Skip to main content

Staphylococcus Lugdunensis Native Tricuspid Valve Endocarditis: a Case Report and Review of Literature

Abstract

Coagulase negative staphylococci are skin commensals and are generally disregarded as contaminants in clinical specimens. Repeated isolation of coagulase negative staphylococci in blood cultures should warrant a species identification to recognize unusually virulent organisms that demand aggressive treatment, such as Staphylococcus lugdunensis. Staphylococcus lugdunensis is known to cause a wide variety of infections, including a predominant left-sided endocarditis. We report a rare case of native tricuspid valve Staphylococcus lugdunensis endocarditis in a non-intravenous drug user and include a brief literature review.

This is a preview of subscription content, access via your institution.

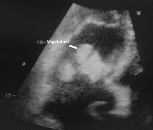
Figure 1
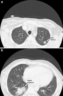
Figure 2

References

  1. Seifert H, Oltmanns D, Becker K, Wisplinghoff H, von Eiff C. Staphylococcus lugdunensis pacemaker-related infection. Emerg Infect Dis. 2005;11(8):1283–6.

    PubMed  Google Scholar 

  2. Hellbacher C, Törnqvist E, Söderquist B. Staphylococcus lugdunensis: clinical spectrum, antibiotic susceptibility, and phenotypic and genotypic patterns of 39 isolates. Clin Microbiol Infect. 2006;12(1):43–9.

    PubMed  Article  CAS  Google Scholar 

  3. Anguera I, Del Río A, Miró JM, Matínez-Lacasa X, Marco F, Gumá JR, Quaglio G, Claramonte X, Moreno A, Mestres CA, Mauri E, Azqueta M, Benito N, García-de la María C, Almela M, Jiménez-Expósito MJ, Sued O, De Lazzari E, Gatell JM, Hospital Clinic Endocarditis Study Group. Staphylococcus lugdunensis infective endocarditis: description of 10 cases and analysis of native valve, prosthetic valve, and pacemaker lead endocarditis clinical profiles. Heart. 2005;91(2):e10.

    PubMed  Article  CAS  Google Scholar 

  4. Tan TY, Ng SY, Ng WX. Clinical significance of coagulase-negative staphylococci recovered from nonsterile sites. J Clin Microbiol. 2006;44(9):3413–4.

    PubMed  Article  Google Scholar 

  5. Greig JM, Wood MJ. Staphylococcus lugdunensis vertebral osteomyelitis. Clin Microbiol Infect. 2003;9(11):1139–41.

    PubMed  Article  CAS  Google Scholar 

  6. Herchline TE, Ayers LW. Occurrence of Staphylococcus lugdunensis in consecutive clinical cultures and relationship of isolation to infection. J Clin Microbiol. 1991;29(3):419–21.

    PubMed  CAS  Google Scholar 

  7. Seenivasan MH, Yu VL. Staphylococcus lugdunensis Endocarditis—the hidden peril. Eur J Clin Microbiol Infect Dis. 2003;22(8):489–91.

    PubMed  Article  CAS  Google Scholar 

  8. Kim JH, Lee JY, Kim HR, Heo KW, Park SK, Lee JN, Yu SM, Shin JH. Acute lymphadenitis with cellulitis caused by Staphylococcus lugdunensis. Korean J Lab Med. 2008;28(3):196–200.

    PubMed  Article  Google Scholar 

  9. Chiquet C, Pechinot A, Creuzot-Garcher C, Benito Y, Croize J, Boisset S, Romanet JP, Lina G, Vandenesch F, French Institutional Endophthalmitis Study Group. Acute postoperative endophthalmitis caused by Staphylococcus lugdunensis. J Clin Microbiol. 2007;45(6):1673–8.

    PubMed  Article  CAS  Google Scholar 

  10. Spanu T, Rigante D, Tamburrini G, Fiori B, D’Inzeo T, Posteraro B, Policicchio D, Sanguinetti M, Fadda G. Ventriculitis due to Staphylococcus lugdunensis: two case reports. J Med Case Reports. 2008;11(2):267.

    Article  Google Scholar 

  11. Van Hoovels L, De Munter P, Colaert J, Surmont I, Van Wijngaerden E, Peetermans WE, Verhaegen J. Three cases of destructive native valve endocarditis caused by Staphylococcus lugdunensis. Eur J Clin Microbiol Infect Dis. 2005;24(2):149–52.

    PubMed  Article  Google Scholar 

  12. Zinkernagel AS, Zinkernagel MS, Elzi MV, Genoni M, Gubler J, Zbinden R, Mueller NJ. Significance of Staphylococcus lugdunensis bacteremia: Report of 28 cases and review of literature. Infection. 2008;36(4):314–21.

    PubMed  Article  CAS  Google Scholar 

  13. Takahashi N, Shimada T, Ishibashi Y, Yoshitomi H, Sugamori T, Sakane T, Sato H, Oyake N, Murakami Y. The pitfall of coagulase-negative staphylococci A case of Staphylococcus lugdunensis endocarditis. Int J Cardiol. 2009;137(1):e15–7.

    PubMed  Article  Google Scholar 

  14. Jung JJ, Yoo D, Law K, Wang YF, Higgins S. Recurrent Staphylococcus lugdunensis Infective Endocarditis and Review of the Literature. Infect Dis Clin Pract. 2010;18:16–22.

    Article  Google Scholar 

  15. Vandenesch F, Etienne J, Reverdy ME, Eykyn SJ. Endocarditis due to Staphylococcus lugdunensis: report of 11 cases and review. Clin Infect Dis. 1993;17(5):871–6.

    PubMed  Article  CAS  Google Scholar 

Download references

Acknowledgements

None.

Funding Sources

None.

Conflict of Interest

None disclosed.

Author information

Affiliations

Authors

Corresponding author

Correspondence to Ritesh Patil MD, MPH.

Rights and permissions

Reprints and Permissions

About this article

Cite this article

Patil, R., Patil, T. & Hussain, K.M.A. Staphylococcus Lugdunensis Native Tricuspid Valve Endocarditis: a Case Report and Review of Literature. J GEN INTERN MED 26, 1209 (2011). https://doi.org/10.1007/s11606-011-1718-5

Download citation

  • Received:

  • Revised:

  • Accepted:

  • Published:

  • DOI: https://doi.org/10.1007/s11606-011-1718-5

KEY WORDS

  • Staphylococcus lugdunensis
  • coagulase negative staphylococci
  • skin commensals
  • left-sided endocarditis