cotransporter SGLT1 is pivotal for intestinal glucose absorption and glucose-dependent incretin secretion. Diabetes. 2012;61(1):187–96. PMID: 22124465.

    PubMed  Article  CAS  Google Scholar 

  14. Dyer J, Wood IS, Palejwala A, et al. Expression of monosaccharide transporters in intestine of diabetic humans. Am J Physiol Gastrointest Liver Physiol. 2002;282(2):G241–8. PMID: 11804845.

    PubMed  CAS  Google Scholar 

  15. Lan Z, Zassoko R, Liu W, et al. Development of techniques for gastrojejunal bypass surgery in obese mice. Microsurgery. 2010;30(4):289–95. PMID: 20049916.

    PubMed  Google Scholar 

  16. Liu W, Zassoko R, Mele T, et al. Establishment of duodenojejunal bypass surgery in mice: a model designed for diabetic research. Microsurgery. 2008;28(3):197–202. PMID: 18286660.

    PubMed  Article  Google Scholar 

  17. Woods M, Lan Z, Li J, et al. Antidiabetic effects of duodenojejunal bypass in an experimental model of diabetes induced by a high-fat diet. Br J Surg. 2011;98(5):686–96. PMID: 21381002.

    PubMed  Article  CAS  Google Scholar 

  18. Clarke LL. A guide to Ussing chamber studies of mouse intestine. Am J Physiol Gastrointest Liver Physiol. 2009;296(6):G1151–66. PMID: 19342508.

    PubMed  Article  CAS  Google Scholar 

  19. Artunc F, Rexhepaj R, Volkl H, et al. Impaired intestinal and renal glucose transport in PDK-1 hypomorphic mice. Am J Physiol Regul Integr Comp Physiol. 2006;291(5):R1533–8. PMID: 16741145.

    PubMed  Article  CAS  Google Scholar 

  20. Rexhepaj R, Rotte A, Gu S, et al. Tumor suppressor gene adenomatous polyposis coli downregulates intestinal transport. Pflugers Arch. 2011;461(5):527–36. PMID: 21476133.

    PubMed  Article  CAS  Google Scholar 

  21. Ray EC, Avissar NE, Sax HC. Methods used to study intestinal nutrient transport: past and present. J Surg Res. 2002;108(1):180–90. PMID: 12472108.

    PubMed  Article  CAS  Google Scholar 

  22. Whang EE, Dunn JC, Joffe H, et al. Enterocyte functional adaptation following intestinal resection. J Surg Res. 1996;60(2):370–4. PMID: 8598671.

    PubMed  Article  CAS  Google Scholar 

  23. Rexhepaj R, Alesutan I, Gu S, et al. SGK1-dependent stimulation of intestinal SGLT1 activity by vitamin D. Pflugers Arch. 2011;462(3):489–94. PMID: 21735060.

    PubMed  Article  CAS  Google Scholar 

  24. Nasir O, Artunc F, Wang K, et al. Downregulation of mouse intestinal Na(+)-coupled glucose transporter SGLT1 by gum arabic (Acacia senegal). Cell Physiol Biochem. 2010;25(2-3):203–10. PMID: 20110681.

    PubMed  Article  CAS  Google Scholar 

  25. Herrmann J, Schroder B, Klinger S, et al. Segmental diversity of electrogenic glucose transport characteristics in the small intestines of weaned pigs. Comp Biochem Physiol A Mol Integr Physiol. 2012;163(1):161–9. PMID: 22683689.

    PubMed  Article  CAS  Google Scholar 

  26. Stearns AT, Balakrishnan A, Radmanesh A, et al. Relative contributions of afferent vagal fibers to resistance to diet-induced obesity. Dig Dis Sci. 2012;57(5):1281–90. Epub 2011/12/06. PMID: 22138962.

    PubMed  Article  CAS  Google Scholar 

  27. Hyland NP, Rybicka JM, Ho W, et al. Adaptation of intestinal secretomotor function and nutrient absorption in response to diet-induced obesity. Neurogastroenterol Motil. 2010;22(6):e602–71. PMID: 20426798.

    Article  Google Scholar 

  28. Balen D, Ljubojevic M, Breljak D, et al. Revised immunolocalization of the Na+- d-glucose cotransporter SGLT1 in rat organs with an improved antibody. Am J Physiol Cell Physiol. 2008;295(2):C475–89. PMID: 18524944.

    PubMed  Article  CAS  Google Scholar 

  29. Fatima J, Iqbal CW, Houghton SG, et al. Hexose transporter expression and function in mouse small intestine: role of diurnal rhythm. J Gastrointest Surg. 2009;13(4):634–41. PMID: 19082670.

    PubMed  Article  Google Scholar 

  30. Houghton SG, Iqbal CW, Duenes JA, et al. Coordinated, diurnal hexose transporter expression in rat small bowel: implications for small bowel resection. Surgery. 2008;143(1):79–93. PMID: 18154936.

    PubMed  Article  Google Scholar 

  31. Castaneda-Sceppa C, Castaneda F. Sodium-dependent glucose transporter protein as a potential therapeutic target for improving glycemic control in diabetes. Nutr Rev. 2011;69(12):720–9. PMID: 22133196.

    PubMed  Article  Google Scholar 

  32. Los EL, Wolters H, Stellaard F, et al. Intestinal capacity to digest and absorb carbohydrates is maintained in a rat model of cholestasis. Am J Physiol Gastrointest Liver Physiol. 2007;293(3):G615–22. PMID: 17627970.

    PubMed  Article  CAS  Google Scholar 

  33. Hirsh AJ, Cheeseman CI. Cholecystokinin decreases intestinal hexose absorption by a parallel reduction in SGLT1 abundance in the brush-border membrane. J Biol Chem. 1998;273(23):14545–9. PMID: 9603969.

    PubMed  Article  CAS  Google Scholar 

Download references

Acknowledgments

We thank Wenfeng Song for the technical assistance on the Ussing chamber. We also greatly thank Junjie Gao for the illustrations. This work was supported by the Foundation for Innovative Research Groups of the National Natural Science Foundation of China (no. 81121002) and National Basic Research Program of China (973 Program) (no. 2009CB522403).

Conflict of interest

All contributing authors (Sheng Yan, Fei Sun, Zhiwei Li, Jie Xiang, Yuan Ding, Zhongjie Lu, Yang Tian, Hui Chen, Jinhua Zhang, Yan Wang, Penghong Song, Lin Zhou, and Shusen Zheng) declare that they have no conflicts of interests.

Author information

Affiliations

Authors

Corresponding author

Correspondence to Shusen Zheng.

Additional information

Sheng Yan and Fei Sun contributed equally to this paper.

Rights and permissions

Reprints and Permissions

About this article

Cite this article

Yan, S., Sun, F., Li, Z. et al. Reduction of Intestinal Electrogenic Glucose Absorption After Duodenojejunal Bypass in a Mouse Model. OBES SURG 23, 1361–1369 (2013). https://doi.org/10.1007/s11695-013-0954-7

Download citation

  • Published:

  • Issue Date:

  • DOI: https://doi.org/10.1007/s11695-013-0954-7

Keywords

  • Duodenojejunal bypass
  • Bariatric surgery
  • SGLT1
  • Ussing chamber
  • Glucose absorption