Skip to main content

Sclerosing Angiomatoid Nodular Transformation of the Spleen (SANT) with IgG4 Plasma Cells Infiltration

This is a preview of subscription content, access via your institution.

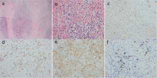
Fig. 1
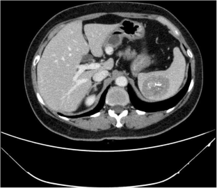
Fig. 2

References

  1. Jin YW, Gao W, Li FY, Cheng NS. Is Sclerosing Angiomatoid Nodular Transformation an IgG4-associated Sclerosing Disease?. Applied immunohistochemistry & molecular morphology : AIMM. 2018.

    Google Scholar 

  2. Martel M, Cheuk W, Lombardi L, Lifschitz-Mercer B, Chan JK, Rosai J. Sclerosing angiomatoid nodular transformation (SANT): report of 25 cases of a distinctive benign splenic lesion. The American journal of surgical pathology. 2004;28(10):1268–79.

    Article  PubMed  Google Scholar 

Download references

Acknowledgments

This work was supported by Applied Basic Research Project of Sichuan Province (2018JY0019).

Author information

Affiliations

Authors

Contributions

Jun-Ke Wang and Fei Su contributed to data acquisition and drafted the manuscript. Fu-Yu Li contributed to the study design and revised the manuscript. All authors read and approved the final manuscript.

Corresponding author

Correspondence to Fu-Yu Li.

Ethics declarations

Conflict of Interest

The authors declare that they have no conflict of interest.

Additional information

Publisher’s Note

Springer Nature remains neutral with regard to jurisdictional claims in published maps and institutional affiliations.

Rights and permissions

Reprints and Permissions

About this article

Verify currency and authenticity via CrossMark

Cite this article

Wang, JK., Su, F. & Li, FY. Sclerosing Angiomatoid Nodular Transformation of the Spleen (SANT) with IgG4 Plasma Cells Infiltration. J Gastrointest Surg 23, 1704–1705 (2019). https://doi.org/10.1007/s11605-018-4005-5

Download citation

  • Received:

  • Accepted:

  • Published:

  • Issue Date:

  • DOI: https://doi.org/10.1007/s11605-018-4005-5

Keywords

  • SANT
  • Spleen
  • IgG4