Skip to main content

Artificial intelligence in cardiac radiology

Abstract

Artificial intelligence (AI) is entering the clinical arena, and in the early stage, its implementation will be focused on the automatization tasks, improving diagnostic accuracy and reducing reading time. Many studies investigate the potential role of AI to support cardiac radiologist in their day-to-day tasks, assisting in segmentation, quantification, and reporting tasks. In addition, AI algorithms can be also utilized to optimize image reconstruction and image quality. Since these algorithms will play an important role in the field of cardiac radiology, it is increasingly important for radiologists to be familiar with the potential applications of AI. The main focus of this article is to provide an overview of cardiac-related AI applications for CT and MRI studies, as well as non-imaging-based applications for reporting and image optimization.

This is a preview of subscription content, access via your institution.

Fig. 1
Fig. 2
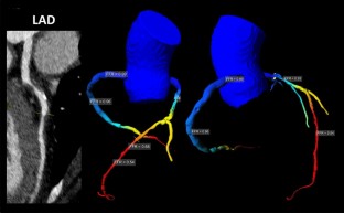
Fig. 3
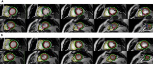
Fig. 4

References

  1. Turing A (2009) Computing machinery and intelligence amplification. “Parsing the Turing Test.”. Comput Intell Expert Speak. https://doi.org/10.1109/9780470544297.ch3

    Article  Google Scholar 

  2. McCarthy J (1990) Artificial intelligence, logic and formalizing common sense. Philos Log Artif Intell 1990:161–190

  3. Singh G, Al’Aref SJ, Van Assen M et al (2018) Machine learning in cardiac CT: basic concepts and contemporary data. J Cardiovasc Comput Tomogr 12:192–201. https://doi.org/10.1016/j.jcct.2018.04.010

    Article  Google Scholar 

  4. Obermeyer Z, Emanuel EJ (2016) Predicting the future—big data, machine learning, and clinical medicine. N Engl J Med 375(13):1216–1219. https://doi.org/10.1056/NEJMp1606181.Predicting

    Article  Google Scholar 

  5. Mukherjee S (2017) A.I. vs M.D. What happens when diagnosis is automated. New Yorker, New York

    Google Scholar 

  6. Frost & Sullivan (2015) Cognitive computing and artificial intelligence systems in healthcare. Ramping up a $6 billion dollar market opportunity. Frost & Sullivan, New York

    Google Scholar 

  7. Cabitza F, Rasoini R, Gensini GF (2017) Unintended consequences of machine learning in medicine. JAMA. https://doi.org/10.1001/jama.2017.7797

    Article  Google Scholar 

  8. Hecht HS, Shaw L, Chandrashekhar YS, Bax JJ, Narula J (2019) Should NICE guidelines be universally accepted for the evaluation of stable coronary disease? A debate. Eur Heart J 40(18):1440–1453. https://doi.org/10.1093/eurheartj/ehz024

    Article  Google Scholar 

  9. Piepoli MF, Hoes AW, Agewall S et al (2016) 2016 European guidelines on cardiovascular disease prevention in clinical practice. Eur Heart J 37(29):2315–2381. https://doi.org/10.1093/eurheartj/ehw106

    Article  Google Scholar 

  10. Sousa-Uva M, Neumann FJ, Ahlsson A et al (2019) 2018 ESC/EACTS guidelines on myocardial revascularization. Eur J Cardio-thoracic Surg 55(1):4–90. https://doi.org/10.1093/ejcts/ezy289

    Article  Google Scholar 

  11. Sousa-Uva M, Ahlsson A, Alfonso F et al (2018) 2018 ESC/EACTS guidelines on myocardial revascularization. Eur Heart J 00:1–96. https://doi.org/10.1093/eurheartj/ehy394

    Article  Google Scholar 

  12. Knuuti J, Wijns W, Chairperson I et al (2019) ESC guidelines for the diagnosis and management of chronic coronary syndromes. Eur Heart J 2019:1–71. https://doi.org/10.1093/eurheartj/ehz425

    Article  Google Scholar 

  13. Ibanez B, James S, Agewall S et al (2018) 2017 ESC guidelines for the management of acute myocardial infarction in patients presenting with ST-segment elevation. Eur Heart J 39(2):119–177. https://doi.org/10.1093/eurheartj/ehx393

    Article  Google Scholar 

  14. Arnett DK, Blumenthal RS, Albert MA et al (2019) 2019 ACC/AHA guideline on the primary prevention of cardiovascular disease: executive summary: a report of the American College of Cardiology/American Heart Association Task Force on Clinical Practice Guidelines. J Am Coll Cardiol 74(10):1376–1414. https://doi.org/10.1016/j.jacc.2019.03.009

    Article  Google Scholar 

  15. Hosny A, Parmar C, Quackenbush J, Schwartz LH, Aerts HJWL (2018) Artificial intelligence in radiology. Nat Rev Cancer 18(8):500–510. https://doi.org/10.1038/s41568-018-0016-5

    CAS  Article  Google Scholar 

  16. McDonald RJ, Schwartz KM, Eckel LJ et al (2015) The effects of changes in utilization and technological advancements of cross-sectional imaging on radiologist workload. Acad Radiol 22(9):1191–1198. https://doi.org/10.1016/j.acra.2015.05.007

    Article  Google Scholar 

  17. Coppola F, Faggioni L, Regge D et al (2020) Artificial intelligence: radiologists’ expectations and opinions gleaned from a nationwide online survey. Radiol Med. https://doi.org/10.1007/s11547-020-01205-y

    Article  Google Scholar 

  18. Hernandez D, Amodei D, Girish S, Clark J, Brockman G, Ilya S (2019) OpenAI.org. AI and Compute. https://openai.com/blog/ai-and-compute/#addendum. Accessed 3 Nov 2020

  19. Summers RM, Handwerker LR, Pickhardt PJ et al (2008) Performance of a previously validated CT colonography computer-aided detection system in a new patient population. Am J Roentgenol 191(1):168–174. https://doi.org/10.2214/AJR.07.3354

    Article  Google Scholar 

  20. van Assen M, Lee SJ, De Cecco CN (2020) Artificial intelligence from A to Z: from neural network to legal framework. Eur J Radiol. https://doi.org/10.1016/j.ejrad.2020.109083

    Article  Google Scholar 

  21. Wolterink JM, Leiner T, Viergever MA, Išgum I (2017) Generative adversarial networks for noise reduction in low-dose CT. IEEE Trans Med Imaging 36(12):2536–2545. https://doi.org/10.1109/TMI.2017.2708987

    Article  Google Scholar 

  22. Shan H, Padole A, Homayounieh F et al (2019) Competitive performance of a modularized deep neural network compared to commercial algorithms for low-dose CT image reconstruction. Nat Mach Intell 1(6):269–276. https://doi.org/10.1038/s42256-019-0057-9

    Article  Google Scholar 

  23. Tao Q, Lelieveldt BPF, Van Der Geest RJ (2020) Deep learning for quantitative cardiac MRI. Am J Roentgenol 214:529–535

    Article  Google Scholar 

  24. Qin C, Schlemper J, Caballero J, Price AN, Hajnal JV (2018) Convolutional recurrent neural networks for dynamic mr image reconstruction. IEEE Trans Med Imaging PP(c):1. https://doi.org/10.1109/tmi.2018.2863670

    Article  Google Scholar 

  25. Tarroni G, Oktay O, Bai W et al (2018) Learning-based quality control for cardiac MR images. IEEE Trans Med Imaging PP:1. https://doi.org/10.1109/tmi.2018.2878509

    Article  Google Scholar 

  26. Chow BJW, Small G, Yam Y et al (2011) Incremental prognostic value of cardiac computed tomography in coronary artery disease using confirm coronary computed tomography angiography evaluation for clinical outcomes: an international multicenter registry. Circ Cardiovasc Imaging. https://doi.org/10.1161/CIRCIMAGING.111.964155

    Article  Google Scholar 

  27. Foldyna B, Udelson JE, Karády J et al (2019) Pretest probability for patients with suspected obstructive coronary artery disease: re-evaluating Diamond-Forrester for the contemporary era and clinical implications: insights from the PROMISE trial. Eur Heart J Cardiovasc Imaging. https://doi.org/10.1093/ehjci/jey182

    Article  Google Scholar 

  28. Papachristidis A, Vaughan GF, Denny SJ et al (2020) Comparison of NICE and ESC proposed strategies on new onset chest pain and the contemporary clinical utility of pretest probability risk score. Open Hear 7(1):1–9. https://doi.org/10.1136/openhrt-2019-001081

    Article  Google Scholar 

  29. Cury RC, Abbara S, Achenbach S et al (2016) Coronary Artery Disease-Reporting and Data System (CAD-RADS) an expert consensus document of SCCT, Endorsed by the ACC. JACC-Cardiovasc Imaging 9(9):1099–1113. https://doi.org/10.1016/j.jcmg.2016.05.005

    Article  Google Scholar 

  30. Muscogiuri G, Chiesa M, Trotta M et al (2019) Performance of a deep learning algorithm for the evaluation of CAD-RADS classification with CCTA. Atherosclerosis. https://doi.org/10.1016/j.atherosclerosis.2019.12.001

    Article  Google Scholar 

  31. Becker CR, Majeed A, Crispin A et al (2005) CT measurement of coronary calcium mass: impact on global cardiac risk assessment. Eur Radiol. https://doi.org/10.1007/s00330-004-2528-5

    Article  Google Scholar 

  32. Caruso D, De Cecco CN, Schoepf UJ et al (2016) Correction factors for CT coronary artery calcium scoring using advanced modeled iterative reconstruction instead of filtered back projection. Acad Radiol. https://doi.org/10.1016/j.acra.2016.07.015

    Article  Google Scholar 

  33. Greenland P, Bonow RO, Brundage BH et al (2007) ACCF/AHA 2007 clinical expert consensus document on coronary artery calcium scoring by computed tomography in global cardiovascular risk assessment and in evaluation of patients with chest pain. A report of the American College of Cardiology Foundation Cl. J Am Coll Cardiol 49(3):378–402. https://doi.org/10.1016/j.jacc.2006.10.001

    Article  Google Scholar 

  34. Greenland P, Blaha MJ, Budoff MJ, Erbel R, Watson KE (2018) Coronary calcium score and cardiovascular risk. J Am Coll Cardiol 72(4):434–447. https://doi.org/10.1016/j.jacc.2018.05.027

    CAS  Article  Google Scholar 

  35. ó Hartaigh B, Valenti V, Cho I, Schulman-Marcus J, Gransar H, Knapper J, Kelkar AA, Xie JX, Chang HJ, Shaw LJ, Callister TQ (2016) 15-Year prognostic utility of coronary artery calcium scoring for all-cause mortality in the elderly. Atherosclerosis. https://doi.org/10.1016/j.atherosclerosis.2016.01.039

    Article  Google Scholar 

  36. Tesche C, Duguay TM, Schoepf UJ et al (2018) Current and future applications of CT coronary calcium assessment. Expert Rev Cardiovasc Ther. https://doi.org/10.1080/14779072.2018.1474347

    Article  Google Scholar 

  37. Agatston AS, Janowitz WR, Hildner FJ, Zusmer NR, Viamonte M, Detrano R (1990) Quantification of coronary artery calcium using ultrafast computed tomography. J Am Coll Cardiol 15(4):827–832. https://doi.org/10.1016/0735-1097(90)90282-T

    CAS  Article  Google Scholar 

  38. de Vos BD, Wolterink JM, Leiner T, de Jong PA, Lessmann N, Isgum I (2019) Direct automatic coronary calcium scoring in cardiac and chest CT. IEEE Trans Med Imaging 38(9):2127–2138. https://doi.org/10.1109/TMI.2019.2899534

    Article  Google Scholar 

  39. Sandstedt M, Henriksson L, Janzon M et al (2020) Evaluation of an AI-based, automatic coronary artery calcium scoring software. Eur Radiol. https://doi.org/10.1007/s00330-019-06489-x

    Article  Google Scholar 

  40. Zhang Y, van der Werf NR, Jiang B, van Hamersvelt R, Greuter MJW, Xie X (2020) Motion-corrected coronary calcium scores by a convolutional neural network: a robotic simulating study. Eur Radiol. https://doi.org/10.1007/s00330-019-06447-7

    Article  Google Scholar 

  41. Išgum I, Rutten A, Prokop M, Van Ginneken B (2007) Detection of coronary calcifications from computed tomography scans for automated risk assessment of coronary artery disease. Med Phys 34(4):1450–1461. https://doi.org/10.1118/1.2710548

    Article  Google Scholar 

  42. Głowacki J, Krysiński M, Czaja-Ziółkowska M, Wasilewski J (2019) Machine learning-based algorithm enables the exclusion of obstructive coronary artery disease in the patients who underwent coronary artery calcium scoring. Acad Radiol. https://doi.org/10.1016/j.acra.2019.11.016

    Article  Google Scholar 

  43. Takx RAP, De Jong PA, Leiner T et al (2014) Automated coronary artery calcification scoring in non-gated chest CT: agreement and reliability. PLoS ONE. https://doi.org/10.1371/journal.pone.0091239

    Article  Google Scholar 

  44. Wolterink JM, Leiner T, de Vos BD, van Hamersvelt RW, Viergever MA, Išgum I (2016) Automatic coronary artery calcium scoring in cardiac CT angiography using paired convolutional neural networks. Med Image Anal 34:123–136. https://doi.org/10.1016/j.media.2016.04.004

    Article  Google Scholar 

  45. van Velzen SGM, Lessmann N, Velthuis BK et al (2020) Deep learning for automatic calcium scoring in CT: validation using multiple cardiac CT and chest CT protocols. Radiology 295(1):66–79. https://doi.org/10.1148/radiol.2020191621

    Article  Google Scholar 

  46. Apfaltrer P, Schoepf UJ, Vliegenthart R et al (2011) Coronary computed tomography-present status and future directions. Int J Clin Pract. https://doi.org/10.1111/j.1742-1241.2011.02784.x

    Article  Google Scholar 

  47. Meinel FG, Bayer RR II, Zwerner PL, De Cecco CN, Schoepf UJ, Bamberg F (2015) Coronary computed tomographic angiography in clinical practice: state of the art. Radiol Clin North Am 53(2):287–296. https://doi.org/10.1016/j.rcl.2014.11.012

    Article  Google Scholar 

  48. Newby D (2015) CT coronary angiography in patients with suspected angina due to coronary heart disease (SCOT-HEART): an open-label, parallel-group, multicentre trial. Lancet. https://doi.org/10.1016/S0140-6736(15)60291-4

    Article  Google Scholar 

  49. Williams MC, Moss AJ, Dweck M et al (2019) Coronary artery plaque characteristics associated with adverse outcomes in the SCOT-HEART study. J Am Coll Cardiol. https://doi.org/10.1016/j.jacc.2018.10.066

    Article  Google Scholar 

  50. Andrew M, John H (2015) The challenge of coronary calcium on coronary computed tomographic angiography (CCTA) scans: effect on interpretation and possible solutions. Int J Cardiovasc Imaging 31(2):145–157. https://doi.org/10.1007/s10554-015-0773-0

    Article  Google Scholar 

  51. Zreik M, Van Hamersvelt RW, Wolterink JM, Leiner T, Viergever MA, Išgum I (2019) A recurrent CNN for automatic detection and classification of coronary artery plaque and stenosis in coronary CT angiography. IEEE Trans Med Imaging. https://doi.org/10.1109/TMI.2018.2883807

    Article  Google Scholar 

  52. Utsunomiya D, Nakaura T, Oda S (2016) Artificial intelligence for the interpretation of coronary computed tomography angiography: can machine learning improve diagnostic performance? J Clin Exp Cardiol. https://doi.org/10.4172/2155-9880.1000473

    Article  Google Scholar 

  53. Kang D, Dey D, Slomka PJ et al (2015) Structured learning algorithm for detection of nonobstructive and obstructive coronary plaque lesions from computed tomography angiography. J Med Imaging. https://doi.org/10.1117/1.jmi.2.1.014003

    Article  Google Scholar 

  54. Yoneyama H, Nakajima K, Taki J et al (2019) Ability of artificial intelligence to diagnose coronary artery stenosis using hybrid images of coronary computed tomography angiography and myocardial perfusion SPECT. Eur J Hybrid Imaging. https://doi.org/10.1186/s41824-019-0052-8

    Article  Google Scholar 

  55. Hell MM, Dey D, Marwan M, Achenbach S, Schmid J, Schuhbaeck A (2015) Non-invasive prediction of hemodynamically significant coronary artery stenoses by contrast density difference in coronary CT angiography. Eur J Radiol. https://doi.org/10.1016/j.ejrad.2015.04.024

    Article  Google Scholar 

  56. Dey D, Gaur S, Ovrehus KA et al (2018) Integrated prediction of lesion-specific ischaemia from quantitative coronary CT angiography using machine learning: a multicentre study. Eur Radiol. https://doi.org/10.1007/s00330-017-5223-z

    Article  Google Scholar 

  57. Van Hamersvelt RW (2018) Deep learning analysis of left ventricular myocardium in CT angiographic intermediate-degree coronary stenosis improves the diagnostic accuracy for identification of functionally significant stenosis. Eur Radiol 29(5):2350–2359

    Article  Google Scholar 

  58. Min JK, Leipsic J, Pencina MJ et al (2012) Diagnostic accuracy of fractional flow reserve from anatomic CT angiography. JAMA 308(12):1237. https://doi.org/10.1001/2012.jama.11274

    CAS  Article  Google Scholar 

  59. Kruk M, Wardziak Ł, Demkow M et al (2016) Workstation-based calculation of CTA-based FFR for intermediate stenosis. JACC Cardiovasc Imaging 9(6):690–699. https://doi.org/10.1016/j.jcmg.2015.09.019

    Article  Google Scholar 

  60. Kitabata H, Leipsic J, Patel MR et al (2018) Incidence and predictors of lesion-specific ischemia by FFRCT: learnings from the international ADVANCE registry. J Cardiovasc Comput Tomogr 12(2):95–100. https://doi.org/10.1016/j.jcct.2018.01.008

    Article  Google Scholar 

  61. Lu MT, Ferencik M, Roberts RS et al (2017) Noninvasive FFR derived from coronary CT angiography: management and outcomes in the PROMISE trial. JACC Cardiovasc Imaging 10(11):1350–1358. https://doi.org/10.1016/j.jcmg.2016.11.024

    Article  Google Scholar 

  62. Tesche C, De Cecco CN, Caruso D et al (2016) Coronary CT angiography derived morphological and functional quantitative plaque markers correlated with invasive fractional flow reserve for detecting hemodynamically significant stenosis. J Cardiovasc Comput Tomogr 10(3):199–206. https://doi.org/10.1016/j.jcct.2016.03.002

    Article  Google Scholar 

  63. Tesche C, De Cecco CN, Baumann S et al (2018) Coronary CT angiography–derived fractional flow reserve: machine learning algorithm versus computational fluid dynamics modeling. Radiology 288:64–72. https://doi.org/10.1148/radiol.2018171291

    Article  Google Scholar 

  64. Tesche C, De Cecco CN, Albrecht MH et al (2017) Coronary CT angiography—derived fractional flow reserve. Radiology 285(1):17–33. https://doi.org/10.1148/radiol.2017162641

    Article  Google Scholar 

  65. Coenen A, Lubbers MM, Kurata A et al (2015) Fractional flow reserve computed from noninvasive CT angiography data: diagnostic performance of an on-site clinician-operated computational fluid dynamics algorithm. Radiology 274(3):674–683. https://doi.org/10.1148/radiol.14140992

    Article  Google Scholar 

  66. Coenen A, Kim Y-H, Kruk M et al (2018) Diagnostic accuracy of a machine-learning approach to coronary computed tomographic angiography-based fractional flow reserve. Circ Cardiovasc Imaging 11(6):e007217. https://doi.org/10.1161/CIRCIMAGING.117.007217

    Article  Google Scholar 

  67. von Knebel Doeberitz PL, De Cecco CN, Schoepf UJ et al (2019) Coronary CT angiography—derived plaque quantification with artificial intelligence CT fractional flow reserve for the identification of lesion-specific ischemia. Eur Radiol. https://doi.org/10.1007/s00330-018-5834-z

    Article  Google Scholar 

  68. Qiao HY, Tang CX, Schoepf UJ et al (2020) Impact of machine learning-based coronary computed tomography angiography fractional flow reserve on treatment decisions and clinical outcomes in patients with suspected coronary artery disease. Eur Radiol. https://doi.org/10.1007/s00330-020-06964-w

    Article  Google Scholar 

  69. Kurata A, Fukuyama N, Hirai K et al (2019) On-site computed tomography-derived fractional flow reserve using a machine-learning algorithm: clinical effectiveness in a retrospective multicenter cohort. Circ J. https://doi.org/10.1253/circj.CJ-19-0163

    Article  Google Scholar 

  70. Motwani M, Dey D, Berman DS et al (2017) Machine learning for prediction of all-cause mortality in patients with suspected coronary artery disease: a 5-year multicentre prospective registry analysis. Eur Heart J 38(7):500–507. https://doi.org/10.1093/eurheartj/ehw188

    Article  Google Scholar 

  71. van Rosendael AR, Maliakal G, Kolli KK et al (2018) Maximization of the usage of coronary CTA derived plaque information using a machine learning based algorithm to improve risk stratification; insights from the CONFIRM registry. J Cardiovasc Comput Tomogr. https://doi.org/10.1016/j.jcct.2018.04.011

    Article  Google Scholar 

  72. Marwick TH (2018) Ejection fraction pros and cons: JACC state-of-the-art review. J Am Coll Cardiol 72(19):2360–2379. https://doi.org/10.1016/j.jacc.2018.08.2162

    Article  Google Scholar 

  73. Bluemke DA, Kronmal RA, Lima JAC et al (2008) The relationship of left ventricular mass and geometry to incident cardiovascular events. The MESA (Multi-Ethnic Study of Atherosclerosis) Study. J Am Coll Cardiol 52(25):2148–2155. https://doi.org/10.1016/j.jacc.2008.09.014

    Article  Google Scholar 

  74. Moss MD, Bigger JT, Case R, Gillespie MD, Goldstein RE (2015) Risk stratification and survival after myocardial infarction. N Engl J Med 309(6):331–336

    Google Scholar 

  75. Di Cesare E, Cademartiri F, Carbone I et al (2013) Indicazioni cliniche per l’utilizzo della cardio RM. A cura del Gruppo di lavoro della Sezione di Cardio-Radiologia della SIRM. Radiol Med. 118(5):752–798. https://doi.org/10.1007/s11547-012-0899-2

    Article  Google Scholar 

  76. Francone M, Carbone I, Agati L et al (2011) Utilità delle sequenze STIR T2 pesate in risonanza magnetica cardiaca: spettro di applicazioni cliniche in varie cardiopatie ischemiche e nonischemiche. Radiol Med 116(1):32–46. https://doi.org/10.1007/s11547-010-0594-0

    CAS  Article  Google Scholar 

  77. Muscogiuri G, Suranyi P, Eid M et al (2019) Pediatric cardiac MR imaging: practical preoperative assessment. Magn Reson Imaging Clin N Am. https://doi.org/10.1016/j.mric.2019.01.004

    Article  Google Scholar 

  78. Fratz S, Chung T, Greil GF et al (2013) Guidelines and protocols for cardiovascular magnetic resonance in children and adults with congenital heart disease: SCMR expert consensus group on congenital heart disease. J Cardiovasc Magn Reson 15(1):1–26. https://doi.org/10.1186/1532-429X-15-51

    Article  Google Scholar 

  79. Varga-Szemes A, Muscogiuri G, Schoepf UJ et al (2016) Clinical feasibility of a myocardial signal intensity threshold-based semi-automated cardiac magnetic resonance segmentation method. Eur Radiol. https://doi.org/10.1007/s00330-015-3952-4

    Article  Google Scholar 

  80. Petitjean C, Dacher JN (2011) A review of segmentation methods in short axis cardiac MR images. Med Image Anal 15(2):169–184. https://doi.org/10.1016/j.media.2010.12.004

    Article  Google Scholar 

  81. Suinesiaputra A, Bluemke DA, Cowan BR et al (2015) Quantification of LV function and mass by cardiovascular magnetic resonance: multi-center variability and consensus contours. J Cardiovasc Magn Reson 17(1):1–8. https://doi.org/10.1186/s12968-015-0170-9

    Article  Google Scholar 

  82. Avendi MR, Kheradvar A, Jafarkhani H (2016) A combined deep-learning and deformable-model approach to fully automatic segmentation of the left ventricle in cardiac MRI. Med Image Anal 30:108–119. https://doi.org/10.1016/j.media.2016.01.005

    CAS  Article  Google Scholar 

  83. Ngo TA, Lu Z, Carneiro G (2017) Combining deep learning and level set for the automated segmentation of the left ventricle of the heart from cardiac cine magnetic resonance. Med Image Anal. https://doi.org/10.1016/j.media.2016.05.009

    Article  Google Scholar 

  84. Ma Y, Wang L, Ma Y, Dong M, Du S, Sun X (2016) An SPCNN-GVF-based approach for the automatic segmentation of left ventricle in cardiac cine MR images. Int J Comput Assist Radiol Surg. https://doi.org/10.1007/s11548-016-1429-9

    Article  Google Scholar 

  85. Tan LK, Liew YM, Lim E, McLaughlin RA (2017) Convolutional neural network regression for short-axis left ventricle segmentation in cardiac cine MR sequences. Med Image Anal. https://doi.org/10.1016/j.media.2017.04.002

    Article  Google Scholar 

  86. Curiale AH, Colavecchia FD, Mato G (2019) Automatic quantification of the LV function and mass: a deep learning approach for cardiovascular MRI. Comput Methods Programs Biomed. https://doi.org/10.1016/j.cmpb.2018.12.002

    Article  Google Scholar 

  87. Liao F, Chen X, Hu X, Song S (2017) Estimation of the volume of the left ventricle from MRI images using deep neural networks. IEEE Trans Cybern. https://doi.org/10.1109/tcyb.2017.2778799

    Article  Google Scholar 

  88. Bernard O, Lalande A, Zotti C et al (2018) Deep learning techniques for automatic MRI cardiac multi-structures segmentation and diagnosis: is the problem solved? IEEE Trans Med Imaging 37(11):2514–2525. https://doi.org/10.1109/TMI.2018.2837502

    Article  Google Scholar 

  89. Isensee F, Jaeger PF, Full PM, Wolf I, Engelhardt S, Maier-Hein KH (2018) Automatic cardiac disease assessment on cine-MRI via time-series segmentation and domain specific features. In: Lecture notes in computer science (including subseries lecture notes in artificial intelligence and lecture notes in bioinformatics). https://doi.org/10.1007/978-3-319-75541-0_13

  90. Bai W, Sinclair M, Tarroni G et al (2018) Automated cardiovascular magnetic resonance image analysis with fully convolutional networks 08 Information and Computing Sciences 0801 Artificial Intelligence and Image Processing. J Cardiovasc Magn Reson 20(1):1–12. https://doi.org/10.1186/s12968-018-0471-x

    Article  Google Scholar 

  91. Tao Q, Yan W, Wang Y et al (2018) Deep learning-based method for fully automatic quantification of left ventricle function from cine MR images: a multivendor, multicenter study. Radiology. https://doi.org/10.1148/radiol.2018180513

    Article  Google Scholar 

  92. Muscogiuri G, Suranyi P, Schoepf UJ et al (2018) Cardiac magnetic resonance T1-mapping of the myocardium: technical background and clinical relevance. J Thorac Imaging. https://doi.org/10.1097/RTI.0000000000000270

    Article  Google Scholar 

  93. Kammerlander AA, Marzluf BA, Zotter-Tufaro C et al (2016) T1 mapping by CMR imaging from histological validation to clinical implication. JACC Cardiovasc Imaging. https://doi.org/10.1016/j.jcmg.2015.11.002

    Article  Google Scholar 

  94. White SK, Sado DM, Flett AS, Moon JC (2012) Characterising the myocardial interstitial space: the clinical relevance of non-invasive imaging. Heart. https://doi.org/10.1136/heartjnl-2011-301515

    Article  Google Scholar 

  95. De Cecco CN, Muscogiuri G, Varga-Szemes A, Schoepf UJ (2017) Cutting edge clinical applications in cardiovascular magnetic resonance. World J Radiol. https://doi.org/10.4329/wjr.v9.i1.1

    Article  Google Scholar 

  96. Kellman P, Hansen MS (2014) T1-mapping in the heart: accuracy and precision. J Cardiovasc Magn Reson 16(1):1–20. https://doi.org/10.1186/1532-429X-16-2

    Article  Google Scholar 

  97. Ugander M, Oki AJ, Hsu LY et al (2012) Extracellular volume imaging by magnetic resonance imaging provides insights into overt and sub-clinical myocardial pathology. Eur Heart J 33(10):1268–1278. https://doi.org/10.1093/eurheartj/ehr481

    CAS  Article  Google Scholar 

  98. Yamada A, Ishida M, Kitagawa K, Sakuma H (2018) Assessment of myocardial ischemia using stress perfusion cardiovascular magnetic resonance. Cardiovasc Imaging Asia 2(2):65–75. https://doi.org/10.22468/cvia.2017.00178

    Article  Google Scholar 

  99. Hamlin SA, Henry TS, Little BP, Lerakis S, Stillman AE (2014) Mapping the future of cardiac MR imaging: case-based review of T1 and T2 mapping techniques. Radiographics 34:1594–1611. https://doi.org/10.1148/rg.346140030

    Article  Google Scholar 

  100. Rastegar N, Te Riele ASJM, James CA et al (2016) Fibrofatty changes: incidence at cardiac MR imaging in patients with arrhythmogenic right ventricular dysplasia/cardiomyopathy1. Radiology. https://doi.org/10.1148/radiol.2016150988

    Article  Google Scholar 

  101. Buckley O, Madan R, Kwong R, Rybicki FJ, Hunsaker A (2011) Cardiac masses, part 1: imaging strategies and technical considerations. Am J Roentgenol. https://doi.org/10.1021/acssynbio.5b00266.Quantitative

    Article  Google Scholar 

  102. Edwards NC, Routledge H, Steeds RP (2009) T2-weighted magnetic resonance imaging to assess myocardial oedema in ischaemic heart disease. Heart. https://doi.org/10.1136/hrt.2009.169961

    Article  Google Scholar 

  103. Kim RJ, Wu E, Rafael A et al (2000) The use of contrast-enhanced magnetic resonance imaging to identify reversible myocardial dysfunction. N Engl J Med. https://doi.org/10.1056/NEJM200011163432003

    Article  Google Scholar 

  104. Thomson LEJ, Kim RJ, Judd RM (2004) Magnetic resonance imaging for the assessment of myocardial viability. J Magn Reson Imaging. https://doi.org/10.1002/jmri.20075

    Article  Google Scholar 

  105. Satoh H (2014) Distribution of late gadolinium enhancement in various types of cardiomyopathies: significance in differential diagnosis, clinical features and prognosis. World J Cardiol. https://doi.org/10.4330/wjc.v6.i7.585

    Article  Google Scholar 

  106. o h-Ici D, Jeuthe S, Al-Wakeel N et al (2014) T1 mapping in ischaemic heart disease. Eur Heart J Cardiovasc Imaging. 15(6):597–602. https://doi.org/10.1093/ehjci/jeu024

    Article  Google Scholar 

  107. Florian A, Jurcut R, Ginghina C, Bogeart J (1997) Cardiac magnetic resonance imaging in ischemic heart disease a clinical review. J Med Life 4(4):330–345

    Google Scholar 

  108. Muscogiuri G, Suranyi P, Schoepf UJ et al (2017) Cardiac magnetic resonance T1-mapping of the myocardium. J Thorac Imaging 00(00):1. https://doi.org/10.1097/RTI.0000000000000270

    Article  Google Scholar 

  109. Gannon MP, Schaub E, Grines CL, Saba SG (2019) State of the art: evaluation and prognostication of myocarditis using cardiac MRI. J Magn Reson Imaging. https://doi.org/10.1002/jmri.26611

    Article  Google Scholar 

  110. Chan RH, Maron BJ, Olivotto I et al (2014) Prognostic value of quantitative contrast-enhanced cardiovascular magnetic resonance for the evaluation of sudden death risk in patients with hypertrophic cardiomyopathy. Circulation. https://doi.org/10.1161/CIRCULATIONAHA.113.007094

    Article  Google Scholar 

  111. Baeßler B, Mannil M, Maintz D, Alkadhi H, Manka R (2018) Texture analysis and machine learning of non-contrast T1-weighted MR images in patients with hypertrophic cardiomyopathy—preliminary results. Eur J Radiol. https://doi.org/10.1016/j.ejrad.2018.03.013

    Article  Google Scholar 

  112. Moccia S, Banali R, Martini C et al (2019) Development and testing of a deep learning-based strategy for scar segmentation on CMR-LGE images. Magn Reson Mater Phys Biol Med. https://doi.org/10.1007/s10334-018-0718-4

    Article  Google Scholar 

  113. Yang F, Zhang Y, Lei P et al (2019) A deep learning segmentation approach in free-breathing real-time cardiac magnetic resonance imaging. Biomed Res Int. https://doi.org/10.1155/2019/5636423

    Article  Google Scholar 

  114. Zabihollahy F, Rajchl M, White JA, Ukwatta E (2020) Fully automated segmentation of left ventricular scar from 3D late gadolinium enhancement magnetic resonance imaging using a cascaded multi-planar U-Net (CMPU-Net). Med Phys. https://doi.org/10.1002/mp.14022

    Article  Google Scholar 

  115. Fahmy AS, Rausch J, Neisiusa U et al (2018) Fully automated quantification of cardiac MR LV mass and scar in hypertrophic cardiomyopathy using deep learning. Circulation 138(Suppl_1):A15085

    Google Scholar 

  116. Zabihollahy F, White JA, Ukwatta E (2019) Convolutional neural network-based approach for segmentation of left ventricle myocardial scar from 3D late gadolinium enhancement MR images. Med Phys. https://doi.org/10.1002/mp.13436

    Article  Google Scholar 

  117. Zhang N, Yang G, Gao Z et al (2019) Deep learning for diagnosis of chronic myocardial infarction on nonenhanced cardiac cine MRI. Radiology. https://doi.org/10.1148/radiol.2019182304

    Article  Google Scholar 

  118. Li L, Wu F, Yang G et al (2020) Atrial scar quantification via multi-scale CNN in the graph-cuts framework. Med Image Anal. https://doi.org/10.1016/j.media.2019.101595

    Article  Google Scholar 

  119. Li L, Yang G, Wu F et al (2019) Atrial scar segmentation via potential learning in the graph-cut framework. In: Lecture notes in computer science (including subseries lecture notes in artificial intelligence and lecture notes in bioinformatics). https://doi.org/10.1007/978-3-030-12029-0_17

  120. Vergara GR, Marrouche NF (2011) Tailored management of atrial fibrillation using a LGE-MRI based model: from the clinic to the electrophysiology laboratory. J Cardiovasc Electrophysiol. https://doi.org/10.1111/j.1540-8167.2010.01941.x

    Article  Google Scholar 

  121. Halliday BP, Baksi AJ, Gulati A et al (2019) Outcome in dilated cardiomyopathy related to the extent, location, and pattern of late gadolinium enhancement. JACC Cardiovasc Imaging. https://doi.org/10.1016/j.jcmg.2018.07.015

    Article  Google Scholar 

  122. Halliday BP, Gulati A, Ali A et al (2017) Association between midwall late gadolinium enhancement and sudden cardiac death in patients with dilated cardiomyopathy and mild and moderate left ventricular systolic dysfunction. Circulation. https://doi.org/10.1161/CIRCULATIONAHA.116.026910

    Article  Google Scholar 

  123. Dawes TJW, De Marvao A, Shi W et al (2017) Machine learning of three-dimensional right ventricular motion enables outcome prediction in pulmonary hypertension: a cardiac MR imaging study. Radiology. https://doi.org/10.1148/radiol.2016161315

    Article  Google Scholar 

  124. Chen R, Lu A, Wang J et al (2019) Using machine learning to predict one-year cardiovascular events in patients with severe dilated cardiomyopathy. Eur J Radiol. https://doi.org/10.1016/j.ejrad.2019.06.004

    Article  Google Scholar 

  125. Pocock SJ, Ariti CA, McMurray JJV et al (2013) Predicting survival in heart failure: a risk score based on 39,372 patients from 30 studies. Eur Heart J. https://doi.org/10.1093/eurheartj/ehs337

    Article  Google Scholar 

  126. Guaricci AI, Masci PG, Lorenzoni V, Schwitter J, Pontone G (2018) CarDiac MagnEtic Resonance for Primary Prevention Implantable CardioVerter DebrillAtor ThErapy international registry: design and rationale of the DERIVATE study. Int J Cardiol. https://doi.org/10.1016/j.ijcard.2018.03.043

    Article  Google Scholar 

  127. Diller GP, Orwat S, Vahle J et al (2020) Prediction of prognosis in patients with tetralogy of Fallot based on deep learning imaging analysis. Heart. https://doi.org/10.1136/heartjnl-2019-315962

    Article  Google Scholar 

  128. ACR-DSI (2019) FDA cleared AI algorithms. DSI-ACR. https://www.acrdsi.org/DSI-Services/FDA-Cleared-AI-Algorithms. Accessed 30 Jan 2020

  129. Zuckerman DM, Brown P, Nissen SE (2011) Medical device recalls and the FDA approval process. Arch Intern Med 171(11):1006–1011. https://doi.org/10.1001/archinternmed.2011.30

    Article  Google Scholar 

  130. European-Commission (2020) White paper on artificial intelligence

  131. Geis JR, Brady AP, Wu CC et al (2019) Ethics of artificial intelligence in radiology: summary of the Joint European and North American Multisociety Statement. Can Assoc Radiol J 70(4):329–334. https://doi.org/10.1016/j.carj.2019.08.010

    Article  Google Scholar 

Download references

Author information

Affiliations

Authors

Corresponding author

Correspondence to Carlo N. De Cecco.

Ethics declarations

Conflict of interest

Dr. De Cecco receives institutional research funding from Siemens Healthineers. Dr. Laghi receives funding or financial compensation from speakers’ bureau, GE Healthcare, Guerbet, Bayer, Merck, and Bracco. All other authors have conflicts of interests.

Ethics approval

For this review study, no animals or patients were included; therefore, no ethical approval was required and no informed consent was needed

Research involving human participants and/or animals

For this review study, no animals or patients were included.

Informed consent

For this review study, no animals or patients were included.

Additional information

Publisher's Note

Springer Nature remains neutral with regard to jurisdictional claims in published maps and institutional affiliations.

Rights and permissions

Reprints and Permissions

About this article

Verify currency and authenticity via CrossMark

Cite this article

van Assen, M., Muscogiuri, G., Caruso, D. et al. Artificial intelligence in cardiac radiology. Radiol med 125, 1186–1199 (2020). https://doi.org/10.1007/s11547-020-01277-w

Download citation

  • Received:

  • Accepted:

  • Published:

  • Issue Date:

  • DOI: https://doi.org/10.1007/s11547-020-01277-w

Keywords

  • Cardiac imaging
  • Artificial intelligence
  • Computed tomography
  • Magnetic resonance imaging