Skip to main content

Hepatic Hydatid Cyst: A Rare Cause of Recurrent Pancreatitis

Abstract

A case of pancreatitis secondary to a hepatic hydatid cyst is illustrated together with its preoperative imaging and intraoperative appearance. Cystobiliary communication is a common complication of large hydatid cysts, and episodes of recurrent pancreatitis resulting from passage of cyst contents down the biliary tract are rarely described. The clinical manifestations, diagnostic workup, and surgical management options of echinococcal-related pancreatitis are discussed, and a review of the literature is provided.

This is a preview of subscription content, access via your institution.

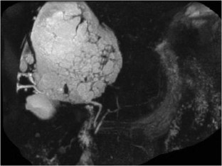
Fig. 1
Fig. 2

References

  1. Nunnari G, Pinzone MR, Gruttadauria S, Celesia BM, Madeddu G, Malaguarnera G, Pavone P, Cappellani A, Cacopardo B. Hepatic echinococcosis: clinical and therapeutic aspects. World J Gastroenterol 2012;18:1448–1458

    PubMed Central  Article  PubMed  Google Scholar 

  2. Ramia JM, Figueras J, De la Plaza R, García-Parreño J. Cysto-biliary communication in liver hydatidosis. Langenbecks Arch Surg 2012;397:881–887

    CAS  Article  PubMed  Google Scholar 

  3. Al-Toma AA, Vermeijden RJ, van de Wiel A. Acute pancreatitis complicating intrabiliary rupture of liver hydatid cyst. Eur J Intern Med 2004;15:65–67

    Article  PubMed  Google Scholar 

  4. Arifuddin R, Baichi M, Ullah A, Maliakkal B. Cystic echinococcus--a rare presentation of acute biliary obstruction and pancreatitis. J Clin Gastroenterol 2006;40:763–764

    Article  PubMed  Google Scholar 

  5. Aydin A, Ersöz G, Tekesin O, Mentes A. Hydatid acute pancreatitis: a rare complication of hydatid liver disease. Report of two cases. Eur J Gastroenterol Hepatol 1997;9:211–214

    CAS  Article  PubMed  Google Scholar 

  6. Chaudhary A, Upadhyaya AC, Kankanala VV, Kumar A, Joshi N, Kumar M, Harwani Y, Choudeswari RP. Intrabiliary rupture of hepatic hydatid cyst with impacted hydatid membranes at ampulla of Vater presenting as acute pancreatitis. Trop Gastroenterol 2013;34:43–44

    Article  PubMed  Google Scholar 

  7. Katsinelos P, Chatzimavroudis G, Fasoulas K, Kamperis E, Katsinelos T, Terzoudis S, Kokonis G, Patsis I. Acute pancreatitis caused by impaction of hydatid membranes in the papilla of Vater: a case report. Cases J 2009;2:7374

    PubMed Central  PubMed  Google Scholar 

  8. Sciumč C, Geraci G, Pisello F, Facella T, Vaglica R, Modica G. Acute pancreatitis during liver hydatidosis: treatment with ERCP and endoscopic sphincterotomy. Ann. Ital. Chir 2005;76:491–494

    Google Scholar 

  9. Wong LS, Braghirolli-Neto O, Xu M, Buckels JA, Mirza DF. Hydatid liver disease as a cause of recurrent pancreatitis. J R Coll Surg Edinb 1999;44:407–409

    CAS  PubMed  Google Scholar 

  10. Khoshbaten M, Farhang S, Hajavi N. Endoscopic retrograde cholangiography for intrabiliary rupture of hydatid cyst. Dig Endosc 2009;21:277–279

    Article  PubMed  Google Scholar 

  11. Bedirli A, Sakrak O, Sozuer EM, Kerek M, Ince O. Surgical management of spontaneous intrabiliary rupture of hydatid liver cysts. Surg Today 2002;32:594–597

    Article  PubMed  Google Scholar 

Download references

Author information

Affiliations

Authors

Corresponding author

Correspondence to Carlos Fernandez-del Castillo.

Rights and permissions

Reprints and Permissions

About this article

Verify currency and authenticity via CrossMark

Cite this article

Kitchens, W.H., Liu, C., Ryan, E.T. et al. Hepatic Hydatid Cyst: A Rare Cause of Recurrent Pancreatitis. J Gastrointest Surg 18, 2057–2059 (2014). https://doi.org/10.1007/s11605-014-2630-1

Download citation

  • Received:

  • Accepted:

  • Published:

  • Issue Date:

  • DOI: https://doi.org/10.1007/s11605-014-2630-1

Keywords

  • Pancreatitis
  • Hydatid cysts
  • Echinococcus