Skip to main content

Functional neuroimaging of dressing-related skills

Abstract

Restoration of motor function following stroke involves reorganization of motor output through intact pathways, with compensatory brain activity likely variable by task. One class of motor tasks, those involved in self-care, is particularly important in stroke rehabilitation. Identifying the brain areas that are engaged in self-care and how they reorganize after stroke may enable development of more effective rehabilitation strategies. We piloted a paradigm for functional MRI assessment of self-care activity. In two groups, young adults and older adults, two self-care tasks (buttoning and zipping) produce activation similar to a bimanual tapping task, with bilateral activation of primary and secondary motor cortices, primary sensory cortex, and cerebellum. Quantitative differences include more activation of sensorimotor cortex and cerebellum in buttoning than bimanual tapping. Pilot subjects with stroke showed greater superior parietal activity across tasks than controls, potentially representing an increased need for sensorimotor integration to perform motor tasks.

This is a preview of subscription content, access via your institution.

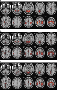
Fig. 1
Fig. 2
Fig. 3
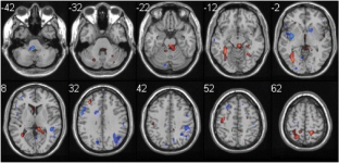
Fig. 4
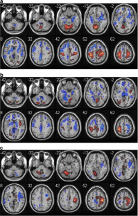
Fig. 5
Fig. 6

References

  • Alsop, D. C., Hatabu, H., Bonnet, M., Listerud, J., & Gefter, W. (1995). Multi-slice, breathhold imaging of the lung with submillisecond echo times. Magnetic Resonance in Medicine, 33, 678–682.

    PubMed  Article  CAS  Google Scholar 

  • Bernspang, B., Asplund, K., Eriksson, S., & Fugl-Meyer, A. R. (1987). Motor and perceptual impairments in acute stroke patients: effects on self-care ability. Stroke, 18, 1081–1086.

    PubMed  Article  CAS  Google Scholar 

  • Chollet, F., Di Piero, V., Wise, R. J. S., Brooks, D. J., Dolan, R. J., & Frackowiak, R. S. J. (1991). The functional anatomy of motor recovery after stroke in humans: a study with positron emission tomography. Annals of Neurology, 29, 63–71.

    PubMed  Article  CAS  Google Scholar 

  • Cramer, S. C., Benson, R. R., Burra, V. C., Himes, D., Crafton, K. R., Janowsky, J. S., Brown, J. A., & Lutsep, H. L. (2003). Mapping individual brains to guide restorative therapy after stroke: rationale and pilot studies. Neurological Research, 25, 811–814.

    PubMed  Article  Google Scholar 

  • Cunnington, R., Windischberger, C., Deecke, L., & Moser, E. (2002). The preparation and execution of self-initiated and externally-triggered movement: a study of event-related fMRI. NeuroImage, 15, 373–385.

    PubMed  Article  CAS  Google Scholar 

  • Fisher, A. G. (1993). The assessment of IADL motor skills: an application of many-faceted Rasch analysis. American Journal of Occupational Therapy, 47, 319–329.

    PubMed  Article  CAS  Google Scholar 

  • Friston, K. J., Holmes, A. P., Worsley, K. J., Poline, J. B., Heather, J. D., & Frackowiak, R. S. J. (1995). Statistical parametric maps in functional imaging: a general linear approach. Human Brain Mapping, 2, 189–210.

    Article  Google Scholar 

  • Gerloff, C., Bushara, K., Sailer, A., Wassermann, E. M., Chen, R., Matsuoka, T., Waldvogel, D., Wittenberg, G. F., Ishii, K., Cohen, L. G., & Hallett, M. (2006). Multimodal imaging of brain reorganization in motor areas of the contralesional hemisphere of well recovered patients after capsular stroke. Brain, 129, 791–808.

    PubMed  Article  Google Scholar 

  • Goble, D. J., Coxon, J. P., Van Impe, A., De Vos, J., Wenderoth, N., & Swinnen, S. P. (2010). The neural control of bimanual movements in the elderly: brain regions exhibiting age-related increases in activity, frequency-induced neural modulation, and task-specific compensatory recruitment. Human Brain Mapping, 31, 1281–1295.

    PubMed  Google Scholar 

  • Holmes, A., & Friston, K. (1998). Generalisability, random effects and population inference. NeuroImage, 7, S754.

    Google Scholar 

  • Johansen-Berg, H., Dawes, H., Guy, C., Smith, S. M., Wade, D. T., & Matthews, P. M. (2002). Correlation between motor improvements and altered fMRI activity after rehabilitative therapy. Brain, 125, 2731–2742.

    PubMed  Article  Google Scholar 

  • Maldjian, J. A., Schulder, M., Liu, W. C., Mun, I. K., Hirschorn, D., Murthy, R., Carmel, P., & Kalnin, A. (1997). Intraoperative functional MRI using a real-time neurosurgical navigation system. Journal of Computer Assisted Tomography, 21, 910–912.

    PubMed  Article  CAS  Google Scholar 

  • Maldjian, J. A., Laurienti, P. J., Kraft, R. A., & Burdette, J. H. (2003). An automated method for neuroanatomic and cytoarchitectonic atlas-based interrogation of fMRI data sets. NeuroImage, 19, 1233–1239.

    PubMed  Article  Google Scholar 

  • Marsden, J., & Greenwood, R. (2005). Physiotherapy after stroke: define, divide and conquer. Journal of Neurology, Neurosurgery & Psychiatry, 76, 465–466.

    Article  CAS  Google Scholar 

  • Penta, M., Tesio, L., Arnould, C., Zancan, A., & Thonnard, J. L. (2001). The ABILHAND questionnaire as a measure of manual ability in chronic stroke patients: Rasch-based validation and relationship to upper limb impairment. Stroke, 32, 1627–1634.

    PubMed  Article  CAS  Google Scholar 

  • Pomeroy, V. M., & Tallis, R. C. (2000). Need to focus research in stroke rehabilitation. Lancet, 355, 836–837.

    PubMed  Article  CAS  Google Scholar 

  • Roland, P. E., Meyer, E., Shibasaki, T., Yamamoto, Y. L., & Thompson, C. J. (1982). Regional cerebral blood flow changes in cortex and basal ganglia during voluntary movements in normal human volunteers. Journal of Neurophysiology, 48, 467–480.

    PubMed  CAS  Google Scholar 

  • Schaechter, J. D., & Perdue, K. L. (2008). Enhanced cortical activation in the contralesional hemisphere of chronic stroke patients in response to motor skill challenge. Cerebral Cortex, 18, 638–647.

    PubMed  Article  Google Scholar 

  • Shibasaki, H., Sadato, N., Lyshkow, H., Yonekura, Y., Honda, M., Nagamine, T., Suwazono, S., Magata, Y., Ikeda, A., Miyazaki, M., et al. (1993). Both primary motor cortex and supplementary motor area play an important role in complex finger movement. Brain, 116, 1387–1398.

    PubMed  Article  Google Scholar 

  • Sunderland, A., Bowers, M. P., Sluman, S. M., Wilcock, D. J., & Ardron, M. E. (1999). Impaired dexterity of the ipsilateral hand after stroke and the relationship to cognitive deficit. Stroke, 30, 949–955.

    PubMed  Article  CAS  Google Scholar 

  • Uswatte, G., Taub, E., Morris, D., Vignolo, M., & McCulloch, K. (2005). Reliability and validity of the upper-extremity motor activity log-14 for measuring real-world arm use. Stroke, 36, 2493–2496.

    PubMed  Article  Google Scholar 

  • van Heugten, C. M., Dekker, J., Deelman, B. G., van Dijk, A. J., Stehmann-Saris, J. C., & Kinebanian, A. (1998). Outcome of strategy training in stroke patients with apraxia: a phase II study. Clinical Rehabilitation, 12, 294–303.

    PubMed  Article  Google Scholar 

  • Weiller, C., Chollet, F., Friston, K. J., Ramsay, S. C., & Frackowiak, R. S. J. (1992). Functional reorganization of the brain in recovery from striatocapsular infarction in man. Annals of Neurology, 31, 463–472.

    PubMed  Article  CAS  Google Scholar 

  • Weiller, C., Ramsay, S. C., Wise, R. J. S., Friston, K. J., & Frackowiak, R. S. J. (1993). Individual patterns of functional reorganization in the human cerebral cortex after capsular infarction. Annals of Neurology, 33, 181–189.

    PubMed  Article  CAS  Google Scholar 

  • Wise, S. P., Boussaoud, D., Johnson, P. B., & Caminiti, R. (1997). Premotor and parietal cortex: corticocortical connectivity and combinatorial computations. Annual Review of Neuroscience, 20, 25–42.

    PubMed  Article  CAS  Google Scholar 

Download references

Acknowledgements

The authors acknowledge Robert Kraft, Paul Laurienti, Lumi Sawaki, and Todd Atwood for invaluable assistance. Dr. Wittenberg is now on Extended Educational Leave from his position as Staff Physician in the Geriatrics Research, Education and Clinical Center, VA Maryland Health Care System, and on sabbatical from his position as Associate Professor in Neurology at the University of Maryland, Baltimore, MD, U.S.A. He is currently a Senior Fellow at the Dept. of Kinesiology of KU Leuven, Belgium. Mr. Foster is a Principal Research Associate with Alnylam Pharmaceuticals in Cambridge, MA, USA, and Dr. Lovelace an Assistant Professor of Psychology at Shepherd University in Shepherdstown, WV, USA.

Grants

This work was funded by a Scientist Development Grant #0230258N to G.F.W. from the American Heart Association. Continued analysis was supported by the Geriatrics Research, Education and Clinical Center of the VA Maryland Health Care System and was completed while the G.F.W. was a Senior Fellow at KU Leuven.

Disclosures

The authors have nothing to disclose.

Author information

Affiliations

Authors

Corresponding author

Correspondence to George F. Wittenberg.

Rights and permissions

Reprints and Permissions

About this article

Cite this article

Wittenberg, G.F., Lovelace, C.T., Foster, D.J. et al. Functional neuroimaging of dressing-related skills. Brain Imaging and Behavior 8, 335–345 (2014). https://doi.org/10.1007/s11682-012-9204-1

Download citation

  • Published:

  • Issue Date:

  • DOI: https://doi.org/10.1007/s11682-012-9204-1

Keywords

  • Functional MRI
  • Rehabilitation
  • Motor systems
  • Stroke
  • Aging