Skip to main content

Hypertriglyceridemia-Induced Pancreatitis

CASE

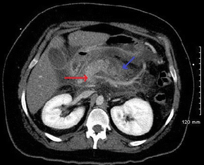
A 23-year-old woman with type 1 diabetes mellitus (hemoglobin A1c 12.7 %) presented with severe abdominal pain, hypotension and tachycardia. Blood glucose was 418 mg/dL, lipase was elevated to 1774 units/L and ionized calcium was 3.2 mg/dL. Her abdominal computed tomography (CT) scan demonstrated extensive necrotizing pancreatitis (Fig. 1). Serum triglyceride (TG) level was 4425 mg/dL. A diagnosis of hypertriglyceridemia-induced pancreatitis was made. After aggressive resuscitation, an insulin drip was initiated and she received a single plasmapheresis cycle, with removal of a thick milky ultrafiltrate (Fig. 2). Serum TG level fell to 484 mg/dL and she was discharged.

Figure 1
figure 1

CT of the abdomen demonstrating pancreatitis with patchy necrosis (red arrow) and peripancreatic edema and indistinct pancreatic borders (blue arrow).

Figure 2
figure 2

Milky ultrafiltrate obtained after a single cycle of plasmapheresis with drop in serum triglyceride levels from > 4000 mg/dL to < 500 mg/dL.

Hypertriglyceridemia is the third most common cause of acute pancreatitis after ethanol use and gallstones.1 The etiology should be suspected in obese, diabetic or hyperlipidemic patients. Risk of pancreatitis greatly increases with TG levels > 1000 mg/dL.2 The presentation and general management is similar to that of other causes of pancreatitis. Specific management strategies consist of plasmapheresis with removal of triglycerides in the ultrafiltrate, with early therapy associated with improved outcomes.3 Insulin and heparin therapy also reduce serum TG levels in the acute setting by altering lipid metabolism.3 Long-term oral hypolipidemic therapy and diet control are indicated to prevent recurrence.

REFERENCES

  1. Toskes PP. Hyperlipidemic pancreatitis. Gastroenterol Clin N Am. 1990;19:783–791.

    CAS  Google Scholar 

  2. Murphy MJ, Sheng X, MacDonald TM, Wei L. Hypertriglyceridemia and acute pancreatitis. JAMA Intern Med. 2013;173:162–164.

    Article  CAS  PubMed  Google Scholar 

  3. Sleth JC, Lafforgue E, Servais R, et al. A case of hypertriglycideremia-induced pancreatitis in pregnancy: value of heparin. Ann Fr Anesth Reanim. 2004;23:835–837.

    Article  CAS  PubMed  Google Scholar 

Download references

Acknowledgements

Conflicts of Interest

All authors have had access to all data in the study, read and approved submission of the letter, and the findings have not been presented previously in any conference or published in print or electronic format. There are no conflicts of interest to disclose.

Funding sources

There are no funding sources, internal or external.

Author information

Affiliations

Authors

Corresponding author

Correspondence to Arjun Gupta MD.

Rights and permissions

Reprints and Permissions

About this article

Verify currency and authenticity via CrossMark

Cite this article

Gupta, A., Wosik, J. & Philips, S. Hypertriglyceridemia-Induced Pancreatitis. J GEN INTERN MED 31, 252 (2016). https://doi.org/10.1007/s11606-015-3336-0

Download citation

  • Published:

  • Issue Date:

  • DOI: https://doi.org/10.1007/s11606-015-3336-0

KEY WORDS

  • hyperlipidemia
  • diabetes
  • clinical images