Skip to main content

An algorithm for noise correction of dual-energy computed tomography material density images

Abstract

Purpose

Dual-energy computed tomography (DECT) images can undergo a two-material decomposition process which results in two images containing material density information. Material density images obtained by that process result in images with increased pixel noise. Noise reduction in those images is desirable in order to improve image quality.

Methods

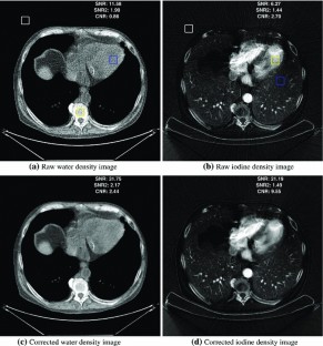
A noise reduction algorithm for material density images was developed and tested. A three-level wavelet approach combined with the application of an anisotropic diffusion filter was used. During each level, the resulting noise maps are further processed, until the original resolution is reached and the final noise maps obtained. Our method works in image space and, therefore, can be applied to any type of material density images obtained from any DECT vendor. A quantitative evaluation of the noise-reduced images using the signal-to-noise ratio (SNR), contrast-to-noise ratio (CNR) and 2D noise power spectrum was done to quantify the improvements.

Results

The noise reduction algorithm was applied to a set of images resulting in images with higher SNR and CNR than the raw density images obtained by the decomposition process. The average improvement in terms of SNR gain was about 49 % while CNR gain was about 52 %. The difference between the raw and filtered regions of interest mean values was far from reaching statistical significance (minimum \(p> 0.89\), average \(p> 0.97\)).

Conclusion

We have demonstrated through a series of quantitative analyses that our novel noise reduction algorithm improves the image quality of DECT material density images.

This is a preview of subscription content, access via your institution.

Fig. 1
Fig. 2
Fig. 3
Fig. 4
Fig. 5
Fig. 6
Fig. 7

References

  1. Alvarez R, Seppi E (1979) Comparison of noise and dose in conventional and energy selective computed-tomography. IEEE Trans Nucl Sci 26(2):2853–2855

    Article  Google Scholar 

  2. Balda M, Heismann B, Hornegger J (2010) Value-based noise reduction for low-dose dual-energy computed tomography. In: link.springer.com. Springer, Berlin, pp 547–554

  3. Borsdorf A, Raupach R, Flohr T, Hornegger J (2008) Wavelet based noise reduction in CT-images using correlation analysis. Med Imaging IEEE Trans 27(12):1685–1703

    Article  Google Scholar 

  4. Hinshaw DA, Dobbins JT III (1995) Recent progress in noise reduction and scatter correction in dual-energy imaging. In: Van Metter RL, Beutel J (eds) Medical imaging. SPIE, pp 134–142

  5. Hsieh J (2003) Computed tomography. In: Principles, design, artifacts, and recent advances. Society of photo optical

  6. Hsieh J, Thibault JB et al (2010) Methods and apparatus for noise estimation for multi-resolution anisotropic diffusion filtering. US Patent 7,706,497

  7. Huda W, Scalzetti EM, Levin G (2000) Technique factors and image quality as functions of patient weight at abdominal CT1. Radiology 217(2):430–435

    CAS  PubMed  Article  Google Scholar 

  8. Joshi M, Langan D, Sahani D, Kambadakone A, Aluri S, Procknow K, Wu X, Bhotika R, Okerlund D, Kulkarni N, et al. (2010) Effective atomic number accuracy for kidney stone characterization using spectral CT. In: SPIE medical imaging. International society for optics and photonics, pp 76,223K–76,223K

  9. Kalender W, Klotz E, Kostaridou L (1988) An algorithm for noise suppression in dual energy CT material density images. Med Imaging IEEE Trans 7(3):218–224

    CAS  Article  Google Scholar 

  10. Kalender WA (2011) Computed tomography: fundamentals, system technology, image quality, applications. Wiley, New York

    Google Scholar 

  11. Landry G, DeBlois F, Bazalova M, Verhaegen F (2009) MO-D-303A-06: ImaSim, an animated tool for teaching imaging. Med Phys 36(6):2696–2697

  12. Landry G, Granton PV, Reniers B, Öllers MC, Beaulieu L, Wildberger JE, Verhaegen F (2011) Simulation study on potential accuracy gains from dual energy ct tissue segmentation for low-energy brachytherapy monte carlo dose calculations. Phys Med Biol 56(19):6257

    PubMed  Article  Google Scholar 

  13. Landry G, Reniers B, Granton PV, van Rooijen B, Beaulieu L, Wildberger JE, Verhaegen F (2011) Extracting atomic numbers and electron densities from a dual source dual energy ct scanner: experiments and a simulation model. Radiother Oncol 100(3):375–379

    CAS  PubMed  Article  Google Scholar 

  14. Li B, Yadava G, Hsieh J (2011) Quantification of head and body CTDIVOL of dual-energy X-ray CT with fast-kVp switching. Med Phys 38(5):2595–2601

    PubMed  Article  Google Scholar 

  15. Li X, Chen T (1994) Nonlinear diffusion with multiple edginess thresholds. Pattern Recognit 27(8):1029–1037

    Article  Google Scholar 

  16. Macovski A, Nishimura DG, Doost-Hoseini A, Brody WR (1983) Measurement-dependent filtering: a novel approach to improved SNR. IEEE Trans Med Imaging 2(3):122–127

    CAS  PubMed  Article  Google Scholar 

  17. Park KK, Oh CH, Akay M (2011) Image enhancement by spectral-error correction for dual-energy computed tomography. In: 2011 33rd Annual international conference of the IEEE engineering in medicine and biology society. IEEE, pp 8491–8494

  18. Park, KK, Pavlicek W, Boltz T, Paden R, Hara A, Akay M (2009) Image-based dual energy CT improvements using Gram–Schmidt method. In: Samei E, Hsieh J (eds) SPIE medical imaging. SPIE, pp 72,583S–72,583S-9

  19. Perona P, Malik J (1990) Scale-space and edge detection using anisotropic diffusion. IEEE Trans Pattern Anal Mach Intell 12(7):629–639

    Article  Google Scholar 

  20. Petersilka M, Krauss B, Stierstorfer K (2011) Noise reduction in dual-source ct scanning. In: SPIE medical imaging. International society for optics and photonics, pp 79,613Q–79,613Q

  21. Prewitt JM (1970) Picture processing and psychopictorics, chap. Object enhancement and extraction. Elsevier

  22. Qiang Y (2011) Image denoising based on Haar wavelet transform. In: Electronics and optoelectronics (ICEOE)

  23. Johnson TRC, Fink C, Schönberg SO, Reiser MF (eds) (2011) Dual energy CT in clinical practice, vol 201, no 1. Springer, Berlin

  24. Silva AC, Lawder HJ, Hara A, Kujak J, Pavlicek W (2009) Innovations in CT dose reduction strategy: application of the adaptive statistical iterative reconstruction algorithm. Am J Roentgenol 194(1):191–199

    Article  Google Scholar 

  25. Tsiotsios C, Petrou M (2013) On the choice of the parameters for anisotropic diffusion in image processing. Pattern Recognit 46(5):1369–1381

  26. Warp RJ, Dobbins JT (2003) Quantitative evaluation of noise reduction strategies in dual-energy imaging. Med Phys 30(2):190–198

    PubMed  Article  Google Scholar 

  27. Watanabe Y (1999) Derivation of linear attenuation coefficients from ct numbers for low-energy photons. Phys Med Biol 44(9):2201

  28. Wu X, Langan DA, Xu D, Benson TM et al (2009) Monochromatic CT image representation via fast switching dual kVp. Proc SPIE 7258(725):845

    Google Scholar 

  29. Xu D, Langan DA, Wu X, Pack JD (2010) Method and system for correlated noise suppression in dual energy imaging. US Patent Office

  30. Zbijewski W, Gang G, Wang A, Stayman J, Taguchi K, Carrino J, Siewerdsen J (2013) Noise reduction in material decomposition for low-dose dual-energy cone-beam CT In: SPIE medical imaging. International society for optics and photonics, pp 866,819–866,819

Download references

Conflict of interest

Rafael Simon Maia, Christian Jacob, Amy K. Hara, Alvin C. Silva, William Pavlicek and J.Ross Mitchell declare that they have no conflict of interest.

Ethical standards All procedures followed were in accordance with the ethical standards of the responsible committee on human experimentation (institutional and national) and with the Helsinki Declaration of 1975, as revised in 2008.

Author information

Affiliations

Authors

Corresponding author

Correspondence to Rafael Simon Maia.

Electronic supplementary material

Below is the link to the electronic supplementary material.

Supplementary material 1 (pdf 7450 KB)

Rights and permissions

Reprints and Permissions

About this article

Verify currency and authenticity via CrossMark

Cite this article

Maia, R.S., Jacob, C., Hara, A.K. et al. An algorithm for noise correction of dual-energy computed tomography material density images. Int J CARS 10, 87–100 (2015). https://doi.org/10.1007/s11548-014-1006-z

Download citation

  • Received:

  • Accepted:

  • Published:

  • Issue Date:

  • DOI: https://doi.org/10.1007/s11548-014-1006-z

Keywords

  • Material density
  • Dual-energy computed tomography
  • Noise reduction
  • Anisotropic diffusion