Skip to main content

Congenital lung abnormalities: a pictorial review of imaging findings

Abstract

Congenital lung malformations (CLM) comprise a broad spectrum of maldevelopment that spans a continuum of maldevelopment involving parenchyma, bronchi, and vasculature. They may present as respiratory symptoms at birth and can be the source of morbidity and mortality. Early diagnosis is important for adequate therapy to prevent complications, such as recurrent infections, or to help normal lung development. Prenatal diagnosis of CLM using ultrasound (US) and magnetic resonance imaging (MRI) has increased, but chest radiography and computed tomography (CT) still play important roles in making diagnosis. This article reviews the clinical and radiographic features of various CLM.

This is a preview of subscription content, access via your institution.

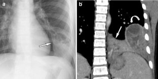
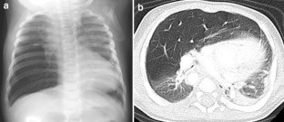
Fig. 1
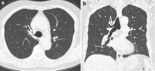
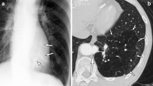
Fig. 2
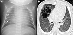
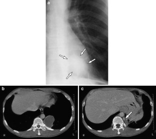
Fig. 3
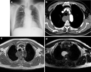
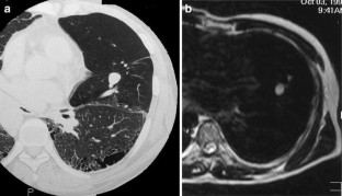
Fig. 4
Fig. 5
Fig. 6
Fig. 7
Fig. 8
Fig. 9
Fig. 10
Fig. 11
Fig. 12
Fig. 13

References

  1. Panicek DM, Heitzman ER, Randall PA, et al. The continuum of pulmonary developmental anomalies. Radiographics. 1987;7:747–72.

    PubMed  CAS  Google Scholar 

  2. Zylak CJ, Eyler WR, Spizarny DL, Stone CH. Developmental lung anomalies in the adult: radiologic–pathologic correlation. Radiographics 2002;22 Spec No:S25–43.

    Google Scholar 

  3. Lee EY, Boiselle PM, Cleveland RH. Multidetector CT evaluation of congenital lung anomalies. Radiology. 2008;247:632–48.

    PubMed  Article  Google Scholar 

  4. Ghaye B, Szapiro D, Fanchamps JM, Dondelinger RF. Congenital bronchial abnormalities revisited. Radiographics. 2001;21:105–19.

    PubMed  CAS  Google Scholar 

  5. Evans JA. Aberrant bronchi and cardiovascular anomalies. Am J Med Genet. 1990;35:46–54.

    PubMed  Article  CAS  Google Scholar 

  6. Berrocal T, Madrid C, Novo S, Gutierrez J, Arjonilla A, Gomez-Leon N. Congenital anomalies of the tracheobronchial tree, lung, and mediastinum: embryology, radiology, and pathology. Radiographics. 2004;24:e17.

    PubMed  Article  Google Scholar 

  7. Ming Z, Lin Z. Evaluation of tracheal bronchus in Chinese children using multidetector CT. Pediatr Radiol. 2007;37:1230–4.

    PubMed  Article  Google Scholar 

  8. Shipley RT, McLoud TC, Dedrick CG, Shepard JA. Computed tomography of the tracheal bronchus. J Comput Assist Tomogr. 1985;9:53–5.

    PubMed  Article  CAS  Google Scholar 

  9. Matsushima H, Takayanagi N, Satoh M, et al. Congenital bronchial atresia: radiologic findings in nine patients. J Comput Assist Tomogr. 2002;26:860–4.

    PubMed  Article  Google Scholar 

  10. McAdams HP, Kirejczyk WM, Rosado-de-Christenson ML, Matsumoto S. Bronchogenic cyst: imaging features with clinical and histopathologic correlation. Radiology. 2000;217:441–6.

    PubMed  CAS  Google Scholar 

  11. Corbett HJ, Humphrey GM. Pulmonary sequestration. Paediatr Respir Rev. 2004;5:59–68.

    PubMed  Article  Google Scholar 

  12. Stocker JT. Congenital pulmonary airway malformation: a new name for and an expanded classification of congenital cystic adenomatoid malformation of the lung. Histopathology. 2002;41:424–30.

    Article  Google Scholar 

  13. Cleveland RH, Weber B. Retained fetal lung liquid in congenital lobar emphysema: a possible predictor of polyalveolar lobe. Pediatr Radiol. 1993;23:291–5.

    PubMed  Article  CAS  Google Scholar 

  14. Ashizawa K, Ishida Y, Matsunaga N, Otsuji H, Sakamoto I, Hayashi K. Anomalous systemic arterial supply to normal basal segments of left lower lobe: characteristic imaging findings. J Comput Assist Tomogr. 2001;25:764–9.

    PubMed  Article  CAS  Google Scholar 

  15. Leithiser RE, Capitanio MA, Macpherson RI, Wood BP. “Communicating” bronchopulmonary foregut malformations. AJR Am J Roentgenol. 1986;146:227–31.

    PubMed  Google Scholar 

  16. White RI, Mitchell SE, Barth KH, et al. Angioarchitecture of pulmonary arteriovenous malformations: an important consideration before embolotherapy. AJR Am J Roentgenol. 1983;140:681–6.

    PubMed  Google Scholar 

Download references

Acknowledgments

The authors express their gratitude to Shuhei Inoue, MD, Director and Chief of Department of Thoracic Surgery, National Hospital Organization Shiga Hospital, for his provision of the imaging data of Fig. 3 in this manuscript.

Author information

Affiliations

Authors

Corresponding author

Correspondence to Masashi Takahashi.

About this article

Cite this article

Watarai, F., Takahashi, M., Hosoya, T. et al. Congenital lung abnormalities: a pictorial review of imaging findings. Jpn J Radiol 30, 787–797 (2012). https://doi.org/10.1007/s11604-012-0132-1

Download citation

  • Received:

  • Accepted:

  • Published:

  • Issue Date:

  • DOI: https://doi.org/10.1007/s11604-012-0132-1

Keywords

  • Congenital lung malformations
  • Computed tomography
  • Chest radiograph