Skip to main content

Cardiac MRI: technical basis

Abstract

Cardiac magnetic resonance (CMR) imaging is an effective method for noninvasively imaging the heart which in the last two decades impressively enhanced spatial and temporal resolution and imaging speed, broadening its spectrum of applications in cardiovascular disease. CMR imaging techniques are designed to noninvasively assess cardiovascular morphology, ventricular function, myocardial perfusion, tissue characterization, flow quantification and coronary artery disease. These intrinsic features yield CMR suitable for diagnosis, follow-up and longitudinal monitoring after treatment of cardiovascular diseases. The aim of this paper is to review the technical basis of CMR, from cardiac imaging planes to cardiac imaging sequences.

This is a preview of subscription content, access via your institution.

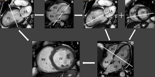
Fig. 1
Fig. 2
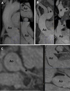
Fig. 3
Fig. 4
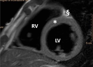
Fig. 5
Fig. 6
Fig. 7
Fig. 8
Fig. 9
Fig. 10
Fig. 11
Fig. 12
Fig. 13
Fig. 14

References

  1. Di Cesare E, Cademartiri F, Carbone I et al (2013) Indicazioni cliniche per l’utilizzo della cardio RM. A cura del Gruppo di lavoro della Sezione di Cardio-Radiologia della SIRM [Clinical indications for the use of cardiac MRI. By the SIRM Study Group on Cardiac Imaging]. La Radiologia Medica 118(5):752–798. https://doi.org/10.1007/s11547-012-0899-2

    Article  Google Scholar 

  2. Reeder SB, Faranesh AZ (2000) Ultrafast pulse sequence techniques for cardiac magnetic resonance imaging. Top Magn Reson Imaging TMRI 11(6):312–330. https://doi.org/10.1097/00002142-200012000-00002

    CAS  Article  Google Scholar 

  3. Lanzer P, Barta C, Botvinick EH et al (1985) ECG-synchronised cardiac MR imaging: method and evaluation. Radiology 155:681–686. https://doi.org/10.1148/radiology.155.3.4001369

    CAS  Article  Google Scholar 

  4. Dinsmore RE, Wismer GL, Levine RA et al (1984) MRI of the heart. Positioning and gradient angle selection for optimal imaging plane. AJR Am J Roentgenol 143:1135–1142. https://doi.org/10.2214/ajr.143.6.1135

    CAS  Article  Google Scholar 

  5. Buser PT, Auffermann W, Holt WW et al (1989) Noninvasive evaluation of global left ventricular function with cine NMR. J Am Coll Cardiol 13:1294–1300. https://doi.org/10.1016/0735-1097(89)90304-5

    CAS  Article  Google Scholar 

  6. Hennig J, Naureth A, Friedburg H (1986) RARE imaging: a fast imaging method for clinical MR. Magn Reson Med 3:823–833. https://doi.org/10.1002/mrm.1910030602

    CAS  Article  Google Scholar 

  7. Einstein S, Outwater E, Kressel HY (1992) First principles of fast spin echo. Magn Reson Q 8(4):199–244

    Google Scholar 

  8. Simonetti OP, Finn JP, White RD et al (1996) “Black Blood” T2-weighted inversion recovery MR imaging of the heart. Radiology 199:49–57. https://doi.org/10.1148/radiology.199.1.8633172

    CAS  Article  Google Scholar 

  9. Edelman RR, Chien D, Kim D (1991) Fast selective black blood MR imaging. Radiology 181:655–660. https://doi.org/10.1148/radiology.181.3.1947077

    CAS  Article  Google Scholar 

  10. Francone M, Carbone I, Agati L et al (2011) Utility of T2-weighted short-tau inversion recovery (STIR) sequences in cardiac MRI: an overview of clinical applications in ischaemic and non-ischaemic heart disease. La Radiologia Medica 116(1):32–46. https://doi.org/10.1007/s11547-010-0594-0

    CAS  Article  Google Scholar 

  11. Iacucci I, Carbone I, Cannavale G et al (2013) Myocardial oedema as the sole marker of acute injury in Takotsubo cardiomyopathy: a cardiovascular magnetic resonance (CMR) study. La Radiologia Medica 118(8):1309–1323. https://doi.org/10.1007/s11547-013-0931-1

    Article  Google Scholar 

  12. Bieri O, Klaus Scheffler K (2013) Fundamentals of balanced steady state free precession MRI. J Magn Reson Imaging 38:2–11. https://doi.org/10.1002/jmri.24163

    Article  Google Scholar 

  13. Benjelloun H, Cranney GB, Kirk KA et al (1991) Interstudy reproducibility of biplane cine nuclear magnetic resonance measurements of left ventricular function. Am J Cardiol 67(16):1413–1420. https://doi.org/10.1016/0002-9149(91)90473-X

    CAS  Article  Google Scholar 

  14. Pattynama PM, Lamb HJ, Van der Velde EA et al (1995) Reproducibility of MRI-derived measurements of right ventricular volumes and myocardial mass. Magn Reson Imaging 13(1):53–63. https://doi.org/10.1016/0730-725x(94)00076-f

    CAS  Article  Google Scholar 

  15. Corrado D, van Tintelen PJ, McKenna WJ et al (2020) Arrhythmogenic right ventricular cardiomyopathy: evaluation of the current diagnostic criteria and differential diagnosis. Eur Heart J 41(14):1414–1429. https://doi.org/10.1093/eurheartj/ehz669

    Article  Google Scholar 

  16. Schulz-Menger J, Bluemke DA, Bremerich J et al (2020) Standardized image interpretation and post-processing in cardiovascular magnetic resonance—2020 update. J Cardiovasc Magn Reson 22:19. https://doi.org/10.1186/1532-429X-15-35

    Article  Google Scholar 

  17. Schuster A, Hor KN, Kowallick JT, Beerbaum P et al (2016) Cardiovascular magnetic resonance myocardial feature tracking: concepts and clinical applications. Circ Cardiovasc Imaging 9(4):e004077. https://doi.org/10.1161/CIRCIMAGING.115.004077

    Article  Google Scholar 

  18. Scatteia A, Baritussio A, Bucciarelli-Ducci C (2017) Strain imaging using cardiac magnetic resonance. Heart Fail Rev 22(4):465–476. https://doi.org/10.1007/s10741-017-9621-8

    CAS  Article  Google Scholar 

  19. Romano S, Romer B, Evans K et al (2020) Prognostic implications of blunted feature-tracking global longitudinal strain during vasodilator cardiovascular magnetic resonance stress imaging. JACC Cardiovasc Imaging. 13(1 Pt 1):58–65. https://doi.org/10.1016/j.jcmg.2019.03.002

    Article  Google Scholar 

  20. Sørensen TS, Körperich H, Greil GF et al (2004) Operator-independent isotropic three-dimensional magnetic resonance imaging for morphology in congenital heart disease: a validation study. Circulation 110(2):163–169. https://doi.org/10.1161/01.CIR.0000134282.35183.AD

    Article  Google Scholar 

  21. Sørensen TS, Beerbaum P, Körperich H, Pedersen EM (2005) Three-dimensional, isotropic MRI: a unified approach to quantification and visualization in congenital heart disease. Int J Cardiovasc Imaging 21(2–3):283–292. https://doi.org/10.1007/s10554-004-4018-x

    Article  Google Scholar 

  22. Ruehm SG, Nanz D, Baumann A et al (2001) 3D contrast-enhanced MR angiography of the run-off vessels: value of image subtraction. J Magn Reson Imaging JMRI 13(3):402–411. https://doi.org/10.1002/jmri.1058

    CAS  Article  Google Scholar 

  23. Earls JP, Rofsky NM, DeCorato DR et al (1996) Breath-hold single-dose gadolinium-enhanced three-dimensional MR aortography: usefulness of a timing examination and MR power injector. Radiology 201(3):705–710. https://doi.org/10.1148/radiology.201.3.8939219

    CAS  Article  Google Scholar 

  24. Riederer SJ, Bernstein MA, Breen JF et al (2000) Three-dimensional contrast-enhanced MR angiography with real-time fluoroscopic triggering: design specifications and technical reliability in 330 patient studies. Radiology 215(2):584–593. https://doi.org/10.1148/radiology.215.2.r00ma21584

    CAS  Article  Google Scholar 

  25. Wilman AH, Riederer SJ (1997) Performance of an elliptical centric view order for signal enhancement and motion artifact suppression in breath-hold three-dimensional gradient echo imaging. Magn Reson Med 38(5):793–802. https://doi.org/10.1002/mrm.1910380516

    CAS  Article  Google Scholar 

  26. Kalb B, Sharma P, Tigges S, Ray GL et al (2012) MR imaging of pulmonary embolism: diagnostic accuracy of contrast-enhanced 3D MR pulmonary angiography, contrast-enhanced low-flip angle 3D GRE, and nonenhanced free-induction FISP sequences. Radiology 263(1):271–278. https://doi.org/10.1148/radiol.12110224

    Article  Google Scholar 

  27. Pryds K, Larsen AH, Hansen MS et al (2019) Myocardial strain assessed by feature tracking cardiac magnetic resonance in patients with a variety of cardiovascular diseases—a comparison with echocardiography. Sci Rep 9(1):11296. https://doi.org/10.1038/s41598-019-47775-4

    CAS  Article  Google Scholar 

  28. Nayak KS, Nielsen J, Bernstein MA et al (2015) Cardiovascular magnetic resonance phase contrast imaging. J Cardiovasc Magn Reson 17:71. https://doi.org/10.1186/s12968-015-0172-7

    Article  Google Scholar 

  29. Gatehouse PD, Keegan J, Crowe LA et al (2005) Applications of phase-contrast flow and velocity imaging in cardiovascular MRI. Eur Radiol 15:2172–2184

    Article  Google Scholar 

  30. Kupfahl C, Honold M, Meinhardt G et al (2004) Evaluation of aortic stenosis by cardiovascular magnetic resonance imaging: comparison with established routine clinical techniques. Heart 90(8):893–901. https://doi.org/10.1136/hrt.2003.022376

    CAS  Article  Google Scholar 

  31. Di Leo G, D’Angelo ID, Alì M et al (2017) Intra- and inter-reader reproducibility of blood flow measurements on the ascending aorta and pulmonary artery using cardiac magnetic resonance. La Radiologia Medica 122(3):179–185. https://doi.org/10.1007/s11547-016-0706-6

    Article  Google Scholar 

  32. Dyverfeldt P, Bissell M, Barker AJ et al (2015) 4D flow cardiovascular magnetic resonance consensus statement. J Cardiovasc Magn Reson 17:72. https://doi.org/10.1186/s12968-015-0174-5

    Article  Google Scholar 

  33. Hope MD, Hope TA, Meadows AK, Ordovas KG et al (2010) Bicuspid aortic valve: four-dimensional MR evaluation of ascending aortic systolic flow patterns. Radiology 255:53–61. https://doi.org/10.1148/radiol.09091437

    Article  Google Scholar 

  34. Dyverfeldt P, Hope MD, Tseng EE, Saloner D (2013) Magnetic resonance measurement of turbulent kinetic energy for the estimation of irreversible pressure loss in aortic stenosis. JACC Cardiovasc Imaging. 6:64–71. https://doi.org/10.1016/j.jcmg.2012.07.017

    Article  Google Scholar 

  35. Higgins CB, De Roos A (2003) Cardiovascular MRI and MRA. Lippincott Williams and Wilkins, Philadelphia

    Google Scholar 

  36. Luetkens JA, Homsi R, Sprinkart AM et al (2016) Incremental value of quantitative CMR including parametric mapping for the diagnosis of acute myocarditis. Eur Heart J Cardiovasc Imaging 17(2):154–161. https://doi.org/10.1093/ehjci/jev246

    Article  Google Scholar 

  37. Kim RJ, Shah DJ, Judd RM (2003) How we perform delayed enhancement imaging. J Cardiovasc Magn Reson Off J Soc Cardiovasc Magn Reson 5(3):505–514. https://doi.org/10.1081/jcmr-120022267

    Article  Google Scholar 

  38. Muehlberg F, Arnhold K, Fritschi S et al (2018) Comparison of fast multi-slice and standard segmented techniques for detection of late gadolinium enhancement in ischemic and non-ischemic cardiomyopathy—a prospective clinical cardiovascular magnetic resonance trial. J Cardiovasc Magn Reson Off J Soc Cardiovasc Magn Reson 20(1):13. https://doi.org/10.1186/s12968-018-0434-2

    Article  Google Scholar 

  39. Bratis K, Henningsson M, Grigoratos C et al (2017) Image-navigated 3-dimensional late gadolinium enhancement cardiovascular magnetic resonance imaging: feasibility and initial clinical results. J Cardiovasc Magn Reson Off J Soc Cardiovasc Magn Reson 19(1):97. https://doi.org/10.1186/s12968-017-0418-7

    Article  Google Scholar 

  40. McCrohon JA, Moon JC, Prasad SK et al (2003) Differentiation of heart failure related to dilated cardiomyopathy and coronary artery disease using gadolinium-enhanced cardiovascular magnetic resonance. Circulation 108(1):54–59. https://doi.org/10.1161/01.CIR.0000078641.19365.4C

    CAS  Article  Google Scholar 

  41. Moon JC, McKenna WJ, McCrohon JA et al (2003) Toward clinical risk assessment in hypertrophic cardiomyopathy with gadolinium cardiovascular magnetic resonance. J Am Coll Cardiol 41(9):1561–1567. https://doi.org/10.1016/s0735-1097(03)00189-x

    Article  Google Scholar 

  42. Sen-Chowdhry S, Syrris P, Prasad SK et al (2008) Left-dominant arrhythmogenic cardiomyopathy: an under-recognized clinical entity. J Am Coll Cardiol 52(25):2175–2187. https://doi.org/10.1016/j.jacc.2008.09.019

    Article  Google Scholar 

  43. Yan AT, Shayne AJ, Brown KA et al (2006) Characterization of the peri-infarct zone by contrast-enhanced cardiac magnetic resonance imaging is a powerful predictor of post-myocardial infarction mortality. Circulation 114(1):32–39. https://doi.org/10.1161/CIRCULATIONAHA.106.613414

    Article  Google Scholar 

  44. Halliday BP, Gulati A, Ali A et al (2017) Association between midwall late gadolinium enhancement and sudden cardiac death in patients with dilated cardiomyopathy and mild and moderate left ventricular systolic dysfunction. Circulation 135(22):2106–2115. https://doi.org/10.1161/CIRCULATIONAHA.116.026910

    Article  Google Scholar 

  45. Vassiliou VS, Perperoglou A, Raphael C et al (2017) Midwall fibrosis and 5-year outcome in moderate and severe aortic stenosis. J Am Coll Cardiol 69(13):1755–1756. https://doi.org/10.1016/j.jacc.2017.01.034

    Article  Google Scholar 

  46. Vergara GR, Marrouche NF (2011) Tailored management of atrial fibrillation using a LGE-MRI based model: from the clinic to the electrophysiology laboratory. J Cardiovasc Electrophysiol 22(4):481–487. https://doi.org/10.1111/j.1540-8167.2010.01941.x

    Article  Google Scholar 

  47. Goldfarb JW (2008) Fat-water separated delayed hyperenhanced myocardial infarct imaging. Magn Reson Med 60(3):503–509. https://doi.org/10.1002/mrm.21685

    Article  Google Scholar 

  48. Puntmann VO, Voigt T, Chen Z et al (2013) Native T1 mapping in differentiation of normal myocardium from diffuse disease in hypertrophic and dilated cardiomyopathy. JACC Cardiovasc Imaging 6(4):475–484. https://doi.org/10.1016/j.jcmg.2012.08.019

    Article  Google Scholar 

  49. Messroghli DR, Moon JC, Ferreira VM, Grosse-Wortmann L, He T, Kellman P, Mascherbauer J, Nezafat R, Salerno M et al (2017) Clinical recommendations for cardiovascular magnetic resonance mapping of T1, T2, T2* and extracellular volume: a consensus statement by the Society for Cardiovascular Magnetic Resonance (SCMR) endorsed by the European Association for Cardiovascular Imaging (EACVI). J Cardiovasc Magn Reson Off J Soc Cardiovasc Magn Reson 19(1):75. https://doi.org/10.1186/s12968-017-0389-8

    Article  Google Scholar 

  50. Messroghli DR, Radjenovic A, Kozerke S et al (2004) Modified Look-Locker inversion recovery (MOLLI) for high-resolution T1 mapping of the heart. Magn Reson Med 52(1):141–146. https://doi.org/10.1002/mrm.20110

    Article  Google Scholar 

  51. Piechnik SK, Ferreira VM, Dall’Armellina E et al (2010) Shortened Modified Look-Locker Inversion recovery (ShMOLLI) for clinical myocardial T1-mapping at 1.5 and 3 T within a 9 heartbeat breathhold. J Cardiovasc Magn Reson Off J o Soc Cardiovasc Magn Reson 12(1):69. https://doi.org/10.1186/1532-429X-12-69

    Article  Google Scholar 

  52. Baggiano A, Boldrini M, Martinez-Naharro A et al (2020) Noncontrast magnetic resonance for the diagnosis of cardiac amyloidosis. JACC Cardiovasc Imaging 13(1 Pt 1):69–80. https://doi.org/10.1016/j.jcmg.2019.03.026

    Article  Google Scholar 

  53. Sado DM, White SK, Piechnik SK et al (2013) Identification and assessment of Anderson–Fabry disease by cardiovascular magnetic resonance noncontrast myocardial T1 mapping. Circ Cardiovasc Imaging 6(3):392–398. https://doi.org/10.1161/CIRCIMAGING.112.000070

    Article  Google Scholar 

  54. Hinojar R, Varma N, Child N et al (2015) T1 mapping in discrimination of hypertrophic phenotypes: hypertensive heart disease and hypertrophic cardiomyopathy: findings from the international T1 multicenter cardiovascular magnetic resonance study. Circ Cardiovasc Imaging 8(12):e003285. https://doi.org/10.1161/CIRCIMAGING.115.003285

    Article  Google Scholar 

  55. Flett AS, Sado DM, Quarta G et al (2012) Diffuse myocardial fibrosis in severe aortic stenosis: an equilibrium contrast cardiovascular magnetic resonance study. Eur Heart J Cardiovasc Imaging 13(10):819–826. https://doi.org/10.1093/ehjci/jes102

    Article  Google Scholar 

  56. Miller CA, Naish JH, Bishop P et al (2013) Comprehensive validation of cardiovascular magnetic resonance techniques for the assessment of myocardial extracellular volume. Circ Cardiovasc Imaging 6(3):373–383. https://doi.org/10.1161/CIRCIMAGING.112.000192

    Article  Google Scholar 

  57. Ferreira VM, Piechnik SK, Dall’Armellina E et al (2012) Non-contrast T1-mapping detects acute myocardial edema with high diagnostic accuracy: a comparison to T2-weighted cardiovascular magnetic resonance. J Cardiovasc Magn Reson Off J Soc Cardiovasc Magn Reson 14(1):42. https://doi.org/10.1186/1532-429X-14-42

    Article  Google Scholar 

  58. Bulluck H, White SK, Rosmini S et al (2015) T1 mapping and T2 mapping at 3T for quantifying the area-at-risk in reperfused STEMI patients. J Cardiovasc Magn Reson Off J Soc Cardiovasc Magn Reson 17(1):73. https://doi.org/10.1186/s12968-015-0173-6

    Article  Google Scholar 

  59. Hosch W, Bock M, Libicher M et al (2007) MR-relaxometry of myocardial tissue: significant elevation of T1 and T2 relaxation times in cardiac amyloidosis. Investig Radiol 42(9):636–642. https://doi.org/10.1097/RLI.0b013e318059e02

    Article  Google Scholar 

  60. Greenwood JP, Maredia N, Younger JF et al (2012) Cardiovascular magnetic resonance and single-photon emission computed tomography for diagnosis of coronary heart disease (CE-MARC): a prospective trial. Lancet (London, England) 379(9814):453–460. https://doi.org/10.1016/S0140-6736(11)61335-4

    Article  Google Scholar 

  61. Laspas F, Pipikos T, Karatzis E et al (2020) Cardiac magnetic resonance versus single-photon emission computed tomography for detecting coronary artery disease and myocardial ischemia: comparison with coronary angiography. Diagnostics (Basel, Switzerland) 10(4):190. https://doi.org/10.3390/diagnostics10040190

    Article  Google Scholar 

  62. Marano R, Natale L, Chiribiri A et al (2015) Cardiac MR perfusion imaging: where we are. La Radiologia Medica 120(2):190–205. https://doi.org/10.1007/s11547-014-0435-7

    Article  Google Scholar 

Download references

Funding

Financial support for this study was not provided.

Author information

Affiliations

Authors

Corresponding author

Correspondence to Vincenzo Russo.

Ethics declarations

Conflict of interest

None of the authors has a potential conflict of interest.

Ethical standards

Due to the nature of the paper (review article), non-research with human participants or animals has been made and, consequently, informed consent is not applicable.

Additional information

Publisher's Note

Springer Nature remains neutral with regard to jurisdictional claims in published maps and institutional affiliations.

Rights and permissions

Reprints and Permissions

About this article

Verify currency and authenticity via CrossMark

Cite this article

Russo, V., Lovato, L. & Ligabue, G. Cardiac MRI: technical basis. Radiol med 125, 1040–1055 (2020). https://doi.org/10.1007/s11547-020-01282-z

Download citation

  • Received:

  • Accepted:

  • Published:

  • Issue Date:

  • DOI: https://doi.org/10.1007/s11547-020-01282-z

Keywords

  • Cardiac MRI
  • Sequences
  • Technique
  • CMR
  • Cardiac MR