Skip to main content

Where is the most common site of DVT? Evaluation by CT venography

Abstract

Purpose

Our aim was to clarify the common site of deep venous thrombosis (DVT) in patients suspected of having pulmonary embolism using computed tomography pulmonary angiography with computed tomography venography (CTV).

Materials and methods

We evaluated 215 patients. For all studies, 100 ml of 370 mg I/ml nonionic contrast material was administered. CTV were scanned with helical acquisition starting at 3 min in four-slice multidetector-row computed tomography (MDCT) or 5 min in 64-MDCT after the start of contrast material injection. The site of DVT was divided into iliac vein, femoral vein, popliteal vein, or calf vein. Calf vein was divided into muscular (soleal and gastrocnemius) and nonmuscular (anterior/posterior tibial and peroneal) veins. The 2 × 2 chi-square test was used.

Results

One hundred and thirty-seven patients showed DVT; the muscular calf vein was more prevalent than other veins (P < 0.01).

Conclusions

Our study showed that the most common site of DVT was the muscular calf vein.

This is a preview of subscription content, access via your institution.

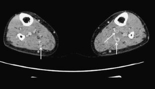
Fig. 1

References

  1. White RH, McGahan JP, Dashbach MM, Hartling RP. Diagnosis of deep vein thrombosis using duplex ultrasound. Ann Intern Med. 1989;111:297–304.

    PubMed  CAS  Google Scholar 

  2. Prandoni P, Lensing AW, Buller HR, Cogo A, Prins MH, Cattelan AM, et al. Deep-vein thrombosis and the incidence of subsequent symptomatic cancer. N Engl J Med. 1992;327:1128–33.

    PubMed  CAS  Article  Google Scholar 

  3. Rence A, Emmerich J, Guedj C, Fiessinger JN. Occult cancer in patients with bilateral deep vein thrombosis. Lancet. 1997;350:1448–9.

    Article  Google Scholar 

  4. Bura A, Cailleux N, Bienvenu B, Léger P, Bissery A, Boccalon H, et al. Incidence and prognosis of cancer associated with bilateral venous thrombosis: a prospective study of 103 patients. J Thromb Haemost. 2004;2:441–4.

    PubMed  CAS  Article  Google Scholar 

  5. Pennell RC, Mantese VA, Westfall SG. Duplex scan for deep vein thrombosis—defining who needs an examination of the contralateral asymptomatic leg. J Vasc Surg. 2008;48:413–6.

    PubMed  Article  Google Scholar 

  6. Loud PA, Katz DS, Bruce DA, Klippenstein DL, Grossman ZD. Deep venous thrombosis with suspected pulmonary embolism: detection with combined CT venography and pulmonary angiography. Radiology. 2001;219:498–502.

    PubMed  CAS  Google Scholar 

  7. Stein PD, Fowler SE, Goodman LR, Gottschalk A, Hales CA, Hull RD, et al. Multidetector computed tomography for acute pulmonary embolism. N Engl J Med. 2006;354:2317–27.

    PubMed  CAS  Article  Google Scholar 

  8. Loud PA, Grossman ZD, Ray KCE. Combined CT venography and pulmonary angiography: a new diagnostic technique for suspected thromboembolic disease. AJR. 1998;170:951–4.

    PubMed  CAS  Google Scholar 

  9. Mattos MA, Melendres G, Sumner DS, Hood DB, Barkmeier LD, Hodgson KJ, et al. Prevalence and distribution of calf vein thrombosis in patients with symptomatic deep venous thrombosis: a color-flow duplex study. J Vasc Surg. 1996;24:738–44.

    PubMed  CAS  Article  Google Scholar 

  10. Kakkar VV, Howe CT, Flan C, Clarke MB. Natural history of post-operative deep vein thrombosis. Lancet. 1969;2:230–2.

    PubMed  CAS  Article  Google Scholar 

  11. Stein PD, Fowler SE, Goodman LR, Gottschalk A, Hales CA, Hull RD, et al. Multidetector computed tomography for acute pulmonary embolism. N Engl J Med. 2006;354:2317–27.

    PubMed  CAS  Article  Google Scholar 

  12. Philbrick JT, Becker DM. Calf deep venous thrombosis: a wolf in sheep’s clothing? Arch Intern Med. 1988;148:2131–8.

    PubMed  CAS  Article  Google Scholar 

  13. Labropoulos N, Webb KM, Kang SS, Mansour MA, Filliung DR, Size GP, et al. Patterns and distribution of isolated calf deep vein thrombosis. J Vasc Surg. 1999;30:787–91.

    PubMed  CAS  Article  Google Scholar 

  14. Lautz TB, Abbas F, Walsh SJN, Chow C, Amaranto DJ, Wang E, et al. Isolated gastrocnemius and soleal vein thrombosis: should these patients receive therapeutic anticoagulation? Ann Surg. 2009;251:735–42.

    Article  Google Scholar 

  15. Ro A, Kageyama N, Tanifuji T, Fukunaga T. Pulmonary thromboembolism: overview and update from medicolegal aspects. Leg Med. 2008;10:57–71.

    Article  Google Scholar 

  16. Ro A, Kageyama N, Tanifuji T, Kobayashi M, Takada A, Saito K, et al. Histopathological study of pulmonary arteries in 14 autopsy cases with massive pulmonary thromboembolism. Leg Med. 2003;5:315–7.

    Article  Google Scholar 

  17. Ohgi S, Tachibana M, Ikebuchi M, Kanaoka Y, Maeda T, Mori T. Pulmonary embolism in patients with isolated soleal vein thrombosis. Angiology. 1998;49:759–64.

    PubMed  CAS  Article  Google Scholar 

  18. Loud PA, Katz DS, Klipoenstein DL, Shah RD, Grossman ZD. Combined CT venography and pulmonary angiography in suspected thromboembolic disease: diagnostic accuracy for deep venous evaluation. Am J Roentgenol. 2000;174:61–5.

    CAS  Google Scholar 

  19. Cham MD, Yankelvitz DF, Shaham D, Sherman L, Lewis A, Rademaker J, et al. Deep venous thrombosis: detection by using indirect CT venography. The pulmonary angiography-indirect CT venography cooperative group. Radiology. 2000;216:744–51.

    PubMed  CAS  Google Scholar 

  20. Rubin BG, Reilly JM, Sicard GA, Botney MD. Care of patients with deep venous thrombosis in an academic medical center: limitations and lessons. J Vasc Surg. 1994;20:698–704.

    PubMed  CAS  Article  Google Scholar 

  21. Patterson RB, Fowl RJ, Keller JD, Schomaker W, Kempczinski RF. The limitations of impedance plethysmography in the diagnosis of acute deep venous thrombosis. J Vasc Surg. 1989;9:725–30.

    PubMed  CAS  Google Scholar 

  22. Markel A, Manzo RA, Bergelin RO, Strandness DE Jr. Pattern and distribution of thrombi in acute venous thrombosis. Arch Surg. 1992;127:305–9.

    PubMed  CAS  Article  Google Scholar 

  23. Winkler JL, Lohr JM, Lutter KS, Spirtoff K, Cranley JJ. Lower extremity venous duplex imaging of asymptomatic patients: our one-year experience. J Vasc Technol. 1992;16:167–71.

    Google Scholar 

  24. Lohr JM, Hasselfield KA, Byrne MP, Deshmukh RM, Cranley JJ. Does the asymptomatic limb harbor deep venous thrombosis? Am J Surg. 1994;168:184–7.

    PubMed  CAS  Article  Google Scholar 

  25. Scurr JH, Machin SJ, Bailey-King S, Mackie IJ, Macdonald S, Smith PD. Frequency and prevention of symptomless deep-vein thrombosis in long-haul flights: a randomized trial. Lancet. 2001;357:1485–9.

    PubMed  CAS  Article  Google Scholar 

Download references

Author information

Affiliations

Authors

Corresponding author

Correspondence to Norihiko Yoshimura.

About this article

Cite this article

Yoshimura, N., Hori, Y., Horii, Y. et al. Where is the most common site of DVT? Evaluation by CT venography. Jpn J Radiol 30, 393–397 (2012). https://doi.org/10.1007/s11604-012-0059-6

Download citation

  • Received:

  • Accepted:

  • Published:

  • Issue Date:

  • DOI: https://doi.org/10.1007/s11604-012-0059-6

Keywords

  • DVT
  • Muscular calf vein
  • CT venography