Skip to main content

Bridging stent placement through the superior vena cava to the inferior vena cava in a patient with malignant superior vena cava syndrome and an iodinated contrast material allergy

Abstract

Positioning is critical during the placement of superior vena cava (SVC) stents in patients with malignant SVC syndrome. Although SVC stents effectively relieve various symptoms of SVC syndrome, improper stent positioning may cause life-threatening complications such as migration that result in fatal cardiac failure. Here we describe a patient with an allergy to iodinated contrast material (ICM) who presented with SVC syndrome owing to mediastinal lymph node metastases from hepatocellular carcinoma, which was successfully treated with an SVC stent. Secure stent placement was achieved by bridging the stent through the SVC to the inferior vena cava with venography using carbon dioxide instead of ICM.

This is a preview of subscription content, access via your institution.

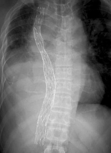
Fig. 1
Fig. 2
Fig. 3
Fig. 4

References

  1. Lanciego C, Pangua C, Chacon JI, Velasco J, Boy RC, Viana A, et al. Endovascular stenting as the first step in the overall management of malignant superior vena cava syndrome. AJR Am J Roentgenol. 2009;193:549–58.

    PubMed  Article  Google Scholar 

  2. Taylor JD, Lehmann ED, Belli AM, Nicholson AA, Kessel D, Robertson IR, et al. Strategies for the management of SVC stent migration into the right atrium. Cardiovasc Interv Radiol. 2007;30:1003–9.

    CAS  Article  Google Scholar 

  3. Nagata T, Makutani S, Uchida H, Kichikawa K, Maeda M, Yoshioka T, et al. Follow-up results of 71 patients undergoing metallic stent placement for the treatment of a malignant obstruction of the superior vena cava. Cardiovasc Interv Radiol. 2007;30:959–67.

    Article  Google Scholar 

  4. Yamagami T, Kato T, Hirota T, Yoshimatsu R, Matsumoto T, Nishimura T. Use of a pull-through technique at the time of port-catheter implantation in cases of celiac arterial stenosis. J Vasc Interv Radiol: JVIR. 2006;17:1839–44.

    PubMed  Article  Google Scholar 

  5. Martin M, Baumgartner I, Kolb M, Triller J, Dinkel HP. Fatal pericardial tamponade after Wallstent implantation for malignant superior vena cava syndrome. J Endovasc Ther. 2002;9:680–4.

    PubMed  Article  Google Scholar 

  6. Sato Y, Inaba Y, Yamaura H, Takaki H, Arai Y. Malignant inferior vena cava syndrome and congestive hepatic failure treated by venous stent placement. J Vasc Interv Radiol: JVIR. 2012;23:1377–80.

    PubMed  Article  Google Scholar 

  7. Thomsen HS. Nephrogenic systemic fibrosis: a serious late adverse reaction to gadodiamide. Eur Radiol. 2006;16:2619–21.

    PubMed Central  PubMed  Article  Google Scholar 

  8. Dondelinger RF, Goffette P, Kurdziel JC, Roche A. Expandable metal stents for stenoses of the vena cavae and large veins. Semin Interv Radiol. 1991;8:252–63.

    Article  Google Scholar 

  9. Oshima K, Takahashi T, Ishikawa S, Nagashima T, Hirai K, Morishita Y. Superior vena cava rupture caused during balloon dilation for treatment of SVC syndrome due to repetitive catheter ablation—a case report. Angiology. 2006;57:247–9.

    PubMed  Article  Google Scholar 

  10. Singla V, Patra S, Patil S, Ramalingam R. Accura balloon rupture during percutaneous trans-septal mitral commissurotomy: a rare and potentially fatal complication. BMJ Case Rep. 2013. doi:10.1136/bcr-2013-009819.

    Google Scholar 

Download references

Acknowledgments

We received no grant for our report.

Conflict of interest

We have nothing to disclose.

Author information

Affiliations

Authors

Corresponding author

Correspondence to Daisuke Okamoto.

About this article

Verify currency and authenticity via CrossMark

Cite this article

Okamoto, D., Takeuchi, Y., Arai, Y. et al. Bridging stent placement through the superior vena cava to the inferior vena cava in a patient with malignant superior vena cava syndrome and an iodinated contrast material allergy. Jpn J Radiol 32, 496–499 (2014). https://doi.org/10.1007/s11604-014-0324-y

Download citation

  • Received:

  • Accepted:

  • Published:

  • Issue Date:

  • DOI: https://doi.org/10.1007/s11604-014-0324-y

Keywords

  • Malignant superior vena cava syndrome
  • Iodinated contrast material allergy
  • Bridging stent
  • Tandem
  • Carbon dioxide digital subtraction venography