Skip to main content

Eradication of Missing Liver Metastases After Fiducial Placement

Abstract

Background

The risk of colorectal liver metastases (CLM) disappearing on cross-sectional imaging has increased with advances in preoperative chemotherapy, but <50 % of disappearing CLM demonstrate complete pathological response.

Objective

The aim of this study was to evaluate the role of fiducial marker placement before potentially curative treatment of CLM at risk of disappearing with chemotherapy.

Methods

All consecutive patients who underwent fiducial placement for tracking of CLM at a tertiary center were reviewed.

Results

Among 1377 patients undergoing CLM resection between 2005 and 2015, 35 patients underwent fiducial placement. Three patients were excluded due to disease progression. The study population comprised 32 patients who underwent fiducial placement in 41 CLM. Among the 41 marked CLM, 34 (83 %) were located >10 mm deep in the liver parenchyma, 25 (61 %) were in the right liver, and median size was 12 mm (range, 6–20 mm). No complication occurred after fiducial placement. After chemotherapy, 19 (46 %) of the 41 marked metastases disappeared on cross-sectional imaging. All fiducial-tracked CLM were treated with resection (n = 31) or ablation (n = 10). After median follow-up of 14 months (range, 0–64 months), no local recurrences were observed.

Conclusion

Fiducial placement represents a safe procedure that facilitates accurate localization for resection or ablation of small CLM at risk of disappearing with chemotherapy.

This is a preview of subscription content, access via your institution.

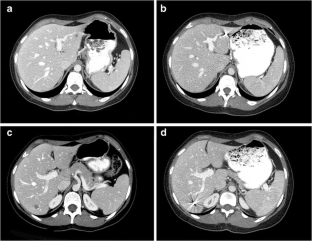
Fig. 1

References

  1. Nordlinger B, Sorbye H, Glimelius B, Poston GJ, Schlag PM, Rougier P, Bechstein WO, Primrose JN, Walpole ET, Finch-Jones M, Jaeck D, Mirza D, Parks RW, Mauer M, Tanis E, Van Cutsem E, Scheithauer W, Gruenberger T. Perioperative FOLFOX4 chemotherapy and surgery versus surgery alone for resectable liver metastases from colorectal cancer (EORTC 40983): long-term results of a randomised, controlled, phase 3 trial. Lancet Oncology 2013;14:1208-1215.

    CAS  Article  PubMed  Google Scholar 

  2. Blazer DG, Kishi Y, Maru DM, Kopetz S, Chun YS, Overman MJ, Fogelman D, Eng C, Chang DZ, Wang H, Zorzi D, Ribero D, Ellis LM, Glover KY, Wolff RA, Curley SA, Abdalla EK, Vauthey JN. Pathologic response to preoperative chemotherapy: a new outcome end point after resection of hepatic colorectal metastases. Journal of Clinical Oncology 2008;26:5344-5351.

    Article  PubMed  Google Scholar 

  3. Benoist S, Brouquet A, Penna C, Julie C, El Hajjam M, Chagnon S, Mitry E, Rougier P, Nordlinger B. Complete response of colorectal liver metastases after chemotherapy: does it mean cure? Journal of Clinical Oncology 2006;24:3939-3945.

    Article  PubMed  Google Scholar 

  4. Auer RC, White RR, Kemeny NE, Schwartz LH, Shia J, Blumgart LH, Dematteo RP, Fong Y, Jarnagin WR, D’Angelica MI. Predictors of a true complete response among disappearing liver metastases from colorectal cancer after chemotherapy. Cancer 2010;116:1502-1509.

    Article  PubMed  Google Scholar 

  5. Van Vledder MG, De Jong MC, Pawlik TM, Schulick RD, Diaz LA, Choti MA. Disappearing colorectal liver metastases after chemotherapy: should we be concerned? Journal of Gastrointestinal Surgery 2010;14:1691-1700.

    Article  PubMed  Google Scholar 

  6. Adams RB, Aloia TA, Loyer E, Pawlik TM, Taouli B, Vauthey JN. Selection for hepatic resection of colorectal liver metastases: expert consensus statement. HPB 2013;15:91-103.

    Article  PubMed  PubMed Central  Google Scholar 

  7. Zalinski S, Abdalla EK, Mahvash A, Vauthey JN. A marking technique for intraoperative localization of small liver metastases before systemic chemotherapy. Annals of Surgical Oncology 2009;16:1208-1211.

    Article  PubMed  Google Scholar 

  8. Charnsangavej C, Clary B, Fong Y, Grothey A, Pawlik TM, Choti MA. Selection of patients for resection of hepatic colorectal metastases: expert consensus statement. Annals of Surgical Oncology 2006;13:1261-1268.

    Article  PubMed  Google Scholar 

  9. Mise Y, Aloia TA, Brudvik KW, Schwarz L, Vauthey JN, Conrad C. Parenchymal-sparing hepatectomy in colorectal liver metastasis improves salvageability and survival. Annals of Surgery 2015; Epub.

  10. Brouquet A, Abdalla EK, Kopetz S, Garrett CR, Overman MJ, Eng C, Andreou A, Loyer EM, Madoff DC, Curley SA, Vauthey JN. High survival rate after two-stage resection of advanced colorectal liver metastases: response-based selection and complete resection define outcome. Journal of Clinical Oncology 2011;29:1083-1090.

    Article  PubMed  PubMed Central  Google Scholar 

  11. Evrard S, Poston G, Kissmeyer-Nielsen P, Diallo A, Desolneux G, Brouste V, Lalet C, Mortensen F, Stattner S, Fenwick S, Malik H, Konstantinidis I, DeMatteo R, D’Angelica M, Allen P, Jarnagin W, Mathoulin-Pelissier S, Fong Y. Combined ablation and resection (CARe) as an effective parenchymal sparing treatment for extensive colorectal liver metastases. PloS One 2014;9:e114404.

    Article  PubMed  PubMed Central  Google Scholar 

  12. Sturesson C, Nilsson J, Lindell G, Andersson RG, Keussen I. Disappearing liver metastases from colorectal cancer: impact of modern imaging modalities. HPB 2015;17:983-987.

    Article  PubMed  Google Scholar 

  13. Aoki T, Murakami M, Koizumi T, Kusano T, Fujimori A, Enami Y, Matsuda K, Goto S, Watanabe M, Otsuka K. Preoperative tattooing for precise and expedient localization of landmark in laparoscopic liver resection. Journal of the American College of Surgeons 2015;221:e97-e101.

    Article  PubMed  Google Scholar 

  14. Ntourakis D, Memeo R, Soler L, Marescaux J, Mutter D, Pessaux P. Augmented reality guidance for the resection of missing colorectal liver metastases: an initial experience. World Journal of Surgery 2015; Epub.

  15. Al Knawy B, Shiffman M. Percutaneous liver biopsy in clinical practice. Liver International 2007;27:1166-1173.

    Article  PubMed  Google Scholar 

  16. Hennessey H, Valenti D, Cabrera T, Panet-Raymond V, Roberge D. Cardiac embolization of an implanted fiducial marker for hepatic stereotactic body radiotherapy: a case report. Journal of Medical Case Reports 2009;3:140.

    Article  PubMed  PubMed Central  Google Scholar 

  17. Abdalla EK, Vauthey JN, Ellis LM, Ellis V, Pollock R, Broglio KR, Hess K, Curley SA. Recurrence and outcomes following hepatic resection, radiofrequency ablation, and combined resection/ablation for colorectal liver metastases. Annals of Surgery 2004;239:818-825.

    Article  PubMed  PubMed Central  Google Scholar 

Download references

Acknowledgments

This research was supported, in part, by the National Institutes of Health through MD Anderson Cancer Center’s Support Grant, CA016672. Dr. Passot was supported by the French Association of Surgery.

Author information

Affiliations

Authors

Corresponding author

Correspondence to Yun Shin Chun.

Ethics declarations

Ethics Approval

The Institutional Review Board of the University of Texas MD Anderson Cancer Center approved this retrospective study (PA15-0366).

Rights and permissions

Reprints and Permissions

About this article

Verify currency and authenticity via CrossMark

Cite this article

Passot, G., Odisio, B.C., Zorzi, D. et al. Eradication of Missing Liver Metastases After Fiducial Placement. J Gastrointest Surg 20, 1173–1178 (2016). https://doi.org/10.1007/s11605-016-3079-1

Download citation

  • Received:

  • Accepted:

  • Published:

  • Issue Date:

  • DOI: https://doi.org/10.1007/s11605-016-3079-1

Keywords

  • Fiducial
  • Disappearing liver metastases