Skip to main content

Artificial intelligence in detection and segmentation of internal auditory canal and its nerves using deep learning techniques

Abstract

Purpose

Artificial intelligence (AI) in medical imaging is a burgeoning topic that involves the interpretation of complex image structures. The recent advancements in deep learning techniques increase the computational powers to extract vital features without human intervention. The automatic detection and segmentation of subtle tissue such as the internal auditory canal (IAC) and its nerves is a challenging task, and it can be improved using deep learning techniques.

Methods

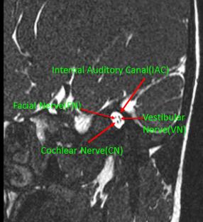
The main scope of this research is to present an automatic method to detect and segment the IAC and its nerves like the facial nerve, cochlear nerve, inferior vestibular nerve, and superior vestibular nerve. To address this issue, we propose a Mask R-CNN approach driven with U-net to detect and segment the IAC and its nerves. The Mask R-CNN with its backbone network of the RESNET50 model learns a background-based localization policy to produce an actual bounding box of the IAC. Furthermore, the U-net segments the structure related information of IAC and its nerves by learning its features.

Results

The proposed method was experimented on clinical datasets of 50 different patients including adults and children. The localization of IAC using Mask R-CNN was evaluated using Intersection of Union (IoU), and segmentation of IAC and its nerves was evaluated using Dice similarity coefficient.

Conclusions

The localization result shows that mean IoU of RESNET50, RESNET101 are 0.79 and 0.74, respectively. The Dice similarity coefficient of IAC and its nerves using region growing, PSO and U-net method scored 92%, 94%, and 96%, respectively. The result shows that the proposed method outperform better in localization and segmentation of IAC and its nerves. Thus, AI aids the radiologists in making the right decisions as the localization and segmentation of IAC is accurate.

This is a preview of subscription content, access via your institution.

Fig. 1
Fig. 2
Fig. 3
Fig. 4
Fig. 5
Fig. 6
Fig. 7
Fig. 8
Fig. 9

References

  1. Jeevakala S, Therese AB, Rangasami R (2018) A novel segmentation of cochlear nerve using region growing algorithm. Biomed Signal Process Control 39:117–129

    Article  Google Scholar 

  2. Ergen B, Baykara M, Polat C (2014) An investigation on magnetic imaging findings of the inner ear: a relationship between the internal auditory canal, its nerves and benign paroxysmal positional vertigo. Biomed Signal Process Control 9:14–18

    Article  Google Scholar 

  3. Jeevakala S, Therese AB (2018) Segmentation of cochlear nerve based on particle swarm optimization method. In: Nandi AK, Sujatha N, Menaka R, Alex JSR (eds) Computational signal processing and analysis. Springer, Singapore, pp 203–210

    Chapter  Google Scholar 

  4. Girshick R (2015) Fast R-CNN. In: Proceedings of the IEEE international conference on computer vision, pp 1440–1448

  5. Baumgartner CF, Kamnitsas K, Matthew J, Smith S, Kainz B, Rueckert D (2016) Real-time standard scan plane detection and localisation in fetal ultrasound using fully convolutional neural networks. In: International conference on medical image computing and computer-assisted intervention. Springer, Cham, pp 203–211

  6. Baumgartner CF, Kamnitsas K, Matthew J, Fletcher TP, Smith S, Koch LM, Rueckert D (2017) SonoNet: real-time detection and localisation of fetal standard scan planes in freehand ultrasound. IEEE Trans Med Imaging 36(11):2204–2215

    Article  PubMed Central  Google Scholar 

  7. Chen H, Ni D, Yang X, Li S, Heng PA (2014) Fetal abdominal standard plane localization through representation learning with knowledge transfer. In: International workshop on machine learning in medical imaging. Springer, Cham, pp 125–132

  8. Chen H, Wu L, Dou Q, Qin J, Li S, Cheng JZ, Heng PA (2017) Ultrasound standard plane detection using a composite neural network framework. IEEE Trans Cybernet 47(6):1576–1586

    Article  Google Scholar 

  9. Dezaki FT, Dhungel N, Abdi AH, Luong C, Tsang T, Jue J, Abolmaesumi P (2017) Deep residual recurrent neural networks for characterisation of cardiac cycle phase from echocardiograms. In: Cardoso J, Arbel T, Carneiro G, Syeda-Mahmood T, Tavares JMRS, Moradi M, Bradley A, Greenspan H, Papa JP, Madabushi A, Nascimento JC, Cardoso JS, Belagiannis V, Lu Z (eds) Deep learning in medical image analysis and multimodal learning for clinical decision support. Springer, Cham, pp 100–108

    Chapter  Google Scholar 

  10. Sofka M, Milletari F, Jia J, Rothberg A (2017) Fully convolutional regression network for accurate detection of measurement points. In: Cardoso J, Arbel T, Carneiro G, Syeda-Mahmood T, Tavares JMRS, Moradi M, Bradley A, Greenspan H, Papa JP, Madabushi A, Nascimento JC, Cardoso JS, Belagiannis V, Lu Z (eds) Deep learning in medical image analysis and multimodal learning for clinical decision support. Springer, Cham, pp 258–266

    Chapter  Google Scholar 

  11. Ghesu FC, Georgescu B, Mansi T, Neumann D, Hornegger J, Comaniciu D (2016) An artificial agent for anatomical landmark detection in medical images. In: International conference on medical image computing and computer-assisted intervention. Springer, Cham, pp 229–237

  12. Ngo TA, Lu Z, Carneiro G (2017) Combining deep learning and level set for the automated segmentation of the left ventricle of the heart from cardiac cine magnetic resonance. Med Image Anal 35:159–171

    Article  PubMed Central  Google Scholar 

  13. Ma Y, Wang L, Ma Y, Dong M, Du S, Sun X (2016) An SPCNN-GVF-based approach for the automatic segmentation of left ventricle in cardiac cine MR images. Int J Comput Assisted Radiol Surg 11(11):1951–1964

    Article  Google Scholar 

  14. Kompella G, Antico M, Sasazawa F, Jeevakala S, Ram K, Fontanarosa D, Sivaprakasam M (2019) Segmentation of femoral cartilage from knee ultrasound images using mask R-CNN. In: 2019 41st annual international conference of the IEEE engineering in medicine and biology society (EMBC). IEEE, pp 966–969

  15. Ronneberger O, Fischer P, Brox T (2015) U-net: convolutional networks for biomedical image segmentation. In: International Conference on Medical image computing and computer-assisted intervention. Springer, Cham, pp 234–241

  16. Lian S, Luo Z, Zhong Z, Lin X, Su S, Li S (2018) Attention guided U-Net for accurate iris segmentation. J Vis Commun Image Represent 56:296–304

    Article  Google Scholar 

  17. Tong G, Li Y, Chen H, Zhang Q, Jiang H (2018) Improved U-NET network for pulmonary nodules segmentation. Optik 174:460–469

    Article  Google Scholar 

  18. He K, Gkioxari G, Dollir P, Girshick R (2017) Mask R-CNN. In: Proceedings of the IEEE international conference on computer vision, pp 2961–2969

  19. Meijering EH, Niessen WJ, Viergever MA (2001) Quantitative evaluation of convolution-based methods for medical image interpolation. Med Image Anal 5(2):111–126

    CAS  Article  PubMed Central  Google Scholar 

Download references

Acknowledgements

The authors would like to thank the Sri Ramachandra Institute for Higher Education and Research, Chennai, India for providing clinical information of the MR images.

Funding

This research work is not funded by any grant commission.

Author information

Affiliations

Authors

Corresponding author

Correspondence to S. Jeevakala.

Ethics declarations

Conflict of interest

S. Jeevakala, C. Sreelakshmi, Keerthi Ram, Rajeswaram Rangasami and Mohanasankar Sivaprakasam declare that they have no conflict of interest.

Ethical approval

This article does not contain any studies with human participants performed by any of the authors.

Informed consent

The authors declare that this report does no longer incorporate any personal information that would cause the identity of the patient(s).

Additional information

Publisher's Note

Springer Nature remains neutral with regard to jurisdictional claims in published maps and institutional affiliations.

Rights and permissions

Reprints and Permissions

About this article

Verify currency and authenticity via CrossMark

Cite this article

Jeevakala, S., Sreelakshmi, C., Ram, K. et al. Artificial intelligence in detection and segmentation of internal auditory canal and its nerves using deep learning techniques. Int J CARS 15, 1859–1867 (2020). https://doi.org/10.1007/s11548-020-02237-5

Download citation

  • Received:

  • Accepted:

  • Published:

  • Issue Date:

  • DOI: https://doi.org/10.1007/s11548-020-02237-5

Keywords

  • Mask R-CNN
  • U-net
  • Localization
  • Segmentation
  • Internal auditory canal