Skip to main content

Treatment of Acute Delayed Visceral Hemorrhage After Pancreatic Surgery From Hepatic Arteries with Covered Stents

Abstract

Background

Delayed visceral hemorrhage following pancreatic surgery is a rare but life-threatening complication. Usually hemorrhage originates from pseudoaneurysms secondary to pancreatic or biliary fistula. Re-laparotomy is often associated with high morbidity and mortality. Endovascular occlusion with metallic coils can stop pseudoaneurysmatic bleeding, but hepatic artery occlusion can result in severe organ damage. Interventional treatment with covered stents is an alternative providing persistent organ perfusion.

Results

In our department endovascular stenting for visceral hemorrhage was introduced in November 2008. From November 2008 until October 2009, 303 patients underwent pancreatic surgery at our institution. Among those, four patients were successfully treated with covered stents for delayed visceral hemorrhage. In all four patients bleeding originated from hepatic arteries. Mean onset of hemorrhage was 24 days after surgery. Endovascular stenting was successful in all four patients. None of these patients required re-operation or died during the study.

Conclusion

Treatment of delayed visceral hemorrhage from hepatic arteries after pancreatic surgery with covered stents is safe and effective. Endovascular stenting is associated with a lower morbidity than re-laparotomy or coil embolisation. Emergency angiography with endovascular stenting should be considered for all patients with delayed hemorrhage from hepatic arteries after pancreatic surgery.

This is a preview of subscription content, access via your institution.

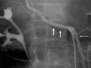
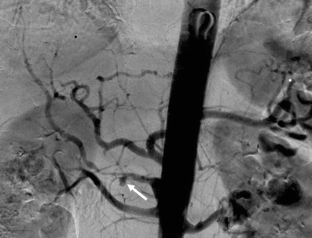
Fig. 1
Fig. 2
Fig. 3
Fig. 4

References

  1. Buchler MW, Friess H, Wagner M, et al.: Pancreatic fistula after pancreatic head resection. Br J Surg 2000;87:883-889.

    PubMed  Article  CAS  Google Scholar 

  2. Yeo CJ, Cameron JL, Lillemoe KD, et al.: Does prophylactic octreotide decrease the rates of pancreatic fistula and other complications after pancreaticoduodenectomy? Results of a prospective randomized placebo-controlled trial. Ann Surg 2000;232:419-429.

    PubMed  Article  CAS  Google Scholar 

  3. Takano S, Ito Y, Watanabe Y, et al.: Pancreaticojejunostomy versus pancreaticogastrostomy in reconstruction following pancreaticoduodenectomy. Br J Surg 2000;87:423-427.

    PubMed  Article  CAS  Google Scholar 

  4. Yeo CJ, Cameron JL, Sohn TA, et al.: Six hundred fifty consecutive pancreaticoduodenectomies in the 1990s: pathology, complications, and outcomes. Ann Surg 1997;226:248-257; discussion 257-260.

    PubMed  Article  CAS  Google Scholar 

  5. Miedema BW, Sarr MG, van Heerden JA, et al.: Complications following pancreaticoduodenectomy. Current management. Arch Surg 1992;127:945-949; discussion 949-950.

    PubMed  CAS  Google Scholar 

  6. Duffas JP, Suc B, Msika S, et al.: A controlled randomized multicenter trial of pancreatogastrostomy or pancreatojejunostomy after pancreatoduodenectomy. Am J Surg 2005;189:720-729.

    PubMed  Article  Google Scholar 

  7. Bassi C, Falconi M, Molinari E, et al.: Reconstruction by pancreaticojejunostomy versus pancreaticogastrostomy following pancreatectomy: results of a comparative study. Ann Surg 2005;242:767-771, discussion 771-763.

    PubMed  Article  Google Scholar 

  8. Wente MN, Veit JA, Bassi C, et al.: Postpancreatectomy hemorrhage (PPH): an International Study Group of Pancreatic Surgery (ISGPS) definition. Surgery 2007;142:20-25.

    PubMed  Article  Google Scholar 

  9. Heiss P, Bachthaler M, Hamer OW, et al.: Delayed visceral arterial hemorrhage following Whipple’s procedure: minimally invasive treatment with covered stents. Ann Surg Oncol 2008;15:824-832.

    PubMed  Article  Google Scholar 

  10. Pasklinsky G, Gasparis AP, Labropoulos N, et al.: Endovascular covered stenting for visceral artery pseudoaneurysm rupture: report of 2 cases and a summary of the disease process and treatment options. Vasc Endovascular Surg 2008;42:601-606.

    PubMed  Article  Google Scholar 

  11. Stoupis C, Ludwig K, Inderbitzin D, et al.: Stent grafting of acute hepatic artery bleeding following pancreatic head resection. Eur Radiol 2007;17:401-408.

    PubMed  Article  Google Scholar 

  12. Hankins D, Chao S, Dolmatch BL, Jeyarajah RD: Covered stents for late postoperative arterial hemorrhage after pancreaticoduodenectomy. J Vasc Interv Radiol 2009;20:407-409.

    PubMed  Article  Google Scholar 

  13. Sato N, Yamaguchi K, Shimizu S, et al.: Coil embolization of bleeding visceral pseudoaneurysms following pancreatectomy: the importance of early angiography. Arch Surg 1998;133:1099-1102.

    PubMed  Article  CAS  Google Scholar 

  14. Otah E, Cushin BJ, Rozenblit GN, et al.: Visceral artery pseudoaneurysms following pancreatoduodenectomy. Arch Surg 2002;137:55-59.

    PubMed  Article  Google Scholar 

  15. Beyer L, Bonmardion R, Marciano S, et al.: Results of non-operative therapy for delayed hemorrhage after pancreaticoduodenectomy. J Gastrointest Surg 2009;13:922-928.

    PubMed  Article  Google Scholar 

  16. Farley DR, Schwall G, Trede M: Completion pancreatectomy for surgical complications after pancreaticoduodenectomy. Br J Surg 1996;83:176-179.

    PubMed  Article  CAS  Google Scholar 

  17. van Berge Henegouwen MI, De Wit LT, Van Gulik TM, et al.: Incidence, risk factors, and treatment of pancreatic leakage after pancreaticoduodenectomy: drainage versus resection of the pancreatic remnant. J Am Coll Surg 1997;185:18-24.

    PubMed  Google Scholar 

  18. Duffy JP, Hong JC, Farmer DG, et al.: Vascular complications of orthotopic liver transplantation: experience in more than 4,200 patients. J Am Coll Surg 2009;208:896-903; discussion 903-895.

    PubMed  Article  Google Scholar 

  19. Stange BJ, Glanemann M, Nuessler NC, et al.: Hepatic artery thrombosis after adult liver transplantation. Liver Transpl 2003;9:612-620.

    PubMed  Article  Google Scholar 

  20. Makowiec F, Riediger H, Euringer W, et al.: Management of delayed visceral arterial bleeding after pancreatic head resection. J Gastrointest Surg 2005;9:1293-1299.

    PubMed  Article  Google Scholar 

  21. Gebauer T, Schulz HU, Tautenhahn J, et al.: [Interventional and vascular surgical management for inflammatory arrosion hemorrhage from visceral arteries following pancreatic surgery]. Chirurg 2004;75:1021-1028.

    PubMed  Article  CAS  Google Scholar 

  22. Herzog T, Belyaev O, Muller CA, et al.: Bacteribilia after preoperative bile duct stenting: a prospective study. J Clin Gastroenterol 2009;43:457-462.

    PubMed  Article  Google Scholar 

  23. Jah A, Jamieson N, Huguet E, Praseedom R: The implications of the presence of an aberrant right hepatic artery in patients undergoing a pancreaticoduodenectomy. Surg Today 2009;39:669-674.

    PubMed  Article  Google Scholar 

  24. Brodsky JT, Turnbull AD: Arterial hemorrhage after pancreatoduodenectomy. The ‘sentinel bleed’. Arch Surg 1991;126:1037-1040.

    PubMed  CAS  Google Scholar 

  25. Rami P, Williams D, Forauer A, Cwikiel W: Stent-graft treatment of patients with acute bleeding from hepatic artery branches. Cardiovasc Intervent Radiol 2005;28:153-158.

    PubMed  Article  Google Scholar 

Download references

Conflicts of Interest

No conflicts of interest are to be stated by the authors. All authors certify that they do not have any commercial association conflicting with the manuscript presented.

Author information

Affiliations

Authors

Corresponding author

Correspondence to Matthias H. Seelig.

Rights and permissions

Reprints and Permissions

About this article

Cite this article

Herzog, T., Suelberg, D., Belyaev, O. et al. Treatment of Acute Delayed Visceral Hemorrhage After Pancreatic Surgery From Hepatic Arteries with Covered Stents. J Gastrointest Surg 15, 496–502 (2011). https://doi.org/10.1007/s11605-010-1260-5

Download citation

  • Received:

  • Accepted:

  • Published:

  • Issue Date:

  • DOI: https://doi.org/10.1007/s11605-010-1260-5

Keywords

  • Hemorrhage
  • Hepatic artery
  • Interventional treatment
  • Covered stent
  • Pancreatic surgery