Skip to main content

Wound Healing Process in Post-bariatric Patients: an Experimental Evaluation

Abstract

Bariatric surgery is the most effective treatment for morbid obesity. Despite this, side effects are recorded. One of them is redundant skin hanging from the patients’ body causing both aesthetical and functional deformities. They can only be corrected with body contouring surgery, whose wound complication rate is very high in previously obese population. Despite several hypotheses, an adequate explanation is still awaited. The aim of our study was to evaluate the wound healing process in post-bariatric patients. Seven patients, six women and one man, were enrolled. They all were nonsmokers and nondiabetic. They all underwent biliopancreatic diversion (BPD). After 36 months, abdominoplasty was performed. Biochemical parameters before and after bariatric surgery were evaluated. The content of total protein and hydroxyproline was assessed in multiple scar biopsies before and after BPD. Abdominoplasty horizontal scar skin samples were subjected to histological evaluation with Weigert–Van Gieson stain for elastic fibers and connectivum. All biochemical parameters analyzed were reduced post-BPD compared to the preoperative period. Tissue proteins were significantly reduced after BPD both in their totality and as hydroxyproline and hydroxyproline/total tissue protein. Histological evaluation revealed abnormal dermal elastic and collagen fibers. The cause of aberrant healing in massive weight loss body contouring is likely multifactorial. A relationship between nutritional state, wound collagen accumulation, and elastic fiber content seems to be only partially involved. The high mechanical stress of tissues before BPD probably influences the wound healing process after BPD.

This is a preview of subscription content, access via your institution.

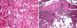
Fig. 1
Fig. 2

References

  1. National Centre for Health Statistics. Prevalence of overweight and obesity among Adults. Atlanta, GA: National Center for Health Statistics, Centers for Disease Control and Prevention. Available at http://www.cdc.gov/nchs/product/pubs/pubd/hestats/obes/obese99.htm. Accessed 25 Mar 2005.

  2. Buchwald H. Bariatric surgery for morbid obesity: health implications for patients, health professionals, and third-party payers. J Am Coll Surg. 2005;200:593–604.

    Article  PubMed  Google Scholar 

  3. Maggard MA, et al. Meta-analysis: surgical treatment of obesity. Ann Intern Med. 2005;142:547–59.

    PubMed  Google Scholar 

  4. Schauer BR, et al. Effect of laparoscopic Roux-en Y gastric bypass on type 2 diabetes mellitus. Ann Surg. 2003;238:467–84.

    PubMed  Google Scholar 

  5. Greenway SE, Greenway FL III, Klein S. Effects of obesity surgery on non-insulin-dependent diabetes mellitus. Arch Surg. 2002;137:1109–17.

    Article  PubMed  Google Scholar 

  6. Sugerman HJ, et al. Diabetes and hypertension in severe obesity and effect of gastric bypass-inducted weight loss. Ann Surg. 2003;237:751–6.

    Article  PubMed  Google Scholar 

  7. Alverdy JC, et al. Bariatric surgery: a history of empiricism, a future in science. J Gastrointest Surg. 2009;13:465–77.

    Article  PubMed  Google Scholar 

  8. Buchwald H, Oien DM. Metabolic/bariatric surgery worldwide 2008. Obes Surg. 2009;19:1605–11.

    Article  PubMed  Google Scholar 

  9. Lynch RJ, Eisenberg D, Bell RL. Metabolic consequences of bariatric surgery. J Clin Gastroenterol. 2006;40:659–68.

    Article  PubMed  Google Scholar 

  10. Choban PS, et al. A health status assessment of the impact of weight loss following Roux-en-Y gastric bypass for clinically severe obesity. J Am Coll Surg. 1999;188:491–7.

    CAS  Article  PubMed  Google Scholar 

  11. Obeid F, et al. Open Roux-en-Y gastric bypass in 925 patients without mortality. Am J Surg. 2005;189:352–6.

    Article  PubMed  Google Scholar 

  12. Araco A, et al. Postbariatric patients undergoing body-contouring abdominoplasty. Ann Plast Surg. 2009;62:613–7.

    CAS  Article  PubMed  Google Scholar 

  13. Neaman KC, Hansen JE. Analysis of complications from abdominoplasty. Ann Plast Surg. 2007;58:292–8.

    CAS  Article  PubMed  Google Scholar 

  14. Araco A, et al. Body contouring after weight loss: the plastic-bariatric surgery symbiosis. Aesthet Plast Surg. 2006;30:374–6.

    CAS  Article  Google Scholar 

  15. Borud LJ, Warren AG. Body contouring in the postbariatric surgery patients. J Am Coll Surg. 2006;203:82–93.

    Article  PubMed  Google Scholar 

  16. Knoetgen J III, Petry PM, Johnson CH. Plastic surgery after bariatric surgery and massive weight loss. Mayo Clin Proc. 2005;80:136.

    Article  PubMed  Google Scholar 

  17. Vastine VL, et al. Wound complications of abdominoplasty in obese patients. Ann Plast Surg. 1999;42:34–9.

    CAS  Article  PubMed  Google Scholar 

  18. Shermak MA, et al. An outcomes analysis of patients undergoing body contouring surgery after massive weight loss. Plast Reconstr Surg. 2006;118:1026–31.

    CAS  Article  PubMed  Google Scholar 

  19. Greco JA 3rd, et al. The effect of weight loss surgery and body mass index on wound complications after abdominal contouring operations. Ann Plast Surg. 2008;61:235–42.

    CAS  Article  PubMed  Google Scholar 

  20. Bloomberg RD, et al. Nutritional deficiencies following bariatric surgery: what have we learned? Obes Surg. 2000;15:145–54.

    Article  Google Scholar 

  21. Fujioka K. Follow-up of nutritional and metabolic problems after bariatric surgery. Diab Care. 2005;28:481–4.

    Article  Google Scholar 

  22. Slater GH, et al. Serum fat soluble vitamin deficiency and abnormal calcium metabolism after malabsorbitive bariatric surgery. J Gastrointest Surg. 2004;8:48–55.

    Article  PubMed  Google Scholar 

  23. Provenzale D, et al. Evidence for diminished B12 absorption after gastric bypass: oral supplementation does not prevent low plasma B12 levels. J Am Coll Nutr. 1992;11:29–35.

    CAS  PubMed  Google Scholar 

  24. Rhode BM, et al. Treatment of vitamin B12 deficiency after gastric surgery for severe obesity. Obes Surg. 1995;5:154–8.

    Article  PubMed  Google Scholar 

  25. Clements RH, et al. Incidence of vitamin deficiency after laparoscopic Roux-en-Y gastric bypass in a university hospital setting. Am Surg. 2006;72:1196.

    PubMed  Google Scholar 

  26. Rhode BM, et al. Iron absorption and therapy after gastric bypass. Obes Surg. 1999;9:17–21.

    CAS  Article  PubMed  Google Scholar 

  27. Xavier A, Lapointe-Gagne, Gagner M. Micronutrient deficiencies after laparoscopic gastric bypass and duodenal switch. A comparative study. Surg Obes Relat Dis. 2005;1:284–90.

    Google Scholar 

  28. Scopinaro N, et al. Biliopancreatic diversion. World J Surg. 1998;22:936–46.

    CAS  Article  PubMed  Google Scholar 

  29. Planas J. The “vest over pants” abdominoplasty. Plast Reconstr Surg. 1978;61:694–700.

    CAS  Article  PubMed  Google Scholar 

  30. Planas J, et al. Further advantages of the “vest over pants” abdominoplasty. Aesthet Plast Surg. 1988;12:123–7.

    CAS  Article  Google Scholar 

  31. Jorgensen LN, et al. Less collagen production in smokers. Surgery. 1998;123:450–5.

    CAS  PubMed  Google Scholar 

  32. Pearse AGE. Histochemistry, theoretical and applied. 2nd ed. Boston: Little Brown, 1960. p. 165–75, p. 582–3, p. 816, p. 820–1.

  33. Drury RAB, Wallington EA, Camerson R. Carleton's histological technique. 4th ed. Oxford: Oxford University Press; 1966.

    Google Scholar 

  34. Sorg H, et al. Consequences of surgical stress on the kinetics of skin wound healing: partial hepatectomy delays and functionally alters dermal repair. Wound Repair Regen. 2009;17:367–77.

    Article  PubMed  Google Scholar 

  35. Jorgensen LN, et al. Less collagen accumulation after major surgery. Br J Surg. 1996;83:1591–4.

    CAS  Article  PubMed  Google Scholar 

  36. Haydock DA, Hill GL. Impaired wound healing in surgical patients with varying degrees of malnutrition. JPEN J Parenter Enteral Nutr. 1986;10:550–4.

    CAS  Article  PubMed  Google Scholar 

  37. Windsor JA, Knight GS, Hill GL. Wound healing response in surgical patients: recent food intake is more important than nutritional status. Br J Surg. 1988;75:135–7.

    CAS  Article  PubMed  Google Scholar 

  38. Minstry D, et al. Quantitative analysis of collagen accumulation during protein malnutrition. J Pediatr Surg. 1994;29:863–5.

    Article  Google Scholar 

  39. Hartmann M, Jonsson K, Zederfeldt B. Effect of tissue perfusion and oxygenation on accumulation of collagen in healing wounds. Randomized study in patients after major abdominal operations. Eur J Surg. 1992;158:521–6.

    CAS  PubMed  Google Scholar 

  40. Hartmann M, Jonsson K, Zederfeldt B. Importance of dehydration in anastomotic and subcutaneous wound healing: an experimental study in rats. Eur J Surg. 1992;158:79–82.

    CAS  PubMed  Google Scholar 

  41. Goodson WH 3rd, et al. The influence of a brief preoperative illness on postoperative healing. Ann Surg. 1987;205:250–5.

    Article  PubMed  Google Scholar 

  42. Graf W, et al. The influence of early postoperative intraperitoneal chemotherapy on human wound healing. J Surg Res. 1994;57:394–400.

    CAS  Article  PubMed  Google Scholar 

  43. Wicke C, et al. Examination of expanded plytetrafluoroethylene wound healing models. Wound Repair Regen. 1995;3:284–91.

    CAS  Article  PubMed  Google Scholar 

  44. Black E, et al. Decrease of collagen deposition in wound repair in type 1 diabetes independent of glycemic control. Arch Surg. 2003;138:34–40.

    CAS  Article  PubMed  Google Scholar 

  45. Goodson WH III, et al. Chronic uremia does cause poor healing. Surg Forum. 1982;33:54–6.

    Google Scholar 

  46. Jorgensen LN, et al. Premenopausal woman deposit more collagen than men during healing of an experimental wound. Surgery. 2002;131:338–43.

    Article  PubMed  Google Scholar 

  47. Migliori F, et al. Body contouring after biliopancreatic diversion. Obes Surg. 2006;16:1638–44.

    Article  PubMed  Google Scholar 

  48. Light D, et al. Effect of weight loss after bariatric surgery on skin and the extracellular matrix. Plast Reconstr Surg. 2010;125:343–51.

    CAS  Article  PubMed  Google Scholar 

  49. Orpheu SC, et al. Collagen and elastic content of abdominal skin after surgical weight loss. Obes Surg. 2009. doi:10.1007/s11695-009-0019-0.

    Google Scholar 

  50. Agha-Mohammadi S, Hurvitz DJ. Nutritional deficiency of post-bariatric surgery body contouring patients: what every plastic surgeon should know. Plast Reconstr Surg. 2008;122:604–13.

    CAS  Article  PubMed  Google Scholar 

  51. Günel E, et al. Effect of antioxidants therapy on collagen synthesis in corrosive esophageal burns. Pediatr Surg Int. 2002;18:24–7.

    Article  PubMed  Google Scholar 

  52. Jenkins M, et al. Failure of topical steroids and vitamin E to reduce post-operative scar formation following reconstructive surgery. J Burn Care Rehabil. 1986;7:309.

    CAS  Article  PubMed  Google Scholar 

  53. Lee M. An investigation into the value of d, 1-alpha-tocopheryl acetate (vitamin E) in the treatment of gravitational ulcers. Br J Dermatol. 1953;65:131.

    CAS  Article  PubMed  Google Scholar 

  54. Tanaka H, et al. The effect of reactive oxygen species on the biosynthesis of collagen and glycosaminoglycans in cultured human dermal fibroblasts. Arch Dermatol Res. 1993;185:352.

    Article  Google Scholar 

  55. Menderes A, et al. Dermalipectomy for body contouring after bariatric surgery in Aegean region of Turkey. Obes Surg. 2003;13:637–41.

    Article  PubMed  Google Scholar 

  56. Nemerofsky RB, Oliak DA, Capella JF. Body lift: an account of 20 consecutive cases in the massive weight loss patient. Plast Reconstr Surg. 2006;117:414–30.

    CAS  Article  PubMed  Google Scholar 

  57. Larsen M, et al. Satisfaction and complications in post-bariatric surgery abdominoplasty patients. Acta Chir Plast. 2007;49:95–8.

    CAS  PubMed  Google Scholar 

Download references

Conflict of Interest

The authors declare that they have no conflict of interest.

Author information

Affiliations

Authors

Corresponding author

Correspondence to Marco D’Ettorre.

Rights and permissions

Reprints and Permissions

About this article

Cite this article

D’Ettorre, M., Gniuli, D., Iaconelli, A. et al. Wound Healing Process in Post-bariatric Patients: an Experimental Evaluation. OBES SURG 20, 1552–1558 (2010). https://doi.org/10.1007/s11695-010-0224-x

Download citation

  • Published:

  • Issue Date:

  • DOI: https://doi.org/10.1007/s11695-010-0224-x

Keywords

  • Obesity
  • Biliopancreatic diversion
  • Massive weight loss
  • Vest over pants abdominoplasty
  • Wound healing
  • Hydroxyproline
  • Multiple scar biopsies
  • Elastic fibers
  • Mechanical stress